La confluencia en la cavidad oral de distintos especialistas a menudo crea dudas acerca de las competencias de cada uno ante determinados problemas. Los problemas en la cavidad oral a menudo son vividos con gran ansiedad por los pacientes, que con frecuencia temen que se trate de lesiones malignas que llevan a un desenlace fatal tras una progresión penosa de la enfermedad. Por ello incluiremos en este trabajo algunos cuadros no propiamente tumorales, pero que por sus características son motivo de cancerofobia o que, con cierta frecuencia, nos remite el médico de familia para descartar malignidad.
Aunque en ocasiones es imprescindible el estudio histopatológico, en un alto porcentaje de casos la clínica permite diferenciar claramente las lesiones benignas de los procesos malignos más frecuentes en esta localización. El conocimiento de sus características permite tranquilizar de forma rápida al paciente, evitándole mantener el estado de preocupación importante que suelen comportar las lesiones orales.
Las características clínicas diferenciales fundamentales de las lesiones benignas de la mucosa oral respecto a las malignas son lógicamente las mismas que en cualquier otra zona. Deben establecerse en todos los casos mediante la anamnesis y la exploración física. Por tratarse de una cavidad no visible de ordinario, con frecuencia es imposible determinar el tiempo de evolución de una tumoración, ya que puede haber estado presente durante mucho tiempo sin que el paciente la haya detectado.
La localización de la lesión es importante, dadas las diferentes características y estructuras existentes en las distintas zonas de la cavidad oral. Es fundamental la exploración minuciosa de toda la mucosa oral, para lo que es imprescindible disponer de una luz que pueda iluminar esta cavidad, generalmente una simple linterna. Debe establecerse el color y las características de la superficie de la lesión en relación con las propias de la zona de la mucosa donde asienta.
El raspado con un depresor muestra el carácter desprendible o no en las lesiones blancas e inmediatamente debe palparse la lesión para apreciar su consistencia blanda, semielástica o dura, su buena o mala delimitación y la infiltración del tejido circundante. Ante cualquier lesión de la mucosa oral, siempre debe realizarse también la exploración de los ganglios en las zonas submentoniana, submandibular, preauricular y retroauricular y las cadenas cervicales laterales y supraclaviculares.
Tipos de Tumoraciones Benignas de la Mucosa Oral
Las tumoraciones benignas que podemos encontrar en esta localización pueden provenir de cualquiera de los componentes tisulares de la zona: epitelio, tejido conjuntivo, vasos, nervios, glándulas salivares y otros.
Proliferaciones Epiteliales
El epitelio oral puede proliferar inducido por diferentes agentes, sin que se la pueda considerar propiamente una tumoración, pero dando lugar a cuadros que debemos considerar en este trabajo, pues en ocasiones plantean diagnóstico diferencial con diversos tumores. Estas lesiones pueden deberse a agentes infecciosos de diverso origen (viral, micótico e incluso bacteriano), ser malformaciones névicas u obedecer a la presencia de componentes tisulares que no deberían estar en esta localización.
Cuadros Inducidos por Agentes Infecciosos
Papiloma
Este término debe reservarse para las lesiones debidas al virus del papiloma humano (VPH) en las mucosas, mientras que en la piel hablamos de verrugas. En esta localización pueden tener un carácter de transmisión sexual, y se aíslan los genotipos propios de las lesiones de la zona genital, o llegar a partir de lesiones cutáneas en los dedos por el hábito frecuente en los niños de morderse o chuparse las lesiones de los dedos.
Clínicamente aparecen como lesiones exofíticas papilomatosas en cualquier localización de la mucosa oral, pero son más frecuentes en los labios y en la lengua. Suelen tener color blanquecino por la hidratación de la capa córnea. En ocasiones es necesario para el diagnóstico el estudio histopatológico, que muestra leve hiperqueratosis con paraqueratosis y acantopapilomatosis con vacuolización celular marcada en capas profundas del epitelio, pues en las mucosas es normal cierto grado en las capas altas.

Lesión cuyo aspecto papilomatoso y vacuolización en capas bajas confirman su origen viral.
Leucoplaquia Oral Vellosa
Es un proceso descrito por Greenspan en pacientes seropositivos, aunque se ha visto también en pacientes trasplantados sometidos a inmunosupresores e incluso en inmunocompetentes. La lesión no es una tumoración, pero puede plantear diagnóstico diferencial con una leucoplasia premaligna, puesto que se presenta como placas blancas asintomáticas con formaciones filiformes en su superficie, generalmente en las caras laterales de la lengua. A diferencia del Muguet, no se desprenden al raspar con el depresor y no hay infiltración. En la histología las formaciones vellosas aparecen como proyecciones hiperqueratósicas con paraqueratosis y cúmulos de gérmenes (a menudo Candida), en cuya base hay hiperplasia epitelial con balonización celular, como ocurre en algunos procesos virales. El papel causal del Herpesvirus tipo 5 (virus de Epstein-Barr) está avalado por estudios de inmunofluorescencia y de hibridación de ADN, aunque pueden intervenir otros agentes patógenos.
Su tratamiento no es imprescindible, pero pueden utilizarse queratolíticos, y se ha visto su regresión con aciclovir sistémico.

Leucoplaquia oral vellosa con sus proyecciones paraqueratósicas características.
Cuadros por Infección Candidíásica
Las formas hiperplásicas crónicas de candidiasis en pacientes diabéticos o con anemia ferropénica y en relación con prótesis dentarias, aparecen como placas blanquecinas con engrosamiento epitelial con presencia de cándidas en las capas superficiales. Dentro de este grupo se ha incluido también la llamada glositis romboidea mediana o losángica media en la zona central del dorso de la lengua, en la que se ha incriminado también una persistencia del tubérculo impar.

Frecuente e intrascendente glositis romboidea mediana con su componente inflamatorio y parasitación candidiásica.
Papilitis Foliada
Se debe a la inflamación de estructuras linfoides en la parte posterior de la cara lateral de la lengua. El paciente nota una alteración y en ocasiones sensibilidad en la zona, que muestra una superficie algo abollonada, con cierto empastamiento local. La localización y sus características generalmente permiten el diagnóstico y su resolución con tratamiento antibiótico y antiinflamatorio, sin necesidad de estudio histopatológico.

Elevación irregular en la parte posterior de la cara lateral de la lengua propia de la papilitis foliada.
Alteraciones Epiteliales No Infecciosas
Nevo Blanco Esponjoso
Trastorno genético de las queratinas que se transmite de forma autosómica dominante. El cuadro suele empezar en la infancia con placas blanquecinas asintomáticas de consistencia elástica que presentan un desarrollo progresivo en la mucosa oral, y a veces también genital y esofágica. Se estabilizan en la pubertad y no tienen tendencia a malignizar. La histopatología muestra un epitelio acantósico con presencia en la zona alta de células claras con citoplasma amplio y sobre éstas una banda de células aplanadas.

Nevo blanco esponjoso, para cuyo diagnóstico es básico su carácter familiar y la imagen histopatológica con presencia en la zona alta de células claras con citoplasma amplio y, sobre éstas, una banda de células aplanadas.
Leucoedema
Se trata de una variante anatómica relativamente frecuente de la mucosa, especialmente en la raza negra, que afecta de forma difusa fundamentalmente a la mucosa yugal. Se debe al aumento del grosor del epitelio, que además presenta edema intracelular. Debe realizarse diagnóstico diferencial con el nevo blanco esponjoso, aunque hay datos que apuntan a que sean entidades relacionadas.
Mal de Fordyce
Es una alteración frecuente, especialmente en la semimucosa de los labios, y motivo frecuente de cancerofobia. Se presenta como lesiones blanquecinas milimétricas, generalmente múltiples, debidas a la existencia anómala de glándulas sebáceas en esta localización (heterotópicas). No tienen ninguna tendencia a la malignización, pero en ocasiones se requiere su destrucción por motivos estéticos.

Lesiones blanquecinas del mal de Fordyce en los labios, motivo frecuente de cancerofobia.
Lesiones Melanocíticas Benignas
En las mucosas no debe haber melanocitos habitualmente, pero no es extraño que pueda haberlos dando lugar a máculas parduscas de extensión variable que pueden ponerse de manifiesto en distintos momentos de la vida. El lentigo simple de mucosas es relativamente frecuente, especialmente en los labios, y tiene repercusión estética, aparte de causar preocupación por temor a la malignidad.
Los nevos en la mucosa oral son raros, pero pueden presentarse. La mayoría son de tipo intradérmico y se localizan en la mucosa yugal, seguidos por los nevos azules, que predominan en el paladar duro.
Proliferaciones del Tejido Conjuntivo
Fibromas
Los auténticos fibromas son poco frecuentes en la boca. Las lesiones que suelen designarse con ese nombre y constituyen las formaciones benignas más comunes de la mucosa oral no son auténticos tumores. Se tratan en realidad de hiperplasias fibrosas, con proliferaciones de fibroblastos y depósito de haces de colágeno debidos a la irritación mantenida o al mordisqueo de la mucosa.
Clínicamente aparecen como lesiones ovaladas, sésiles o pediculadas de crecimiento lento recubiertas por mucosa normal, blanquecina o algo papilomatosa o inflamada. Pueden aparecer en cualquier lugar de la mucosa oral, aunque son más frecuentes en la lengua o zonas sometidas a estímulos irritativos o traumáticos. El tiempo necesario para el desarrollo de estas lesiones generalmente es largo pero, a menudo el paciente desconoce su evolución y consulta de forma urgente cuando las detecta.

Las frecuentes lesiones denominadas fibromas son hiperplasias fibrosas por roce.
Procesos Fibrosos con Aspecto y Localización Particulares
En relación con el tejido conjuntivo, pero con peculiaridades debidas a su localización se consideran cuatro procesos:
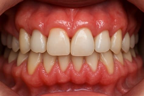
Hiperplasia Gingival
No es propiamente una tumoración, pero puede llegar casi a ocultar los dientes. Presenta un aumento de las fibras colágenas y puede ocurrir sin una causa conocida o inducida por medicamentos, especialmente antiepilépticos (fenitoína) y ciclosporina, pero también verapamilo, nifedipino, diltiazem y otros muchos. Conviene diferenciarla también de la fibromatosis gingival hereditaria, los infiltrados en el curso de una leucemia y la hiperplasia gingival por falta de cuidados en la zona.
Medicamentos que Producen Hiperplasia Gingival

Hiperplasia gingival por medicamentos que debe distinguirse de la fibromatosis gingival hereditaria.
Morsicatio Bucarum
Consiste en la presentación de una zona sobreelevada en la mucosa geniana de ambas mejillas a nivel de la línea de cierre de la dentadura. Es el roce de los dientes, que a menudo se ven perfectamente marcados en la zona, lo que causa esta alteración inicialmente edematosa, pero que después se fibrosa y estabiliza.
Diapneusia Bucal
Es también una alteración de naturaleza hiperplásica que se presenta como un nódulo hemiesférico recubierto de mucosa normal, generalmente a nivel de la cara interna de las mejillas. Se produce por succión a través de un espacio en la dentadura, que al principio produce una sobreelevación de consistencia edematosa y posteriormente se organiza y endurece.
Leucemia y Afectación Gingival
Las enfermedades hematológicas, entre ellas la leucemia aguda, pueden manifestarse al diagnóstico con afectación a nivel oral. Las leucemias agudas suponen casi el 10 % de todas las neoplasias. En adultos es más frecuente la leucemia aguda mieloide. Los síntomas son secundarios a las citopenias, así como a la infiltración de diferentes órganos. Dado que se trata de neoplasias agresivas, un diagnóstico temprano es clave para establecer un tratamiento lo antes posible.
La leucemia aguda es una enfermedad maligna de la célula madre hematopoyética, que se caracteriza por la acumulación en médula ósea y sangre periférica de células malignas, que originan un fallo medular y pueden infiltrar otros órganos. La leucemia mieloblástica aguda es más frecuente en adultos. Se trata de una de las principales urgencias hematológicas, ya que si no se comienza tratamiento rápidamente presentan una alta mortalidad.
La afectación oral puede ser una manifestación de distintas enfermedades hematológicas, entre ellas la leucemia aguda mieloide. En el caso de las leucemias agudas, es frecuente la hipertrofia gingival, sobre todo en la leucemia aguda con componente monocitoide (leucemia aguda monoblástica y mielomonocítica -M4 y M5 de la FAB-) por infiltración.
Según el subtipo y la clasificación pronóstica, tras la inducción a la remisión con quimioterapia, deberá realizarse un trasplante autólogo de progenitores hematopoyéticos o, más frecuentemente, un trasplante alogénico de progenitores hematopoyéticos.
Caso Clínico
Paciente acude a consulta de su médico de familia, tras ausencia de mejoría de infección odontogénica y presentar fiebre termometrada diaria en domicilio de hasta 38,5 ºC de diez días de evolución. Así mismo, presentaba hematomas espontáneos y refería astenia progresiva durante la última semana.
A la exploración física, se observaba importante inflamación gingival generalizada con puntos hemorrágicos y hematomas bilaterales localizados en los miembros inferiores, situándose los de mayor tamaño en la cara interior de ambos muslos.
Ante la sintomatología de la paciente y la presencia de datos de alarma (fiebre de larga evolución y ausencia de respuesta al tratamiento antibiótico de infección odontogénica), su médico de familia decidió derivar al Servicio de Urgencias Hospitalarias, donde se extrajo una analítica, en la que destacan GPT de 205 U/l, LDH 1159 U/l y un hemograma con hemoglobina (Hb) de 7,8 g/dl, plaquetas de 27.000/µl, leucocitos de 108.400/µl (5.400 neutrófilos/µl, linfocitos 3.680/µl, monocitos 6.740/µl y 90% de células no identificadas).
En el estudio de médula ósea se confirmó el diagnóstico de leucemia aguda mieloblástica (LAM) subtipo M4, según la clasificación French-American-British (FAB) de la leucemia aguda, y se inició tratamiento específico con quimioterapia de inducción.
Tras completar los siete días de tratamiento de inducción, la paciente presentó pancitopenia post-quimioterapia, con necesidad de transfusiones de plaquetas y hemoglobina diariamente.
Actualmente la paciente se encuentra en fase de recuperación de la aplasia post-quimioterapia.
Manifestaciones Clínicas de la Leucemia Aguda Mieloblástica
La siguiente tabla resume las principales manifestaciones clínicas de la leucemia aguda mieloblástica:
| Manifestación Clínica | Descripción |
|---|---|
| Citopenias | Anemia (fatiga, debilidad), trombocitopenia (sangrado fácil, petequias), neutropenia (infecciones frecuentes) |
| Infiltración de órganos | Hepatoesplenomegalia, linfadenopatía, infiltración gingival |
| Síntomas generales | Fiebre, pérdida de peso, sudoración nocturna |
tags: #infiltracion #gingival #leucemia