¿Alguna vez has sentido un dolor molesto o punzante en la lengua y te has preguntado qué podría ser? Muchas personas experimentan este problema, pero a menudo no saben qué lo causa o cómo tratarlo. El dolor en la lengua puede manifestarse de diversas maneras, y conocer los síntomas asociados es crucial para identificar la causa subyacente. Puedes experimentar una sensación dolorosa al hablar, comer, tragar o incluso en reposo.

Además de la lengua, el paladar también puede ser afectado por inflamaciones. El paladar es el techo de la boca, el cual separa la cavidad oral de la cavidad nasal. De vez en cuando el paladar puede inflamarse, lo cual puede deberse a varias causas potenciales, la mayoría de las cuales se subsanan con tratamientos mínimos.
Causas Comunes de la Inflamación de la Lengua y el Paladar
El dolor en la lengua puede ser un síntoma de varios problemas subyacentes. Es importante entender estas posibles causas para encontrar el tratamiento más adecuado. Algunas de las causas más comunes incluyen:
Lesiones Físicas
Morderse la lengua accidentalmente, quemaduras por alimentos o bebidas calientes, o raspaduras causadas por dientes afilados, aparatos ortopédicos o prótesis mal ajustadas pueden provocar dolor en la lengua.
Infecciones
La lengua puede infectarse por una variedad de microorganismos, como bacterias, virus o hongos. La candidiasis oral, una infección por hongos, es una causa común de dolor en la lengua, especialmente en personas con sistemas inmunitarios debilitados.
Condiciones Médicas
Ciertas enfermedades, como la diabetes, anemia, y trastornos gastrointestinales, pueden manifestarse con dolor en la lengua. Además, las deficiencias nutricionales, como la falta de hierro, vitamina B12 o ácido fólico, pueden causar inflamación y dolor en la lengua.
Dolor en la Lengua por Estrés
Éste, junto a la ansiedad, pueden llevar a hábitos inconscientes, como morderse o frotarse la lengua contra los dientes, lo que puede causar dolor o irritación.
Reacciones Alérgicas
Algunas personas pueden experimentar dolor en la lengua debido a reacciones alérgicas a ciertos alimentos, medicamentos o materiales dentales. Es importante identificar el alérgeno y evitar su exposición. Sí, las alergias pueden causar dolor en la lengua. Las reacciones alérgicas a ciertos alimentos, medicamentos o materiales dentales pueden provocar hinchazón, enrojecimiento, y dolor en la lengua.
Síndrome de Boca Ardiente
Esta condición poco comprendida se caracteriza por un dolor ardiente en la lengua, labios o boca, sin una causa aparente.

REMEDIOS CASEROS PARA LENGUA QUEMADA | COMO CURAR LA LENGUA QUEMADA
Tipos de Inflamación del Paladar
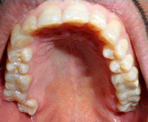
El paladar se encuentra en la parte superior interna de la cavidad bucal. Por esto también se le llama popularmente como cielo o techo de la boca. Este se encarga de separar la cavidad nasal de la bucal. Se divide en dos partes que son el paladar óseo, que es la zona más dura ya que está formado por huesos, y el paladar blando, que está recubierto con una capa de mucosa. Este llega hasta la úvula en la parte posterior, a la que también se le conoce como campanilla. Es este el tejido el que impide que la comida pase hacia las fosas nasales y los pulmones.
- Traumatismos: Comer alimentos demasiado calientes puede quemar la delicada piel del paladar, causando ampollas o bolsas de piel quemada. Comer alimentos duros también puede lastimar el paladar.
- Úlceras bucales: El herpes labial y las aftas pueden causar inflamación en el paladar. Muchas aftas se desarrollan en la mejilla o en las encías cercanas a los dientes, pero no es raro que aparezcan también en el paladar.
- Desequilibrio electrolítico: Cuando los niveles de electrolitos son demasiado bajos o demasiado altos, pueden aparecer diversos síntomas, como hinchazón en el paladar.
- Consumo de alcohol: El alcohol hace que el cuerpo orine más, lo que puede deshidratarlo. La deshidratación puede provocar sequedad bucal, lo que a su vez puede causar hinchazón o sensibilidad en el paladar.
- Cáncer de boca y otras afecciones graves: En raras ocasiones, la hinchazón del paladar puede ser síntoma de un problema de salud grave, como el cáncer de boca. Asimismo, si la hinchazón del paladar va acompañada de dolor abdominal, puede ser un signo de hepatitis.
Síntomas Comunes de la Inflamación del Paladar
El paladar sano tiene un color rosáceo y uno de los primeros síntomas de que hay un problema es el cambio de tonalidad; por lo general a un tono amarillo. Los síntomas de un paladar inflamado pueden decir mucho acerca de nuestra salud general. Aunque la mayoría de las veces no se trate de nada serio, otras sí indicará alguna enfermedad que deba tratarse a tiempo.
- Dolor: El dolor es uno de los síntomas más comunes y molestos cuando el paladar está inflamado. Puede variar desde una molestia leve hasta un dolor intenso que dificulta comer y tragar.
- Boca seca: La sequedad bucal puede ser síntoma de una obstrucción de las glándulas salivales, un traumatismo o quemaduras provocadas por alimentos o líquidos calientes.
- Llagas o ampollas: Las llagas o ampollas en el paladar pueden ser causadas por aftas y herpes, entre otras afecciones.
- Candidiasis: La candidiasis oral es producida por un hongo llamado Candida albicans. Este se encuentra en la boca de manera natural, pero cuando existe una alteración del sistema inmune se acumula en la superficie de la mucosa bucal generando la aparición de una placa blanca en la lengua, parte interna de las mejillas y el paladar.
Tratamientos para la Inflamación de la Lengua y el Paladar
En Clínica Dental Vilabiosca, ofrecemos una variedad de tratamientos para abordar el dolor en la lengua, adaptándonos a la causa específica de cada paciente. Dependiendo de la causa, pueden prescribirse antibióticos, antifúngicos o antiinflamatorios. Para el dolor y la inflamación, pueden recomendarse enjuagues bucales medicados o remedios tópicos.
Para aliviar el dolor en la lengua, puedes probar algunos remedios caseros como enjuagues bucales con agua tibia y sal, aplicar hielo o paños fríos para reducir la inflamación, y evitar alimentos picantes, ácidos o muy calientes. Mantén una buena higiene oral y bebe mucha agua.
El mejor tratamiento dependerá de la causa de la inflamación.
- En caso de quemadura: Enjuáguese inmediatamente la boca con agua fría. Si aparecen ampollas dolorosas, consulte a su médico. Los enjuagues bucales medicinales pueden ser la primera línea de tratamiento para las quemaduras que no se curan rápidamente.
- Si está deshidratado: Beber más de 2 litros de agua puede rehidratarle. En casos graves de deshidratación, puede ser necesario buscar tratamiento médico de urgencia.
- Si tiene llagas o ampollas: Tanto las aftas como el herpes labial suelen desaparecer por sí solos en una semana o 10 días. Durante ese tiempo, los geles analgésicos sin receta pueden ayudar a aliviar la irritación y el dolor.
- Si está en un proceso cancerígeno: Su médico le remitirá a un oncólogo. Juntos estudiarán diversas opciones de tratamiento, como cirugía, quimioterapia y radioterapia.
¿Cuándo Acudir al Odontólogo?
Si la causa de la hinchazón del paladar es fácil de identificar, como por ejemplo haber tomado el café demasiado caliente, es posible que no necesite acudir al médico. Basta con darle tiempo a la quemadura para que se cure y no tomar nada caliente durante unos días.
Sin embargo, algunas personas si necesitarán tratamiento médico para el paladar hinchado.
Hágase estas preguntas para decidir si debe acudir al médico:
- ¿Cuál es la intensidad del dolor? Si la hinchazón y el dolor causados por este problema resultan demasiado difíciles de manejar con tratamientos sin receta, es posible que necesite atención médica.
- ¿La inflamación empeora, permanece igual o disminuye? Si la hinchazón no disminuye al cabo de una semana, acuda al médico.
- ¿Qué otros síntomas tiene? Si tiene otros síntomas, es conveniente que acuda pronto al médico. Un diagnóstico precoz puede ayudarle a recibir tratamiento más rápidamente.
Su médico o dentista le examinará la boca. En la mayoría de los casos, basta con un simple examen visual. Si el profesional no está seguro o si los síntomas duran más de una semana, puede tomar muestras de células del paladar para realizar una biopsia.
Medidas de Prevención para Mantener tu Paladar Sano
Para prevenir la inflamación del paladar, se recomiendan las siguientes medidas:
- Mantener una buena higiene bucal.
- Cepillarse los dientes al menos dos veces al día.
- Usar un enjuague bucal diario para eliminar bacterias.
- Visitar al dentista regularmente para limpiezas profesionales.
- Evitar alimentos demasiado calientes, picantes o duros que puedan irritar el paladar.
- Esperar unos minutos antes de consumir alimentos recién servidos.
- Mantener una dieta saludable para fortalecer el sistema inmunológico.
- Beber suficiente agua para mantener la boca hidratada.
- No fumar ni consumir alcohol en exceso, ya que pueden causar irritación.
- Reducir el estrés, ya que puede debilitar las defensas y favorecer infecciones.
- Ser cuidadoso al cepillarse los dientes para evitar lesiones.
- Tener precaución con objetos punzantes que se lleven a la boca.
- Acudir al dentista si la inflamación persiste más de una semana.
- Revisar el paladar regularmente para detectar cambios.
Siguiendo estas recomendaciones de higiene, alimentación y cuidado, se puede prevenir en gran medida la inflamación del paladar. Sin embargo, en algunos casos, como infecciones o enfermedades autoinmunes, la inflamación puede ocurrir a pesar de los cuidados. Por eso es importante estar atento a los síntomas y consultar al dentista si persisten.

tags: #inflamacion #de #lengua #y #paladar