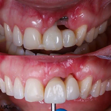
En el ámbito de la odontología moderna, el injerto de hueso dental se ha convertido en un procedimiento fundamental, especialmente en el campo de la implantología. Este tratamiento permite a pacientes con pérdida ósea maxilar recuperar la posibilidad de reponer sus dientes perdidos mediante implantes y rehabilitaciones protésicas fijas, que son más cómodas, seguras y estéticas que las prótesis removibles. En nuestra clínica somos reconocidos especialistas en implantología y regeneración ósea.

A continuación, te contamos en qué consiste un injerto de hueso dental, aclaramos tus dudas sobre el dolor durante el postoperatorio y te explicamos qué cuidados debes seguir tras la intervención. Gracias al desarrollo de la odontología, hoy día es posible que, incluso personas con poco hueso maxilar, puedan reponer sus dientes perdidos con implantes y rehabilitaciones protésicas fijas -más cómodas, seguras y estéticas que las prótesis removibles-. Para ello, la implantología se ayuda de una serie de técnicas quirúrgicas de regeneración ósea, entre las que se encuentra el injerto de hueso dental.
Si bien gozan de alta evidencia científica y son muy predecibles a medio y largo plazo, los injertos óseos requieren conocimiento especializado y experiencia por parte del cirujano bucal.
¿Qué es un Injerto de Hueso Dental?
Un injerto de hueso dental es un procedimiento de implantación de un fragmento óseo en el maxilar o la mandíbula para aumentar su volumen. De este modo, incrementamos la cantidad de hueso y consolidamos el soporte sobre el que luego colocaremos el implante dental.
¿Por Qué se Pierde Hueso en los Maxilares?
Normalmente la disminución del volumen maxilar o mandibular se produce como consecuencia de la pérdida de dientes. También influyen de manera importante los traumatismos, la periodontitis y otros procesos infecciosos de la boca. En este caso, la utilización de técnicas regenerativas basadas en injertos, junto con la utilización de proteínas derivadas de la matriz del esmalte, ofrecen la posibilidad de revertir esta pérdida ósea. Al menos menos parcialmente. Para ello, el cirujano bucal rellena con hueso los defectos presentes en la periferia del diente.
¿De Dónde se Obtiene el Hueso para el Injerto?
El fragmento de hueso que vamos a injertar en la mandíbula o el maxilar puede tener diferentes orígenes. Se puede obtener:
- Del propio individuo: injerto autólogo, autógeno o autoinjerto.
- De otro individuo de la misma especie: injerto aloinjerto.
- De otra especie animal: xenoinjerto.
- Por sintetización química, imitando alguno de los componentes del tejido óseo: injertos aloplásticos.
El empleo de un tipo de injerto u otro -a veces se utilizan de manera combinada- va a depender de la situación clínica y de las preferencias del cada profesional.
Injerto de hueso - ¿Qué tipos de injerto existen?
Sin embargo, es importante resaltar que el mejor injerto, el gold standard, es todavía el hueso autólogo o del propio paciente. Es el único con propiedades osteogénicas (creador de hueso), osteoconductoras (permite el crecimiento de hueso nuevo entre sus partículas) y osteoinductoras (estimula la diferenciación de células capaces de producir hueso en los tejidos adyacentes al injerto).
El hueso autólogo es especialmente importante para conseguir regeneraciones grandes y con componente vertical. Por otro lado, el hueso autólogo presenta la desventaja de que, al ser obtenido de otra zona (generalmente de otra zona del maxilar o de la mandíbula) provocamos una herida adicional a la del injerto, empeorando el postoperatorio del paciente.
Tipos de Injerto de Hueso Dental
Existen varios métodos para realizar injertos óseos y la elección del procedimiento depende de factores como la extensión de la pérdida ósea, la ubicación del implante y la salud general del paciente.
- Injerto en bloque: Consiste en la transferencia de un fragmento sólido de hueso, generalmente autólogo, es decir, tomado del propio paciente. Este tipo de injerto se obtiene frecuentemente de áreas como la mandíbula (mentón o rama mandibular) o la cresta ilíaca. Una vez que se obtiene el bloque óseo, se adapta a la región receptora donde se fija mediante tornillos.
- Injerto particulado: Este método de injerto de hueso emplea hueso triturado en partículas, que puede ser autólogo, alógeno (de donante humano), xenógeno (de origen animal) o aloplástico (materiales sintéticos). Las partículas óseas se colocan en el defecto óseo y se compactan para promover la osteointegración.
- Elevación del seno maxilar: Es un procedimiento específico para aumentar la altura ósea en la región posterior del maxilar superior como ya te hemos explicado. Se accede al seno maxilar a través de una ventana lateral en la pared ósea, se eleva la membrana sinusal y se coloca el material de injerto en el espacio creado.
- Distracción osteogénica: Otra forma de abordar un injerto de hueso para proceder a colocar implantes dentales es la distracción osteogénica. Se trata de un método más reciente que se utiliza para aumentar el volumen óseo mediante la elongación gradual del hueso existente. Este procedimiento implica la realización de una osteotomía en la zona afectada y la colocación de un dispositivo que permite la separación controlada de los segmentos óseos.
- Técnica del encofrado: Implica la creación de un «marco» o «encofrado» utilizando láminas delgadas de hueso cortical autólogo, generalmente obtenidas de la mandíbula del propio paciente. Estas láminas se fijan alrededor del defecto óseo, formando un compartimento que se rellena con partículas óseas o hueso esponjoso.
Los métodos para realizar un injerto de hueso son variados y la elección de uno u otro depende de un análisis de las condiciones clínicas del paciente y de los requisitos específicos del implante. El objetivo es proporcionar una base ósea adecuada que permita la correcta osteointegración.
¿En Qué Situaciones es Necesario un Injerto de Hueso Dental?
Cuando se requiere colocar un implante dental y el remanente óseo es insuficiente para colocar el implante de manera adecuada. El hueso de la mandíbula o el maxilar puede presentar defectos de anchura, de altura o combinados. Especialmente frecuente es la necesidad de ganancia ósea en el seno maxilar. El procedimiento por el que se consigue aumentar el tejido óseo en esta zona es conocido como elevación sinusal.
Otras situaciones en las que se puede emplear el injerto óseo en odontología son el tratamiento de lesiones o quistes maxilares o las cortocotomías alveolares (para aumentar la base ósea donde mover los dientes con ortodoncia).

¿Es Complicado el Postoperatorio de un Injerto Dental?
Seguramente te estarás preguntando qué ocurre después de un injerto de hueso dental. ¿Duele el postoperatorio? ¿Me hincharé mucho? ¿Podré comer comer con normalidad? ¿Podré ir a trabajar?
Lo cierto es que después de someterse a un injerto de hueso dental es habitual padecer inflamación y/o dolor durante los cuatro o cinco días siguientes a la cirugía y limitación de la apertura bucal.
El pico de inflamación normalmente se alcanza a las 48 horas. A partir de este momento, la zona comienza a deshincharse y, generalmente, en menos de una semana el paciente recupera la normalidad.
El postoperatorio se controla de manera efectiva desde la clínica dental, donde el odontólogo prescribirá la medicación antibiótica pre y postquirúrgica necesaria, así como la medicación de tipo analgésico-antiinflamatorio para que todo curse de manera correcta, no duela mucho y la situación sea perfectamente soportable para el paciente, independientemente de su umbral de dolor.
Las complicaciones, tales como infección, lesiones nerviosas, exposición del injerto a las bacterias orales, etc., si bien son posibles, son muy infrecuentes. Cuando ocurren, tienen un manejo sencillo en la inmensa mayoría de los casos y se solucionan favorablemente en pocos días.
La limitación de la apertura bucal o trismo se produce por contracción de la musculatura oral para evitar el dolor que puede conllevar una apertura o movilización excesiva de los maxilares. Por lo general, se resuelve espontáneamente, de forma simultanea a la bajada de la inflamación y la vuelta a la función de masticación.
Recomendaciones para Después de un Injerto Dental
Para asegurar una recuperación exitosa tras un injerto dental, es crucial seguir una serie de recomendaciones y cuidados postoperatorios. Estas medidas ayudan a minimizar las complicaciones, acelerar la curación y garantizar la integración adecuada del injerto.
- Aplicación de frío local: Aplicar frío en la zona operada es una medida antiinflamatoria muy útil. Pueden utilizarse bolsas de geles de venta en farmacia, hielo aplicado directamente en la zona (protegida por un paño o tela) o trucos caseros, como el empleo de bolsas de verduras congeladas (que se adaptan a la zona operada).
- Elevar la cabeza al dormir: Dormir con la cabeza más elevada que el resto del cuerpo (ligeramente incorporada o colocar dos almohadas).
- Enjuagues antisépticos: Enjuagues con antisépticos como la clorhexidina o agua tibia salada. Comenzarán a utilizarse pasadas 24 horas de la intervención para favorecer la correcta formación de un coágulo estable en los bordes de la herida y evitar sangrados.
- Dieta blanda: Sustituir los alimentos duros o gomosos por comida blanda para evitar el dolor.
- Evitar alimentos calientes: Evitar alimentos y bebidas excesivamente calientes, pues estimularán la vasodilatación y el sangrado de la zona intervenida.
- Limitar la actividad física: Limitar los esfuerzos físicos y actividades deportivas durante los días inmediatamente posteriores a la intervención para evitar sangrados, aperturas de las suturas quirúrgicas, etc. Eso no significa que el paciente no pueda realizar la inmensa mayoría de sus actividades normales, incluyendo la vida laboral.
- Geles de ácido hialurónico: Empleo de geles de acido hialurónico en los bordes quirúrgicos para promover un cierre temprano de la herida sin complicaciones.
- Fisioterapia: Fisioterapia y ejercicios de apertura y cierre de la boca, en los casos en que el trismo ha sido muy importante. Esto ayudará a la recuperación progresiva de la apertura y la masticación.
En la elevación sinusal, además, se suele recomendar:
- Evitar volar, nadar y bucear durante 4 semanas, por los posibles efectos de los cambios de presión en la zona sinusal.
- No sonarse la nariz las primeras dos o tres semanas tras la intervención. Es preferible recurrir al suero salino o espray de agua marina para la limpieza nasal del lado operado.
Siguiendo estas recomendaciones, se puede optimizar el proceso de curación y asegurar el éxito del injerto dental, permitiendo la posterior colocación de implantes y la recuperación de la funcionalidad y estética dental.
