En nuestra clínica somos reconocidos especialistas en implantología y regeneración ósea. Gracias al desarrollo de la odontología, hoy día es posible que, incluso personas con poco hueso maxilar, puedan reponer sus dientes perdidos con implantes y rehabilitaciones protésicas fijas -más cómodas, seguras y estéticas que las prótesis removibles-. Para ello, la implantología se ayuda de una serie de técnicas quirúrgicas de regeneración ósea, entre las que se encuentra el injerto de hueso dental.
Un injerto de encía es un procedimiento odontológico crucial para corregir problemas de recesión gingival y restaurar la salud periodontal. Si alguna vez has tenido problemas con tus encías, como recesión o pérdida de tejido gingival, seguramente te interesa conocer más sobre este procedimiento. Un injerto de encía puede ser la solución que estás buscando para restaurar la salud y belleza de tu sonrisa. Acompáñanos mientras exploramos qué es un injerto de encía, quiénes son candidatos aptos para este procedimiento y cuál es el proceso quirúrgico involucrado.

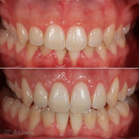
La recesión gingival ocurre cuando el tejido que rodea los dientes se desgasta o retrocede, dejando expuesta la raíz del diente. Esta condición no solo puede afectar la apariencia estética de tu sonrisa, sino también tener consecuencias negativas para tu salud dental.
Durante un injerto de encía, se toma tejido gumal adicional de otra área (como el paladar) y se coloca sobre las áreas afectadas en las encías. Este nuevo tejido actúa como una especie de «parche» natural, cubriendo la raíz del diente expuesta y restaurando así su apariencia y función normal. Generalmente se realiza bajo anestesia local para asegurar tu comodidad durante todo el proceso.
¿Qué es un Injerto de Encía?
Si te diagnosticaron retracción de las encías, es probable que tu dentista te recomiende una cirugía de injerto de encía como tratamiento para mejorar esa condición. Es un procedimiento bastante común, pero es importante entenderlo antes de que te lo hagan. Sigue leyendo que te explicamos todo lo que debes saber.
Un injerto de encía es una cirugía dental para tratar la retracción de las encías, que es una condición en la que este tejido se va alejando de los dientes y las raíces quedan expuestas. Con la cirugía se cubre la raíz expuesta y se le añade volumen a las encías, al reemplazar el tejido perdido, mejorando así tu salud oral. El encargado de llevar a cabo esta cirugía es un periodoncista, que es un dentista especializado en enfermedades de las encías.
El injerto en la encía ayuda no solo a mejorar la función de tu boca, sino también la apariencia de tu sonrisa. Protege tus dientes de más daños, mejora tu salud oral y reduce el riesgo de enfermedades periodontales.
Es importante resaltar que cada caso es único y requiere una evaluación individualizada por parte del profesional dental. Por eso, si tienes preocupaciones relacionadas con la recesión gingival u otros problemas en tus encías, te recomendamos acudir a nuestra clínica dental para una consulta personalizada. Recuerda que mantener unas encías sanas es fundamental para preservar la salud bucal a largo plazo.
Beneficios del Injerto de Encía
Optar por un injerto de encía puede ayudar a mejorar la salud bucal y estética, ya que se utiliza para corregir problemas como recesión gingival o encías retrocedidas.
Uno de los principales beneficios del injerto de encía es que ayuda a proteger las raíces dentales expuestas debido a la retracción gumal. Cuando las raíces quedan al descubierto, pueden volverse sensibles al calor, frío y otros estímulos externos. Al realizar el injerto de encía, se cubren estas áreas vulnerables con tejido gingival sano, lo que reduce la sensibilidad dental y mejora el confort general.
Además, el injerto de encía también puede ayudar a prevenir futuras complicaciones dentales. Las raíces dentales expuestas son más susceptibles a daños y enfermedades periodontales como caries o infecciones bacterianas. Al optar por un injerto de encía, se refuerza la protección contra estos problemas potenciales.
Otro beneficio importante del injerto de encía es su capacidad para mejorar la estética dental. La recesión gingival puede hacer que los dientes parezcan más largos o desproporcionados en relación con las demás características faciales.
Tipos de Injertos de Encía
La recesión gingival se produce cuando el tejido de las encias se debilita y empieza a reducirse en volumen, dejando expuesta una mayor cantidad de la raiz del diente, lo que da lugar a un incremento de la sensibilidad dental y, a veces, puede suponer incluso un problema estetico. En estos casos, la solucion pasa por realizar un injerto de encia. Un procedimiento que implica extraer una pequena cantidad del tejido del paladar del propio paciente y colocarlo en la zona donde esta la encia afectada por la recesion.
Existen diferentes tipos de injertos de encía, cada uno con sus propias características y aplicaciones. Los principales son:
- Injerto de tejido conectivo: el periodoncista abre un pequeño colgajo en el paladar y extrae un trozo de tejido conectivo de debajo de la capa superior de tejido; este corte se cierra con suturas. Luego, se pone el injerto donde se necesita. Es el tipo más común. Se realiza practicando un incisión en el paladar y extrayendo únicamente la capa de conectivo que está debajo del epitelio palatino.
- Injerto gingival libre: es similar al anterior, en este también se extrae tejido del paladar, pero no se hace un colgajo, sino que se toma directamente del cielo de la boca. Es ideal para las personas que tienen encías delgadas y necesitan evitar el aumento de la recesión. A diferencia del injerto de tejido conectivo, el injerto libre está formado por epitelio y conectivo, por lo que la herida del paladar queda abierta y el post-operatorio suele ser un poco más molesto.
- Injerto pediculado: crean un colgajo de tejido de un área justo al lado de la retracción gingival y lo usa para cubrir el área del tejido afectado. Es decir, se cubre la retracción con tejido local, no se toma de otra parte. Suele ser muy exitoso, pero necesitarás tener mucho tejido en las zonas adyacentes a la del problema. Se trata la recesión gingival de un diente tomando encía del diente contiguo, siempre que esta sea suficientemente gruesa y el diente donante no quede perjudicado.
Algunos pacientes necesitan tejido de un banco de tejidos.
¿Cuándo es Necesario un Injerto de Encía?
El injerto de encía es un procedimiento dental que puede ser beneficioso para muchas personas. Sin embargo, no todos son candidatos aptos para someterse a esta cirugía. Es importante evaluar diferentes factores antes de determinar si alguien es adecuado para un injerto de encía.
La indicación más común por la que se recomienda un injerto de encía es por la retracción de las encías, que es un síntoma de enfermedades de las encías. También puede ser que el cepillado agresivo ocasione que las encías se retraigan. Otra razón para hacerse un injerto de encía es la intención de mejorar la apariencia de tu sonrisa.
En primer lugar, las personas que han experimentado una recesión gingival significativa pueden considerar el injerto de encía como una opción viable. La recesión gingival ocurre cuando la encía se retrae y deja al descubierto la raíz del diente. Esto no solo afecta la apariencia estética, sino que también puede provocar sensibilidad y aumentar el riesgo de enfermedad periodontal.
Los pacientes con encías delgadas o insuficientes también pueden ser buenos candidatos para un injerto de encía. Estas condiciones pueden hacer que los tejidos blandos sean más propensos a daños e infecciones, por lo que el injerto puede fortalecer y proteger las encías.
Además, aquellos que deseen mejorar su sonrisa estéticamente también podrían considerar un injerto de encía. El procedimiento puede ayudar a crear una línea de las encías más equilibrada y proporcionada, mejorando así la apariencia general del área bucal.
Es fundamental consultar con un periodoncista o dentista especializado en cirugías periodontales para determinar si eres candidato apto para un injerto de encía.
Indicaciones Médicas
El dentista recomendará un injerto de encía cuando la retracción de las encías es tal que causa la exposición de las raíces de los dientes. Ya que esto puede causar caries, más sensibilidad dental y abrasión. La exposición de la raíz puede dañar el hueso también, por eso es necesaria esta cirugía. En general, si esta condición no se trata, puede llevar a la pérdida del diente.
Factores de Riesgo
Ciertas personas tienen propensión genética a la retracción de las encías, por tanto, podrían necesitar un injerto para mejorar esta condición. Rechinar o apretar los dientes, tener enfermedades periodontales o fumar tabaco son factores de riesgo que afectan tus encías.
Recuerda que si dejas sin tratar esta condición en las encías, esto puede llevar a sufrir de caries, enfermedades de las encías graves, tus dientes podrán moverse y eventualmente podrías perder una o más piezas dentales.
La cirugía de injerto en la encía puede tomar una hora si necesitas solo un injerto, si son más áreas tomará más tiempo.
Preparación para la Cirugía
Si tu dentista sospecha que estás sufriendo de retracción de encías, te remite al periodoncista para una evaluación. Este especialista revisará la salud de tus encías y medirá las bolsas alrededor de los dientes. Además, mirará cuánta recesión tienes alrededor de cada diente. Puede que si la retracción no es tan severa, siga solamente monitoreando tu caso. Pero si se nota más complicada, entonces recomendará inmediatamente la cirugía.
Si fumas, debe dejar de hacerlo durante al menos una semana antes de la cirugía, también dejar de tomar medicamentos como aspirina o ibuprofeno que aumentan el sangrado. Sigue cualquier otra instrucción que te dé el dentista.
Procedimiento Paso a Paso
Hay distintas técnicas y materiales disponibles para llevar a cabo un injerto en la encía. Lo más común es tomar tejido del paladar y llevarlo al área afectada. En algunos casos se puede usar un sustituto de un banco de tejido.
Te colocarán anestesia local para adormecer el área de los dientes y encías a tratar. El periodoncista podría ofrecerte sedación, para tu mayor comodidad o incluso anestesia general, pero es muy poco común. Si tienes dudas sobre la sedación odontológica, pregunta tus opciones en la consulta inicial.
Luego, el especialista hará la incisión, creará una pequeña solapa en las encías y limpiarán la raíz de tus dientes. También tomará el tejido de la zona donde se haya decidido hacerlo dependiendo del tipo de injerto.
Después colocan el injerto sobre tu raíz expuesta, es decir, donde está la retracción de las encías. Finalmente, cierra las solapas que abrió al inicio con suturas, estas pueden ser absorbibles o tendrás que acudir a una cita posterior para retirarlas.
Cuidados Postoperatorios
Normalmente, te colocarán gasa en el lugar por unos 30 minutos, y un apósito que se caerá solo después de unos días o te lo retirarán en el consultorio en la primera cita de seguimiento. Podrás irte a casa cuando el periodoncista lo autorice, esto puede ser una o dos horas tras el procedimiento, si usaron sedación alguien deberá acompañarte. El especialista te dará las guías que debes seguir tras la cirugía de injerto de encías, síguelas al pie de la letra para reducir el riesgo de dolor e infección.
Por una o dos semanas tras el injerto trata de comer alimentos suaves y fríos, así previenes cualquier daño en la zona. Evita comidas duras y calientes que puedan quemar o irritar el injerto. Puedes comer huevos, pasta, yogur, vegetales bien cocidos, quesos suaves, helados y gelatinas.
El especialista recomendará un enjuague bucal antibacterial por las primeras semanas, así previenes la aparición de infecciones, placa y cualquier otro problema en el injerto. No debes cepillar o usar hilo dental en el área, hasta que tu doctor diga que es seguro hacerlo.
Podrían recetarte antibióticos para minimizar el riesgo de infecciones. También te indicarán antiinflamatorios para aliviar el dolor que puedes sentir en el paladar tras la extracción del tejido. Ponte hielo en la cara varias veces al día, así ayudas a aliviar el dolor y la hinchazón.
No deberás hacer ejercicio, levantar cosas pesadas o cualquier actividad extenuante por al menos una semana.
Aquí te dejamos una lista de cuidados postoperatorios más específicos:
- Te hemos dado un Enantyum 25mg. De esta manera, cuando se te pase el efecto de la anestesia (±4 horas), ya estará actuando el efecto del analgésico.
- Debes colocar hielo local sobre la zona envuelto en tela, debes aplicarlo mínimo 10 minutos para que disminuya la temperatura del tejido, hazlo varias veces a lo largo del día de hoy.
- Durante 7 días debes comer liquido/blando y frío.
- Durante el día de hoy no puedes cepillar la zona ni enjuagarte con nada.
Al día siguiente de la intervención:
- Debes enjuagarte (muy suave) con colutorio de clorhexidina al 0,12% 3 veces al día durante 14 días.
- Debes dejar el colutorio en la zona del injerto durante 1-2 minutos y no beber agua ni enjuagarte con agua durante la siguiente hora.
- No debes usar cepillo de dientes ni hilo dental en la zona del injerto.
A los 14 días:
- Retiraremos la sutura.
- Debes dejar de usar colutorio y pasar a usar GEL de clorhexidina en la zona del injerto y en la herida del paladar con ayuda de la férula.
- Sigue sin usar cepillo ni hilo dental.
A la siguiente semana (4º semana después de la cirugía):
- Iniciaras el cepillado con un cepillo dental ULTRA SUAVE en dirección encía diente.
- Y seguirás usando gel de clorhexidina 2 veces al día (mañana y noche).
7º semana después de la cirugía:
- Cambiaras el cepillo a uno BLANDO y debes comenzar a usar el hilo interdental, además debes seguir con el gel de clorhexidina 1 vez al día (noche).
Si te han realizado un injerto de encía, es probable que te hayan indicado cuidados específicos para garantizar la correcta cicatrización y el éxito del procedimiento. Un injerto de encía es una intervención quirúrgica menor que se lleva a cabo para tratar problemas como la recesión gingival, proteger las raíces dentales expuestas o mejorar la estética de tu sonrisa.
Después del procedimiento, es importante que descanses y evites actividades físicas intensas durante al menos 48 horas. El esfuerzo puede aumentar el riesgo de sangrado en el área tratada.
Es normal que haya un leve sangrado durante las primeras horas. Si esto ocurre en la zona del paladar, aplica una gasa limpia sobre la zona y presiona suavemente durante 20-30 minutos.
Coloca una bolsa de hielo envuelta en un paño sobre la mejilla cercana al injerto durante intervalos de 10-15 minutos durante las horas posteriores a la intervención.
Durante los primeros días, consume alimentos blandos como purés, yogures, sopas frías o batidos.
No comas alimentos como frutos secos, chicles o caramelos que puedan irritar el área o quedar atrapados en la herida.
Generalmente, te recomendarán no cepillar la zona del injerto durante las dos primeras semanas.
Es posible que te hayan recetado analgésicos o antiinflamatorios para controlar el dolor y la inflamación.
Fumar retrasa la cicatrización y aumenta el riesgo de fracaso del injerto.
Si notas síntomas como dolor intenso, inflamación excesiva, fiebre o pus, consulta de inmediato a tu dentista.
Es importante asistir a todas las citas de seguimiento programadas.
El éxito de un injerto de encía depende no solo de la habilidad del profesional, sino también de los cuidados posteriores que sigas. Dedica tiempo a cuidar tu boca y sigue las recomendaciones de tu dentista al pie de la letra. Si tienes dudas o inquietudes, no dudes en consultarlas con tu especialista.
Resultados Esperados y Tiempo de Recuperación
Aunque el proceso de recuperación total dura más tiempo, podrás volver al trabajo uno o dos días después de la cirugía. La semana siguiente de la cirugía debes asistir a una consulta de seguimiento, así el especialista revisará que todo está sanando como debe y que el injerto fue exitoso. Pasadas dos semanas ya podrías volver a cepillarte y usar hilo dental en el área.
El proceso poscirugía puede tomar un mes o más, esto depende de la cicatrización de cada persona, de tu salud general y de los cuidados que tienes tras el injerto.

Posibles Complicaciones y Cómo Evitarlas
Normalmente, los injertos de encías son bastante seguros, y hay pocas complicaciones, las infecciones. Consulta a tu médico si notas supuración o sangrado fuera de lo común alrededor del sitio del injerto. En casos muy raros puede que el tejido no se adapte bien a su nuevo espacio, entonces tendrían que repetir la cirugía.
El fracaso del injerto se nota cuando la encía va perdiendo color y podrías tener fiebre. También puede pasar que no estés conforme con cómo queda tu encía una vez que el injerto haya sanado. Hay una opción para corregir esto; la gingivoplastia, que consiste en darle forma a los tejidos de las encías.
Cirugía INJERTO GINGIVAL👅Parte1 Indicaciones Post quirúrgicas y Dieta #cucharadademipropiochocolate
Cuándo Llamar al Odontólogo
Si experimentas síntomas inusuales tras la cirugía, es mejor consultar con el dentista, como si el sangrado no se detiene después de aplicar presión por 20 minutos. También si el dolor, hinchazón y los moretones incrementan en lugar de disminuir con el tiempo.
¿Cuánto Duele un Injerto de Encía?
El nivel de dolor asociado con un injerto de encía puede variar de una persona a otra y depende de varios factores, como la sensibilidad individual, la extensión del procedimiento y la habilidad del cirujano. Pero, por lo general, el injerto de encías no duele.
¿Qué Comer Después de un Injerto de Encía?
Después de un injerto de encía, se recomienda seguir una dieta blanda y suave que no ponga en riesgo la zona tratada. Esto incluye alimentos como purés, sopas, yogures, compotas de frutas, huevos revueltos, pescado suave y carne picada.
Tiempo de Cicatrización de un Injerto de Encía
El tiempo necesario para que un injerto de encía cicatrice por completo puede variar según la extensión del procedimiento, la salud del paciente y la técnica utilizada. Por lo general, se espera que la cicatrización inicial ocurra en aproximadamente una semana, pero el proceso completo puede llevar varias semanas o incluso meses.
Precio del Injerto de Encía
El precio de un injerto de encía puede variar considerablemente dependiendo de factores como la complejidad del caso, los materiales necesarios, tipo de injerto, la clínica, la ciudad, la experiencia del profesional y otros tratamientos necesarios. En general, el costo de un injerto de encía suele oscilar entre 300 y 1.000 euros por diente. Este es un estimado general, deberás consultar con uno de nuestros especialistas para tener una valoración específica de tu caso.
Conclusión
En resumen, el injerto de encía es un procedimiento que puede escucharse complicado, pero que tiene muchos beneficios y un alto porcentaje de éxito, así como una recuperación relativamente rápida. Si sufres de retracción de las encías, consulta con nosotros sobre las opciones de tratamiento para ti.