Las fundas de zirconio se han convertido en un elemento revolucionario dentro del mundo de la odontología estética al ofrecer un equilibrio ideal entre belleza y funcionalidad. Los avances en odontología nos han brindado soluciones más estéticas y duraderas para la salud dental. En este artículo, exploraremos en detalle las características de los implantes y coronas de zirconio, desde sus propiedades estéticas hasta sus posibles limitaciones, para que puedas tomar una decisión informada.

¿Qué son las Coronas de Zirconio?
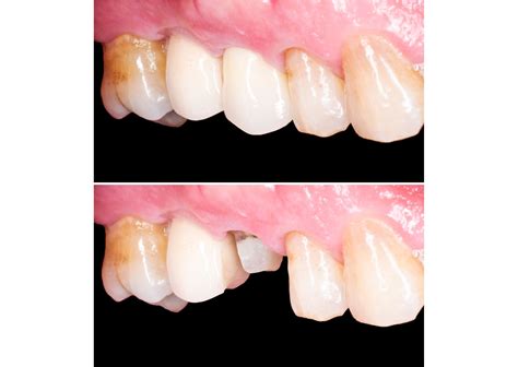
Una corona dental (comúnmente llamada funda) es una prótesis que cubre por completo un diente dañado, restaurando su forma, función y estética. Las coronas de zirconio son las fundas dentales catalogadas como las más estéticas que existen actualmente. En palabras sencillas, el zirconio monolítico es un bloque de cerámica de alta resistencia del color del diente que se talla mediante técnicas CAD/CAM para crear la corona a medida. A diferencia de otras coronas que combinan metal y porcelana, aquí toda la estructura es de zirconia pura. Las coronas son completamente de porcelana con un núcleo de circonio blanco en lugar de metal. Muchos pacientes a causa del nombre, creen que la corona está realizada completamente en zirconio. Pero, en realidad, solo la parte interna está hecha de ese material, sin embargo la parte externa está realizada en cerámica.
¿En qué casos se recomienda usar una corona de zirconio?
- Dientes muy deteriorados o con grandes caries: tras limpiarlos y tratarlos (a veces con endodoncia), cubrimos el diente debilitado con una corona de zirconio para protegerlo.
- Reemplazar un diente perdido con implante: las coronas de zirconio se usan tanto sobre dientes naturales como sobre implantes dentales.
- Mejorar la sonrisa (estética): en dientes anteriores (los de adelante que se ven al sonreír) solemos buscar máxima naturalidad.
Las coronas dentales de zirconia monolítica son muy versátiles. Valen tanto para un molar que mastica fuerte, como para un diente frontal que queremos que se vea bonito. Su uso se ha extendido muchísimo en los últimos años en casi todo tipo de rehabilitaciones orales.
TRATAMIENTO PASO a PASO con CORONAS DE ZIRCONIO para NO tener problemas en el futuro del tratamiento
Ventajas de las Coronas de Zirconio
Las fundas de zirconio ofrecen un equilibrio ideal entre belleza y funcionalidad.
- Estética superior: Una de las principales ventajas de las fundas dentales de zirconio es su capacidad para fusionarse estéticamente con el resto de los dientes, además de poderse colocar de manera individual. El color blanco del zirconio permite el uso de las coronas para un periodo más largo. Al tratarse de un material blanco y translúcido nos permite realizar prótesis de aspecto aún más natural y luminoso. Están especialmente indicadas para la zona estética anterior, de la sonrisa. Su translucidez y la ausencia de metales permiten que se disimulen perfectamente haciéndolas indetectables a la vista. El zirconio de hoy día tiene una translucidez similar a la de un diente real, especialmente en sus versiones de alta translucidez. Esto significa que la corona imita muy bien el color y brillo de tus dientes. De hecho, al no llevar metal, no aparece el borde oscuro en la encía con los años (ese borde gris que a veces se veía con las coronas de porcelana fundidas al metal cuando la encía se retraía).
- Higiene facilitada: La higiene también se ve facilitada con las fundas de zirconio, ya que se pueden limpiar individualmente evitando la formación de manchas y la acumulación de placa.
- Durabilidad a largo plazo: Con el transcurso del tiempo no se ven partes oscuras cerca de la zona de la encía. En condiciones ideales de producción y de uso, las coronas de metal-cerámica pueden durar 15-20 años. Si miramos a largo plazo, estas fundas no sufren de oscurecimiento cerca de las encías, un problema común en coronas de materiales menos avanzados como el composite.
- Resistencia y durabilidad: A pesar de esto tienen una gran resistencia, por lo que la estética no entra a competición con la funcionalidad. El zirconio es extremadamente duro y resistente a la fractura. Soporta fuerzas de mordida intensas mejor que casi cualquier otra cerámica dental. Por eso lo usamos con confianza en muelas que trituran alimentos duros. Además, desgasta muy poco con el tiempo: las coronas de zirconio prácticamente no se astillan ni erosionan tras años de uso.
- Biocompatibilidad: El zirconio dental es absolutamente compatible con el organismo humano. El zirconio es un material cerámico y biocompatible, es decir, el cuerpo lo tolera de maravilla. No produce alergias ni reacciones tóxicas. Con una corona de zirconio, la encía suele verse saludable alrededor, sin irritación.
- Libres de metal: Ligado a lo anterior, estas coronas no contienen metal en su interior. Por tanto, evitas dos inconvenientes clásicos de las coronas de metal-porcelana: 1) El borde metálico visible con la retracción de la encía (como ya mencioné, en zirconio eso no pasa, la base es del color diente), y 2) posibles sabores metálicos o corrientes galvánicas en boca que algunos pacientes sentían con prótesis metálicas. También te quitas el riesgo de corrosión del metal a largo plazo.
- Tallado conservador del diente: Con el zirconio, dado que es tan resistente, podemos hacer coronas más delgadas que las de porcelana convencional. Por tanto, en muchos casos no necesitamos desgastar tanto tu diente. Se conserva más estructura dentaria sana, lo cual siempre es una buena noticia (¡no queremos tocar más de lo necesario!).
- Resistente a manchas y olores: La superficie del zirconio es muy lisa y poco porosa una vez pulida. Esto hace que sea menos propensa a acumular placa bacteriana y pigmentos. En la práctica, la corona de zirconio tiende a mantener su color blanco con el tiempo. No se tiñe fácilmente con café, té, vino tinto u otros alimentos con colorantes. Ni se oscurece con el tabaco. Esto implica también que es más fácil de limpiar y mantener sin mal olor, ya que las bacterias resbalan más en su superficie pulida.
- Compatibilidad con técnicas modernas (CAD/CAM): Las coronas de zirconio suelen fabricarse mediante tecnología digital CAD/CAM. Se escanea la boca, se diseña la corona por ordenador y luego se fresa en un bloque de zirconio. ¿Qué se gana? Precisión milimétrica en el ajuste (encajan perfecto) y posibilidad de hacer coronas en el día en clínicas que tengan fresadoras avanzadas.
Desventajas de las Coronas de Zirconio
Sin embargo, las fundas de zirconio no están exentas de contras.
- Costo más elevado: La principal y única desventaja de la corona de óxido de zirconio es el coste económico que es más alto en comparación con las de metal-cerámica o de cerámica pura (véase los precios de las coronas dentales). Estas coronas, por el material y la tecnología que implican, son más caras que otras alternativas (porcelana convencional, metal-porcelana, resina). Sin embargo, muchos pacientes (y yo incluido) consideran que la calidad lo merece: pagas más pero obtienes más durabilidad y estética.
- Estética en casos muy exigentes: Las coronas de zirconio monolítico puras pueden ser ligeramente menos translúcidas que una corona 100% de porcelana fina. Por eso, en casos de estética extremadamente crítica (ej: un incisivo central en alguien con dientes muy translucidos), algunos técnicos optan por hacer una corona estratificada: zirconio por dentro y una capa de porcelana por fuera para lograr la máxima naturalidad en el color. Esa combinación logra un color perfecto, pero introduce el riesgo de que la porcelana externa se astille con los años.
- Dureza (¿desgasta otros dientes?): Al ser un material tan duro, existía la preocupación de que una corona de zirconio pudiera desgastar el diente contrario al morder (por fricción). Algunos dentistas lo han evitado en pacientes con bruxismo muy severo por este motivo. Es decir, requiere de un buen protocolo: siempre me aseguro de pulir y glasear la corona tras cualquier ajuste, precisamente para que quede lisa y no provoque desgaste en el diente antagonista. En manos inexpertas, este factor podría pasarse por alto.
- Difícil de retirar o ajustar: Si en el futuro hubiera que retirar la corona (por ejemplo, porque hay que rehacerla o tratar el diente debajo), el zirconio al ser tan resistente es más difícil de cortar o perforar para el dentista. Se necesitan fresas especiales de diamante y más tiempo. Igualmente, ajustar el color es complejo: una vez fabricada la corona, no se puede modificar mucho su tonalidad más que con maquillajes superficiales.
- No siempre es la opción ideal: Hay situaciones donde puede convenir otro material.
¿Qué son los Implantes de Zirconio?

Los implantes de zirconio son dispositivos diseñados para sustituir dientes perdidos o dañados, colocándose en el hueso maxilar o mandibular para actuar como raíces artificiales. Están fabricados con dióxido de zirconio (ZrO2), un material cerámico conocido por su resistencia y durabilidad. A diferencia de otros implantes, los implantes de zirconio ofrecen una alternativa completamente libre de metales.
Estos implantes están diseñados para integrarse con el hueso a través de un proceso llamado osteointegración, lo que les permite ofrecer una base estable para la colocación de coronas o prótesis dentales. El proceso de colocación suele implicar una cirugía en la que se inserta el implante en el hueso, seguida de un período de cicatrización que permite que el hueso se fusione con el implante.
El zirconio, como material cerámico, ha sido utilizado en odontología por sus propiedades de biocompatibilidad, y su uso en implantes ha aumentado en los últimos años debido a las mejoras en su fabricación y resistencia. Los implantes de zirconio son utilizados principalmente en la rehabilitación de pacientes que necesitan reponer uno o más dientes perdidos, proporcionando una solución a largo plazo que restaura tanto la función como la estética de la dentadura.
Proceso de colocación de los implantes de zirconio
El procedimiento para colocar los implantes de zirconio sigue una serie de fases bien estructuradas:
- La primera etapa es una evaluación exhaustiva del paciente, que incluye una revisión de su salud bucal general, radiografías y, en ocasiones, tomografías para analizar la densidad ósea y determinar la ubicación ideal para el implante.
- Posteriormente, en la fase quirúrgica, se realiza la colocación del implante. El procedimiento se efectúa bajo anestesia local o sedación, dependiendo del caso. El dentista hace una pequeña incisión en la encía para exponer el hueso y, con instrumental especializado, crea un espacio en el hueso maxilar o mandibular donde se inserta el implante de zirconio.
- Una vez colocado, el implante debe integrarse con el hueso a través del proceso de osteointegración, que puede durar de varios meses. Durante este tiempo, se espera que el hueso crezca alrededor del implante y lo fije en su lugar. Dependiendo del caso, se puede colocar una corona temporal sobre el implante durante la fase de cicatrización para proteger el área.
- Una vez que el implante se ha integrado adecuadamente con el hueso, se coloca una prótesis definitiva, como una corona o un puente dental, que será ajustada y moldeada para encajar de manera precisa y proporcionar una funcionalidad completa.
El resultado final es una restauración dental fija que actúa como un diente natural.
Cuidados y mantenimiento de los implantes de zirconio
El mantenimiento de los implantes de zirconio es fundamental para asegurar su longevidad y funcionalidad a lo largo del tiempo. Aunque los implantes están diseñados para ser una solución duradera, requieren cuidados específicos para evitar complicaciones y mantener una buena salud bucal.
- Higiene oral diaria: Es necesario cepillarse los dientes al menos tres veces al día, utilizando un cepillo de cerdas suaves y una técnica adecuada para limpiar tanto el implante como el área alrededor de la encía. También es fundamental el uso de hilo dental o cepillos interdentales para eliminar restos de comida y placa de las zonas difíciles de alcanzar.
- Enjuagues bucales: En algunos casos, el odontólogo puede recomendar el uso de un enjuague bucal antibacteriano para reducir el riesgo de infecciones alrededor del implante.
- Visitas regulares al dentista: Los pacientes con implantes de zirconio deben acudir a revisiones periódicas con su dentista, generalmente cada 6 meses. Durante estas visitas, se evalúa la salud del implante, se verifica el estado de las encías y se realiza una limpieza profesional para eliminar la placa y el sarro acumulado.
- Evitar hábitos perjudiciales: Es importante evitar hábitos como morder objetos duros, rechinar los dientes o fumar, ya que estos pueden comprometer la estabilidad del implante y afectar la salud de las encías.
- Dieta equilibrada: Mantener una dieta equilibrada también es esencial para la salud oral. Consumir alimentos ricos en vitaminas y minerales contribuye a la fortaleza del hueso que sostiene el implante y ayuda a mantener las encías en buen estado.
Ventajas de los Implantes de Zirconio
- Estética superior: Una de las principales ventajas de los implantes de zirconio es su color blanco, que se asemeja más al tono natural de los dientes y las encías. Esto los hace especialmente recomendables en casos donde la estética es prioritaria, como en los dientes frontales. A diferencia de los implantes de titanio, no existe riesgo de que el material se trasluzca bajo la encía, lo que puede ser un problema con encías delgadas.
- Biocompatibilidad: El zirconio es un material cerámico altamente biocompatible, lo que significa que tiene una baja probabilidad de causar reacciones alérgicas o inflamatorias. Esto lo convierte en una opción adecuada para personas con alergias o sensibilidad a los metales.
- Resistencia a la corrosión: A diferencia de los implantes de titanio, que pueden corroerse con el tiempo, el zirconio no se oxida ni reacciona con otros elementos presentes en la boca, como el ácido de los alimentos o la saliva. Esto le otorga una durabilidad y estabilidad a largo plazo.
- Compatibilidad con tejidos blandos: Los implantes de zirconio han demostrado tener una excelente compatibilidad con los tejidos blandos, como las encías, lo que favorece una cicatrización más rápida y una integración saludable en la boca.
- Sin metal: Para pacientes que buscan una opción sin metal, ya sea por razones de salud o preferencia personal, el zirconio es una alternativa atractiva al titanio.
Desventajas de los Implantes de Zirconio
- Fragilidad inicial: Aunque los implantes de zirconio han mejorado considerablemente en términos de resistencia, históricamente eran más frágiles que los de titanio. Si bien los avances en su fabricación han reducido este riesgo, aún pueden ser menos flexibles bajo cargas extremas.
- Disponibilidad limitada: No todos los dentistas ofrecen implantes de zirconio, ya que su uso es menos común en comparación con los implantes de titanio. Esto puede dificultar encontrar especialistas que trabajen con este material, además de que el tratamiento puede requerir técnicas específicas.
- Costo más elevado: Generalmente, los implantes de zirconio son más caros que los de titanio, debido tanto al costo del material como a los procesos de fabricación y colocación. Esto puede ser una barrera para algunos pacientes.
- Menos flexibilidad en casos complejos: Los implantes de titanio vienen en varias piezas, lo que permite más ajustes durante la colocación, mientras que muchos implantes de zirconio son de una sola pieza, lo que limita su versatilidad en ciertas situaciones.
- Menor historia clínica: Aunque el zirconio ha mostrado buenos resultados en estudios clínicos, el titanio tiene una trayectoria más larga en el campo de la implantología. Por lo tanto, algunas personas pueden preferir una opción con más evidencia acumulada a lo largo del tiempo.
Como puedes observar, las ventajas de las fundas y carillas de zirconio superan con creces sus desventajas convirtiéndolas en una opción valiosa para quienes buscan restaurar su sonrisa sin comprometer la funcionalidad ni la estética.
| Característica | Coronas de Zirconio | Implantes de Zirconio |
|---|---|---|
| Material | Dióxido de Zirconio (ZrO2) | Dióxido de Zirconio (ZrO2) |
| Estética | Alta, imita el color natural del diente | Alta, color blanco similar al diente y encía |
| Biocompatibilidad | Excelente | Excelente |
| Resistencia | Alta | Alta |
| Durabilidad | Larga duración | Larga duración |
| Costo | Más elevado que otras opciones | Más elevado que otras opciones |
| Disponibilidad | Amplia | Limitada |
tags: #zirconio #dental #ventajas #y #desventajas