¿Has notado que uno o varios de tus dientes se han incrustado en tus encías después de un accidente? Podrías estar experimentando una intrusión dental. Este tipo de trauma representa aproximadamente el 20% de los casos odontológicos, una cifra considerable en las estadísticas.
La intrusión dental se define como un movimiento del diente causado por factores fisiológicos, mecánicos o movimientos de ortodoncia. Se caracteriza por el desplazamiento vertical del diente hacia el interior de la cavidad bucal.

Causas de la Intrusión Dental
Los ciclistas y motoristas suelen sufrir accidentes donde el impacto en la cavidad bucal es tan fuerte que provoca este tipo de desplazamiento, conocido como luxación dentaria. Al tratarse de golpes, en ocasiones terminan representando un alto nivel de gravedad al no ser tratados a tiempo.
Además de los traumatismos, otras causas pueden incluir:
- Factores fisiológicos
- Mecánicos
- Movimientos fisiológicos de ortodoncia
Complicaciones de la Intrusión Dental
Si no se trata a tiempo, la intrusión dental puede llevar a complicaciones como:
- Necrosis o muerte pulpar: Muerte total o parcial de la pulpa debido a caries o lesiones.
- Anquilosis dental: Fusión anormal de dos huesos, resultando en rigidez e inmovilidad de la articulación.
En los casos más severos (Grado III), la corona dental no es visible clínicamente, lo cual representa un reto para el odontólogo, especialmente en niños y adolescentes.
Diagnóstico de la Intrusión Dental
El diagnóstico preciso es crucial para determinar el tratamiento adecuado. Este proceso incluye:
- Examen clínico exhaustivo: Anamnesis para obtener información sobre la lesión, duración del dolor y molestias.
- Exámenes físicos intrabucales: Evaluación de la posición del diente y su desplazamiento en la cavidad bucal. Se puede notar con exactitud si la corona del diente se encuentra desplazada en la cavidad bucal.
- Exámenes radiográficos: Radiografía periapical del diente afectado para evaluar el daño.

Tratamientos para la Intrusión Dental
El tratamiento se elige según el diagnóstico y la edad del paciente. Algunas opciones incluyen:
- Re-erupción espontánea: Se permite que el diente erupcione por sí solo, especialmente en dientes de leche con intrusiones leves.
- Exodoncia: Se realiza cuando el diente está incrustado en la zona folicular del diente permanente.
- Tratamientos de ortodoncia: Planificación ortodóncica que permita recolocar el diente a su posición ideal.
INTRUSIÓN DENTAL con el uso de miniimplantes en Ortodoncia
Efectivamente, teniendo un examen de diagnóstico ya previamente realizado, el odontólogo escogerá el tratamiento que mejor se adapte a tu trauma, es decir un tratamiento de calidad que se ajuste a tus necesidades y nivel de afección.
Intrusión Molar y Mordida Abierta
La mordida abierta anterior es una maloclusión donde uno o más dientes no establecen contacto con sus antagonistas, presentándose en la zona de los incisivos y extendiéndose hasta los molares. La intrusión molar es uno de los mecanismos principales para tratarla.
Los mini-implantes proporcionan una fácil colocación, remoción y bajo costo para tratar la mordida abierta anterior, ofreciendo un anclaje sin la colaboración del paciente. Los mini-implantes son roscas piramidales, autotrabantes, con un perfil levemente cónico, se presentan en diferentes alturas, diámetros y longitudes, son biocompatibles, no sufren de expansión, son pequeños para poder colo-carse en cualquier área de la boca y deben soportar cargas ortodónticas (hasta 300g) en todos los planos del espacio, pueden ser colocados y removidos con gran facilidad bajo anestesia local luego de completar la terapia biomecánica.
Este artículo explica cómo se logró el cierre de mordida abierta anterior, por medio de mini-implantes en maxila (zona vestibular y palatina con un botón de acrílico con ganchos) y mandíbula (zona vestibular). Se pretende explicar que los mini-implantes son eficientes para el tratamiento de la intrusión molar, porque ofrecen más opciones para la corrección de las maloclusiones sin depender tanto de los pacientes.

Reporte de un Caso Clínico
Paciente femenina de 21 años de edad, que fue referida a la Clínica de Ortodoncia de la División de estudios de Postgrado e Investigación de la Facultad de Odontología de la UNAM por presentar apiñamiento moderado dental superior e inferior y mordida abierta anterior.
Diagnóstico: El análisis de las fotografías faciales reveló una paciente dolicofacial, cara con forma ovalada, perfil recto, nariz recta, labios competentes, sonrisa positiva, la línea media facial coincide con la línea media dental. En el examen clínico intraoral se observó: mordida abierta anterior, mordida cruzada posterior, las líneas medias superior e inferior dentales no coinciden, clase I molar izquierda y derecha, clase I canina izquierda y derecha; forma de la arcada paraboloide, ligero apiñamiento en la zona anterior superior e inferior.
Plan de tratamiento: A la paciente se le sugirieron tres alternativas de tratamiento, una de ellas fue resolver la mordida abierta con la combinación de ortodoncia (tratamiento convencional con brackets prescripción MBT) y cirugía ortognática (impactación maxilar posterior). La segunda fue el tratamiento convencional de ortodoncia con extracción de premolares superiores e inferiores, brackets MBT 0.022″ anclaje máximo (superior con barra trans-palatal baja, head gear alto), (anclaje inferior con arco lingual). Y la tercera fue la intrusión de molares con mini-implantes en maxilar y mandíbula además de la colocación de un botón palatino con ganchos, colocación de aparatología fija con brackets prescripción MBT slot 0.022″, en la arcada superior como en la inferior. La paciente eligió la última opción; ésta fue la más conservadora, económica y menos riesgosa para la paciente.
Progreso del tratamiento: Se realizó la colocación de aparatología fija, brackets prescripción MBT 0.022″, bandas en primer y segundo molares maxilares, izquierdo y derecho con un botón soldado en la superficie palatina de ambas bandas y en mandíbula bandas con cajas linguales. Se colocaron arcos circunferenciales 0.016″ superior e inferior de NiTi para liberar el apiñamiento, las rotaciones y nivelar. Se aplicaron la serie de arcos indicada por la filosofía MBT hasta finalizar con arcos 0.019×0.025″ de acero.
Fueron colocados mini-implantes de la marca O.S.A.S Dewimed® auto-roscantes y auto-cortantes de diámetro de 2.5×1.6×6mm, en la zona de la línea muco-gingival por vestibular entre el primer y segundo molar, y en paladar se colocaron dos mini-implantes uno a cada lado de la sutura media palatina.5-7,10-13 Se realizó un botón acrílico con cuatro ganchos confeccionados de alambre de 0.036′ dos mesiales y dos distales a cada lado del botón, cercanos a la corona del primer y segundo molar; en el botón se hizo una ranura en la zona que está en contacto con el paladar con el fin de ser cementado con resina (Transbond XT 3M Unitek) para iniciar con la intrusión molar superior tanto en vestibular, como en paladar simultáneamente y para obtener un vector de fuerza vertical, además de insertar el tornillo con cierta inclinación para aumentar la superficie cortical de anclaje7,10 de acuerdo con el modelo sugerido por Ludwig9 (Figuras 5 y 6). El botón palatino se mantuvo en la boca durante 8 meses.
Para una mejor relación intermaxilar se colocaron elásticos clase III (3/16 de 6 oz, GAC Thailandia) durante este procedimiento. Para la consolidación de la sobremordida se utilizaron elásticos intermaxilares en caja de (1/8 de 3mm y 6 oz, GAC Fiji), en los segmentos anteriores y posteriores.4,1
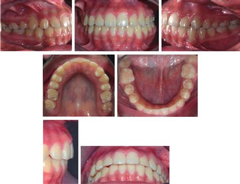
Resultados: Los resultados fueron obtenidos con el análisis y comparación de las fotografías modelos y cefalometrías de inicio y finalización del tratamiento. La fotografía facial de sonrisa mostró una mejora estética importante, se corrigió la desviación de la línea media y el apiñamiento dental, no se observó una diferencia en cuanto a la exposición dental comparada con la fotografía inicial, el perfil se mantuvo como al inicio de tratamiento.

Al realizarse la comparación de las fotografías iniciales y finales se la alineación y nivelación de las arcadas superior e inferior, el cierre de la mordida abierta anterior que dio como resultado una sobremordida vertical de 3mm y una sobremordida horizontal 4mm, también la consolidación de la clase I molar y canina, mordida cruzada de los segundos molares superiores.

Miniimplantes y Mordida Profunda
Las mordidas profundas en la región anterior son un problema frecuente en los pacientes con clase II severa, lo que nos obliga a enfocar nuestra terapéutica en una mecánica a corregir el problema mediante la extrusión de los dientes posteriores, o bien, mediante la intrusión de los dientes anteriores.
Dado que son diferentes situaciones las que pueden originar una mordida profunda, es de vital importancia realizar un diagnóstico adecuado de la etiología del aumento en la sobremordida para tomar la decisión que nos guiará en el plan de tratamiento.1 De igual forma, habremos de considerar el estado de salud periodontal de cada persona, puesto que sabemos que los movimientos de intrusión son los más complicados dentro de los movimientos ortodónticos, y la calidad del tejido periodontal nos determinará la conducta a seguir sin que esto nos impida realizar dicha mecánica.
En el pasado, sistemas de anclaje esqueletal tales como miniplacas, placas palatales y miniimplantes, han revolucionado el anclaje ortodóncico y han proporcionado un anclaje mucho más estable.1,4,5 De éstos, diversas investigaciones han demostrado que los miniimplantes nos ofrecen una de las mejores opciones para este fin, dadas las múltiples ventajas que nos ofrecen debido, sobre todo, a su fácil colocación en diversas zonas anatómicas y a su fácil manejo, así como a sus bajos costos.

Caso Clínico: Mordida Profunda Tratada con Miniimplantes
Se trata de un paciente masculino de 52 años de edad, el cual ingresa a la Clínica de Ortodoncia del Departamento de Postgrado e Investigación de la Facultad de Odontología, UNAM. Se diagnostica como paciente con maloclusión clase esquelética II combinada, clase II canina bilateral, clases molares no valorables por ausencia de órganos dentarios y compromiso periodontal controlado. Se decide como plan de tratamiento la colocación de aparatología fija ortodóntica de prescripción Roth slot 0.018 en ambas arcadas, fase II quirúrgica periodontal con corticotomía de segmento anterior superior y colocación de dos miniimplantes de 7mm (Dewemed) a nivel de fondo de saco entre las raíces de 12-13 y 22-23.
Después de iniciar con la fase I del tratamiento ortodóntico y conseguir una correcta alineación y nivelación de los segmentos anteriores (Figura 2), se pudo lograr una adecuada corrección de la sobre-mordida vertical, eliminando así la mordida profunda anterior.

Sin embargo, la falta de control en los vectores y tipo de fuerza en los elásticos provocó como efecto colateral una ligera proinclinación de los incisivos; para corregir la proinclinación excesiva de los incisivos se colocó un arco de acero de calibre 0.016×0.016 pulgadas con llaves de contracción para retraer el segmento anterior completo (Figura 4).
Finalmente, después de haber resuelto el problema principal del caso se estabilizó la oclusión con las propias restricciones que un caso con compromiso periodontal impone, por lo que se realizaron movimientos con fuerzas ligeras sin exceso de fuerza en el torque y en el tiping para evitar complicaciones en el estado de salud periodontal, por lo que una oclusión ideal propiamente dicha es difícilmente obtenida en este tipo de pacientes. No obstante, la alineación, nivelación y estabilización del caso logran por sí mismos una mejoría importante en la salud periodontal y la función oclusal en este tipo de pacientes.
Intrusión Dental y Ortodoncia con Alineadores
El tratamiento con ortodoncia de la mordida abierta anterior con alineadores, Invisalign o Spark clásicamente ha sido un reto para el ortodoncista.
Si además de la extrusión de los dientes anteriores, solicitamos intrusión de lo dientes posteriores se aplicará el principio de acción y reacción propuesto en la tercera ley de Newton5: “Actioni contrariam semper et æqualem esse reactionem: sive corporum duorum actiones in se mutuo semper esse æquales et in partes contrarias dirigi”. Es decir, para toda acción hay siempre una reacción igual y en sentido opuesto. Por lo tanto, si extruimos los dientes anteriores apoyándonos en los dientes posteriores, a estos se le aplicará una fuerza intrusiva, mientras que si pedimos intrusión de los dientes posteriores apoyándonos en los dientes anteriores a estos se le aplicará una fuerza extrusiva.
En 2021 Spark de Ormco lanza al mercado los Posterior Bite Turbos o levantes de mordida posteriores integrados en los alineadores. En este caso no es necesario pedir ataches en las caras oclusales de los molares ni tampoco es necesario rellenarlo de composite gracias a la resistencia de estos Bite Turbos.

Conclusión
La intrusión dental es un problema que requiere un diagnóstico y tratamiento adecuados. Con las técnicas modernas de ortodoncia y los mini-implantes, es posible corregir la intrusión dental y mejorar la salud bucodental del paciente.
tags: #intrusion #dental #ortodoncia