El tratamiento Invisalign es una excelente opción para corregir la posición de los dientes y lograr una sonrisa más alineada y atractiva. Una sonrisa brillante y blanca puede aumentar la confianza y mejorar la autoestima. Después de un tratamiento de Invisalign, muchas personas notan una mejora en su autoestima debido a la corrección de sus dientes.

¿Por qué se produce la decoloración dental después de Invisalign?
Sin embargo, una vez que el tratamiento ha finalizado, es posible que notes que tus dientes han adquirido un tono amarillento o manchas debido a ciertos alimentos, bebidas y hábitos. Después de un tratamiento de ortodoncia invisible, es común que los dientes se vean opacos y sin brillo debido al uso constante de los alineadores. Durante el tratamiento, es importante retirar los alineadores para comer y beber cualquier alimento o bebida con colorantes fuertes como el café, el té o el vino tinto. Al no retirarlos, los dientes pueden mancharse incluso con el uso de los alineadores.
Factores que influyen en el color de los dientes
- Una limpieza bucodental inadecuada puede provocar la acumulación de placa y sarro, que a su vez puede derivar en la aparición de manchas y decoloración en los dientes.
- Alimentos y bebidas como café, el té negro, el vino tinto o los frutos rojos y pueden manchar los dientes.
- Con el avance de la edad, el esmalte dental se desgasta de forma natural, dejando a la vista una dentina de tono más amarillento.
Blanqueamiento dental después de Invisalign
El blanqueamiento dental se puede realizar después de que el tratamiento de Invisalign haya finalizado por completo. Esto significa que no afectará a la efectividad del tratamiento ni interferirá con los alineadores mientras estén en uso. A diferencia de otros tratamientos dentales, el blanqueamiento dental produce resultados rápidos y visibles en un corto período de tiempo. En la mayoría de los casos, los pacientes notan una diferencia en el color de sus dientes después de una sola sesión de blanqueamiento.

Consideraciones importantes
- Aunque el blanqueamiento dental es un procedimiento seguro y efectivo, puede causar sensibilidad dental en algunos pacientes. Esto se debe a que los productos utilizados para blanquear los dientes pueden penetrar en el esmalte y causar irritación en los nervios.
- El blanqueamiento dental es un procedimiento cosmético y, por lo tanto, no está cubierto por la mayoría de los planes dentales. Por lo tanto, puede ser un coste adicional para los pacientes que ya han invertido en el tratamiento de Invisalign.
- Una vez que se ha realizado el blanqueamiento dental, es importante cuidar adecuadamente los dientes para mantener los resultados. Esto incluye evitar alimentos y bebidas que pueden manchar los dientes y seguir una rutina de higiene dental adecuada.
- El blanqueamiento dental no es un procedimiento permanente y generalmente se suele necesitar un retoque cada cierto tiempo para mantener los resultados.
Compatibilidad de los alineadores invisibles con el blanqueamiento dental
El uso de alineadores invisibles se ha popularizado en los últimos años como una alternativa estética y cómoda a los brackets tradicionales. Sin embargo, surge la pregunta de si es posible combinarlos con tratamientos de blanqueamiento dental. La compatibilidad entre ambos procedimientos depende de varios factores, incluyendo el tipo de alineador y el método de blanqueamiento utilizado. Los alineadores invisibles están hechos de un material plástico que puede reaccionar de manera diferente a los agentes blanqueadores.
Es crucial entender que algunos productos de blanqueamiento pueden debilitar o decolorar el material de los alineadores, afectando su eficacia y apariencia. Por lo tanto, es importante consultar con un profesional dental antes de iniciar cualquier tratamiento combinado. Existen diferentes métodos de blanqueamiento dental, como el uso de geles blanqueadores, tiras blanqueadoras y tratamientos en consultorio. Cada uno de estos métodos tiene sus propias consideraciones cuando se usa junto con alineadores invisibles. Por ejemplo, los geles blanqueadores pueden ser más fáciles de integrar con el uso de alineadores, siempre y cuando se apliquen correctamente.
Consideraciones para el uso conjunto
Para aquellos que desean usar alineadores invisibles y blanquear sus dientes al mismo tiempo, es importante seguir ciertas recomendaciones. Aquí hay algunas consideraciones clave:
- Consultar siempre con un ortodoncista o dentista antes de comenzar cualquier tratamiento combinado.
- Utilizar productos de blanqueamiento que sean compatibles con el material de los alineadores.
- Seguir las instrucciones del fabricante para evitar daños en los alineadores.
En algunos casos, los dentistas pueden recomendar realizar primero el tratamiento de blanqueamiento y luego proceder con los alineadores invisibles. Esto puede ayudar a evitar cualquier posible interacción negativa entre los productos.
Beneficios y desafíos del uso simultáneo
El uso simultáneo de alineadores invisibles y tratamientos de blanqueamiento dental puede ofrecer varios beneficios, pero también presenta desafíos que deben ser considerados. Uno de los principales beneficios es la capacidad de lograr una sonrisa más blanca y alineada en un período de tiempo más corto. Sin embargo, uno de los desafíos más significativos es el riesgo de irritación en las encías y los tejidos blandos de la boca. Los agentes blanqueadores pueden causar sensibilidad, y cuando se combinan con el uso de alineadores, este efecto puede intensificarse. Es crucial monitorear cualquier signo de irritación y consultar a un profesional si se presentan problemas.
Además, el uso de alineadores invisibles requiere un compromiso de tiempo significativo, ya que deben usarse durante la mayor parte del día. Esto puede complicar la aplicación de productos blanqueadores, que a menudo requieren tiempo adicional para ser efectivos. La planificación cuidadosa y la adherencia a un horario estricto son esenciales para maximizar los beneficios de ambos tratamientos.
Estudios de caso y estadísticas
Algunos estudios han demostrado que el uso de alineadores invisibles no interfiere significativamente con la eficacia de los tratamientos de blanqueamiento dental. Por ejemplo, un estudio realizado en 2020 encontró que el 85% de los pacientes que usaron ambos tratamientos simultáneamente reportaron resultados satisfactorios en términos de blanqueamiento y alineación.
Resultados del estudio:
- El 70% de los pacientes experimentaron una mejora notable en la blancura de sus dientes.
- El 60% reportó una reducción en la sensibilidad dental después de ajustar el método de aplicación del blanqueador.
- El 90% de los participantes recomendaron el uso combinado a otros pacientes.
Estos resultados sugieren que, con la orientación adecuada, es posible lograr una sonrisa más blanca y alineada sin comprometer la salud dental.
Recomendaciones profesionales y mejores prácticas
Para aquellos interesados en combinar alineadores invisibles con tratamientos de blanqueamiento dental, seguir las recomendaciones de los profesionales es crucial. Los dentistas y ortodoncistas pueden proporcionar orientación sobre los productos más adecuados y las técnicas de aplicación más efectivas. Una de las mejores prácticas es realizar un seguimiento regular con el dentista para evaluar el progreso y ajustar el tratamiento según sea necesario. Esto puede ayudar a identificar cualquier problema potencial antes de que se convierta en un problema mayor.
Además, es importante mantener una buena higiene oral durante todo el proceso. Esto incluye cepillarse los dientes al menos dos veces al día, usar hilo dental y enjuague bucal, y limpiar los alineadores regularmente para evitar la acumulación de placa y bacterias.
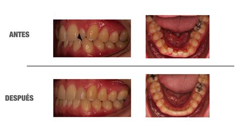
La sonrisa de Santiago: Invisalign Full y blanqueamiento dental combinado
Consejos adicionales
Aquí hay algunos consejos adicionales para aquellos que buscan combinar estos tratamientos:
- Evitar alimentos y bebidas que puedan manchar los dientes, como el café y el vino tinto.
- Usar una pasta dental para dientes sensibles si se experimenta sensibilidad durante el tratamiento.
- Considerar el uso de alineadores con compartimentos especiales para geles blanqueadores, si están disponibles.
Siguiendo estas recomendaciones, los pacientes pueden maximizar los beneficios de ambos tratamientos y lograr una sonrisa más saludable y atractiva.
¿Invisalign amarillea los dientes?
Algunas personas dudan de si iniciar un tratamiento de ortodoncia invisible porque han escuchado que puede provocar que los dientes se tornen amarillentos. Sin embargo, lo cierto es que Invisalign y los dientes amarillos no están para nada ligados. Los alineadores están fabricados con materiales plásticos transparentes de alta calidad que no afectan al color natural de los dientes, pero asún así es imprescindible mantener una buena higiene bucodental durante el tratamiento.

Cepillarse los dientes tras cada comida, antes de colocar los alineadores, hará que no puedan proliferar bacterias bajo los mismos, uno de los principales problemas de los dientes amarillos con Invisalign y cualquier otro sistema de ortodoncia en Madrid. Por eso mismo hay que poner especial atención a la limpieza adecuada de las férulas, pues previene la acumulación de placa y posibles manchas. La limpieza dental profesional no blanquea los dientes como tal, pero sí puede eliminar manchas superficiales y hacer que tu sonrisa luzca mucho más bonita.
¿Cómo limpiar un Invisalign amarillo?
Aunque las férulas de Invisalign van reemplazándose de forma habitual durante el tratamiento de ortodoncia invisible, mantener unas rutinas de higiene inadecuadas puede hacer que el material termoplástico de los aligners se vuelva opaco y pierda su transparencia. Existen algunos remedios caseros que pueden ayudar a evitar que los alineadores de Invisalign se vuelvan amarillentos.
- Bicarbonato de sodio: Esta sustancia de lo más habitual en los hogares españoles es un blanqueador natural que puede resultar útil a la hora de limpiar los alineadores Invisalign. Después, asegúrate de cepillarlas con suavidad y de enjuagarlas bien con agua fría antes de volver a ponértelas.
- Pasta de dientes: Aunque no se recomienda con todos los tipos de pasta dental, aplicar fina capa de pasta de dientes sobre las férulas durante varias horas puede ser efectivo para eliminar manchas superficiales. Esto te permitirá reducir la intensidad del tono de tu Invisalign amarillo.
- Jabón de manos pH neutro: Utilizar un jabón de manos pH neutro puede ser otra buena opción para la limpieza diaria de los alineadores.
- Vinagre blanco: Para limpiar tus alineadores, mezcla partes iguales de vinagre blanco y agua en un recipiente y sumerge los aligners durante aproximadamente 30 minutos.
- Agua tibia y jabón suave: Lavar tus alineadores con agua tibia y jabón suave al menos dos veces al día.
Sistema de blanqueamiento Invisalign Professional Whitening System
Utilice el sistema de blanqueamiento Invisalign Professional Whitening System con pacientes que quieran mejorar o conservar sus sonrisas. Considere la posibilidad de ofrecer un blanqueamiento durante las consultas iniciales de los pacientes sobre el sistema Invisalign para motivarlos de cara a su tratamiento Invisalign. El sistema de blanqueamiento Invisalign Professional Whitening System está diseñado para usarse con aligners transparentes Invisalign y retainers Vivera.
El sistema de blanqueamiento Invisalign Professional Whitening System se puede aplicar en cualquier momento durante el tratamiento. Se puede incluir fácilmente en la planificación del tratamiento y, si es necesario, se puede aplicar por adelantado durante la consulta inicial de los pacientes para animarlos con el proceso de tratamiento Invisalign. El sistema de blanqueamiento Invisalign Professional Whitening System se puede administrar después de haber cementado los attachments.
El sistema de blanqueamiento Invisalign Professional Whitening System contiene un ingrediente blanqueador activo, concretamente, el peróxido de carbamida. El gel de peróxido se descomponen en moléculas de agua, oxígeno y oxígeno reactivo. Estas moléculas de oxígeno reactivo tratan tanto el esmalte como la dentina, oxidando los enlaces de las moléculas pigmentadas. Al cambiar las moléculas pigmentadas, el color del diente se vuelve más claro. Las moléculas de oxígeno reactivo que se han formado durante el proceso de blanqueamiento impregnan todo el diente, por lo que no es necesario que el agente blanqueador entre en contacto con todas las superficies del diente que se quiere blanquear.
tags: #invisalign #blanquea #los #dientes