En la búsqueda de una sonrisa perfecta, la combinación de tratamientos como Invisalign y las carillas dentales se ha vuelto cada vez más popular. Ambos procedimientos ofrecen soluciones estéticas significativas, pero es crucial entender sus ventajas y desventajas para tomar una decisión informada.

¿Qué es Invisalign?
Hace años, hablar de ortodoncia era sinónimo de brackets metálicos y sonrisas llenas de alambres. Pero, por suerte, el tiempo y la tecnología han revolucionado la forma en que podemos corregir vuestras sonrisas. La ortodoncia Invisalign es sinónimo de comodidad, estética y resultados espectaculares. Con esta ortodoncia invisible puedo corregir tu sonrisa sin que nadie, o casi nadie, lo note. Suena bien, ¿verdad?
Todo se basa en un software 3D avanzado que me permite planificar cada movimiento dental desde el inicio hasta el final del tratamiento. Cada alineador está planificado, diseñado y adaptado a medida de cada paciente y de su tipo de tratamiento.
Ventajas de Invisalign
- Comodidad: Sin rozaduras, sin alambres sueltos, sin urgencias.
- Estética: Los alineadores son transparentes.
- Higiene: Al poder quitártelos, la limpieza dental diaria es igual de efectiva que sin ortodoncia.
- Menos visitas: Los alineadores se entregan en sets, y muchas veces solo necesitas realizar un control mensual o bimensual.
- Planificación: Mi misión es planificar cada caso al milímetro.
Os hemos preparado un divertido vídeo con las diferencias entre la ortodoncia clásica e Invisalign y sobre quién ganaría en un hipotético partido de fútbol.
Invisalign vs. Brackets: ¿Cuál es Mejor? Guía Completa y Comparativa
Tipos de Tratamiento Invisalign
- Invisalign Comprehensive: Es el tratamiento ideal para los tratamientos más largos, complejos y completos. Dura entre 12 y 18 meses.
- Invisalign Moderate: Ideal para los tratamientos medios y completos.
- Invisalign Lite: Diseñado para casos moderados.
- Invisalign Teen: Pensado para niños y adolescentes, con indicadores de uso y espacio para dientes que aún están erupcionando.
- Invisalign i7: Para pequeñas correcciones estéticas. Menor duración y número de alineadores.
- Invisalign First: Una de las últimas innovaciones de Invisalign. Sirve para realizar primeras fases de expansión ósea (ortopedia) en niños.
Recomendaciones
- Se recomienda lavar los alineadores diariamente con agua fría o tibia (nunca uses agua muy caliente o los hiervas) y usar un cepillo normal tipo medio o suave.
- Evita bebidas calientes o con mucho colorante (café, vino, remolacha,…) con los alineadores puestos.
- Guárdalos en el estuche que te damos siempre que no los uses.
En nuestra clínica dental, el escaneo digital y las revisiones están incluidos en el presupuesto total. Ofrecemos posibilidad de pagos fraccionados y de financiación.
Una de las características que más me gustan de este tipo de ortodoncia es que a las pocas semanas ya puedes notar cómo los dientes se alinean.
Es un tratamiento comodísimo, muy estético, tan eficaz o más que los brackets y adaptado cualquier ritmo de vida.
Preguntas Frecuentes sobre Invisalign
- ¿Puedo comer con Invisalign puesto? No.
- ¿Cuántas horas al día hay que llevarlo? Entre 20 y 22 horas diarias.
- ¿Qué pasa si me salto un alineador? No sigas al siguiente sin consultar con tu ortodoncista.
- ¿Cuánto tiempo tardaré en ver resultados? Muchos pacientes notan cambios en 4 a 6 semanas.
¿Qué son las Carillas Dentales?
Las carillas dentales son un tratamiento estético que consigue resultados muy impactantes a nivel de mejora en el rostro de una persona. Trabajamos para que tengas la sonrisa perfecta, alineando tus expectativas con nuestras recomendaciones.
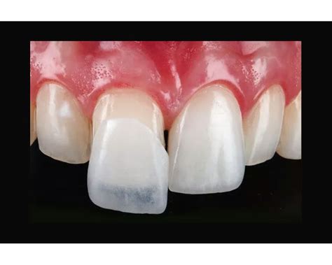
Para corregir dientes fracturados, manchados, desalineados, desgastados o con una separación anormal, normalmente recurrimos a las carillas dentales estéticas. Este tratamiento estético consiste en adherir unas finas láminas a la parte frontal de los dientes y que se confeccionan a medida de cada paciente.
Tipos de Carillas
Las carillas de porcelana se confeccionan en un laboratorio autorizado a raíz del molde de nuestros dientes.

Ventajas de las Carillas Dentales
- Mejora la estética dental de forma rápida.
- Corrige imperfecciones como manchas, fracturas y desalineaciones leves.
Desventajas de las Carillas Dentales
- Existe posibilidad de tinción.
- Son irreversibles: Para colocar las carillas adecuadamente hay que preparar el diente a través de un contorneado estético que facilite su adhesión.
- Es posible que haya que realizar un tratamiento de ortodoncia previo.
- Si existe enfermedad de las encías (periodontitis) es necesario controlarla antes de ponerse carillas ya que podría poner en riesgo la correcta adhesión de las carillas e incluso podría agravar la inflamación en las encías.
- Cuando el esmalte está muy dañado debido a caries, fracturas o erosión, las carillas pueden no tener una buena superficie de adhesión y ser más propensas a romperse o desprenderse.
Consideraciones Importantes
Muchos de estos tratamientos se hacen en apenas unas horas, siendo imposible dedicar el tiempo suficiente a realizar un diagnóstico completo o una planificación personalizada para cada paciente. “Todo tratamiento conlleva unos riesgos, y si no se evalúa correctamente el estado bucodental de cada persona, pueden surgir inconvenientes a corto y largo plazo, como sensibilidad dental, problemas en las encías e, incluso, la pérdida dental.
Preguntas Frecuentes sobre Carillas
- ¿Es doloroso ponerse carillas? Generalmente no es doloroso. Se puede usar anestesia local durante la preparación del diente para mayor comodidad.
- ¿Causan sensibilidad dental? Es posible. Como se trabaja directamente sobre el esmalte, puede haber sensibilidad al frío o al calor, especialmente los primeros días.
- ¿Cuánto duran las carillas? Depende del material y del cuidado. Las carillas de porcelana suelen tener una duración de entre 10 y 15 años, mientras que las de composite entre 5 y 7 años.
- ¿Son reversibles? Las carillas no son reversibles si se ha tratado el esmalte dental. Quitar una carilla sin reemplazarla dejaría el diente expuesto y estéticamente comprometido.
- ¿Puedo ponerme carillas si tengo bruxismo? Sí, en la mayoría de los casos. El bruxismo puede dañar o fracturar las carillas.
- ¿Dañan las encías? Si están bien colocadas, no. Pero si están mal adaptadas, pueden causar inflamación, sangrado o recesión gingival.
Invisalign y Carillas: Una Combinación Estratégica
A partir de la altísima precisión que aporta a tu boca tratarte con Invisalign podemos conseguir una recolocación perfecta de tu dentadura de modo que la dejemos exactamente como más nos conviene para que el tratamiento de carillas dentales quede absolutamente perfecto.
Patricia acudió a nuestra clínica para mejorar su sonrisa. Cuando llegó presentaba algunos problemas en varias piezas dentales. Tenía un canino de leche junto al canino definitivo. El canino de leche presentaba mucha movilidad. Por otra parte, en los incisivos inferiores tenía un puente antiguo que cubría el espacio de tres incisivos, con dientes excesivamente grandes y oscuros.
La dificultad de este caso residía en camuflar su canino definitivo superior como un incisivo lateral.
Lo primero que hicimos fue extraer el canino de leche temporal y colocar un provisional en su lugar. Una vez realizado este proceso, recolocamos los dientes en la posición óptima a través de un tratamiento de ortodoncia con Invisalign. Con este tratamiento conseguimos alinear correctamente su arco superior.
Una vez colocadas todas las piezas dentales en su sitio, en el hueco del canino de leche, nuestros especialistas en implantología dental en Vitoria, colocaron un implante dental. Y en el resto de incisivos y caninos superiores colocamos carillas de porcelana.
Para solucionar el puente inferior viejo de tres piezas optamos por sustituirlo por uno nuevo de cuatro piezas con mejores proporciones. Patricia quedó encantada con el resultado final y ahora puede lucir una sonrisa nueva. ¡El cambio ha sido muy satisfactorio!
Desventajas de la Ortodoncia Invisible
¿Has pensado en ponerte ortodoncia invisble pero no tienes claro si tiene inconvenientes? Aunque es uno de los tratamientos más demandados por su comodidad y estética, es importante conocer las desventajas de la ortodoncia invisible antes de comenzar.
La ortodoncia invisible es un tratamiento pensado para aquellas personas que quieren corregir la alineación de su sonrisa sin poner en riesgo su imagen. Cuando hablamos de ortodoncia invisible lo primero que se nos viene a la mente es el uso de alineadores invisibles como Invisalign. Se ha convertido en uno de los tratamientos de ortodoncia más populares y ha ganado protagonismo en los últimos años.
Sin embargo, existen otros tipos de ortodoncia que también ofrecen discrección y entran dentro de esta categoria como la ortodoncia lingual o los brackets de zafiro. A lo largo de este artículo nos centraremos en la opción más popular: la ortodoncia invisible.
Ventajas de la Ortodoncia Invisible
- Es removible: Es una opción de quita y pon y que te la puedes quitar para momentos puntuales. Esto facilita su limpieza, tu higiene bucal diaria y que puedas comer sin ningún tipo de restricción.
- Transparente: Están fabricada con materiales de alta resistencia como el policarbonato o el poliuretano lo que permiten que sean prácticamente invisibles.
- Cómodo: Con la tecnología de invisalign te ahorras muchas visitas al dentista. Es con diferencia el tratamiento de ortodoncia que requiere de menos urgencias dentales, además de que evitamos cualquier roce o llaga como ocurre con los brackets metálicos.
- Predecible: Desde el primer día conoces la planificación exacta de tu tratamiento y puedes ver el resultado final al que te llevará dicha planificación. Este nivel de precisión es posible gracias al software 3D ClinCheck.
- Personalizado: Hechas completamente a la medida de tu boca.
- Higiénico: Mantener la higiene resulta más fácil que con brackets metálicos. Los alineadores transparentes te los quitas para comer lo que reduce cualquier posibilidad de acumular restos de comida y no interfieren con tu cepillado dental.
Los alineadores invisibles se han hecho tan populares, especialmente en ortodoncia para adultos principalmente por la escasez de desventajas.
Desventajas de la Ortodoncia Invisible
- Mayor inversión inicial: Debido a la tecnología que requiere inicialmente para la planificación y fabricación de los alineadores puede resultar más caro, especialmente en casos más complejos.
- Exigencia: El uso de alineadores invisibles requieren de la implicación y compromiso del paciente. Hay que llevarlo un mínimo de 22 horas al día por lo que no es la opción más ideal para aquellas personas a las que les cueste mantener una rutina estricta.
- Tiempo: Es común que el tratamiento con ortodoncia invisible dure más tiempo en comparación con la ortodoncia tradicional con brackets. Esto pasa especialmente en casos complejos o severos ya que los movimientos dentarios son más limitados con los alineadores que con los brackets donde se pueden introducir gomas o microtornillos de ortodoncia para conseguir realizar movimientos de una manera más fácil.
- Casos complejos: Aunque los alineadores han demostrado una gran versatilidad y capacidad para atender los diferentes problemas dentales encuentra sus limitaciones en casos más complejos.
- Pérdida o rotura: Al ser removibles y de un material sensible a la exposición del calor existen más riesgos de complicaciones durante el tratamiento como su périda o rotura, lo que elevaria el precio del tratamiento al requerir de un nuevo juego de alineadores.
El principal problema que podemos encontrar en la ortodoncia invisible es la falta de compromiso del paciente por no cumplir con el tiempo mínimo exigido que es necesario para conseguir los resultados deseados. Como se pueden quitar y poner fácilmente, si el paciente no sigue las instrucciones de su ortodoncista esto puede generar algunos casos de desajustes y movimientos imprevistos lo que provocaria que el tratamiento se prolongue más de lo debido.
Limitaciones Clínicas de la Ortodoncia Invisible
La ortodoncia invisible, concretamente con los alineadores transparentes, ha introducido un enfoque estético y mínimamente invasivo para el tratamiento de las maloclusiones.
En un reciente informe publicado en ‘Oral an Implantology’, revista de Innovaciones y Técnicas Avanzadas para la Salud Bucodental, bajo el título «Limitaciones clínicas de la ortodoncia invisible y responsabilidades relacionadas: informe de un caso clínico» se analizan tres casos clínicos con ortodoncia invisible para comprobar qué desventajas y limitaciones presentan frente a sus beneficios.
El uso de alineadores transparentes en estos tres casos clínicos puso de manifiesto las ventajas potenciales y las limitaciones intrínsecas de este método. Sin embargo, el manejo de casos graves requiere de una planificación cuidadosa del tratamiento y, en ocasiones, la integración de otras técnicas como la reducción interproximal para crear el espacio necesario que permita una correcta alineación y evitar posibles inconvenientes.
Los tres casos presentados confirman que la ortodoncia invisible tiene ciertas limitaciones y requieren de una planificación cuidadosa y un enfoque clínico meticuloso para que sea posible tratar con éxito los casos más complejos.
Tras analizar tres casos clínicos con diferentes afecciones (apiñamiento severo, mordida profunda y una desalineación compleja) se pudo comprobar que la ortodoncia invisible ofrece unos resultados satisfactorios siempre y cuando el ortodoncista identifique y aborde correctamente las limitaciones de esta técnica para garantizar una solución eficaz.
Consideraciones Finales
Ambos sistemas son 100% efectivos. El mejor será el que se adapte a tu estilo de vida, necesidades y presupuesto.
¡Es totalmente falso! Los costes de los tratamientos dependen de cada caso clínico.
En mi opinión como profesional y ortodoncista exclusiva, Invisalign ha transformado y revolucionado la ortodoncia. Ya no necesitas alambres ni brackets para lucir una sonrisa alineada.
Ahora que conoces cuáles son las desventajas de la ortodoncia invisible, es hora de determinar si los alineadores invisibles son tu mejor opción.
Antes de empezar con tu tratamiento, solicita tu diagnóstico personalizado gratis en tu primera visita en la Clínica Ferrus & Bratos de tu caso con nuestros especialistas.
Si tras un periodo razonable sigues teniendo dificultades, es importante hablar con tu ortodoncista.
Sí, pero siempre bajo supervisión profesional.
¿Quieres ser el siguiente en lucir una nueva sonrisa?
tags: #invisalign #con #carillas