Mantener una adecuada higiene bucal es algo que los dentistas e higienistas dentales no paran de insistir. Sin una buena salud bucodental, nos exponemos a enfermedades como las caries o la periodontitis, entre otras. Pero no todos saben que esto incluye el cuidado diario de los retenedores y férulas dentales.
Estos dispositivos, esenciales para la ortodoncia o para evitar el desgaste dental, pueden convertirse en un foco de bacterias si no se limpian correctamente, lo que puede comprometer la salud bucal de quien los utiliza. Hay que entender que el material plástico de estos aparatos es poroso, lo que facilita la acumulación de microorganismos.
Después de la ortodoncia, los dientes pueden moverse, sobre todo durante el primer año. Al ser de uso diario, si no se limpian bien, pueden acumular placa bacteriana, manchas y generar mal olor. En este artículo, te contaremos cómo limpiar los retenedores dentales de forma correcta, tanto en tu rutina diaria como en casos en los que están muy sucios.

Tipos de Retenedores Dentales
Existen diferentes tipos de retenedores dentales, cada uno con sus propias características y necesidades de limpieza:
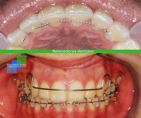
- Retenedores Fijos: Se colocan en la parte interna de los dientes y no se pueden quitar. Es imprescindible revisarlo con frecuencia para asegurarse de que está bien sujeto. En caso de que se despegue, debes contactar con tu clínica para que te lo peguen lo antes posible, ya que los dientes se pueden mover.
- Retenedores Removibles: Combinan una placa acrílica con un arco metálico. El aparato debe de encajar bien, adaptándose perfectamente a todos los dientes. Si no ajusta hay que acudir a la clínica inmediatamente. La causa de esto es que se haya dejado de poner o se haya deformado debido a un mal uso.
- Férulas transparentes: Son férulas finas de plástico transparente. Aunque son discretos, tienden a acumular manchas y sarro si no se limpian a diario.
A continuación, te mostramos una tabla comparativa de los tipos de retenedores y sus cuidados:
| Tipo de Retenedor | Descripción | Cuidados Específicos |
|---|---|---|
| Fijos (Alambre Lingual) | Alambre pegado a la cara interna de los dientes. | Higiene excelente para evitar acumulación de placa. Revisión frecuente para asegurar que esté bien sujeto. |
| Removibles (Acrílico y Alambre) | Placa acrílica con arco metálico removible. | Limpiar con jabón neutro y agua tibia. Revisar ajuste regularmente. |
| Transparentes (Essix) | Férulas finas de plástico transparente. | Limpiar con jabón neutro y agua fría. Evitar pastas de dientes abrasivas. |
Rutina Diaria de Limpieza
La limpieza diaria de los retenedores o férulas dentales solo requiere cuatro elementos básicos: un cepillo especial, jabón neutro, agua y, por supuesto, el propio dispositivo. Aunque muchos recurren a métodos improvisados para limpiarlos, no todos son recomendables y, en algunos casos, podrían dañar el dispositivo o provocar el crecimiento de microorganismos.
Hazlo justo después de retirarlo, para eliminar la saliva y restos superficiales. Utiliza un cepillo de cerdas suaves (distinto al de tus dientes) y jabón neutro o lavavajillas suave. El estuche debe estar limpio y seco.
Pasos para la limpieza diaria:
- Aplica jabón neutro en los extremos del retenedor.
- Utiliza un cepillo de cerdas suaves para limpiar las zonas de difícil acceso con movimientos circulares. Este paso permite eliminar restos de placa y residuos acumulados.
- Enjuaga cuidadosamente con abundante agua para asegurarte de que no queden restos de jabón, ya que podrían causar irritación en la boca.
- El secado es igual de importante: utiliza un paño limpio o un pañuelo para retirar toda la humedad antes de guardarlo en su caja. Este recipiente debe tener ventilación para evitar la proliferación de hongos.
Limpieza Profunda
Si notas que tu retenedor tiene manchas persistentes, sarro o mal olor, incluso después de limpiarlo a diario, es momento de una higiene más profunda. Adicionalmente, se recomienda desinfectar el retenedor una vez a la semana con pastillas efervescentes específicas para prótesis dentales. Este paso elimina bacterias y garantiza una limpieza profunda.

Métodos para una limpieza profunda:
- Pastillas Efervescentes: Diseñadas para prótesis y aparatos dentales, ayudan a eliminar manchas y bacterias. El uso de un limpiador específico como Corega Ortodoncias & Férulas puede ayudar a frenar la acumulación de bacterias causantes del mal olor con un uso habitual y ayudar a mantener tu aparato dental removible limpio y transparente. Estas tabletas efervescentes están diseñadas con la tecnología Crystal Clear para eliminar las manchas y ayudar a recuperar el color original.
- Vinagre Blanco: Mezcla partes iguales de agua y vinagre blanco, sumerge el retenedor durante 15-20 minutos y luego cepillarlo con cuidado.
Errores Comunes a Evitar
A su vez, hay que saber que existen prácticas que pueden dañar el material del retenedor o reducir su efectividad.
- Evita utilizar pastas de dientes con partículas abrasivas, ya que podrían rayar la superficie del aparato.
- Asimismo, no emplees cepillos de dientes convencionales, puesto que podrían transferir bacterias de la boca al dispositivo.
- Por último, no uses productos químicos como colutorios para su limpieza, porque podrían teñir el plástico o degradarlo.
Recomendaciones Adicionales
- No comer ni beber con ellos puestos (excepto agua).
- Guárdalos siempre en su estuche cuando no los uses. Después de la boca, el siguiente lugar más seguro para tu ortodoncia invisible o retenedor es su estuche o caja, donde deberías guardarlo siempre que te lo quites. Una opción puede ser conseguir varios estuches que te ayudarán a tenerlos siempre localizados. Limpia también el estuche en el que guardas tu aparato u ortodoncia removible una vez al día, ya que en él se pueden acumular gérmenes.
- Siempre usa las dos manos cuando te pongas o te quites tu aparato dental removible. No lo retuerzas ni tires hacia un lado, de esta manera lo puedes dañar. Si has realizado un movimiento brusco y tu aparato se ha fracturado, no te sientas tentado a utilizar pegamentos domésticos ya que muchos de ellos contienen sustancias que no deben ingerirse ni entrar en contacto con el interior de tu boca.
- Acude a revisiones periódicas con tu ortodoncista.
Recuerda que una adecuada rutina de cuidado no solo contribuye a la apariencia estética, sino que también potencia la salud oral.

Como se LIMPIAN los RETENEDORES Ortodoncia Transparentes - SEGURAMENTE lo estas haciendo MAL #shorts
tags: #jabon #para #lavar #retenedores