Muchas personas se acomplejan por no tener esa armonía estética en su dentadura debido a diversos factores que lo impiden, como pueden ser la separación de algunos dientes, la asimetría dental, alguna fractura en piezas dentales, cambio de coloración e incluso encías antiestéticas o que no se ajustan a la imagen de la “sonrisa perfecta”. En Juaneda Dental Magaluf, ofrecemos una amplia gama de servicios diseñados para transformar tu sonrisa y mejorar tu confianza.

Servicios Dentales Estéticos
En Juaneda Dental Magaluf, nos especializamos en tratamientos que no solo mejoran la salud bucal, sino que también realzan la estética de tu sonrisa.
Blanqueamiento Dental
El blanqueamiento dental es el tratamiento estético más sencillo con un gran beneficio para tu sonrisa. Consiste en blanquear los dientes mediante un producto químico blanqueante que es activado con una lámpara de luz LED.

¿Cómo funciona el blanqueamiento dental en casa ?
Carillas y Coronas/Fundas Dentales
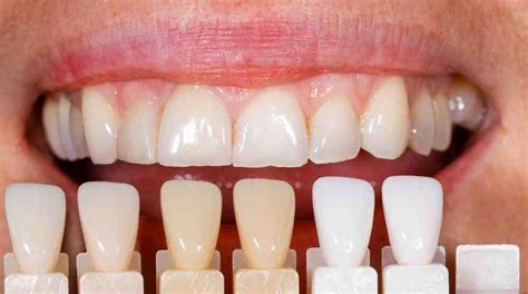
Las carillas son finas láminas de porcelana hechas a medida por el protésico dental que permiten tapar la parte delantera de los dientes frontales de tal forma que ocultemos pequeños defectos de coloración, roturas, separación entre dientes o alteraciones en su posición.
En cambio, las fundas dentales cubren totalmente el diente de forma que se cementan y protegen el diente natural. Estas prótesis dentales se suelen colocar, por ejemplo, en dientes que se han visto perjudicados por caries complicadas y tras la endodoncia el diente se ha debilitado, de esa forma conservamos el diente natural y evitamos la colocación de un implante. También es conveniente para personas con un bruxismo crónico donde sus dientes se han visto gravemente perjudicados y desgastados.

Tratamientos Periodontales (de Encía) Estéticos
Las encías son también parte importante de una buena sonrisa. Es por ello que cada vez más, se realizan cirugías periodontales estéticas.

Juaneda Dental Palma: Un Centro de Referencia
El centro Juaneda Dental Palma es el centro de referencia de Juaneda Dental en la capital balear. En sus modernas instalaciones se ofrecen las últimas tecnologías donde el mejor equipo de profesionales se encarga de personalizar los distintos tratamientos siempre pensando en el paciente.
En una superficie de 180m2 se distribuye una amplia sala de espera y 5 salas de tratamiento totalmente equipadas, todas ellas cuentan con una silla dental y con un equipo de rayos X digital. Además, el centro dispone de una sala de rayos X equipada con un equipo de RX digital para radiografías panorámicas y teleradiografías, junto a una sala de esterilización.
En su apuesta por las nuevas tecnologías, este centro cuenta con un Ortopantomografo digital de última generación. Esta técnica ofrece imagen de alta definición que permite diagnósticos más rápidos, menos invasivos y más eficientes.
Tabla de Servicios y Tecnologías
| Servicio/Tecnología | Descripción | Beneficios |
|---|---|---|
| Blanqueamiento Dental | Uso de químicos blanqueantes activados con luz LED | Sonrisa más blanca y brillante |
| Carillas Dentales | Láminas de porcelana personalizadas | Corrección de imperfecciones y mejora estética |
| Coronas Dentales | Cubren y protegen dientes dañados | Conservación del diente natural |
| Tratamientos Periodontales Estéticos | Cirugías para mejorar la apariencia de las encías | Sonrisa equilibrada y estética |
| Ortopantomógrafo Digital | Radiografías panorámicas de alta definición | Diagnósticos rápidos y precisos |