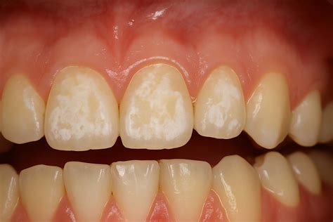
La desmineralización dental es un proceso natural que afecta la salud bucal con el paso del tiempo. Sin embargo, con el cuidado adecuado y productos específicos, podemos prevenir y revertir este proceso. A continuación, exploraremos los factores que contribuyen a la desmineralización, así como los ingredientes y productos dentales que pueden ayudar a mantener una sonrisa saludable.
Factores que Contribuyen a la Desmineralización Dental
Varios factores pueden acelerar la desmineralización dental:
- Dieta Inadecuada: El consumo excesivo de alimentos y bebidas azucaradas, ácidas o pegajosas puede promover el crecimiento de bacterias en la boca que producen ácidos.
- Acidez Bucal: Un pH bajo en la boca puede acelerar la desmineralización dental.
- Higiene Bucal Deficiente: La falta de cepillado dental adecuado y el uso irregular del hilo dental pueden permitir la acumulación de placa bacteriana en los dientes.
- Factores Genéticos: Algunas personas pueden tener una predisposición genética a desarrollar desmineralización dental debido a factores como la estructura y composición del esmalte dental o la cantidad y calidad de la saliva.
- Bruxismo: El hábito de apretar o rechinar los dientes, puede desgastar el esmalte dental y aumentar el riesgo de desmineralización.
Es crucial detectar la desmineralización a tiempo para tomar medidas preventivas.

Ingredientes y Productos Dentales para la Prevención
Afortunadamente, existen varios productos y ingredientes que pueden ayudar a fortalecer el esmalte dental y prevenir la desmineralización:
- Uso de Fluoruro: Los productos dentales que contienen fluoruro, como pastas dentales y enjuagues bucales, ayudan a fortalecer el esmalte dental y a prevenir la desmineralización.
- Selladores Dentales: Los selladores son recubrimientos plásticos que se aplican en las superficies de masticación de los dientes posteriores para protegerlos contra la acumulación de placa y ácidos.
Estrategias para un Cuidado Bucal Efectivo
Además de utilizar productos específicos, es fundamental adoptar una rutina de cuidado bucal integral:
- Buena Higiene Bucal: Mantener una adecuada higiene bucal es fundamental para prevenir la desmineralización dental.
- Dieta Equilibrada: Consumir una dieta rica en nutrientes y baja en azúcares y ácidos puede ayudar a prevenir la desmineralización dental.
- Evitar Bebidas Azucaradas: La ingesta excesiva de bebidas energéticas y azucaradas puede contribuir a la desmineralización dental.
Pasta de dientes ¿Con flúor o sin flúor? | Farmaciasdirect
La Importancia de los Higienistas Dentales
Los higienistas dentales desempeñan un papel clave en la prevención y promoción de la salud bucodental. Katia Merino, higienista dental en la Clínica Peñota de Vizcaya, destaca que el cuidado bucal integral tiene una relación directa con el bienestar físico y mental de los pacientes.
Según Katia Merino, el cuidado bucal va mucho más allá de prevenir enfermedades y está relacionado con el bienestar general. La microbiota oral que tenemos dentro de la cavidad oral se relaciona con hasta 57 enfermedades sistémicas. Los higienistas dentales son el pilar fundamental de la prevención y promoción de la salud bucodental, ayudando al paciente a conocer la importancia de un cuidado bucal consciente.
PHB Time to Care: Una Línea Innovadora
Katia Merino resalta los beneficios de la nueva línea PHB Time to Care, lanzada por Dentaid. Esta línea pionera permite adaptar el cuidado bucal a las diferentes etapas de la vida de los pacientes y sus momentos vitales. Para personas mayores, es fundamental el aporte de antioxidantes, como las vitaminas, algo que incluye la gama PHB So-Young Forever. También se pueden recomendar productos con activos de bajo índice de abrasividad (RDA) con PHB So-Confident, para aquellos que deseen blanquear sus dientes de manera segura.

Biorepair "Reparación Intensiva Nocturna": Un Producto Innovador
El dentífrico Biorepair "Reparación Intensiva Nocturna" es un producto innovador especialmente diseñado con nanotecnología para la restauración intensiva del esmalte y la dentina mientras duermes, teniendo en cuenta todas las características fisiológicas del cuerpo durante la noche.
Características Principales:
- Marca: Biorepair
- Serie: Oral Care
- Tipo de Productos: Pastas Dentales
- Función: Limpiador, Mineralización
- Volumen: 75 ml
- Fórmula: Sin Flúor, con Glicerina
- Aplicación: Noche
- País de Origen: Italia
La pasta dental contiene nanopartículas bioactivas de hidroxiapatita en una fórmula patentada Microrepair, que remineraliza y restaura eficazmente la estructura dañada del esmalte y la dentina a lo largo de la noche. El dentífrico incluye un complejo de ingredientes seguros conocidos por sus efectos antibacterianos y refrescantes, formando una película protectora homogénea que previene el crecimiento bacteriano en dientes y encías.
Ingredientes:
Aqua, Zinc Hydroxyapatite**, Hydrated Silica, Sorbitol, Xylitol, Glycerin, Sodium Myristoyl Sarcosinate, Sodium Methyl Cocoyl Taurate, Cellulose Gum, Silica, Zinc PCA, Zinc Citrate, Aroma, Tetrapotassium Pyrophosphate, Sodium Benzoate, Citric Acid, Ammonium Acryloyldimethyltaurate/VP Copolymer, Sodium Saccharin, Benzyl Alcohol, Phenoxyethanol, Limonene. **microRepair
Tabla de Ingredientes Clave y sus Beneficios:
| Ingrediente | Beneficios |
|---|---|
| Zinc Hydroxyapatite | Remineraliza y restaura el esmalte dental |
| Xylitol | Reduce el crecimiento bacteriano y previene caries |
| Zinc PCA y Zinc Citrate | Efectos antibacterianos y refrescantes |
Este producto protege de manera confiable contra las caries, las enfermedades inflamatorias y ayuda a mantener el aliento fresco hasta la mañana.

El Cuidado Dental en el Antiguo Egipto
El equipo de Katia Dental, empresa proveedora de productos de calidad para el sector dental, visitó el Museu Egipci de Barcelona para explorar las raíces de la odontología en la civilización egipcia. Desde el año 5000 a.C., los egipcios utilizaban sustancias para limpiar sus dientes. El cuidado e higiene dental en el Antiguo Egipto reflejaban la sofisticación de esta civilización y su apuesta por la salud.
Aspectos Destacados:
- Jerarquía Médica: La medicina estaba organizada en niveles, desde médicos ordinarios hasta supervisores y jefes.
- Inclusión de Mujeres: Peseshet, reconocida como la primera médica de la historia, resalta el importante papel de las mujeres en la medicina, incluida la odontología.
- Documentación Histórica: Los papiros médicos son vitales para comprender las prácticas dentales.
El Papiro Ebers, uno de los textos médicos más importantes del Antiguo Egipto, está actualmente expuesto en el Museo Egipcio de Leipzig, Alemania.