Kin Forte Encías es un enjuague bucal coadyuvante en el tratamiento de gingivitis y periodontitis, y en el cuidado de las encías. Está diseñado para el cuidado bucal y la protección de encías. Sus beneficios clave incluyen la prevención de problemas periodontales y el fortalecimiento de las encías.

¿Para qué está indicado Kin Forte Encías Enjuague Bucal?
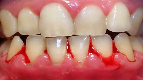
Kin Forte Encías Enjuague Bucal está indicado para cuidar y proteger las encías sensibles o propensas a sufrir sangrado gingival o inflamación.
¿Qué beneficios tiene utilizar Kin Forte Encías Enjuague Bucal?
Kin Forte Encías Enjuague Bucal reduce el sangrado, la inflamación y la sensibilidad gingival, favoreciendo una sensación de cuidado bucal y frescura.
COMO usar CORRECTAMENTE el ENJUAGUE BUCAL🦷✅ [CLORHEXIDINA 👍]
Componentes y Beneficios
Kin Forte Encías Enjuague Bucal contiene provitamina B5 y Alantoína, aumentando la eficacia de este colutorio sobre la salud bucodental. Incluye en su fórmula Alpantha, un complejo con provitamina B5 (Pantenol) y Alantoína, que potencia la absorción de estas sustancias y aumenta su efectividad, mejorando la salud de las encías.
- Fortalece y tonifica las encías delicadas o sensibles.
- Previene la formación de placa dental.
- Previene la aparición de caries.
- Cuidado de las encías en pacientes que presentan dificultades en el control de la placa dental.
La acumulación de biofilm dental es el principal responsable de la patología gingival (inflamación y sangrado de las encías). La acumulación de biofilm dental es la causa principal de aparición de caries y molestias en las encías.

Ingredientes Activos
Kin Forte Encías Enjuague Bucal contiene:
- Clorhexidina al 0,12%: Reduce la placa bacteriana.
- Dexpantenol: Ayuda a regenerar y proteger las encías.
- Fluoruro sódico: Refuerza el esmalte dental y previene la caries.
- Aloe Vera: Con propiedades antiinflamatorias y cicatrizantes, calman las encías irritadas.
- Calcio: Fortalece las estructuras dentales y mejora la salud ósea de las encías.
Además, es:
- Libre de flúor: Apto para personas que prefieren evitar este componente.
- Sin parabenos: Fórmula libre de conservantes sintéticos, respetuosa con la salud.
- Apto para veganos: No contiene ingredientes de origen animal.
¿Cuándo debo utilizar Kin Forte Encías Enjuague Bucal?
Se debe utilizar Kin Forte Encías Enjuague Bucal dos veces al día mínimo, una vez por la mañana y otra por la noche, después siempre de realizar el cepillado.

Modo de empleo
Realizar dos enjuagues diarios, tras el cepillado, mañana y noche, con 15 ml del producto sin diluir, durante 1 minuto. Asegúrate de que el colutorio llega a todos los rincones de la boca, y luego escúpelo. Es aconsejable no ingerir alimentos ni bebidas hasta transcurrido un mínimo de media hora después de su uso. El enjuague está formulado especialmente para fortalecer tanto las encías como los dientes.
Información Adicional
Su uso se puede aplicar como tratamiento continuo para la prevención, o como coadyuvante en regímenes médicos para combatir enfermedades periodontales y bucales. Está contraindicado en pacientes alérgicos a la clorhexidina. Su uso excesivo, tiende a teñir los dientes, tras el consumo de vino, café, bebidas oscuras o tabaco. La coloración no es permanente, y puede eliminarse con una limpieza dental adecuada. Producto de uso externo exclusivo para los dientes. Mantener fuera del alcance de los niños.
Únete a una comunidad dedicada a mejorar tu bienestar bucodental. Porque una boca sana es el inicio de un cuerpo saludable.