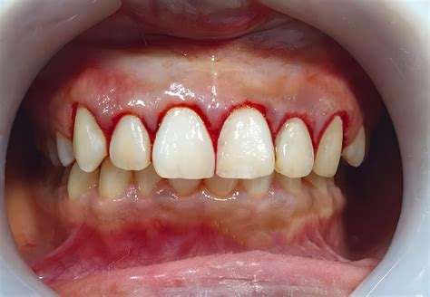
Las encías son un tejido esencial para la protección de los dientes y el equilibrio de la salud bucodental. Si al mirarte al espejo notas que tus dientes se ven más de lo habitual o si experimentas sensibilidad al frío y al calor, puede que estés ante un problema muy común: las encías retraídas.
Las encías retraídas son un problema periodontal muy común. Las encías retraídas son uno de los problemas más comunes hoy en día. La recesión gingival o encías retraídas son una de las patologías más comunes de salud dental, que debe ser tratado adecuadamente. Por suerte, es posible ponerle freno y evitar males mayores con la ayuda de tu odontólogo y siguiendo unos buenos hábitos.
En este artículo vamos a conocer qué son las encías retraídas, sus causas principales, las soluciones que existen y qué podemos hacer para evitar la recesión gingival.
Tratamientos para ENCÍAS RETRAÍDAS: ¿Hay solución? ¿Las encías se regeneran? ¿Cuál es su CAUSA?
¿Qué son las Encías Retraídas?
Cuando hablamos de encías retraídas nos referimos a un desplazamiento del tejido gingival que provoca una sobreexposición del diente. Las encías se desplazan hacia arriba en los dientes superiores y hacia abajo en los dientes inferiores dejando al descubierto parte de la raíz dental. La desaparición de la encía da lugar a que se creen pequeños huecos allí donde esta se une a los dientes, y también entre ellos.
Aunque muchas personas creen que solo es una cuestión estética, la retracción gingival es un signo de que algo no va bien con tu salud bucodental. En un inicio, podemos pensar que el principal problema que acarrea tener las encías retraídas es meramente estético. Sin embargo, el hecho de tener las encías retraídas también tiene consecuencias negativas a nivel funcional. De cualquier forma, conviene que sepas que esta recesión está dejando sin protección, en buena medida, a tus dientes.
Esto no solo afecta a la estética, sino que también compromete la protección natural de los dientes, aumentando la sensibilidad y el riesgo de enfermedades.

Causas de la Retracción de Encías
No se llega a la recesión gingival de un día para otro, sino que es un proceso paulatino: he aquí la razón por la que es difícil detectar que se sufre este problema. Aunque muchas personas creen que solo es una cuestión estética, la retracción gingival es un signo de que algo no va bien con tu salud bucodental. Entre las principales causas de encías retraídas destacan las enfermedades periodontales, como la periodontitis crónica y hábitos perjudiciales como un cepillado agresivo.
Sin embargo, hay diversas razones que pueden explicar la razón por la que tenemos encías retraídas.
- Mala higiene dental: Una mala higiene dental es la principal causa de la enfermedad periodontal. Cuando la limpieza que se lleva a cabo es poco exhaustiva o insuficiente para eliminar la placa bacteriana. En el punto anterior hemos comentado que muchas patologías periodontales tienen su origen en una higiene deficiente.
- Cepillado traumático: Una de las principales causas es el cepillado traumático. El cepillado de nuestros dientes debe de ser suave sin hacer fuerza ni apretar. Mucha gente piensa que ejerciendo más fuerza y presión en las encías, eliminará de manera eficaz la placa dental. Sin embargo, lo único que están haciendo es provocar una irritación de las mismas. Por tanto, encías retraídas y cepillado fuerte pueden estar muy relacionados. Piensa que la encía es piel. Usar un cepillo de dientes de cerdas duras o ejercer demasiada presión puede dañar el tejido gingival.
- Enfermedad Periodontal (Periodontitis): También conocida como piorrea, la periodontitis empieza como una gingivitis no tratada. Si no hay hueso, no hay encía. Una característica de la retracción de encías por periodontitis es que afecta a toda la boca, a diferencia de otras causas como la ortodoncia o el cepillado agresivo que afectan solo a unos pocos dientes. La periodontitis hace que pierdas hueso. Por consiguiente, pierdes encías. La periodontitis puede destruir el hueso y el tejido que soportan al diente, lo que da lugar a la recesión. Sin embargo, cuando se trata de pérdida de encías por periodontitis la situación es diferente. Pues se trata de una enfermedad que hace que se pierda hueso.
- Bruxismo: Si un paciente es bruxista de manera continuada, esta parte de la dentadura puede padecer que las encías se retraigan. Incluso bajo un cepillado normal tus encías pueden retraerse, caso en el cual se utiliza una placa de descarga que ayuda a detener este inconsciente acto de rechinar los dientes.
- Ortodoncia: El uso de ortodoncia para corregir los dientes y la mordida, como pueden ser los brackets, puede producir pérdida en las encías debido a los movimientos que genera la ortodoncia. En Dobleese, en algunos casos (cuando es necesario) realizamos un tratamiento para la retracción de encías antes incluso de colocar la ortodoncia al paciente.
- Piercings orales: También, suelen darse casos de retracción de encías en pacientes que tienen un piercing en la boca.
- Factores genéticos: Algunas personas están genéticamente predispuestas a tener encías sensibles y a sufrir retracción gingival. Esto significa que, aunque mantengan una buena higiene bucal y cuiden su salud dental, podrían desarrollar problemas en las encías debido a factores genéticos.
- Enfermedades sistémicas: enfermedades como la diabetes, el SIDA o cualquier otra que afecte al sistema inmunitario, crean un mayor riesgo de desarrollar infecciones.
- Estrés: es uno de esos factores invisibles que afectan a la salud de nuestras encías.
Soluciones para las Encías Retraídas
Sentimos decirte que las encías no se regeneran solas. Aunque el daño puede avanzar de forma lenta, una vez que se ha producido la pérdida de encía, esta no se regenera por sí sola. Realmente, una vez que esta parte de la boca comienza a retraerse -por diversas razones que explicaremos más adelantes-, no vuelven a crecer. Su función es que el cuerpo genere de nuevo hueso y tejidos en la zona en la que se ha visto mermada su cantidad.
El tejido gingival que ya se ha perdido no se puede recuperar, pero es posible regenerar unas encías retraídas en quirófano. Recuerda que una encía retraída deja desprotegido al diente y, en última instancia, acaba provocando su caída.
Si se quiere regenerar las encías, se debe optar por tratamientos adicionales de periodoncia: la cirugía mucogingival. Ahora que ya conoces en qué casos se pueden recuperar las encías retraídas, responderemos a las preguntas: ¿Cómo solucionar la retracción de encías? ¿Cómo curar las encías retraídas?
Tratamientos para la regeneración de encías:
- Injerto de Encía (Cirugía Mucogingival): Un injerto de encía (o cirugía mucogingival) es un trasplante de tejido conectivo de una zona donde hay mucho (paladar) a una zona donde no hay o hay muy poco tejido (encías retraídas). Este injerto de tejido conectivo se toma de la zona del paladar, normalmente de la región a nivel de premolares). A continuación, se sutura la zona del paladar y el injerto se modifica para que se adapte a la zona para regenerar encías. En estos casos, suele estar indicada la colocación de un injerto de encía para volver a cubrir la raíz o raíces afectadas. Este procedimiento no solo mejora la estética de la sonrisa, sino que también protege las raíces de los dientes de la erosión y la caries.
- Colgajo de Reposición Coronal: El colgajo de reposición coronal es una forma de regenerar encías. El colgajo movilizado coronalmente implica estirar la encía existente para cubrir las áreas desnudas. Esta técnica es especialmente útil cuando hay suficiente encía alrededor del diente afectado, pero se ha retraído, dejando expuesta la raíz.
- Estiramiento de Encía: Si el paciente conserva las papilas interdentarias (el pequeño triángulo que hay entre diente y diente) se puede realizar un estiramiento de la encía. Estiramiento de encía: en el cual el paciente se somete a una microcirugía en sus encías.
- Microinjerto de Encía: Microinjerto de encía: cuando el caso es extremo se utiliza esta opción en la cual una mínima fracción del tejido del paladar es removido y luego injertado para cubrir tu encía.
- Raspado y Alisado Radicular (Curetaje Dental): Otro de los tratamientos básicos que se realizan para la recesión de encías son los sistemas de desinfección para eliminar las bacterias. Consulta más sobre nuestro tratamiento de Raspado y alisado radicular, también conocido como Curetaje Dental, donde conseguimos eliminar el sarro y las bacterias acumuladas bajo las encías, alrededor de las raíces de los dientes.

Prevención de la Retracción Gingival
La mejor herramienta para evitar la recesión es la prevención. La prevención es fundamental para evitar la retracción gingival y sus consecuencias. Adoptar buenos hábitos de higiene oral y visitas regulares al dentista son esenciales.
Para poder realizar una intervención de cirugía periodontal, como es la cirugía mucogingival, es de gran importancia previamente tener una excelente higiene bucodental, así como un control y un buen mantenimiento si existe una enfermedad periodontal.
- Higiene oral adecuada: Por lo tanto, el primer paso es que extremes tu limpieza oral. Usa también seda dental, cepillos interproximales e irrigadores dentales o waterpik para completar tu higiene oral. Es fundamental, pues una correcta limpieza oral nos ayuda a deshacernos de la placa que se acumula entre los dientes. Cepillarse los dientes al menos dos veces al día con una técnica adecuada, usar hilo dental diariamente y complementar la limpieza con enjuagues bucales pueden marcar una diferencia significativa.
- Revisiones dentales periódicas: Una vez más, debemos insistir en la importancia de visitar a tu odontólogo una o dos veces al año. Además, recuerda que debes hacerte una limpieza dental profesional al menos una vez al año. Acude a tus revisiones periódicas.
- Técnica de cepillado suave: El cepillado de nuestros dientes debe de ser suave sin hacer fuerza ni apretar.
Sabemos que la salud de tu sonrisa no empieza en los dientes, sino en las encías. Si notas que tus dientes se ven más largos, sientes sensibilidad o quieres valorar el estado de tus encías, pide una cita.
Preguntas Frecuentes
¿Es el tratamiento de regeneración de encías adecuado para todos? La retracción de encías tiene que ser evaluada por un profesional.
¿Cuánto tiempo duran los resultados de un tratamiento de regeneración de encías? Con un cuidado adecuado, los resultados pueden ser permanentes.
¿Pueden volver a retraerse las encías después del tratamiento?