Una sonrisa radiante y unos dientes sanos son fundamentales para una apariencia agradable. El blanqueamiento dental se ha convertido en uno de los tratamientos estéticos más populares, pero ¿es realmente seguro? ¿Cuáles son sus beneficios y riesgos? Aquí te contamos todo lo que necesitas saber.

¿Por Qué Blanquear tus Dientes?
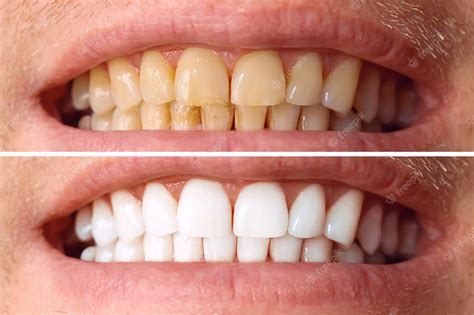
Con el paso de los años, los dientes tienden a perder su color original y amarillearse debido al consumo de café, gaseosas, tabaco y otros alimentos con colorantes. El blanqueamiento dental es un procedimiento estético que ayuda a combatir esta condición, aclarando la tonalidad de los dientes y eliminando manchas, rejuveneciendo así la expresión facial y la sonrisa.
Beneficios del Blanqueamiento Dental
- Cambio de Apariencia: Rejuvenece el rostro y aumenta la confianza.
- Es Indoloro: Las técnicas modernas permiten lograr dientes blancos en pocas sesiones sin dolor.
- Elimina Manchas: Reduce o elimina manchas superficiales causadas por alimentos y hábitos.
Como profesional en Estética Dental, puedo confirmarte que el blanqueamiento dental es un tratamiento indoloro y de consecución sencilla.
Todo sobre el blanqueamiento dental y sus riesgos
Tipos de Blanqueamiento Dental
Existen varios tratamientos para blanquear los dientes, cada uno con sus particularidades. El odontólogo es el encargado de elegir el tratamiento más adecuado según el grado de afectación de los dientes.
Blanqueamiento Dental LED o Fotoactivación
Este tratamiento es popular porque solo necesita una sesión. Se realiza en una clínica bajo la supervisión de un especialista. Se aplica un gel blanqueador en la superficie de los dientes, aislando las encías para evitar daños en las mucosas. Luego, se utiliza una lámpara de luz fría que activa las moléculas blanqueadoras del peróxido.
- Procedimiento rápido y eficaz: los resultados son visibles desde la primera sesión.
- Sin molestias: el uso de la lámpara LED disminuye la cantidad de calor, puesto que se trata de una luz fría.
- Fomenta la higiene dental: el día de la sesión tu higienista te enseñará nuevos hábitos alimenticios y de cuidado dental.
Este tipo de blanqueamiento se lleva a cabo en la clínica, en una sola cita y bajo la supervisión de un odontólogo. Una vez aplicado, se deja actuar al agente blanqueador con la ayuda de una lámpara de luz fría, gracias a la cual se activan las moléculas blanqueadoras del peróxido.
En la siguiente cita, se realizará la sesión con lámpara de luz LED. Este procedimiento se lleva a cabo, normalmente, en una única visita. Durante esta sesión, se colocarán al paciente unos separadores en la boca y se aislarán las encías y los labios con un gel polimerizante. De esta manera, la mucosa quedará totalmente aislada y protegida.
Blanqueamiento Ambulatorio con Férulas Individuales
Se toma una impresión de los dientes para obtener férulas a la medida. Estas férulas son moldes suaves y cómodos. Se utiliza un kit de blanqueamiento dental con jeringas que contienen el producto blanqueador. Se aplica en casa durante sesiones de un máximo de 6 horas al día para evitar sensibilidad dental, preferiblemente por la noche.
Existen varios tratamientos para conseguirlo, pero según mi experiencia, el más completo y con resultados más duraderos a largo plazo es el blanqueamiento dental combinado. Este proceso une el uso de férulas junto a un gel blanqueador durante las noches, más una sesión con lámpara de luz fría en la clínica.

El Proceso Paso a Paso
- Revisión Inicial: Acudir a una revisión para tratar cualquier patología y asegurar una buena salud bucodental.
- Aislamiento: Colocar separadores en la boca y aislar encías y labios con un gel polimerizante.
- Aplicación del Blanqueador: Aplicar el agente blanqueador sobre la superficie de los dientes.
- Activación: Utilizar una lámpara de luz fría para activar las moléculas blanqueadoras.
- Retiro: Eliminar los restos del producto blanqueador y del gel polimerizante.
Pasado este tiempo, se eliminarán los restos del producto blanqueador y del gel polimerizante de la superficie de los dientes.
Riesgos y Efectos Secundarios
Aunque el blanqueamiento dental es seguro, existen algunos efectos secundarios temporales que debes conocer:
- Sensibilidad Dental: Es el efecto secundario más común, causado por el aumento de la temperatura en los dientes y la exposición de la dentina.
- Irritación de las Encías: Puede ocurrir si el agente blanqueador entra en contacto con las encías.
- Restricciones Alimenticias: Seguir una dieta blanca para evitar colorantes que puedan teñir los dientes.
- Reacción alérgica: De manera muy poco habitual, el paciente acusa una reacción alérgica a los componentes de los agentes blanqueadores.
La sensibilidad dental durante el tratamiento es el efecto secundario más frecuente entre los pacientes que lo abordan. Durante el tratamiento, las encías pueden quedar expuestas a la acción del agente blanqueador y experimentar cierta irritación pasajera.
Ahora ya conoces cuáles son los principales efectos adversos del blanqueamiento dental. El uso de productos desensibilizantes los días previos al inicio del blanqueamiento reduce la sensibilidad en gran medida.
Tabla de riesgos y beneficios del blanqueamiento dental
| Riesgos | Beneficios |
|---|---|
| Sensibilidad dental temporal | Mejora la apariencia del rostro |
| Irritación de encías | Elimina manchas |
| Restricciones alimenticias temporales | Aumenta la confianza |
¿Cómo Minimizar los Riesgos?
Para minimizar los riesgos y asegurar un blanqueamiento dental seguro y efectivo, sigue estas recomendaciones:
- Consulta a un Especialista: Acude a una clínica dental y ponte en manos de un especialista en Estética Dental.
- Usa Productos de Calidad: En una clínica dental se emplean agentes blanqueadores de calidad que no son abrasivos.
- Sigue las Instrucciones: Pautaremos y supervisaremos la concentración indicada del producto blanqueador.
- Evita Alimentos Extremos: Evita la ingesta de comidas y bebidas muy frías o muy calientes.
- Reduce el Consumo de Bebidas Colorantes: Reduce el consumo de bebidas como el café, el vino tinto o el té para mantener el blanco de tus dientes.
- Mantén una Buena Higiene Bucal: También es necesario aclarar que tener buenos hábitos es el mejor camino para una buena higiene bucal y que todo parte de este principio.
Recurrir a métodos caseros o realizar un blanqueamiento por cuenta propia puede poner en grave riesgo tu salud oral.
Únicamente podrás iniciar un blanqueamiento dental en caso de tener la boca en perfecto estado de salud. Por eso, siempre revisaremos tu es boca para cerciorarnos de que no hay caries ni enfermedad periodontal.
Mitos y Realidades del Blanqueamiento Dental
En la red circula mucha información sobre blanqueamientos dentales, pero no toda es verdadera. Aquí aclaramos algunos mitos:
- Mito: El blanqueamiento desgasta el esmalte dental. Realidad: Un blanqueamiento profesional no provoca desgaste ni deterioro del diente; el gel actúa sobre las manchas del esmalte.
- Mito: Daña las encías y los nervios. Realidad: Si se realiza correctamente y con protectores, no daña las encías ni el nervio.
- Mito: Las pastas dentales blanqueadoras son suficientes. Realidad: Las pastas blanqueadoras solo eliminan manchas superficiales y pueden ser abrasivas.
- Mito: El blanqueamiento es malo para la salud de los dientes. Realidad: Solo es malo si se hace mal, con productos inadecuados o sin supervisión.

¿Cuándo No es Recomendable el Blanqueamiento Dental?
Existen situaciones en las que el blanqueamiento dental no es recomendable:
- Menores de Edad: Se recomienda esperar hasta los 16-18 años, ya que los dientes están en desarrollo y pueden ser más sensibles.
- Embarazo y Lactancia: Es prudente posponer el blanqueamiento hasta después del embarazo y la lactancia.
- Caries y Enfermedades Periodontales: Primero se deben tratar estas condiciones antes de realizar el blanqueamiento.
- Esmalte Muy Fino o Sensibilidad Dental Severa: Hay que ser cauteloso y optar por técnicas especiales.
- Restauraciones Frontales: El blanqueamiento solo funciona en el diente natural; las restauraciones pueden necesitar ser reemplazadas.
- Uso Excesivo: Blanquear los dientes en exceso puede debilitar el esmalte.
En general, no realizamos blanqueamientos en niños o adolescentes muy jóvenes. Se recomienda esperar hasta los 16-18 años para estos tratamientos. ¿Por qué? Antes de esa edad, los dientes y el nervio dental todavía están en desarrollo y pueden ser más sensibles. Blanquear dientes en plena formación podría afectar el esmalte o la pulpa.
Si estás embarazada o amamantando, lo más prudente es posponer el blanqueamiento dental hasta después. No es que se haya probado que cause daño directo al bebé (no hay evidencia sólida de que los ingredientes blanqueadores afecten al feto o lactante), pero por ética y precaución, la mayoría de dentistas preferimos no someterte a ningún químico o procedimiento electivo en esa etapa. Además, durante el embarazo las encías suelen estar más sensibles (gingivitis gestacional), lo que podría aumentar las molestias.
Nunca se debe hacer un blanqueamiento si tienes caries sin tratar, enfermedad periodontal activa, fracturas en los dientes o cualquier otra lesión abierta. Primero, resolver lo urgente; después, embellecer. Imagina aplicar gel blanqueador en un diente con caries profunda: podría penetrar más y causar dolor o irritación del nervio. O si tienes las encías inflamadas por gingivitis, el peróxido podría agravar la irritación.
Recomendaciones Finales
Ahora ya lo sabes: los efectos secundarios del blanqueamiento dental son pasajeros, pero sí hay riesgos en caso de no ponerte en manos de expertos. Por eso, te animo a que consultes con un equipo profesional si quieres aclarar el tono de tus dientes. Valorarán tu caso y te ayudarán a conseguir tu mejor sonrisa.