La resina dental es una alternativa económica, práctica y muy versátil, siendo una excelente opción para conseguir una sonrisa bonita y saludable. Desde Clínica Dental Urbina queremos que conozcas todo sobre la resina dental, ya que es una opción muy utilizada en múltiples tratamientos.

¿Qué es la resina dental?
La resina dental, también conocida como resina dental compuesta o composite, es un material polimérico que se emplea principalmente para restaurar y reparar la estructura de dientes dañados, así como para su remodelación. Los dentistas la emplean en caso de daños generados por caries dentales, fracturas, lesiones o grietas. Son materiales moldeables que se endurecen para adaptarse a las necesidades del paciente. Pero también cuando la forma o dimensiones del diente deben modificarse para que este sea mucho más estético y funcional.
Es decir, la resina compuesta se usa en tratamientos estéticos como material de relleno u obturación.
¿Cuáles son los componentes de las resinas dentales?
Las resinas dentales constan de un componente orgánico polimérico llamado matriz orgánica, y un componente inorgánico. Este último actúa como mineral de relleno y puede ser cuarzo, zirconita o algún silicato de aluminio. En algunos casos también es necesaria la presencia de un agente de unión para que ambos componentes se acoplen de forma eficiente.
Está formada por diferentes materiales sintéticos mezclados de forma heterogénea. Tiene componentes de cohesión y de refuerzo. Los primeros se encargan de envolver los de fuerza para que mantengan su posición y rigidez, mientras que los segundos le proporcionan al compuesto la rigidez y resistencia necesaria para cumplir sus funciones.
¿Para qué se usa la resina dental?
Este material puede ser usado con múltiples finalidades en diferentes tratamientos odontológicos. Algunos de sus usos más populares son:
Restauraciones estéticas
La resina es uno de los materiales más usados para solucionar problemas estéticos en las piezas dentales. El procedimiento para usar el composite para cubrir manchas dentales es muy similar al empleado para las reconstrucciones. En este caso se emplean resinas ligeras de baja viscosidad que son capaces de penetrar y adherirse mejor a la superficie del diente.
Es una forma de tener dientes más blancos sin colocarte carillas estéticas.
Reconstrucción de dientes dañados
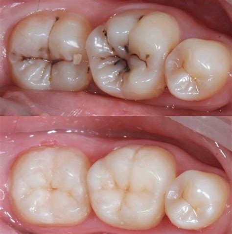
La resina es el material de obturación más usado para rellenar cavidades creadas por caries. Aunque también se emplea para sellar surcos muy profundos en los molares y evitar la acumulación de bacterias en estos. Se utiliza como material de relleno o de obturación en caso de caries o después de la extracción del nervio dental por alguna infección.
La aplicación del composite le permite a los especialistas devolverle la funcionalidad a las piezas afectadas eliminando cualquier cavidad, agujero o fractura que presente. Además, el color de este elemento es muy similar al de los dientes, por lo que es una solución muy estética.
La resina es una excelente alternativa para restaurar piezas desgastadas, con fisuras o fracturadas. Para esto se prepara el esmalte, luego se coloca la resina sobre la pieza cuidando que posea la coloración adecuada. Se moldea para después aplica luz de alta intensidad y se pule. Los resultados son naturales, ya que el material se mimetiza con el diente haciéndolo casi imperceptible.
Cierre de espacios y pequeñas correcciones
La resina se emplea para disminuir el espacio entre dos piezas (diastemas). En este tratamiento el dentista emplea la resina para modificar las dimensiones de las piezas y así disminuir el espacio que exista entre ellas. Siempre se toman en cuenta las proporciones de la boca y las demás piezas dentales para obtener los mejores resultados.
La resina también se emplea para mejorar la forma de los dientes. Se aplica con mucha frecuencia para reconstruir o mejorar los bordes incisales y así no emplear carillas dentales y otros tratamientos más costosos y que pudieran comprometer la salud del esmalte de los dientes.
Aplicaciones en odontología infantil
La resina de composite también se usa en la odontología infantil para restaurar la sonrisa de los niños sin que afecte la estética. Son duraderas y requieren poco trabajo de tallado del diente en comparación con otras opciones.
La resina sirve para prevenir las caries, sellando el espacio para que no puedan entrar las bacterias. También restauran la funcionalidad, mejoran la apariencia y mantienen la alineación de los dientes. Además, sirven como sellantes de fisuras para prevenir que se formen bacterias en pequeños espacios en la superficie masticatoria de las muelas. Actúan como barrera para las partículas de comida.
Tipos de resina dental
Existen varios tipos de resina dental. Entre los más populares se encuentran:
- De microrelleno: Se emplea para rellenar cavidades en diferentes localizaciones generadas por caries. También se usa para corregir el color o forma en áreas determinadas de la pieza dental. Tiene un alto potencial estético. Posee partículas de entre 0.01 y 0.05 µm.
- Híbrida: Posee una alta resistencia al estrés. Se emplea en su mayoría para restaurar piezas dentales posteriores y en ocasiones para reconstruir algunas piezas.
- De nanorelleno: Contiene partículas de un tamaño menor a 0.01µm, es decir, más pequeñas que las de la resina de microrelleno. Genera un muy buen acabado estético y su resistencia al desgaste es similar al de la híbrida.
- Híbrida moderna: Posee excelentes propiedades mecánicas, como un alta resistencia al desgaste. Pero son difíciles de pulir y una vez colocada el brillo se pierde con rapidez.
- De macrorelleno: También son conocidas como resinas convencionales. El material posee partículas de un tamaño entre entre 10 y 50 µm. Este es considerado un tamaño convencional. Es un elemento con baja eficiencia clínica que crea resultados estéticos pobres. En la actualidad son poco utilizados.
Dependiendo del tratamiento que el dentista vaya a aplicar, debe seleccionar la que más le convenga.
Ventajas y desventajas de la resina dental
Los profesionales en odontología emplean resina compuesta en muchos de sus tratamientos. Esto se debe a que posee múltiples beneficios.
¿Cuánto tiempo dura una RESINA DENTAL? 🤔 🦷 ¿Me toca cambio de resina dental? 🦷 ¿Qué Cuidados tener?
Beneficios estéticos y funcionales
- Respeta la estética dental: El composite posee un color y textura muy similar al de las piezas dentales naturales. Esto hace que se disimule y sea casi imperceptible.
- Buena capacidad de adhesión: Debido a las características de sus componentes la resina se adhiere mejor a los dientes que otros materiales.
- No desprende componentes dañinos: Antes del desarrollo de la resina dental se empleaban materiales de obturación que contenían algunos metales como el mercurio. Estos con la acción de la saliva y la masticación se desgastaban y desprendían partículas que resultaban tóxicas para el paciente. Por el contrario la resina es biocompatible con el organismo.
- Es fácil de usar: La resina resulta un compuesto muy práctico y fácil de usar para los dentistas. Ya que no requiere el uso de herramientas complicadas para su aplicación.
- Tiene buena resistencia: La resina compuesta es un material con una gran resistencia al desgaste, las fracturas y la tensión. Esto hace que pueda cumplir su función sin problemas durante muchos años.
- Es apropiado para todo tipo de personas: La resina es un tratamiento de odontología para niños, jóvenes y adultos.
Desventajas de la resina y limitaciones frente a otros materiales
Es necesario tomar en cuenta una serie de factores como la humedad del área o de la pieza dental para que el material se adhiera correctamente. Además, el esmalte o dentina deben acondicionarse antes de la aplicación de la resina.
En muy raras ocasiones, los rellenos o reconstrucciones con resina pueden ocasionar sensibilidad, pero existe una pequeña probabilidad de que ocurra. Esta debe desaparecer a los pocos días después de la culminación del tratamiento.
También hay que considerar que el composite puede agrietarse o dañarse con el tiempo, particularmente si usas mucha fuerza para masticar algo duro o rechinas los dientes. Entonces, necesitarías otro procedimiento para acomodar la parte dañada o reemplazar la resina.
Por otro lado, el consumo de bebidas oscuras como cola, vino tinto o té, así como fumar, puede causar que los rellenos de composite cambien su coloración.
En comparación con otros métodos de restauración dental, como las amalgamas, el composite es menos duradero y más costoso. Asimismo, pueden tardar más tiempo colocándolo, ya que requiere ponerlo por capas.
¿Cómo es el procedimiento para la colocación de la resina dental?
Para tratar una caries con resina se debe limpiar la zona y eliminar las bacterias. Luego se aplica el relleno. Al hacer esto la caries se inactiva, pero si en el futuro se rompe el empaste las bacterias se pueden volver a filtrar. De ahí que sea tan importante darles el cuidado apropiado.
La resina se coloca por medio de un proceso de adhesión que sigue estos pasos básicos:
- Una vez que el dentista haya examinado su cavidad oral este seleccionará el tipo de resina que más le convenga. Luego escogerá el color que considere más parecido a la tonalidad de sus dientes.
- Antes de colocar la resina compuesta debe preparar el diente colocándole un líquido acondicionante. Este ayuda a que el material pueda adherirse mejor.
- El dentista procede a colocar la resina dental y empieza a moldearla. Esta debe ser de un color similar a la de la pieza. Luego distribuye el material de forma pareja.
- Y le de la forma deseada aplica luz ultravioleta para endurecerlo.
- Se pulen los pedazos sobrantes y se pule la superficie hasta que obtenga un brillo muy similar al de la superficie de tus dientes.
- El dentista revisará tu mordida para asegurarse que estés cómodo con la restauración.
El proceso de colocación de la resina no provoca ningún dolor. Sin embargo, en los casos en los que el tratamiento llega a la dentina, se aplica anestesia local. Es posible que después de hacer el tratamiento haya algo de sensibilidad dental, sobre todo si se ha tratado una caries muy grande. En estos casos el dolor debe remitir en poco tiempo y, si no lo hace, consulta con tu dentista.
¿Puede haber dolor después de un empaste dental?
Un empaste dental bien colocado no debe provocar ningún dolor o molestia, y si esto ocurre es temporal. Hay casos, sin embargo, en los que el paciente sí siente dolor, lo cual ocurre por dos motivos.
En primer lugar, es posible que el empaste dental haya quedado alto. Esto provoca inflamación en la pulpa dental y el ligamento periodontal, lo que impide una buena oclusión y provoca molestias al masticar.
Para evitar que lo anterior ocurra, el dentista te pedirá que muerdas un papel oscuro después de aplicar la resina. De esta manera le indicarás si sientes alguna molestia.
El otro motivo por el que puede doler la colocación de la resina es que el empaste quede cerca del nervio. Ocurre cuando la caries es muy grande y en ocasiones requiere hacer una endodoncia.
Si el dolor en el diente tratado se intensifica o dura más de cuatro días, lo más conveniente es acudir al odontólogo. Durante la consulta determinará la causa de las molestias y aplicará la solución adecuada.
¿Qué no debes hacer cuando te ponen resina?
Si te acabas de colocar una resina debes empezar a cuidarla de inmediato. Así evitarás que se produzca algún problema en las horas que siguen al tratamiento.
Trata de no masticar con la zona que ha sido intervenida. Si vas a comer algo, procura que sean alimentos blandos, pero no muy pegajosos porque hay ocasiones en los que la resina tarda en secar.
Por otra parte, recuerda que los dientes están sensibles al salir del consultorio, de manera que el consumo de alimentos y bebidas a temperaturas extremas está desaconsejado.
¿Cómo es la reconstrucción del borde incisal?
Como lo habíamos comentado la resina muchas veces se emplea en casos de reconstrucción de dientes. Es decir, cuando estos se parten o desgastan, especialmente en los bordes. También cuando tienen alguna deformación o su tamaño no es el indicado.
Para realizar un tratamiento de restauración de bordes incisales los especialistas primero toman una impresión de los dientes. Esta sirve como patrón para el proceso de tallado y restauración.
Para que la resina se adquiera y moldee mejor al borde los dientes es necesario desgastarlo un poco. Especialmente por la parte posterior de la pieza.
Luego inicia el proceso de restauración. Este consiste en colocar una fina capa de resina y moldearla hasta obtener la forma y tamaño del diente establecidos. A continuación, se procede a pulir la restauración de resina para obtener un acabado brillante muy similar al del esmalte dental natural.
El procedimiento, por lo general, se realiza en una sola sesión. Pero pueden requerirse de una segunda visita al dentista en algunos casos.
¿Cómo cuidar la resina dental?
Si quieres que los rellenos y la rehabilitación bucal hechas con resina se mantengan en buen estado por mucho más tiempo sigue estos consejos:
- Evita morder cosas muy duras: Morder alimentos o elementos duros puede hacer que la resina o incluso tus propios dientes se astillen. No mastiques hielo ni abras objetos o empaques con los dientes.
- Modera el consumo de alimentos muy pigmentados: Consume bebidas y alimentos como el café, vino tinto y frutos rojos de manera moderada. Estos podrían manchar la resina haciéndola más visible y cambiando su color.
- Evita el consumo de cigarrillo: Los químicos del cigarrillo alteran la estructura de la resina dental volviéndola mucho menos resistente. Incluso puede llegar a cambiar su color a uno de tonalidades amarillentas o marrones.
- Mantén una buena higiene dental: Cepíllate por lo menos dos veces al día, usa enjuague bucal, hilo dental y visita periódicamente a tu dentista.
- Usa protectores: Si padeces de bruxismo o practicas algún deporte de impacto como boxeo. Te recomendamos usar fundas o protectores para los dientes. Así evitas que las piezas restauradas con resina se dañen, fracturen o desgasten.
- Visita a tu dentista: Debes asistir al dentista por lo menos una vez al año. De esta forma revisará en estado de tus dientes y los rellenos o reconstrucciones con resina para determinar si es necesario, reforzarlos, cambiarlos o si todo esta bien.
Preguntas frecuentes sobre la resina dental
¿Cuánto tiempo dura la resina en los dientes?
La resina puede durar entre 5 y 7 años en los dientes. Aunque este tiempo incluso se puede extender a 10 años si se cuidan bien. Si tienes un alto riesgo de caries, puede que no duren tanto.
El tiempo que duren las resinas puede variar dependiendo de los cuidados que les des, de tus hábitos alimenticios, si presentas bruxismo, entre otros aspectos.
