La labor de un laboratorio dental es crucial para recuperar la salud bucodental, especialmente en la restitución de la función masticatoria y la relación oclusal, anatómica y estética de la boca. Pero, ¿qué es exactamente un laboratorio dental y cuál es su papel en la prostodoncia?.
Un laboratorio dental es una empresa o recinto dedicado exclusivamente al diseño y fabricación de material odontológico. En él, se diseñan y fabrican las soluciones que necesita el dentista, incluyendo implantes, coronas, férulas y carillas. Los laboratorios dentales suelen trabajar con varias clínicas de forma simultánea.
Los profesionales que laboran en un laboratorio dental son los técnicos de laboratorio dental, también conocidos como protésicos dentales o mecánicos dentales. Para poder realizar las actividades y funciones de un laboratorio dental es necesario poseer un título de técnico superior de prótesis dentales. Estos pueden especializarse en diferentes áreas, como:
- Metalero: Maneja y moldea el metal para crear estructuras metálicas de prótesis fijas.
- Ceramista: Coloca la cerámica sobre las prótesis fijas, aportando un aspecto natural a la pieza mediante la cocción en horno.
- Resinero: Fabrica prótesis removibles de resina y colabora en otros procedimientos.
- Técnico ortodoncista: Se dedica a la elaboración de piezas de ortodoncia removible.
Es importante destacar que los protésicos dentales no son dentistas. Los dentistas trabajan directamente con el paciente, mientras que los protésicos se encargan de fabricar el material que requieren los odontólogos para los tratamientos de los pacientes. El trabajo entre el consultorio odontológico y el laboratorio debe ser fluido; además, es normal que una pieza dental regrese varias veces al laboratorio por algún cambio.
Con las innovaciones tecnológicas actuales, una fresadora robotizada es la encargada de fabricar todas las piezas siguiendo al milímetro la muestra virtual. El trabajo de un protésico dental debe estar en constante evolución y formación para poder recurrir y usar las técnicas más novedosas del mercado.
¿Cómo funciona el sistema CAD CAM en odontología? - Por Pablo Rial
El Proceso Digital en el Laboratorio Protésico
La digitalización de los procesos en la odontología avanza constantemente. En el laboratorio protésico, la digitalización empezó en la confección. La introducción de sistemas de medición 3D ópticos permitió registrar modelos de forma rápida, precisa y sencilla (fig. 1). El software de diseño, que al principio era todavía rudimentario, evolucionó hasta los programas de diseño 3D actuales con un espectro de indicación cada vez más amplio (fig. 2). También el área de producción, desde las fresadoras hasta los equipos de fundición láser, fue adaptada al proceso digital (figs. 3 y 4).

Fig. 1. El sistema de digitalización óptico hiScan|j (Hint-Els GmbH, Griesheim, Alemania).

Fig. 2. El aspecto de un software de diseño moderno.

Fig. 3. El uso fresadoras de 5 ejes.

Fig. 4. Aplicación de la tecnología de fusión láser.
En la clínica odontológica se llevan a cabo las impresiones digitales (fig. 5). El proceso propiamente dicho es un escáner 3D intraoral de la cavidad oral (fig. 6). Los sistemas de escaneo intraorales funcionan en principio de forma similar a los escáneres de modelo conocidos. Un proyector ilumina el objeto y proyecta líneas de referencia. Uno o varios sistemas de cámaras registran esta información y la reproducen en un chip. Las imágenes individuales así obtenidas pueden convertirse, agrupando varias imágenes, para obtener un conjunto de datos completo del maxilar (fig. 7). Debido al posicionamiento libre y cambiante del escáner en la boca, sólo pueden agruparse las imágenes individuales si éstas se solapan parcialmente entre sí (fig. 8). El odontólogo puede seguir en tiempo real el proceso de escaneo en el monitor. El software identifi ca las áreas de escaneo que faltan y las representa cromáticamente (fig. 9) Para la compleción pueden utilizarse imágenes adicionales. Una vez concluido el proceso de escaneo, el software analiza la preparación de cada muñón individual en cuanto al ángulo de preparación, las zonas retentivas, las zonas de apoyo y el límite de la preparación (fig. 10). De este modo, el odontólogo obtiene una confirmación directa sobre su preparación mientras el paciente todavía está sentado en el sillón de tratamiento. De este modo puede llevar a cabo eventuales correcciones sin necesidad de una sesión adicional. A continuación, el registro de datos del maxilar verificado, provisto de los datos del encargo, enviarse al laboratorio mediante una conexión por Internet protegida.

Fig. 5. El sistema de escaneo intraoral directScan (Hint-Els).

Fig. 6. La impresión intraoral digital.

Fig. 7. El registro exitoso de datos de todo el maxilar.

Fig. 8. Zonas de solapamiento de las distintas vistas.

Fig. 9. El control mediante software de la integridad de las imágenes.

Fig. 10. El análisis de la preparación en el monitor.
Posteriormente, el laboratorio o el centro de fresado puede introducir estos datos en el PC. Tanto la información sobre el encargo como los datos de la preparación, incluida la definición de los límites de la preparación, pueden visualizarse en el registro de datos. También las correcciones pueden tener lugar tras una consulta virtual con el odontólogo. A continuación, el protésico puede empezar directamente con el diseño de la restauración encarga (fig. 11).

Fig. 11. El diseño de una estructura.
Para ello dispone de todas las herramientas de diseño digitales habituales. Una vez concluido el diseño, puede acordarse con el mandante del encargo el diseño correcto. En caso de aprobación, se confecciona a partir del material deseado la estructura de forma análoga a la tecnología CAM habitual (fig. 12). Además de estos datos de la estructura, el software elabora también automáticamente a partir de los datos del maxilar un registro de datos del modelo y lo divide en un modelo maestro con muñones extraíbles (figs. 13 a 15). Ahora éste puede confeccionarse en resina o yeso asimismo en una máquina CNC (figs. 16 y 17). Un programa de fresado especialmente desarrollado posibilita la confección directamente en el laboratorio, pero también es posible la elaboración del modelo mediante estereolitografía (fig. 18). El protésico recibe la estructura y el modelo al mismo tiempo y ahora puede completar la restauración mediante los restantes pasos de trabajo manuales (fig. 19).

Fig. 12. La estructura confeccionada mecánicamente.

Fig. 13. El registro de datos digital del modelo.

Fig. 14. La confección de un modelo maestro mediante software.

Fig. 15. Los muñones separados digitales.

Fig. 16. El fresado del modelo en una máquina CNC.

Fig. 17. El modelo de resina tras el fresado.

Fig. 18. Un modelo confeccionado mediante estereolitografía.

Fig. 19. Un modelo fresado, incluidos los muñones extraíbles y la estructura de dióxido de zirconio.
Técnica BOPT: Un Enfoque Innovador
En los últimos años, la técnica BOPT (Biologically Oriented Preparation Technique) ha ganado popularidad. Con la técnica BOPT (Loi y di Felice 2013), el clínico y el protésico dental pueden interactuar con el periodonto marginal modificando su forma y festoneado (respetando siempre su biología) sin ningún condicionante dental ni gingival.
El objetivo de este artículo es ilustrar los procedimientos técnicos definidos como BOPT IN LAB, así como los materiales más adecuados para la ejecución de esta técnica. El traslado de la porción intrasulcular de la preparación dental “sin línea de terminación” al laboratorio (Figuras 3, 4 y 5) resulta un factor determinante y exclusivo del protocolo BOPT fundamental para poder utilizar esa “área” de interacción entre el margen gingival y el contorno de la corona protética.

Figura 1. Preparación feather-edge con la parte intrasulcular obtenida mediante técnica BOPT.

Figura 2. Detalle del área intrasulcular con protocolo BOPT.

Figura 3. Impresión en silicona que recoge una detallada reproducción de la posición intrasulcular de las preparaciones.

Figura 4. Modelo maestro en el que se han marcado los niveles gingivales, antes de realizar el recorte y rebaje (trimming y ditching) para posicionar el margen.
Partiendo del concepto de Abrams (1983) sobre los perfiles especulares en “ala de gaviota”, empezamos a construir perfiles de emergencia que, al contrario de lo que había venido sucediendo, no se ajustan a la encía sino viceversa. Este protocolo quita importancia al concepto de “sobrecontorno” descrito por Sorensen (1990), que lo define como el perfil de emergencia de la corona que supera los 45° y que ha sido considerado durante años un aspecto negativo en prostodoncia.

Figura 6. El perfil de emergencia en un diente preparado con chaflán u hombro sale completamente vertical a 0° siguiendo la información anatómica de la unión amelocementaria cuando esta se conserva.
Con la técnica BOPT la anatomía de la emergencia del diente se traslada a la corona protética, lo que nos ha llevado a lo largo de los años a utilizar una técnica de laboratorio BOPT IN LAB que nos permite interactuar con los tejidos circundantes modificando su forma y festoneado (respetando siempre su biología) sin ningún tipo de referencia anatómica dental ni gingival.
Materiales en la Técnica BOPT: Zirconio vs. Metal-Cerámica
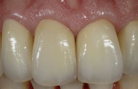
La estética dental resulta cada vez más exigente, lo que promueve el desarrollo de tecnologías CAD/CAM que permiten el uso de materiales cada vez más eficaces. Ya en 2006 los autores introdujeron el uso del óxido de zirconio en la práctica clínica de los casos de BOPT como alternativa a las restauraciones metal-cerámica, y comprobaron la existencia de una respuesta gingival positiva (Figuras 14 y 15). La literatura internacional no tardó en confirmarlo.

Figura 15. Respuesta de los tejidos alrededor de coronas de zirconio estratificado.
El zirconio es un material muy compacto, lo que favorece una respuesta tisular especialmente positiva (Rimondini y cols. 2002). En realidad, todos los estudios demuestran que el grado de biocompatibilidad del óxido de zirconio es muy elevado y su comportamiento con la encía excelente. Otro detalle interesante es que el autopulido de la superficie de zirconio es mejor que el glaseado (Scotti y cols. 2007) (Figura 16).

Figura 16. Otro aspecto muy importante es el comportamiento de los materiales en contacto con la encía marginal.
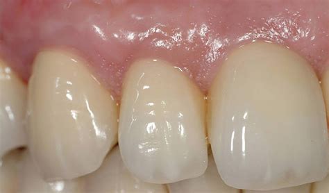
Sin embargo, los autores siguen considerando las restauraciones metal-cerámica con metales nobles como el gold standard debido a sus comprobadas propiedades mecánicas y de biocompatibilidad (Figuras 17, 18, 19 y 20).

Figuras 17, 18 y 19.

Figura 20. Respuesta de los tejidos alrededor de una prótesis metal-cerámica.
Funciones de un Laboratorio Dental
Las clínicas dentales deben contar con múltiples profesionales en el área de la salud dental. Esto para poder brindarle la mejor atención a cada uno de los pacientes. Además, necesitan la ayuda de laboratorios dentales y de sus trabajadores para un servicio completo.
Estrecha relación con clínicas dentales
Los laboratorios dentales por lo general son proveedores de diferentes clínicas, aunque en algunos casos trabajan de forma exclusiva con alguna. Estos deben proporcionarles el material odontológico solicitado. El laboratorio y la clínica deben comunicarse de forma constante.Esto garantiza la obtención de todos los datos necesarios para la fabricación de prótesis dentales de excelente calidad y acabado. Los laboratorios que trabajan de forma exclusiva para una clínica reciben pedidos solo de los especialistas de esta. Lo que reduce en gran medida los pedidos y por lo tanto los tiempos de espera de los pacientes.
¿Qué elementos fabrican en los laboratorios?
- Prótesis dentales: Se confeccionan diferentes tipos de prótesis dentales, parciales o totales, exclusivas para cada paciente. Las piezas más solicitadas son coronas, carillas, puentes e implantes.
- Férulas dentales: Pueden ser para blanqueamiento, mantenimiento de ortodoncia, oclusales o protectores bucales.
¿Cómo hacen una prótesis dental?
Realizar una prótesis dental puede llevar un par de días o incluso algunas semanas de trabajo en el laboratorio. Esto depende de su tipo. En el caso de las prótesis dentales fijas, como las coronas y los puentes, el primer paso es que el dentista reduzca el tamaño de los dientes. Luego debe tomar una impresión dental que será la base para el diseño de la prótesis. La impresión se realiza mediante una férula y un agente similar al yeso. Este permite obtener una representación exacta de los tejidos dentales. Luego va al laboratorio dental para iniciar el proceso de diseño y elaboración de la pieza. Las prótesis pueden fabricarse con resina, cerámica u otros materiales según el caso. Si seleccionas porcelana el técnico de laboratorio será el encargado de darle una forma y color. Para que vaya bien con las piezas dentales naturales. Durante el tiempo de confección de la prótesis fija tu dentista debe colocarte una temporal. En caso de que exista algún error o inconformidad con las dimensiones, textura o apariencia de la prótesis puedes devolver al laboratorio. Ellos harán la corrección. Si la falla no es demasiado grande tu dentista podría arreglarla.
Seguridad en el laboratorio dental
En los laboratorios dentales es preciso mantener rutinas de seguridad e higiene para evitar contagios de enfermedades. Hay normas y protocolos que se deben seguir como precaución. El protocolo comienza incluso antes de que las muestras lleguen al laboratorio, en el consultorio. Mientras que en el laboratorio, los protésicos deben protegerse con los implementos necesarios. Estos incluyen gafas, guantes y mascarillas. Dentro del laboratorio se trabajan con materiales de alto riesgo, de ahí el peligro de contagiarse alguna enfermedad. Asimismo, en el laboratorio se producen gases tóxicos que deben eliminarse a través de un extractor.
Las funciones de un laboratorio dental son muy específicas y representan un complemento a algunos de los principales tratamientos dentales.
El Sistema CAD/CAM Dental
El método CAD/CAM dental es un recurso tecnológico que se utiliza para diseñar y fabricar prótesis dentales de gran precisión y calidad, así como para planificar la evolución de un tratamiento dental. Por lo tanto, se trata de un software que permite analizar el estado dentomaxilar del paciente para obtener una reproducción digital tridimensional de la boca. Con este sistema se pueden realizar todo tipo de restauraciones dentales: incrustaciones, carillas, coronas, dentaduras postizas, puentes, aparatos de ortodoncia, implantes y también reconstrucciones de toda la boca.
Este sistema se creó en Suiza en el año 1971, aunque todavía se trataba de un proyecto teórico y experimental. Para la utilización de la tecnología CAD/CAM, los desarrolladores se fijaron en los sectores automovilístico y aeroespacial. La primera prótesis removible a partir de una imagen 3D se fabricó en 1994.
Fases del proceso CAD/CAM:
- Registro de la cavidad oral: El dentista realiza un escaneo de la cavidad oral, no solamente de las piezas afectadas sino de toda la boca.
- Diseño por ordenador o fase CAD: Se obtiene una imagen en 3D mediante la cual el software diseña la prótesis necesaria.
- Elaboración del prototipo o fase CAM: El sistema transfiere los datos a una máquina de fresado o impresión 3D. Esta será la encargada de tallar y moldear el dispositivo en un bloque de resina o imprimirlo en el material pertinente.
- Por último, el profesional coloca la prótesis.
Hay estudios que demuestran que el método CAD/CAM es el más popular en la odontología actual. La pieza se coloca con una mayor precisión. El sistema CAD es también una buena herramienta para ayudar a planificar una intervención quirúrgica.
La técnica CAD/CAM no supone desventajas para el paciente. En cambio, puede ser un inconveniente para algunas clínicas dentales que no pueden asumir los costes de inversión y mantenimiento de esta tecnología. También puede suceder que para algunos pacientes sea más recomendable usar el sistema tradicional en algunos casos concretos.
Ventajas del sistema CAD/CAM:
- Mejora la precisión del trabajo.
- Permite una planificación quirúrgica más precisa.
tags: #laboratorio #de #procesos #en #prostodoncia