Laboratorio Dental Arpa SL es una empresa especializada en la fabricación de aparatos de prótesis dentarias y piezas para estos aparatos. Ubicada en Lleida, esta empresa se ha consolidado como un referente en el sector dental gracias a su compromiso con la calidad y la tecnología avanzada.

Información General de Laboratorio Dental Arpa SL
A continuación, se presenta información clave sobre Laboratorio Dental Arpa SL:
- Nombre: Laboratorio Dental Arpa SL
- CIF: B25294877
- Forma jurídica: Sociedad Limitada
- Fecha de constitución: 23/12/1992
- CNAE: 3250 - Fabricación de instrumentos y suministros médicos y odontológicos
- SIC: 3841 - Instrumentos y aparatos para medicina y cirugía
Actividad Principal
La actividad principal de Laboratorio Dental Arpa SL es la fabricación de instrumentos y suministros médicos y odontológicos, específicamente en el ámbito de las prótesis dentales.
Servicios Ofrecidos
Laboratori Dental Arpa ofrece una amplia gama de servicios relacionados con prótesis dentales, destacando:
- Fabricación de aparatos de prótesis dentarias
- Fabricación de piezas y accesorios para prótesis dentales
- Especialistas en todo tipo de prótesis dentales con acabados de alta calidad
Además, la empresa ofrece una garantía de 5 años en sus trabajos y plazos de tiempo ajustados.
Información de Contacto
Para contactar con Laboratori Dental Arpa, puedes utilizar los siguientes medios:
- Dirección: Carrer Dr. Combelles, 7 ALTILLO, Lleida
- Teléfono: 973271434
- Fax: 973270988

Información Financiera y Mercantil
Aquí se detallan algunos datos financieros y mercantiles relevantes de la empresa:
- Fecha de constitución: 23/12/1992
- Forma social: Sociedad Limitada
- Actividad CNAE: Fabricación de instrumentos y suministros médicos y odontológicos
- Número de empleados: de 10 a 50
- Rango de facturación: 1.000.000€ - 2.500.000€
- Rango del capital social: 10.000€ - 50.000€
Laboratori Dental Arpa cuenta con tecnología avanzada para asegurar la satisfacción total de sus clientes y la eficacia en sus trabajos. Entre sus servicios, destacan los implantes y dientes en el mismo día.
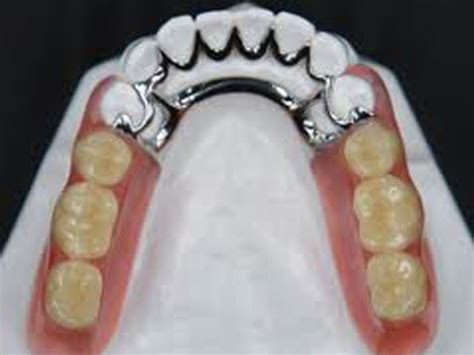
✅ Tipos 𝗱𝗲 𝗣𝗥𝗢𝗧𝗘𝗦𝗜𝗦 𝗗𝗘𝗡𝗧𝗔𝗟𝗘𝗦 𝗥𝗘𝗠𝗢𝗩𝗜𝗕𝗟𝗘𝗦 : Ventajas e Inconvenientes ¿Que Dentadura Postiza es MEJOR?
Servicios Adicionales
Además de la fabricación de prótesis, Laboratori Dental Arpa colabora con especialistas en diversas áreas de la odontología, incluyendo:
- Odontología general
- Odontología infantil
- Ortodoncia
- Odontología conservadora
- Implantes dentales
- Estética dental
Ubicación
Laboratori Dental Arpa se encuentra ubicado en Carrer Dr. Combelles, 7 ALTILLO, Lleida, cerca del centro de la ciudad.

Tabla Resumen de Laboratorio Dental Arpa SL
Para una visión más clara, aquí tienes una tabla resumen con los datos más importantes:
| Dato | Información |
|---|---|
| Nombre | Laboratorio Dental Arpa SL |
| CIF | B25294877 |
| Actividad CNAE | Fabricación de instrumentos y suministros médicos y odontológicos |
| Número de empleados | 10-50 |
| Facturación | 1.000.000€ - 2.500.000€ |
| Teléfono | 973271434 |
| Dirección | Carrer Dr. Combelles, 7 ALTILLO, Lleida |
tags: #laboratorio #dental #arpa