En Siritec, nos especializamos en ofrecer soluciones protésicas de alta calidad, diseñadas específicamente para clínicas dentales en Barcelona y el Baix Llobregat. Combinamos tecnología avanzada, una amplia experiencia técnica y un firme compromiso con la precisión para satisfacer las necesidades de nuestros clientes.

Nuestros Servicios
Ofrecemos una amplia gama de servicios protésicos, incluyendo:
- Prótesis fijas: Precisión, ajuste y fiabilidad garantizados.
- Prótesis removibles: Diseñadas para la comodidad y funcionalidad del paciente.
- Estética dental: Soluciones para el diseño de su sonrisa, incluyendo carillas y coronas de zirconio.
Estética Dental: Destaque su Belleza en Forma de Sonrisa
La estética dental es un conjunto de tratamientos orientados al diseño de su sonrisa. Debido al paso del tiempo, malos hábitos, un consumo de comidas y bebidas colorantes, etc., el color de nuestros dientes puede verse afectado de manera negativa.
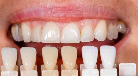
Carillas Dentales
Las carillas son finas láminas de material porcelánico que se adhieren a la cara externa de los dientes. Se realizan a medida de cada paciente en un laboratorio protésico para garantizar la máxima resistencia y estética natural.

Coronas de Zirconio
Cuando colocamos coronas para los implantes dentales, fundas o restauraciones, la opción más estética es el zirconio dental.
Ortodoncia
En muchas ocasiones, para restaurar una sonrisa es necesario alinear todos los dientes, el encaje entre ellos y con sus estructuras maxilofaciales. Es en estos casos que se hace necesario un tratamiento de ortodoncia.
Periodoncia Estética
La encía juega un papel importante en la estética global de la sonrisa. Los tratamientos de periodoncia estética realizan pequeñas intervenciones con el objetivo de armonizar la proporción entre encía y diente, o bien hacer que la línea de las encías sea simétrica.
Tecnología Avanzada para Odontología de Vanguardia
Contamos con tecnología avanzada para odontología de vanguardia. Nuestra pasión por el detalle está al servicio de la odontología.

¿Por Qué Elegir Siritec?
- Comunicación Directa: Mantenemos una comunicación fluida y profesional con nuestros clientes.
- Compromiso con los Plazos: Entregamos a tiempo y nos adaptamos a las necesidades de cada caso.
- Calidad y Ajuste: Notará una gran mejora en la calidad y el ajuste de las prótesis.
- Disponibilidad: Siempre estamos disponibles para resolver dudas técnicas.
Lo Que Dicen Nuestros Clientes
Estos son algunos testimonios de clientes satisfechos:
Hugo Vidal, Clínica dental Sant Just Desvern: Lo que más valoramos es la comunicación directa y el compromiso con los plazos. Entienden perfectamente nuestras necesidades clínicas y siempre cumplen.
Pau Ferrer, Clínica dental L’Hospitalet de Llobregat: Desde que trabajamos con este laboratorio, hemos notado una gran mejora en la calidad y ajuste de las prótesis. Son rápidos, precisos y siempre disponibles para resolver dudas técnicas.
Clara Bosch, Clínica dental Barcelona: Este laboratorio combina tecnología de última generación con un trato cercano y profesional. Sin duda, un proveedor en el que podemos confiar para cada caso.
Laia Puig, Clínica dental Sant Boi: Trabajar con Siritec nos da tranquilidad. Siempre entregan a tiempo y se adaptan a las necesidades de cada caso.
Contáctenos
Para obtener más información sobre nuestros servicios o solicitar un presupuesto, no dude en contactarnos al 93 025 12 25.
Recuerde, siempre puede contar con la experiencia del Dr. en Siritec.
Carillas dentales: cómo transformar tu sonrisa sin complicaciones 🦷
tags: #laboratorio #dental #hospitalet