En Lugo, encontrarás una amplia gama de laboratorios dentales dedicados a ofrecer servicios de alta calidad, desde la fabricación de prótesis dentales hasta soluciones estéticas innovadoras. Estos laboratorios combinan técnicas artesanales con tecnología de vanguardia para garantizar resultados óptimos y personalizados para cada paciente.

Servicios Ofrecidos por los Laboratorios Dentales en Lugo
Los laboratorios dentales en Lugo ofrecen una variedad de servicios especializados, adaptándose a las necesidades de cada clínica dental y paciente:
- Diseño y fabricación de prótesis dentales: A medida de dentaduras postizas, puentes, coronas y piezas dentales en distintos materiales como porcelana, circonio, nylon o resina.
- Prótesis fijas y removibles: Diseño, fabricación y adaptación de prótesis fijas y removibles, carillas, férulas y ortodoncias.
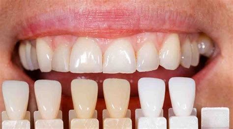
- Carillas dentales: Soluciones perfectas para quienes buscan una mejora estética rápida, eficaz y mínimamente invasiva. Se elaboran directamente sobre el diente o en un laboratorio protésico.
- Blanqueamiento dental: Tratamiento dental estético que reduce varios tonos el color original de las piezas dentales, dejando los dientes más blancos y brillantes.
- Adaptación y reparación de prótesis: Adaptación y reparación de prótesis fijas y removibles y otra aparatología dental.
Tecnología CAD/CAM y Fresado Dental
La tecnología CAD/CAM (Diseño y Fabricación Asistidos por Ordenador) ha revolucionado la odontología, permitiendo:
- Escaneado 3D: Obtención de un modelo virtual preciso de la cavidad bucal o de los modelos de escayola.
- Diseño digital: Creación de puentes, coronas y barras con software especializado, ajustando cada pieza al milímetro.
- Fresado de materiales de alta calidad: Utilización de PMMA, zirconio, cromo-cobalto, titanio, garantizando adaptaciones marginales exactas y resultados más duraderos.
Los beneficios del fresado dental incluyen mayor durabilidad, rapidez de fabricación y mejor planificación del tratamiento.

Que es CAD CAM en Odontología - Introducción a la tecnología
Laboratorios Destacados en Lugo
Algunos de los laboratorios dentales más destacados en Lugo incluyen:
- Técnica Dental Studio VP: Con salas especializadas para desarrollo digital, formaciones y trabajo manual.
- MTG Laboratorio Dental: Ofrece una amplia gama de servicios protésicos con un enfoque en la atención personalizada.
- Em Dental: Se enfoca en la personalización de cada tratamiento, con un ambiente moderno y confortable.
- Laboratorio Biosmile: Fusiona tecnología CAD/CAM con técnicas artesanales para garantizar la mejor adaptación y una estética excepcional.
Estética Dental en Lugo
La estética dental es una de las especialidades más demandadas en Lugo. Los laboratorios dentales y clínicas ofrecen soluciones como carillas de porcelana, blanqueamiento dental y otros tratamientos cosméticos para mejorar la sonrisa de los pacientes.
Carillas de Porcelana: Estas finas láminas de cerámica de alta resistencia se fabrican a medida para lograr un ajuste perfecto. Son ideales para disimular manchas permanentes, reparar pequeñas fracturas, unificar el tamaño y la forma de los dientes o cerrar espacios indeseados.

Innovación y Desarrollo en Laboratorios Dentales
Los laboratorios dentales en Lugo están en constante evolución, incorporando las últimas tecnologías y técnicas para ofrecer los mejores resultados a sus clientes. Algunos hitos importantes incluyen:
- Colaboraciones con universidades y grupos de investigación: Como el grupo BORG BCN, para desarrollar proyectos innovadores.
- Inversión en tecnologías de la información y comunicación (TIC): Para facilitar el trabajo cotidiano de cada departamento.
- Viajes a centros de referencia internacional: Como la Universidad de Ginebra, para aprender sobre implantes y rehabilitaciones adhesivas.
Preguntas Frecuentes (FAQ)
¿Ofrecen soluciones personalizadas?
Sí, los laboratorios dentales en Lugo ofrecen soluciones personalizadas y mantienen una comunicación fluida con cada clínica para garantizar el éxito de cada tratamiento.
¿Aplican controles de calidad?
Sí, aplican controles de calidad en todas las fases del proceso, desde la recepción de la prescripción hasta el pulido y acabado final.
¿Qué materiales utilizan para las prótesis dentales?
Utilizan una variedad de materiales de alta calidad como PMMA, zirconio, cromo-cobalto y titanio.

tags: #laboratorio #dental #lugo