Como odontólogo con años de experiencia, he visto muchas veces la preocupación en pacientes (y padres) cuando ocurre una rotura del frenillo labial superior. Ese pequeño pliegue de tejido que une el labio superior con la encía puede desgarrarse por un golpe o accidente, provocando sangrado y susto. Aquí te contaré todo lo que necesitas saber: desde las causas y síntomas, hasta los cuidados de recuperación, tiempos de cicatrización y consejos prácticos.

¿Qué es el Frenillo Labial Superior?
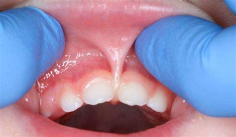
El frenillo labial superior es una pequeña banda de tejido fibroso que conecta la cara interna del labio superior con la encía, justo por encima de los dientes frontales. Aunque a simple vista parece insignificante, este frenillo ayuda a estabilizar el labio y limitar su movimiento excesivo. En bebés y niños, un frenillo muy fibroso o corto a veces contribuye a la aparición de un pequeño espacio entre los dientes frontales (diastema) o puede dificultar un buen agarre durante la lactancia. En adultos, normalmente el frenillo pasa desapercibido.
¿Qué Sucede si se Rompe?
En general, la rotura del frenillo no supone una pérdida funcional grave - muchas personas ni notan diferencias tras la curación - pero el evento en sí puede ser doloroso y alarmante.
ASÍ se QUITA un FRENILLO en el LABIO - Frenectomía
- Caídas y golpes accidentales: Especialmente en niños pequeños, las caídas con la boca abierta o golpes contra objetos duros suelen causar este desgarro.
- Traumatismos deportivos: Un balonazo en la boca, un choque durante un partido o cualquier impacto en el labio superior puede ocasionar la rotura en personas de cualquier edad.
- Mordeduras o manipulación excesiva: A veces, morderse el labio superior por accidente (por ejemplo, durante una caída o al masticar) puede desgarrar el frenillo.
- Piercings o cirugías previas: Un piercing mal colocado en el labio o encía, o una cirugía bucal cercana, podrían debilitar el frenillo y hacerlo más propenso a romperse.
Síntomas de un Frenillo Labial Superior Roto
En cualquier caso, la rotura suele ocurrir de forma abrupta:
- Sangrado abundante: La boca es una zona muy vascularizada, así que al romperse el frenillo suele haber un sangrado notable.
- Dolor y molestia: ¿Es doloroso romperse el frenillo? Sí, puede doler, aunque la intensidad varía. Algunas personas sienten un dolor agudo en el momento de la rotura, seguido de escozor o sensibilidad en la zona.
- Inflamación local: El labio superior y la encía cercana pueden hincharse un poco después del trauma.
- Herida visible: Al levantar el labio, se puede ver el frenillo desgarrado. A veces es un corte pequeño; otras veces el frenillo queda roto “por la mitad” o totalmente separado de la encía.
- Dificultad o incomodidad al mover el labio: Durante los primeros días, sonreír, morder alimentos o mover mucho el labio superior puede resultar molesto.
En resumen, un frenillo roto duele y sangra, pero rara vez causa problemas severos más allá de la molestia inicial. A diferencia de otras lesiones bucales, no suele afectar significativamente el habla ni la capacidad de comer de forma permanente.

¿Qué Hacer si se Rompe el Frenillo Labial Superior?
Lo primero es mantener la calma. Si es tu hijo quien se ha roto el frenillo, sé que impresiona ver tanta sangre en la boca, pero por fortuna suele parecer peor de lo que es.
- Detener el sangrado: Lava tus manos, toma una gasa limpia (o un paño limpio) y presiona suavemente pero con firmeza la zona del frenillo roto. Mantén la presión constante unos 5-10 minutos hasta que la hemorragia pare.
- Limpiar la herida: Si es posible, enjuaga delicadamente la boca con agua fría o suero fisiológico. No uses alcohol ni enjuagues fuertes en una herida abierta.
- Aplicar frío: Coloca hielo envuelto en una tela limpia o una bolsa de gel frío sobre el labio superior (por fuera de la boca). Aplícalo de forma intermitente, por ejemplo 10 minutos sí y 10 minutos no.
- Observar y decidir próxima acción: Tras detener el sangrado inicial, evalúa la situación. Si la herida es pequeña y el sangrado ha cesado, probablemente puedas manejarlo en casa con cuidados básicos.
¿Cuándo Buscar Atención Profesional?
Si el sangrado no se detiene bien después de 10 minutos de presión, o notas que la herida es muy grande (por ejemplo, el frenillo se arrancó por completo dejando colgando tejido), es hora de buscar atención profesional. Además de atender el frenillo en sí, fíjate en otros posibles daños: dientes aflojados o rotos por el golpe, cortes en labios o lengua, etc.
Es crucial buscar ayuda profesional en los siguientes casos:
- Sangrado abundante o prolongado
- Herida muy extensa o profunda
- Dolor intenso o signos de infección
- Duda sobre daños adicionales
¿Qué Puede Hacer el Dentista u Odontopediatra?
- Evaluación y limpieza: Primero examinamos la herida con calma, bajo buena luz. Limpiamos la zona con soluciones antisépticas seguras para la boca.
- Suturas si son necesarias: La mayoría de las veces no hace falta dar puntos de sutura en un frenillo roto. Sin embargo, si el desgarro es grande o sangra mucho, podríamos decidir colocar uno o dos puntos reabsorbibles.
- Revisión de dientes y otras lesiones: Paralelamente, comprobaremos que no haya piezas dentales dañadas.
- Indicaciones de cuidado y medicamentos: Tras la atención, damos pautas para casa. Por ejemplo, mantener dieta blanda unos días si hay mucha molestia, extremar la higiene en la zona.
- ¿Cirugía o frenectomía?: Una frenectomía solo se plantea en otros contextos - por ejemplo, si el frenillo intacto estaba causando problemas importantes de espacio entre dientes o movilidad y se decide intervenir, pero no se suele operar simplemente por haberse roto.
¿Se Regenera el Frenillo Labial Superior una Vez Roto?
La palabra regenerar puede llevar a confusión. Si entendemos “regenerar” como volver a crecer exactamente igual a como era antes, la respuesta es no, el frenillo no se regenera como tal. No es como el rabo de una lagartija que vuelve a salir completo. Lo que hará el organismo es curar la herida uniendo los bordes mediante fibras de colágeno (cicatrización).
En muchos casos, especialmente en niños, tras unos días o semanas la zona sana y visualmente apenas se nota nada extraño. Incluso puede que el frenillo roto quede ahora más flexible o más largo que antes. En otros casos, si la rotura fue completa, es posible que el frenillo “desaparezca” como estructura independiente - es decir, se integra en la encía como una pequeña cicatriz y listo.
¿Debo Preocuparme Porque mi Frenillo no Vuelva a Ser el Mismo?
En general no es motivo de preocupación. Que el frenillo labial no “reaparezca” igual que antes no afecta gravemente la salud bucal. Lo importante es que la encía y el labio cicatricen bien. Lo importante es que la herida sí cierra y sana.
Tiempos de Cicatrización del Frenillo Labial Superior Roto
El tiempo de sanación varía según la gravedad de la lesión, pero típicamente un frenillo labial desgarrado cura bastante rápido:
- Primeros días (0-3 días): Tras la rotura, el cuerpo forma un coágulo para frenar la hemorragia. La zona puede doler el primer día y habrá inflamación.
- Primera semana: En 5-7 días suele formarse tejido de granulación; básicamente, la herida se “cierra” superficialmente. El dolor debe haber disminuido mucho o desaparecido.
- 1 a 3 semanas: Dependiendo de la gravedad del desgarro, alrededor de la segunda semana la zona entra en fase de remodelación. El nuevo tejido se va fortaleciendo.
- Después del mes: A estas alturas, difícilmente habrá dolor o limitación. El frenillo (o su cicatriz) ya está estable.
Sigue las recomendaciones de tu dentista. Por lo general, sugiero mantener una buena higiene bucal (cepillado suave, sin miedo pero con cuidado cerca de la herida), evitar alimentos duros, muy calientes o picantes la primera semana para no irritar, y no andar “jugando” con el frenillo ni curioseando demasiado con los dedos. Deja que la naturaleza haga su trabajo. Si te recetaron un enjuague o gel antiséptico, úsalo el tiempo indicado. Y muy importante: ten paciencia.

Medidas Preventivas
- Protectores bucales en deporte: Si practicas deportes de contacto, utiliza un protector bucal.
- Evitar hábitos lesivos: Si tienes la costumbre de morderte el labio superior cuando estás nervioso, o notas que lo estiras mucho, trata de corregir ese hábito.
- Precauciones con bebés y niños: Vigila a los peques cuando empiezan a caminar o correr.
- Revisiones regulares: Llevar a tus hijos a revisiones dentales periódicas ayuda a detectar problemas como frenillos anómalos.
Al final, no hay que obsesionarse: el frenillo labial es una zona más de nuestro cuerpo que puede lesionarse, pero siguiendo estos consejos reducimos las probabilidades.
## Alimentación Durante la RecuperaciónEn la mayoría de los casos sí puedes comer con relativa normalidad, pero con ciertos cuidados. Los primeros días después de la rotura, te recomiendo optar por alimentos blandos y fríos. Por ejemplo, purés, yogures, helados o sopa tibia (no caliente) serán más cómodos. Evita comidas duras o crujientes (pan tostado, patatas fritas, frutos secos) que puedan rozar la herida, así como alimentos muy picantes, ácidos o calientes que puedan irritarla.
Tras unos 3-5 días, si notas que la zona ha mejorado y no duele, puedes ir retomando tu dieta habitual. Siempre mastica con cuidado y presta atención a cómo te sientes. Si algo te molesta, déjalo para más adelante.
## ¿Necesito Algún Tratamiento si mi Frenillo Labial se Rompe?No siempre necesitas un tratamiento dental invasivo. De hecho, la gran mayoría de frenillos rotos se manejan con cuidados en casa y seguimiento. Lo principal es mantener la herida limpia, controlar el sangrado y dar tiempo a que cicatrice. En algunos casos puntuales, si el corte es muy grande o hay complicaciones, el dentista podría decidir poner puntos de sutura para ayudar a la cicatrización. Pero esto no es lo usual.
Mi consejo profesional es: tras la rotura, que te evalúe un dentista. Si todo está bien, te irá indicando cuidados (por ejemplo, usar un enjuague antiséptico, comer blando, etc.) y solo intervendrá si ve algo fuera de lo común.