Las caries blancas son un problema dental menos conocido pero igual de importante que las caries oscuras. Aunque suelen pasar desapercibidas debido a su apariencia, pueden evolucionar y causar daño si no se tratan a tiempo. Detectar y tratar las caries blancas a tiempo es fundamental para evitar problemas mayores.
En nuestra clínica dental en Las Tablas, Dentyclass, contamos con un equipo de profesionales que puede ayudarte a prevenir y tratar este tipo de caries de forma efectiva. No dejes que una pequeña mancha blanca se convierta en un problema grave.
Las CARIES en niños con DIENTES DE LECHE no hace falta tratarlas. 🤥¡MENTIRA!
¿Qué son las caries blancas?
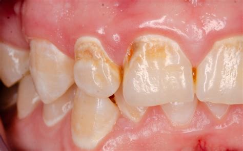
Las caries blancas son lesiones iniciales en el esmalte dental que se manifiestan como manchas blancas opacas. Estas aparecen debido a la desmineralización del esmalte, causada por bacterias que generan ácido al descomponer los azúcares de los alimentos. Las manchas blancas en los dientes son lesiones que se presentan debido a un proceso de desmineralización del esmalte, donde disminuye el contenido mineral creando una superficie dental más porosa.
La mancha blanca es la primera evidencia clínica de la caries y esto ocurre por el acúmulo de placa bacteriana inducida por una mala higiene oral. Detectar las caries blancas a tiempo es clave para evitar que evolucionen.

Causas de las caries blancas
No todos somos iguales y la razón por la que se produce una caries dental tampoco es igual en todos los pacientes.
- Genética: Tener un esmalte débil o sensibilidad dental puede ser un factor hereditario.
- El PH de la saliva: Un pH salival bajo (ácido) favorece la proliferación de bacterias que causan caries. Si la saliva no neutraliza bien los ácidos, el esmalte dental se desgasta más rápido.
- Sistema inmune débil: Un sistema inmunológico comprometido no combate eficazmente las bacterias bucales. Esto facilita la aparición de caries y otras infecciones orales como llagas.
- Alimentación: Consumir muchos azúcares o carbohidratos fermentables alimenta las bacterias que generan caries.
Síntomas de las Caries Blancas
Los síntomas de las caries pueden variar en función de la gravedad de la caries y de dónde esté localizada, pero por norma general, estos son los síntomas más comunes:
- Dolor o sensibilidad cuando exponemos el diente afectado a frío, calor o alimentos dulces.
- Manchas que pueden ser blancas (en la fase inicial, también llamadas caries blancas o leves) o negras (cuando la caries ya está más avanzada.
- A veces se pueden percibir físicamente (se puede notar un agujero en la pieza dental) pero, en otras ocasiones, las caries están entre los dientes por lo que no se pueden detectar tan fácilmente.
- Dolor, latidos y pulsaciones son síntomas de que la caries está muy profunda.
Fluorosis y Caries Blancas
La fluorosis se produce cuando los dientes reciben constantemente demasiado flúor durante un largo periodo de tiempo. Esto es especialmente cierto en niños de entre dos y seis años, cuando la formación de los dientes aún no se ha completado. Generalmente, la fluorosis se considera inofensiva y un mero problema estético. Sin embargo, cuando la fluorosis ha afectado al esmalte hasta el punto de hacerlo poroso, ya no puede cumplir correctamente su función: proteger contra la caries y otras influencias nocivas.
La fluorosis dental provoca las manchas blancas o marrones en los dientes ya descritas. La fluorosis ósea, en cambio, se produce sobre todo al beber agua demasiado fluorada durante muchos años. Puede provocar rigidez en las articulaciones y los huesos y, por tanto, limitar la movilidad. En Alemania, Austria y Suiza, el agua potable no está fluorada, por lo que no existe riesgo de fluorosis ósea. En EE.UU. y otros países donde el agua potable está enriquecida con flúor, el uso de un filtro de agua puede ser útil para prevenir la fluorosis.
Se calcula que aproximadamente una cuarta parte de la población mundial padece fluorosis, en distintos grados. Afecta tanto a niños como a adultos. Los síntomas dependen de la gravedad de la sobredosis de flúor. La manifestación de la fluorosis va desde finas líneas blancas hasta agujeros en el esmalte. A menudo hay manchas blancas en una zona amplia. Los incisivos se ven afectados con más frecuencia que los molares.
Las manchas blancas pueden no ser peligrosas y no causan dolor. Sin embargo, muchos de los afectados sufren mucho por ellas. Se avergüenzan de su aspecto e intentan ocultar las manchas, por ejemplo, riendo sólo o hablando por detrás de las manos.
Las manchas blancas en los dientes no son necesariamente un signo de fluorosis. Las denominadas manchas blancas también pueden indicar caries en las primeras fases. Las manchas blancas en los dientes pueden tener otras causas: tratamientos con antibióticos durante el embarazo o en la infancia, lesiones en los dientes de leche o incluso una disposición hereditaria. En aproximadamente un diez por ciento de los pacientes, padres e hijos presentan las mismas manchas blancas en el mismo diente y en la misma posición.
¿Manchas de fluorosis después del blanqueamiento?
Algunas personas se llevan una desagradable sorpresa tras un blanqueamiento : en lugar de una sonrisa blanca y radiante, descubren manchas blancas al mirarse en el espejo. El blanqueamiento en sí no ha causado ninguna fluorosis, sino que ha intensificado ópticamente manchas ya existentes. Durante el blanqueamiento, el dentista aplica un agente blanqueador con peróxido de hidrógeno sobre la superficie del esmalte dental, que elimina los minerales protectores del esmalte . Si el esmalte ya está debilitado, el agente blanqueador tiene un efecto aún más fuerte, por lo que estas manchas se vuelven aún más brillantes.
Las manchas blancas tras el blanqueamiento suelen desaparecer al cabo de dos o tres días, cuando el esmalte se ha regenerado. Si observa manchas blancas en los dientes de su hijo, debe concertar una cita con el dentista para ver si se trata de fluorosis.

Descalcificación Dental y Caries Blancas
La hipocalcemia o trastorno por deficiencia de calcio, también llamada popularmente descalcificación, es una condición médica que consiste en la disminución o falta de calcio en el organismo. Esta se caracteriza por generar el debilitamiento de los huesos y tejidos duros. Incluso puede afectar de forma negativa la actividad nerviosa y muscular. Entre sus síntomas se encuentran el entumecimiento de la boca, manos y pies, uñas débiles, dolor de espalda y otros.
Además, produce grandes consecuencias en tu cavidad bucal, como la descalcificación de los dientes. Esta afección debilita la estructura dentaria debido a una deficiencia de minerales como el calcio y el fósforo. Se produce cuando el proceso de mineralización del esmalte es ineficiente o se interrumpe. En resumen, la descalcificación de los dientes es la pérdida de calcio, lo que lleva a problemas de salud bucal. Usualmente se ven marcas blancas en la superficie de los dientes, en niños grandes y adultos esto puede ser resultado de la placa pegada al diente por mucho tiempo.
El esmalte que protege tus dientes del desgaste diario está formado por varios minerales, entre ellos calcio y fósforo. La descalcificación debilita el esmalte, produciendo esas manchas blancas.
Síntomas de la descalcificación dental
Los síntomas más comunes de descalsificación dental son:
- Los bajos niveles de calcio en el organismo producen el ablandamiento progresivo de los dientes. Lo que a su vez aumenta la probabilidad del desarrollo de caries.
- En la primera etapa aparecen manchas blancas en los dientes. Estos se vuelven opacos.
- A largo plazo, las manchas blancas pueden cambiar de color a una tonalidad amarillenta o marrón. Son bastante notorias.
- En casos graves se produce un gran aumento de la movilidad de los dientes. Incluso pueden desprenderse algunas piezas dentales.
- En algunos casos puedes llegar a sentir dolores agudos debido a las caries. Estos son más frecuentes en los niños.
Causas de la descalcificación dental
La falta de calcio y otros minerales en los dientes puede producirse por diversos factores. Entre ellos:
- El consumo frecuente de bebidas azucaradas y ácidas
- Higiene bucal deficiente
- Mala nutrición
- Reflujo gástrico
- Bajos niveles de saliva
- Durante la gestación
- Falta de intervención profesional
- Factores genéticos y condiciones médicas
- Uso prolongado de brackets u otros aparatos ortodónticos

Tratamiento de las Caries Blancas
Quien mejor te puede aconsejar, acerca de la opción de tratamiento adecuada, siempre es tu dentista de confianza. Normalmente las caries se tratan con un empaste, limpiando nuestro diente de todo ese tejido cariado, afectado por bacterias, y una vez limpias se rellenan para restaurar la forma original del diente.
Una vez se presenten las manchas blancas hay varias opciones de tratamiento; desde el más conservador, como la remineralización mediante pastas remineralizantes, al menos conservador, la microabrasión y restauraciones directas o indirectas (restauraciones de composite, carillas…) que implican una gran pérdida de estructura de tejido dental.
Por último, tendríamos el tratamiento mediante infiltración de resina (ICON). Se trata de un procedimiento innovador, mínimamente invasivo y muy estético.
En el tratamiento de la fluorosis se suele utilizar una combinación de infiltración de caries y blanqueamiento. En la infiltración de caries, el dentista trata el esmalte con un gel ácido para que el esmalte se abra y una resina muy fluida llamada ICON pueda penetrar en las cavidades. Así se restaura la estructura dental y se sella el esmalte. Con el blanqueamiento, se puede blanquear el resto del diente para que el contraste con las manchas blancas sea menor.
El blanqueamiento no es adecuado para todo el mundo: Los niños y adolescentes menores de 18 años, las mujeres embarazadas y en periodo de lactancia y los pacientes con caries no deben someterse a un blanqueamiento dental.
Se puede utilizar un empaste de composite cuando el esmalte dental está dañado. Carillas son unas finísimas carillas de cerámica que se pegan al diente con un adhesivo especial. La fluorosis subyacente queda enmascarada, por así decirlo, y las manchas blancas desaparecen tras la fachada de las carillas. Desventaja: Los costes del tratamiento son elevados y -al tratarse de una intervención estética- no suelen estar cubiertos por el seguro médico. Además, los dientes resultan dañados en el proceso: para que las carillas se adhieran bien a los dientes, primero hay que tallarlos. Esto daña permanentemente la sustancia dental. Este método sólo se recomienda si las manchas son muy graves y causan un gran sufrimiento psicológico.
Tratamientos para la descalcificación dental
La descalcificación dental puede producirse a cualquier edad. Pero los niños, los ancianos y las embarazadas son los que tienen mayor probabilidad de presentar esta condición. A pesar de esto no existen tratamientos médicos específicos para curar esta condición. Pero afortunadamente hay algunas formas de prevenirla y tratarla para mejorarla progresivamente.
- Mejora tu higiene bucal: La mejor forma para prevenir y tratar las consecuencias de la falta de calcio en tus dientes es teniendo una buena rutina de higiene bucodental, incluyendo cepillado, uso de hilo dental y enjuague bucal. De esta forma puedes prevenir la acumulación de placa bacteriana sobre tus dientes y eliminar los residuos de azúcares, almidón y ácidos.
- Usa productos de higiene dental específicos: Existen pastas dentales y enjuagues bucales que poseen fluoruro, calcio, fosfatos y otros componentes que te ayudan a proteger tu boca de la descalcificación dental por agentes externos como el ácido estomacal. Este tipo de productos también te ayudan a reponer el esmalte debilitado y favorecen la absorción de minerales en los dientes. Lo que te ayudará a mantenerlos más fuertes y saludables.
- Modera el consumo de alimentos azucarados y ácidos: Reduce el consumo de alimentos y bebidas con un gran contenido de azúcar, almidón o demasiado ácidos.
- Consume alimentos ricos en calcio y otros nutrientes: Todos los alimentos que contengan lactosa pueden proporcionarte buenos porcentajes de calcio y vitamina D. El queso, el yogur y la leche reducen la probabilidad de padecer de descalcificación y aumentan la dureza de los dientes.
- Consume suplementos: En caso de que no puedas consumir las cantidades necesarias de calcio y fosfatos por medio de alimentos, puedes hacerlo tomando suplementos que contengan esos minerales.
- Mantén una producción de saliva óptima: La saliva posee múltiples funciones dentro de tu boca. Una de ellas es que actúa como un agente limpiador que elimina las fuentes de acidez dentro de la cavidad oral. Además posee iones de calcio y fosfato que promueven la remineralización de los dientes. Para mantener una buena producción de saliva es importante que consumas mucha agua. También puedes masticar goma sin azúcar o consumir frutos secos.
Prevención de las Caries Blancas
La prevención es la mejor herramienta contra las caries. Es muy importante mantener una correcta higiene oral diaria y acudir a revisiones periódicas a su clínica dental de confianza.
Prevenir las caries leves es más fácil de lo que piensas. Absolutamente. El hilo dental elimina la placa y los restos de comida entre los dientes, áreas que a menudo se pasan por alto solo con el cepillado.
Adopta una buena rutina de higiene oral, opta por productos ricos en flúor, adopta una alimentación sana y acude regularmente al dentista.

Higiene dental adecuada:
Cepilla tus dientes al menos dos veces al día con una pasta dental con flúor.
Dieta equilibrada:
Limita el consumo de azúcares y carbohidratos refinados que alimentan las bacterias.
Caries en niños, cómo detectarlas
Si tienes dudas sobre si tu hijo tiene una caries, lo mejor es contactar con un dentista infantil, aún así, existen algunos indicios que nos ayudan a salir de dudas:
- Decoloración o manchas: Revisa primero las muelas, ya que éstas son las primeras en presentar caries. Asegúrate de revisar si tiene manchas. El diente no debe tener decoloración o manchas, ni tampoco roturas.
- Dolores: El dolor es un síntoma que nos puede indicar una caries. Si además, ves sangrado, contacta cuanto antes con tu odontólogo, ya que de ser necesario, éste te remitirá a un especialista en odontopediatria, es especialista en tratar los dientes de los niños.
- Halitosis y mal aliento: Las bacterias de la boca son una de las causas del mal aliento. Esto nos puede indicar que hay una caries, pero también puede ser una alerta para otros problemas.
Complicaciones derivadas de la Caries
Las caries blancas pueden derivar en complicaciones graves si no se toman las medidas correctivas a tiempo. Entre las complicaciones derivadas de la caries se derivan las siguientes:
- Dolor e inflamación.
- Absceso dental.
- Pus alrededor del diente afectado.
- Dientes deteriorados y rotos.
- Inconvenientes para masticar.
- Cambios de posición de la dentadura tras la pérdida de un diente, siendo necesarios implantes dentales o un tratamiento de ortodoncia.
Además, en situaciones complejas el paciente puede enfrentar dolor frecuente, dificultad para masticar y alimentarse, adelgazamiento, baja autoestima, así como infecciones graves que pueden incluso ocasionar grandes complicaciones que requieran cirugía bucal.