Si bien el uso de las redes sociales ha traído consigo multitud de aspectos positivos y de posibilidades a nivel comunicativo, existe otro reverso de la moneda. Aunque algunos retos virales, ejecutados en su mayoría por adolescentes, son inofensivos, otros pueden acarrear graves problemas para la salud. Y es que los riesgos de limar los dientes son reales y sus consecuencias pueden llegar a ser irreversibles.

¿Cuáles son los Riesgos de Limar los Dientes?
“Voy a limar mis dientes con una lima de uñas porque no están perfectos”. Pese a compartirse como un inofensivo ‘consejo’ de belleza, esto puede tener graves consecuencias en la salud dental.
Los dientes están formados por una capa externa de gran dureza llamada esmalte. Lo que supone limar el filo de los dientes es eliminar parte del esmalte dental, es decir, la fina capa exterior que los recubre y, además, el tejido más duro del cuerpo humano (más incluso que los huesos). Tejido, por otra parte, que no se regenera.
El esmalte dental no se regenera. “Limarse los dientes es una barbaridad. Se están destrozando literalmente el esmalte que recubre el diente”, explica a Maldita.es Simón Pardiñas, dentista y divulgador. El esmalte, además, es el encargado de proteger a nuestros dientes de las agresiones externas, como masticar.
“Sin él, queda al descubierto la capa dental que está justo por debajo, la dentina, lo que puede provocar sensibilidad y dolores”, continúa Pardiñas. “Esta capa es mucho más débil que el esmalte, con lo que, al estar expuesta, puede aumentar el riesgo de caries, fracturas del diente, sensibilidades y, en los casos más graves, afecciones en la pulpa o nervio del diente”. En este último caso, puede ser necesaria una endodoncia, lo que supone eliminar el nervio del diente o incluso extraerlo por completo.
Además, cabe decir que este método es totalmente ineficaz a la hora de igualar las piezas dentales e implica una reducción del tamaño de los dientes irreparable. Los daños en el esmalte dental son para toda la vida, ya que esta capa no se regenera.
Pardiñas recuerda que, si alguien quiere mejorar el aspecto y posición de sus dientes, es importante que acuda al dentista. “Seguro que a nadie se le ocurre limarse el hueso de un pie porque no le gusta cómo tiene alineados los dedos”, compara.
Afilar los Caninos: Un Peligro Adicional
Estamos ante una moda procedente del Japón Yae ba (dientes dobles). En algunos casos, además de esta técnica, también se colocan implantes o carillas que alargan los colmillos. Los caninos son vitales para la masticación y la mordida. Tienen puntos de contacto muy específicos que están estrechamente relacionados con la alineación y funcionamiento de la articulación temporomandibular (ATM).
El principal problema de afilar los caninos es el daño ocasionado en el esmalte dental. Esto provoca debilidad en las piezas dentales y una sensibilidad dental mucho mayor. Si, además de esto, se alargan los dientes artificialmente, las consecuencias son mucho mayores. Se modifica la forma de masticar provocando así lesiones maxilofaciales, y problemas en los huesos de la mandíbula.
Stripping Dental: ¿Cuándo es Necesario Limar los Dientes por Salud Dental?
Lejos de ser un tratamiento estético al alcance de cualquiera que disponga de una lima de uñas, el único caso en el que sí será necesario limar el esmalte por salud dental es en un procedimiento llamado stripping o desgaste interproximal. Su objetivo al reducir el grosor del esmalte es crear espacio entre las distintas piezas (no en su filo), proporcionando margen de movimiento cuando los dientes están muy apiñados en tratamientos como las ortodoncias.

También se utiliza para reducir los triángulos negros entre los dientes (troneras), pequeños espacios oscuros entre los dientes cuando estos tienen una forma triangular o cuando se ha producido la pérdida de papila dental.
El stripping dental, comúnmente conocido como limar los dientes, tiene varias indicaciones en la ortodoncia. La más común, como ya hemos comentado, es la de conseguir algunos milímetros en casos en los que no es posible alinear todos los dientes correctamente por falta de espacio. También está indicado para mejorar la forma de algunos dientes. Por ejemplo, premolares muy redondos o incisivos muy triangulares que crean espacios negros entre el punto de contacto y la papila dental. En esos casos, al aplanar la anatomía del incisivo y hacerlo más rectangular, conseguimos que el punto de contacto se sitúe más a gingival de forma que la papila pueda rellenar el espacio negro. Otro ejemplo de uso del stripping en ortodoncia es la armonización de los tamaños de los dientes. Para que los dientes encajen correctamente entre ellos, el tamaño de los dientes superiores debe de estar en proporción con los inferiores.
Dentro de un tratamiento de ortodoncia, el stripping puede solucionar distintos problemas concretos. En ocasiones, nos encontramos con que no hay bastante espacio en una o ambas arcadas para que todas las piezas dentales quepan en ellas correctamente alineadas, por lo que se apiñan. Con discrepancia de Bolton nos referimos a una relación desigual entre los dientes de la arcada superior y los de la arcada inferior. Las troneras son pequeños espacios triangulares que se crean entre la encía y dos dientes contiguos que no contactan en su parte superior (sí más abajo). Hay personas con dientes que, por lo que respecta a su tamaño, son muy diferentes entre ellos.
¿Por qué le están CORTANDO así los DIENTES? STRIPPING en ORTODONCIA
El stripping dental es una técnica utilizada en ortodoncia que se basa en la reducción interproximal del esmalte de los dientes.
Técnicas de Stripping Dental
Para la realización de la reducción interproximal, el profesional ortodoncista podrá valerse de diferentes métodos, en función de unos criterios que definirá previamente. Podemos decir que van de menos a más conservadores, dependiendo del espacio que se quiera conseguir.
- Tiras de stripping: Es el método más sencillo que existe. Se trata de unas tiras de limado las cuales se manipulan manualmente. Se utilizan en casos en los que solamente necesitamos romper el punto de contacto entre los dientes sin necesidad de conseguir mucha reducción. Es el método más sencillo y el menos dañino con respecto al esmalte, y se usa en casos leves de apiñamiento, donde tan solo es necesario marcar el espacio interdental.
- Limas: Las limas se parecen a las tiras y se usan de la misma manera. El mecanismo de acción es el mismo que el de las tiras, pero en este caso, las limas están activadas mecánicamente con un contra-ángulo, lo que hace que la técnica sea más delicada. Este procedimiento, que podríamos denominar intermedio, también recurre a aparatología mecánica.
- Fresas: Son el método con el que más espacio se puede conseguir. Cuando el apiñamiento entraña un verdadero reto para el especialista, se suele recurrir a las fresas, que es de todos, el método con el que más espacio podemos conseguir. Aquí ya pasamos a una técnica mecánica.
Ante casos con falta de espacio, el ortodoncista deberá valorar cuál es el mejor procedimiento para la ganancia de espacio. Ante una importante falta de espacio, seguramente no será suficiente con limar los dientes. Por tanto, no se puede considerar el stripping como mejor o peor método para la ganancia de espacio.
El procedimiento de limar dientes para igualarlos es totalmente indoloro y no requiere de anestesia previa para llevarlo a cabo. La cantidad de material dentario que se reduce no suele superar los 0,5mm entre diente y diente, lo que hace que se limite solamente a esmalte. No obstante, la sensación mientras se está llevando a cabo puede ser algo incómoda. Sin embargo, sí debes saber que puede resultar incómoda en ocasiones, ya que la persona nota cómo le están limando el diente. Tras la reducción, se aplicará un barniz de flúor que ayuda a la remineralización del esmalte.
El stripping dental es una técnica poco invasiva, que en líneas generales no debería revestir en ningún tipo de dolor procedimental, ni tener ninguna complicación asociada. Antes de pasar a realizar este procedimiento se evaluarán las piezas dentales a limar, teniendo en cuenta la estructura única de cada pieza, así como la distribución bucodental general. Se puede experimentar una ligera molestia fruto de la percusión constante del diente, pero nunca dolor, dado que el esmalte no tiene ninguna clase de terminación nerviosa.
Al final, por muy poco invasiva que sea una técnica dental, no es una cuestión puramente baladí. Es posible que, en determinados casos, se produzca de forma temporal un aumento de la sensibilidad dental, dado que el diente quedará expuesto y sin su protección natural.
¿Qué Soluciones Odontológicas Existen para Igualar los Dientes?
Si tus dientes son desiguales y te gustaría lucir una dentadura más uniforme y atractiva, existen métodos seguros e inocuos para lograrlo. Si quieres que tu sonrisa luzca atractiva y armoniosa, no necesitas recurrir a peligrosos métodos caseros.
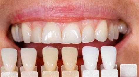
Los tratamientos de estética dental -como las carillas dentales- te permiten modificar el aspecto de tus dientes de forma rápida y sencilla. Para ello, en nuestra clínica primero realizamos un diagnóstico para determinar el estado de salud de los dientes del paciente. El contorneado dental nos permite corregir pequeñas alteraciones e irregularidades para igualar los dientes.
El contorneado dental o ameloplastia es una técnica sencilla y rápida que permite corregir pequeñas diferencias e irregularidades en los bordes incisales. Para ello, se utilizan instrumentos rotatorios de alta precisión y, por tanto, se requieren los conocimientos necesarios.
Las carillas consisten en finas láminas de composite o de porcelana que, adheridas a tus piezas dentales, cambian aspectos como el tamaño, el color y la forma. De esta manera, tus dientes lucirán igualados sin necesidad de recurrir a retos virales y padecer los graves riesgos de limar los dientes.

| Tratamiento | Objetivo | Riesgos | Ventajas |
|---|---|---|---|
| Limar los dientes con lima de uñas (casero) | Igualar los dientes | Daño irreversible al esmalte, sensibilidad, caries, fracturas | Ninguna |
| Stripping dental (profesional) | Crear espacio para ortodoncia, reducir troneras | Posible sensibilidad temporal | Mejora la alineación y estética dental |
| Contorneado dental (profesional) | Corregir pequeñas irregularidades | Mínimo, realizado por un profesional | Mejora la estética dental de forma rápida |
| Carillas dentales (profesional) | Modificar tamaño, color y forma de los dientes | Mínimo, realizado por un profesional | Sonrisa uniforme y atractiva |