La profilaxis dental, o limpieza dental, es un tratamiento esencial que debemos realizar al menos una vez al año para prevenir enfermedades orales. Además de una buena higiene dental diaria, lo aconsejable es realizar de una a dos limpiezas dentales en profundidad al año. Gracias a una limpieza dental podemos eliminar en profundidad las bacterias que no han podido ser eliminadas en la limpieza diaria en casa. Además de eliminar las bacterias, con la limpieza dental conseguimos eliminar la placa o sarro que se acumula entre los dientes diariamente.

Pero… ¿qué hay que hacer tras una limpieza? Es importante seguir las instrucciones pautadas por el higienista dental, y atender bien las recomendaciones después de una limpieza dental. Por eso, incluso si te cepillas correctamente y usas hilo dental, es probable que queden restos en zonas donde solo el dentista puede llegar.
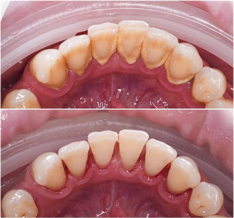
¿CADA CUANTO hay que realizarse una LIMPIEZA DENTAL? - Profilaxis bucal
Recomendaciones Inmediatas Después de la Limpieza Dental
Después de la limpieza bucal es importante darle a tus dientes y encías tiempo para recuperarse.
- Evita comer o beber inmediatamente: Evita consumir alimentos o bebidas en entre los 30 y 45 minutos posteriores al tratamiento. De esta manera favorecemos la efectividad del tratamiento evitando ingerir alimentos que puedan manchar el esmalte o dañar las encías. Después de la limpieza bucal, se recomienda evitar alimentos ácidos o pigmentantes durante las primeras horas.
- Cuidado con la temperatura de las bebidas: En las cuatro horas posteriores al tratamiento, evita ingerir bebidas muy calientes o muy frías. Después de una profilaxis, los dientes y encías pueden estar más sensibles de lo normal, de ahí la importancia de evitar bebidas muy calientes o muy frías que puedan causar molestias.
- Enjuagues bucales: En las primeras 24 horas después de una limpieza dental debes evitar enjuagarte o escupir. Por eso mismo, te aconsejamos no realizar enjuagues en las 24 horas posteriores a la intervención.
Higiene Bucodental Post-Limpieza
Es muy importante mantener una buena higiene dental entre tratamientos de limpieza dental para así evitar deteriorar nuestros dientes. La limpieza bucal en la clínica dental es solo una parte del mantenimiento de una buena salud bucal. Al seguir estos cuidados posteriores y adoptar hábitos de higiene bucodental sólidos, puedes asegurarte de que los resultados de tu limpieza profesional van a durar más y disfrutarás de una sonrisa radiante durante mucho tiempo.
- Cepillado suave: Realiza tu rutina de higiene bucodental como de costumbre, pero en esta ocasión utilizando un cepillo de dientes suave. Limpia cuidadosamente y sin presionar demasiado para evitar dañar tus encías. Continúa cepillando tus dientes al menos dos veces al día con un cepillo dental suave y pasta dental con flúor.
- Atención a la forma de lavarse los dientes: Por último, entre nuestras recomendaciones después de una limpieza dental te sugerimos que prestes atención a la forma de lavarte los dientes tras la limpieza dental.
- Hilo dental y enjuague bucal: Si tu dentista te recomienda un enjuague bucal específico, utilízalo según sus indicaciones. Utiliza cepillos de calidad, pasta con flúor y enjuagues sin alcohol.

Alimentación y Hábitos a Evitar
Después de una limpieza bucal es muy importante cuidar lo que comes.
- Alimentos y bebidas azucaradas: Por ejemplo, deberías evitar los alimentos y bebidas azucarados, ya que pueden aumentar la acumulación de placa y causar caries.
- Alimentos y bebidas ácidas o abrasivas: Para mantener tus dientes sanos debes evitar alimentos y bebidas ácidas o abrasivas, como por ejemplo la leche, el azúcar y, por supuesto, el alcohol. Si es posible, esperar el tiempo necesario para comer tras la limpieza dental es importante evitar alimentos y bebidas ácidas y abrasivas como puede ser la leche, el alcohol o el azúcar.
- Tabaco: Evita el consumo del tabaco para impedir coloraciones en tus dientes y así ayudar a conservar tu salud dental. El tabaco o bebidas como el café producen manchas en el esmalte de nuestros dientes (además de otras problemáticas más graves que puede contarte nuestro periodoncista en Madrid) por ello, es importante evitar su consumo en las primeras 24 horas posteriores al tratamiento. Reduce el consumo de tabaco para evitar que se produzcan coloraciones en tus dientes.
Sensibilidad y Sangrado
Es posible que sientas cierta sensibilidad en tus dientes después de una limpieza dental profesional, especialmente si tenías acumulación de placa o sarro. Esta sensibilidad suele ser temporal y debe disminuir en unos días. Si persiste o es incómoda, consulta a tu dentista para descartar cualquier otro tipo de afección. Puedes utilizar dentífricos o colutorios diseñados especialmente para la sensibilidad dental.
- Sangrado leve: Es normal experimentar un ligero sangrado de encías después de una limpieza bucodental profunda. Esto puede ocurrir si tus encías estaban un poco inflamadas debido a la acumulación de placa o también sucede en pacientes bajo tratamiento anticoagulante. Es importante continuar con el cepillado de dientes y utilizar el hilo dental con suavidad. También pueden producirse pequeños sangrados en diferentes puntos de la boca durante las 24 primeras horas.
- Encías enrojecidas: Es posible que las encías queden enrojecidas tras la limpieza dental. Tras una limpieza dental profunda la encía puede quedar enrojecida, además de presentar sangrado en ciertos puntos de la boca en las primeras 24 horas.

Importancia de las Citas de Seguimiento
Para asegurarte de que tu salud bucal se mantenga en óptimas condiciones, programa citas de seguimiento regulares con tu dentista. Como sabes, mantener una sonrisa saludable es un compromiso continuo que va más allá de una limpieza bucal de vez en cuando en tu clínica dental.
Mitos sobre la Limpieza Dental
Una de las frases más repetidas es: “la limpieza desgasta el esmalte”. Esto es falso. La limpieza bucal profesional no daña el esmalte si la realiza un profesional cualificado. Otro mito frecuente es que “la limpieza duele”. También es falso que con una limpieza al año sea suficiente. Ni el mejor cepillo ni la pasta más avanzada sustituye una limpieza bucodental profesional. Por eso, lo ideal es combinar una rutina diaria eficaz con revisiones periódicas.
¿Duele la Limpieza Dental?
No, se trata de un tratamiento indoloro. En algún momento durante la limpieza dental es posible sentir incomodidad o sensibilidad pero en general la higiene dental no duele.
¿Con qué frecuencia se debe acudir a una limpieza dental?
No se especifica con qué frecuencia se debe acudir a una limpieza dental. En general, los dentistas recomiendan concertar una cita una o dos veces al año. Esto es especialmente cierto para los pacientes que tienen dientes y encías sanos. Sin embargo, también se puede recomendar una limpieza dental profesional más a menudo, por ejemplo, si existen determinados factores de riesgo que ponen en peligro la salud bucodental. Como puede ver, la frecuencia de una limpieza dental profesional es muy individual. Algunas personas sólo la necesitan una vez al año, otras incluso 4 veces al año.
Limpieza dental profesional durante el embarazo
Aunque estés embarazada, nada te impide pedir cita para una limpieza dental profesional. Mejor aún: es muy recomendable. ¿Por qué? El embarazo afecta a todo el cuerpo y, por tanto, también a los dientes y las encías. Por ejemplo, hasta el 80% de las embarazadas sufren inflamación de las encías, también conocida como gingivitis del embarazo. El motivo es que las bacterias lo tienen más fácil durante el embarazo. El cambio hormonal hace que el tejido conjuntivo de todo el cuerpo se afloje para que el bebé tenga espacio para crecer. Las bacterias de la periodontitis presentes en la boca de la madre también son perjudiciales para el bebé. La madre las ingiere con la saliva todos los días, lo que significa que también pueden entrar en su torrente sanguíneo y llegar a la placenta. Los estudios han demostrado que la gingivitis o la periodontitis del embarazo aumentan el riesgo de parto prematuro o aborto espontáneo al principio del embarazo. La inflamación de la boca puede reconocerse en una fase temprana y remediarse con una limpieza dental profesional. Las mujeres embarazadas tienen un mayor riesgo de desarrollar caries. Esto se debe a que el pH de la saliva es más bajo de lo habitual durante el embarazo. Esto reduce la función protectora de la saliva. Las bacterias de la caries, que metabolizan el azúcar de la placa en ácido, pueden entonces atacar el esmalte dental con mucha más facilidad. Además, las embarazadas suelen tener antojos de alimentos dulces o ácidos. Otra razón a favor de la limpieza dental profesional durante el embarazo es que muchas mujeres sufren náuseas y vómitos, sobre todo en las primeras semanas.
tags: #limpieza #dental #cuidados #posteriores