La limpieza dental es un componente fundamental de nuestra rutina de higiene bucal, crucial para mantener una sonrisa saludable y brillante. Sin embargo, muchas personas postergan o incluso evitan sus visitas al dentista debido a una preocupación común: el miedo al dolor.
Este artículo aborda una pregunta que ronda en la mente de muchos: ¿es realmente dolorosa una limpieza dental? La respuesta, aunque puede variar según cada individuo, es crucial para desmitificar los mitos alrededor de las visitas al dentista y fomentar prácticas de cuidado bucal más saludables. A lo largo de este artículo, exploraremos lo que implica una limpieza dental, las causas del dolor y cómo las técnicas modernas están haciendo de este un procedimiento cada vez más cómodo y libre de estrés.
Nuestro objetivo es proporcionarte la información necesaria para que tu próxima visita al dentista sea una experiencia informada y, lo más importante, libre de dolor.
¿Tus Dientes están Sensibles? 🦷️ | Sensibilidad después de blanqueamiento dental | Consejos
¿Qué es la limpieza dental?
Una limpieza dental, también conocida como profilaxis dental, es un procedimiento rutinario pero esencial en el cuidado de la salud bucal. Realizada habitualmente por un higienista dental o un dentista, esta práctica implica la eliminación de placa y sarro acumulados en los dientes, áreas que el cepillado y el hilo dental diarios no siempre pueden alcanzar efectivamente.
Herramientas y técnicas comunes en la limpieza dental
Durante una limpieza dental, se utilizan herramientas especializadas como raspadores ultrasónicos, cepillos de profilaxis y flossers dentales. Estas herramientas están diseñadas para eliminar suavemente el sarro y la placa sin dañar el esmalte dental. Además, las técnicas modernas de limpieza dental pueden incluir la irrigación con agua a presión y la aplicación de pastas y agentes pulidores para eliminar manchas y proporcionar una sensación de limpieza profunda.

Diferencias entre la limpieza dental profesional y el cuidado dental en casa
Es importante destacar la diferencia entre una limpieza dental profesional y el cuidado dental en casa. Mientras que el cepillado y el uso de hilo dental son prácticas diarias esenciales para mantener una buena higiene bucal, la limpieza profesional va un paso más allá. Se enfoca en áreas difíciles de alcanzar y en la eliminación de depósitos que solo pueden ser removidos con herramientas especializadas. Esta limpieza profunda no solo mejora la salud dental, sino que también previene condiciones como caries, gingivitis y enfermedad periodontal.
Causas del dolor en la limpieza dental
El dolor durante una limpieza dental es una preocupación válida para muchos pacientes. Aunque la mayoría de las limpiezas dentales son procedimientos indoloros, hay varios factores que pueden contribuir a experiencias de dolor o incomodidad. Comprender estas causas es el primer paso para asegurar una experiencia más cómoda.
Sensibilidad dental y su impacto durante la limpieza
Uno de los factores más comunes que pueden causar dolor durante una limpieza dental es la sensibilidad dental. Esta sensibilidad puede ser el resultado de encías retraídas, dientes desgastados o caries. Cuando las raíces de los dientes o áreas del esmalte dañado quedan expuestas, pueden ser más sensibles a los estímulos durante la limpieza, como el contacto con herramientas o cambios de temperatura.

Si el paciente padece sensibilidad dental, la limpieza dental duele. Sin embargo, depende del grado de sensibilidad y la capacidad de tolerancia al dolor. No todos los pacientes sienten las mismas molestias, de hecho, muchos únicamente sienten incomodidad, especialmente si se ha producido desgaste dental.
Condiciones dentales que pueden causar dolor
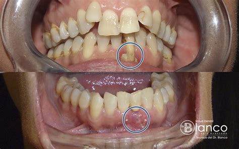
Además de la sensibilidad dental, condiciones específicas como gingivitis (inflamación de las encías) o caries avanzadas pueden hacer que la limpieza dental sea más incómoda. Estas condiciones suelen ir acompañadas de una mayor acumulación de sarro y placa, lo que requiere una limpieza más profunda y, posiblemente, más intensiva.
Cuando el paciente no es consciente de que sufre una enfermedad periodontal, como la gingivitis o periodontitis, es muy probable que esté incómodo durante la eliminación de placa y sarro a lo largo de la línea de las encías. En la misma línea, cuando el paciente sufre retracción de las encías, lo que provoca la exposición de las raíces dentales, la sensibilidad dental aumenta. Aquellos pacientes que acuden a las limpiezas dentales con una acumulación significativa de placa o sarro, suelen sufrir molestias durante el procedimiento.
Esta incomodidad se debe al uso de instrumentos para raspar y eliminar estos depósitos, especialmente en las áreas cercanas a la línea de las encías. El sarro provoca patologías que deterioran los dientes y las encías, llamadas caries y periodontitis respectivamente.
Cómo se realiza una limpieza dental sin dolor
La tecnología y las técnicas dentales han avanzado significativamente, lo que permite que las limpiezas dentales sean más cómodas y libres de dolor para los pacientes. Comprender cómo se logra esto puede aliviar las preocupaciones y preparar mejor a los pacientes para su próximo procedimiento.
Técnicas modernas para una limpieza dental sin dolor
Hoy en día se utilizan una variedad de técnicas avanzadas para asegurar una limpieza dental sin dolor. Estas incluyen el uso de herramientas más sofisticadas que son menos invasivas y más eficientes en la eliminación de placa y sarro. Por ejemplo, los raspadores ultrasónicos pueden eliminar el sarro de manera efectiva sin la necesidad de aplicar mucha presión, reduciendo así el malestar. El profesional puede emplear diversas técnicas en función del estado de las piezas dentales y las necesidades del paciente. La limpieza dental puede realizarse manualmente con instrumentos de raspado o dispositivos ultrasónicos. Algunos pacientes encuentran que el ultrasonido es más cómodo, mientras que otros prefieren la limpieza manual.
Uso de anestesia local o sedación en casos necesarios
Para pacientes con alta sensibilidad dental o ansiedad severa, se puede optar por utilizar anestesia local o sedación consciente. Estos métodos ayudan a relajar al paciente y a minimizar cualquier sensación de dolor durante el procedimiento. La sedación consciente, en particular, es una opción popular para aquellos que desean estar relajados pero despiertos durante su limpieza dental.
La anestesa local insensibiliza por completo la boca, evitando molestias y dolor en cualquier tratamiento.
Qué hacer después de la limpieza dental
Si has salido de tu cita de higiene dental con una sensación de molestia o sensibilidad dental que no esperabas, déjanos tranquilizarte: no estás solo. Comencemos por lo esencial: experimentar cierto grado de sensibilidad o molestia tras una profilaxis dental profesional es una respuesta fisiológica habitual.
- Tratamiento local domiciliario: Existen tanto geles, como colutorios como pastas dentales de venta libre, específicamente diseñados para ayudar a reducir la sensibilidad dental.
- Cepillado suave: Evita un cepillado traumático que favorezca la aparición de recesiones en la encía y por tanto pueda dejar expuesta la raíz dental causando mayor sensibilidad.
- Cepillarse con suavidad: Esta es otra manera de proteger toda la zona cercana al diente. Para ello, incidiremos menos en la parte inflamada para que pueda recuperarse mucho antes.
- No comer nada que aumente la sensibilidad dental: Esto podemos atribuirlo tanto a alimentos sólidos como a líquidos, ya sea un vaso de agua fría o refrescos azucarados. Otras cosas que tendremos que evitar por un par de días son los dulces y azúcares, así como todo aquello que, en general, pudiese activar esa sensibilidad. A mucha gente las limpiezas no le producen ninguna molestia y pueden seguir con su dieta normal inmediatamente después.
- Evitar el café o el té: Después de una limpieza, debemos evitar el consumo de este tipo de bebidas, al menos, durante las primeras 24 horas.
- Utilizar una pasta de dientes específica: Existen pastas y geles para encías inflamadas que nos ayudarán a aliviar la hinchazón y las molestias que se produzcan. En este caso, nuestro dentista será la persona indicada que nos recomiende un producto concreto para aliviar el dolor.
También puedes utilizar un dentífrico y un cepillo especial para dientes sensibles y evitar comer alimentos o tomar bebidas a temperaturas extremas durante unos días.
Además, puedes tomar un analgésico de venta libre como paracetamol o ibuprofeno si la molestia interfiere con tu rutina diaria. El ibuprofeno, además de analgésico, tiene propiedades antiinflamatorias que pueden ser especialmente beneficiosas si hay inflamación gingival.
Cómo prevenir el dolor en futuras limpiezas dentales
La prevención es clave para minimizar el dolor en futuras limpiezas dentales. Adoptar una rutina de higiene bucal rigurosa y seguir los consejos de tu dentista puede marcar una gran diferencia.
- Mantén una buena higiene oral diaria: Cepíllate los dientes dos veces al día con una pasta dental con flúor y emplea un cepillo de cerdas suaves para evitar la irritación de las encías.
- Cuida tu alimentación: Reduce el consumo de alimentos y bebidas ácidas, calientes y frías que puedan aumentar la sensibilidad dental.
- Acude a una revisión dental previamente: Programar una cita con el dentista antes de tener la limpieza dental te permitirá conocer el estado de tu salud oral y detectar indicios de problemas, como la inflamación de las encías.
La frecuencia con la que debes hacerte una limpieza profesional depende de tu caso en concreto. Por ello, es un especialista quien debe determinar cada cuánto tiempo conviene llevarla a cabo con el fin de mantener unos dientes y encías sanos. Ahora ya sabes que cuanto más tiempo pase entre cada higiene más posibilidades hay de que haya que recurrir a anestesia dental e incluso a otro tipo de limpiezas dentales profundas.