La limpieza dental realizada periódicamente en la consulta del odontólogo es, más que un hábito saludable, una necesidad a la hora de mantener la salud dental en un estado óptimo. De hecho, la limpieza dental es la mejor manera de prevenir la aparición de la enfermedad periodontal (gingivitis y periodontitis) y, como consecuencia, evitar la pérdida de dientes por esta causa.
En este artículo, exploraremos en detalle el proceso de realización de una periodoncia, desde la evaluación inicial hasta los diversos procedimientos y cuidados necesarios para restaurar la salud periodontal y mantener una sonrisa radiante.

¿Qué es la Periodoncia?
La periodoncia es una rama especializada de la odontología que se centra en el diagnóstico, tratamiento y prevención de las enfermedades periodontales, que afectan a las encías y los tejidos de soporte que rodean los dientes.
Las enfermedades periodontales son muy comunes y pueden afectar a personas de todas las edades. Se estima que más del 50% de los adultos sufren algún grado de enfermedad periodontal en algún momento de sus vidas.
La periodoncia desempeña un papel fundamental en el cuidado de las encías y los tejidos de soporte dental. Los periodoncistas son dentistas especializados que han recibido formación adicional en el diagnóstico y tratamiento de las enfermedades periodontales.
Uno de los aspectos más importantes de la periodoncia es el control de la placa bacteriana. La placa bacteriana es una película pegajosa de bacterias y restos de alimentos que se acumula constantemente en los dientes y las encías. Si no se remueve adecuadamente a través de una buena higiene bucal, la placa bacteriana puede irritar las encías y provocar inflamación.
¿Limpieza Dental Profesional o Mantenimiento Periodontal?
Dos de los tratamientos de mantenimiento dental más comunes son la limpieza dental profesional y el mantenimiento periodontal. Aunque pueden parecer similares, hay algunas diferencias clave entre ellos.
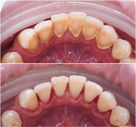
Una limpieza dental profesional, también conocida como profilaxis, es un procedimiento dental en el que un dentista o higienista dental limpia y elimina la placa y el sarro de tus dientes y encías. La placa es una película pegajosa de bacterias que se acumula constantemente en nuestros dientes y encías, y si no se elimina, puede endurecerse y convertirse en sarro.
Durante una limpieza dental profesional, el dentista o higienista usará herramientas dentales especiales, como una sonda y un raspador dental, para eliminar la placa y el sarro de tus dientes y encías.
El mantenimiento periodontal es un tratamiento dental que se utiliza para tratar y prevenir enfermedades periodontales. Las enfermedades periodontales son infecciones bacterianas que afectan las encías y las estructuras de soporte de los dientes. El mantenimiento periodontal generalmente se realiza después de un tratamiento periodontal, como una limpieza profunda o una cirugía periodontal.
Durante el mantenimiento periodontal, tu dentista eliminará la placa y el sarro de tus dientes y encías y evaluará la salud de tus encías.
La mejor opción para ti depende de la salud de tus dientes y encías. Si tienes una buena salud dental y no has tenido problemas periodontales, una limpieza dental profesional cada seis meses puede ser suficiente para mantener tus dientes y encías saludables.

¿Qué es una Limpieza Dental Profunda?
Una limpieza dental profunda, también conocida como «raspado y alisado radicular», es un tratamiento odontológico que va más allá de la limpieza dental regular. Mientras que una limpieza regular se centra en la superficie de los dientes, la limpieza dental profunda se adentra en las áreas más profundas.
La limpieza dental profunda se enfoca en las áreas bajo la línea de las encías, donde las bacterias pueden esconderse y proliferar sin una higiene adecuada. Una limpieza dental profunda es un tratamiento fundamental para pacientes que sufren de enfermedades de las encías. En Clínica Dental Las Chapas sabemos que este procedimiento no solo mejora la salud bucal general, sino que también previene problemas más graves.
Tanto la limpieza dental profunda como la limpieza dental regular son procedimientos para mantener una buena salud bucodental. Sin embargo, se diferencian en su alcance, objetivo y en los problemas que tratan.
Una limpieza dental regular es un procedimiento preventivo para eliminar la placa y el sarro acumulados en la superficie de los dientes y encías.
Procedimiento de Limpieza Regular:
El dentista o higienista dental utiliza herramientas para eliminar la placa y el sarro que se acumulan en la parte visible de los dientes.
Una limpieza dental profunda, va más allá de una limpieza regular, ya que se enfoca en limpiar las áreas bajo la línea de las encías.
Objetivo Principal de la Limpieza Profunda:
Eliminar la placa, el sarro y las bacterias que se encuentran en las bolsas periodontales.
Procedimiento de Limpieza Profunda:
A diferencia de la limpieza regular, esta limpieza profunda implica el raspado de la superficie de los dientes tanto por encima como por debajo de la línea de las encías.
Una limpieza regular se realiza para el mantenimiento rutinario de la salud bucal, mientras que una limpieza dental profunda trata problemas avanzados de las encías.
Raspado: El dentista o higienista dental utiliza instrumentos especializados para eliminar la placa y el sarro acumulados tanto en la superficie como debajo de las encías; en las llamadas bolsas periodontales.
Alisado radicular: Tras eliminar la placa y el sarro, se realiza el alisado radicular, que consiste en suavizar las superficies de las raíces de los dientes.
👉 PERIODONTITIS o PIORREA: Tratamiento eficaz para CURAR tus ENCÍAS 👄
¿Cuándo es Necesaria una Limpieza Dental Profunda?
Una limpieza dental profunda es necesaria cuando las encías y los dientes presentan problemas más allá de lo que una limpieza dental regular puede solucionar.
- Gingivitis: Es la forma más leve de enfermedad de las encías y ocurre cuando placa y sarro se acumulan en la línea de las encías. Causa irritación, enrojecimiento e inflamación. En esta etapa inicial, es posible que una limpieza dental regular sea suficiente para revertir los efectos.
- Periodontitis: Cuando la gingivitis no se trata, evoluciona a periodontitis. Una enfermedad avanzada en la que las bacterias y la placa se acumulan bajo la línea de las encías creando bolsas periodontales. Estas bolsas se llenan de sarro y bacterias, lo que provoca la recesión de las encías y la pérdida del hueso que sostiene los dientes.
- Acumulación excesiva de placa y sarro: Una acumulación excesiva de placa y sarro, especialmente bajo la línea de las encías, es otra razón común por la que realizar una limpieza profunda.
Además, es importante prestar atención a los siguientes signos y síntomas:
- Encías inflamadas o hinchadas
- Sangrado durante el cepillado
- Halitosis (mal aliento crónico)
- Recesión de encías
- Sensibilidad dental
Una de las mejores formas de detectar a tiempo la necesidad de una limpieza dental profunda es a través de revisiones dentales regulares. Durante estas visitas, el dentista puede examinar tus encías, medir la profundidad de las bolsas periodontales y detectar signos de acumulación de sarro o inflamación.

Beneficios de la Limpieza Dental Profunda
Una limpieza dental profunda es más que un simple tratamiento para eliminar la acumulación de placa y sarro; es una herramienta clave para mejorar la salud bucal y prevenir problemas graves a largo plazo.
- Prevención de la pérdida de dientes: Cuando no se trata, la periodontitis puede dañar el tejido que sostiene los dientes y provocar la pérdida del hueso que los mantiene en su lugar. La limpieza profunda elimina las bacterias y el sarro de las bolsas periodontales, deteniendo el daño en el tejido y preservando la estructura dental.
- Mejora de la salud de las encías: La limpieza dental profunda está diseñada para tratar y revertir los efectos de la enfermedad periodontal. Al eliminar el sarro acumulado, este tratamiento permite que las encías se vuelvan a adherir a los dientes; reduciendo así las bolsas periodontales.
- Control de la periodontitis: Cuando la periodontitis no se trata, la enfermedad sigue avanzando, afectando más dientes y tejidos circundantes.
- Mejora del aliento: La acumulación de placa y sarro, junto con la presencia de bacterias bajo las encías, puede contribuir a problemas como mal aliento.
Riesgos y Efectos Secundarios
La limpieza dental profunda es un procedimiento seguro y altamente efectivo para tratar problemas de encías y prevenir la progresión de la periodontitis. Sin embargo, como cualquier intervención odontológica, puede conllevar ciertos riesgos o efectos secundarios.
- Sensibilidad dental: Uno de los efectos secundarios más comunes después de una limpieza dental profunda es la sensibilidad dental. Esto ocurre porque se eliminan depósitos de sarro que, en algunos casos, cubrían partes de las raíces dentales expuestas por la recesión de las encías.
- Sangrado de las encías: Después de una limpieza dental profunda, es común experimentar un ligero sangrado en las encías. Esto se debe a que las encías han estado inflamadas y son más vulnerables debido a la acumulación de bacterias y sarro. Duración: El sangrado debería desaparecer después de unos pocos días a una semana.
- Incomodidad o dolor leve: Algunas personas pueden experimentar incomodidad o dolor leve en las encías o los dientes después del raspado y alisado radicular. Esto se debe a la manipulación de las encías y la eliminación de depósitos de sarro en áreas sensibles.
- Inflamación: Después del procedimiento, las encías pueden estar levemente hinchadas o inflamadas. Esto es una reacción normal a la manipulación y la eliminación de sarro subgingival.
- Riesgo de infección: Aunque es extremadamente raro, existe un pequeño riesgo de infección después de una limpieza dental profunda, especialmente si no se siguen los cuidados posteriores adecuados.
- Retracción de las encías: En algunos casos, las encías pueden retraerse más después de una limpieza profunda, especialmente si la enfermedad periodontal ha sido grave.
¿Cómo se Realiza una Limpieza Periodontal?
La limpieza periodontal, se lleva a cabo en varias etapas para garantizar una limpieza profunda y completa de los dientes y las encías:
- Evaluación inicial: En esta etapa, el periodoncista realizará un examen exhaustivo de las encías, los dientes y los tejidos de soporte. Además del examen visual, se utilizan herramientas de medición periodontal para evaluar la profundidad de las bolsas periodontales. Estas bolsas son espacios que se forman entre las encías y los dientes cuando las encías se separan de los dientes debido a la presencia de bacterias. Además de la evaluación clínica, se pueden utilizar exámenes radiográficos, como radiografías periapicales y panorámicas, para obtener una visión más completa de los tejidos de soporte dental y detectar posibles anomalías o daños ocultos.
- Plan de tratamiento: Una vez que se ha realizado la evaluación, el periodoncista desarrollará un plan de tratamiento personalizado basado en las necesidades individuales del paciente.
- Anestesia local (si es necesario): En algunos casos, especialmente si se requiere un tratamiento profundo, se puede administrar anestesia local para garantizar la comodidad del paciente durante el procedimiento.
- Eliminación de placa y sarro: Consiste en la eliminación de la placa bacteriana y el sarro de las superficies dentales y debajo de la línea de las encías. Esto se realiza utilizando instrumentos especializados, como curetas dentales y ultrasonidos, que permiten raspar y eliminar la acumulación de placa y sarro de manera efectiva.
- Alisado de las raíces: Después de eliminar la placa y el sarro, se procede a alisar las superficies de las raíces de los dientes. Esto se realiza para eliminar cualquier irregularidad que favorezca la acumulación futura de placa bacteriana y para facilitar la adhesión de las encías al diente.
- Irrigación y limpieza final: Una vez completado el raspado y alisado radicular, se realiza una irrigación para eliminar los residuos y bacterias restantes. Luego, se realiza una limpieza final para asegurarse de que todas las áreas estén limpias y libres de placa y sarro.
- Instrucciones de cuidado en el hogar: Finalmente, el odontólogo o higienista dental proporcionará al paciente instrucciones detalladas sobre cómo mantener una buena higiene bucal en casa. Incluye técnicas de cepillado y uso de hilo dental, así como la importancia de programar visitas de seguimiento regulares.
Cuidados Posteriores a la Limpieza Periodontal
El cuidado posterior y el mantenimiento adecuado después de someterse a un tratamiento de periodoncia son fundamentales para mantener la salud periodontal a largo plazo. Aunque el tratamiento periodontal puede haber restaurado la salud de las encías y los tejidos de soporte, es esencial seguir ciertos pasos para prevenir la recurrencia de la enfermedad periodontal y mantener una sonrisa saludable.
Después de una limpieza periodontal, es esencial mantener una estricta rutina de higiene bucal. Se debe cepillar los dientes al menos tres veces al día con un cepillo nuevo para evitar las bacterias del viejo y utilizar hilo dental o cepillos interdentales para limpiar entre los dientes y debajo de la línea de las encías.

Además, se recomienda evitar comidas y bebidas que puedan irritar encías recién tratadas, como alimentos duros o crujientes o muy condimentados, bebidas calientes o frías.
Asimismo, es importante evitar fumar y consumir alcohol durante unos días después del procedimiento, ya que estos hábitos pueden retrasar la cicatrización de las encías y aumentar el riesgo de complicaciones.
Es fundamental seguir las indicaciones proporcionadas por el odontólogo o higienista dental después de la limpieza periodontal. Esto puede incluir el uso de enjuagues bucales especiales, medicamentos recetados o citas de seguimiento para evaluar la progresión de la recuperación.
Recomendaciones para el Cuidado Posterior:
- Higiene bucal rigurosa: Mantener una buena higiene bucal es clave para prevenir la acumulación de placa bacteriana y evitar la recurrencia de la enfermedad periodontal. Cepilla tus dientes al menos dos veces al día con un cepillo de cerdas suaves y usa hilo dental diariamente para limpiar entre los dientes y debajo de la línea de las encías.
- Visitas regulares de seguimiento: Programa citas de seguimiento con tu periodoncista según las recomendaciones específicas. Estas visitas periódicas permiten al profesional monitorear tu salud periodontal, realizar limpiezas profesionales y evaluar cualquier signo de recurrencia o complicaciones.
- Control de factores de riesgo: Identifica y controla los factores de riesgo que pueden contribuir a la enfermedad periodontal. Estos pueden incluir el tabaquismo, el estrés, una mala alimentación y ciertas condiciones médicas.
- Mantén una comunicación abierta: Si experimentas cualquier síntoma o cambio en tus encías o dientes, no dudes en comunicarte con tu periodoncista de inmediato.
- Considera terapias de mantenimiento adicionales: Dependiendo de tu condición periodontal y las recomendaciones de tu periodoncista, puede ser necesario recibir terapias de mantenimiento adicionales, como limpiezas profesionales más frecuentes o tratamientos con antibióticos locales.
Recuerda que el cuidado posterior y el mantenimiento son esenciales para garantizar los resultados a largo plazo de tu tratamiento periodontal.
| Procedimiento | Objetivo | Cuidados Posteriores |
|---|---|---|
| Limpieza Dental Profesional (Profilaxis) | Eliminar placa y sarro de la superficie de los dientes | Higiene bucal regular, visitas al dentista cada 6 meses |
| Mantenimiento Periodontal | Tratar y prevenir enfermedades periodontales | Higiene bucal rigurosa, visitas de seguimiento, control de factores de riesgo |
| Limpieza Dental Profunda (Raspado y Alisado Radicular) | Eliminar placa y sarro debajo de la línea de las encías, alisar las raíces | Higiene bucal rigurosa, enjuagues bucales, evitar irritantes, visitas de seguimiento |
tags: #limpieza #dental #periodoncia