Una correcta higiene bucal es fundamental para tener una boca sana. Muchas veces, debido a las prisas, los dientes no se cepillan o no se hace de la manera adecuada, resultando en problemas bucales que necesitan de un tratamiento específico. La tartrectomía es uno de los tratamientos dentales más comunes, aunque puede que por su nombre técnico no lo reconozcas, ya que comúnmente nos referimos a ella como limpieza dental para eliminar el sarro.
En esta guía sobre la tartrectomía conocerás datos importantes sobre ella, como qué es el sarro que se elimina en una limpieza dental de estas características y cómo se realiza este tratamiento. Su objetivo principal es prevenir la aparición de enfermedades orales o periodontales, reducir la halitosis y mejorar el aspecto del color del esmalte.
¿DUELEN las LIMPIEZAS DENTALES o BUCALES? Aquí te lo explico
¿Qué es una Tartrectomía o Limpieza Dental?
Una tartrectomía o limpieza dental es un proceso odontológico muy frecuente y fundamental para mantener una correcta salud bucal. A través de este procedimiento se elimina el sarro acumulado en los dientes y encías.

¿Y cómo se reconoce el sarro en los dientes para realizar una tartrectomía?
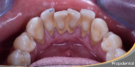
También conocido como cálculo dental, el sarro es una acumulación de placa bacteriana junto con saliva y restos de alimentos que se va depositando en los dientes y se va endureciendo. Tiene un color amarillento, cuando se sitúa por encima de la línea de la encía, o marrón, cuando se deposita por debajo.
Una de las principales causas de la formación de sarro suele ser una higiene dental insuficiente, aunque existen algunos alimentos cuyo consumo también afecta a la formación de sarro, como los alimentos azucarados, el alcohol o los cítricos. También, las personas cuya saliva tenga un ph bajo pueden ser más propensas a tener sarro.
La importancia de la tartrectomía reside en que, si no se elimina el sarro de una manera satisfactoria, siendo muchas veces insuficiente el cepillado, este puede dar lugar a enfermedades bucales graves.
Tipos de Tartrectomía
En la actualidad, en la consulta del dentista se suelen realizar diferentes tipos de tartrectomía. En este sentido, es posible hacer la siguiente distinción:
- Por técnica utilizada: tartrectomía manual y ultrasónica.
- Por procedimiento: supragingival y subgingival.
En las siguientes líneas veremos cada uno de los diferentes tipos de limpieza dental realizados para eliminar el sarro, para que los conozcas en profundidad.
Por técnica: tartrectomía manual y ultrasónica
Según la técnica empleada podemos diferenciar la tartrectomía manual y la tartrectomía ultrasónica. Veamos las principales características de cada una de ellas.
Por un lado, la tartrectomía que se realiza de forma manual requiere la utilización de material instrumental como las curetas dentales, el cincel, la azada o la hoz para raspar y eliminar el sarro entre los dientes y las encías. Después, se puede realizar un pulido para suavizar la superficie de los dientes.
Por otro lado, la tartrectomía ultrasónica o mecánica utiliza los ultrasonidos para romper los depósitos de cálculo que luego se retirarán mediante un proceso denominado cavitación, con el que se realiza un lavado mecánico de la zona. De esta manera, se reduce el tiempo de la limpieza dental.
Por procedimiento: supragingival y subgingival
Ahora, es el momento de explicar la tartrectomía supragingival y la tartrectomía subgingival. Vamos a ver cada una por separado.
Primero, trataremos la tartrectomía supragingival que es el procedimiento utilizado para retirar los cálculos acumulados por encima de la línea de la encía. Para ello, se lleva a cabo un raspado coronal y una limpieza bucal rutinaria para eliminar la placa y algunas manchas en los dientes.
Segundo, la tartrectomía subgingival, por su parte, se utiliza para eliminar los cálculos acumulados por debajo de la línea de las encías. En este caso, se realiza un raspado radicular para eliminar los cálculos que se acumulan entre los dientes y las encías.

¿Cómo se hace una Tartrectomía?
Pasemos a ver cómo se realiza una tartrectomía, indicando los pasos más importantes y destacados.
- Exploración bucodental: lo primero es realizar una exploración clínica de la boca para ver el estado de los dientes y encías.
- Radiografía: después, se realizará una radiografía para tener todos los datos de la salud de la boca.
- Eliminación de placa y sarro: utilizando métodos manuales y mecánicos se pasa a eliminar el sarro y la placa bacteriana acumulados por encima y por debajo de las encías.
- Pulido: a continuación, se pasa a pulir la superficie dental para eliminar manchas superficiales adheridas al esmalte.
- Enjuague y flúor: para finalizar, se realiza un enjuague bucal y se aplica flúor para ayudar a fortalecer el esmalte y prevenir las caries.
Además, una limpieza dental de este estilo la suele realizar un higienista dental con la supervisión de un odontólogo y, por lo general, este procedimiento no requiere de anestesia.
¿La tartrectomía duele?
Normalmente, la tartrectomía no suele doler, aunque cada persona cuenta con una sensibilidad. Cuando se realiza una tartrectomía supragingival, esta es prácticamente indolora en la mayoría de los casos.
En el momento de realizar una tartrectomía subgingival, esta sí puede resultar algo más molesta, por lo que se realiza con anestesia local para el bienestar del paciente.
¿Cuándo y con qué frecuencia se debe hacer una tartrectomía?
Si la persona tiene una buena higiene bucal, se suele recomendar realizar una tartrectomía o limpieza dental una vez al año. Sin embargo, aquellas personas que producen mucho sarro o que presenten alguna enfermedad periodontal, como gingivitis o periodontitis, puede ser recomendable realizarla con más frecuencia, cada seis meses.
De todas formas, lo mejor es dejarse aconsejar por el odontólogo, quien podrá diagnosticar y aconsejar sobre la frecuencia necesaria de realizar una limpieza dental, según el caso específico.
Diferencias entre tartrectomía, limpieza, curetaje y profilaxis
Las diferencias entre la tartrectomía, la limpieza dental, el curetaje o la profilaxis radican en la profundidad del tratamiento y el objetivo de cada uno. Por ejemplo, la limpieza dental o la profilaxis es un procedimiento considerado de mantenimiento o prevención, donde se elimina la placa bacteriana y las manchas superficiales de los dientes.
En cambio, la tartrectomía es una limpieza dental más exhaustiva, donde se elimina una acumulación significativa de sarro, tanto por encima, como por debajo de la línea de las encías.
Por último, el curetaje es un procedimiento utilizado en casos de enfermedad periodontal avanzada, en el que se elimina el sarro acumulado bajo las encías, limpiando las bolsas periodontales para evitar la progresión de la enfermedad.
Para verlo mejor, el resumen sería el siguiente:
- Limpieza dental o profilaxis: su finalidad es el mantenimiento.
- Tartrectomía: la finalidad es más exhaustiva.
- Curetaje: se aplica cuando existe una enfermedad periodontal.
Material Utilizado en una Tartrectomía
El proceso de tartrectomía involucra el uso de diversos instrumentos y elementos para asegurar una limpieza dental completa y efectiva:
Instrumental manual
El instrumental manual incluye herramientas como:
- Hoces: Con una punta fina y curvada para raspar y eliminar el sarro de áreas accesibles.
- Curetas: Para raspar y limpiar áreas difíciles de alcanzar, especialmente alrededor y debajo de la línea de las encías.
- Adas: Para alisar y pulir las superficies dentales después de la eliminación del sarro.
- Cinceles: Para eliminar el sarro endurecido y manchas persistentes.
Instrumentos mecánicos
Los instrumentos mecánicos aportan precisión y eficiencia:
- Ultrasónico: Utiliza ondas de alta frecuencia para descomponer y eliminar el sarro, tanto en la superficie de los dientes como debajo de la línea de las encías.
- Subsónico (Micromotores): Herramientas de baja frecuencia utilizadas para pulir los dientes después de la eliminación del sarro.
Elementos para el pulido
Finalmente, se utilizan elementos para pulir los dientes:
- Tazas de goma: Utilizadas con pasta abrasiva para pulir y alisar las superficies dentales.
- Tiras de pulir: Para pulir las áreas entre los dientes.
- Pasta abrasiva: Para dar a los dientes un acabado suave y brillante.
Prevención de la Presencia de Sarro
El primer paso es evitar el acúmulo de placa bacteriana, realizando una correcta higiene oral. La salud oral es fundamental para mantener un bienestar general óptimo y una sonrisa brillante.

Tabla resumen de los tipos de tartrectomía
Para una mejor visualización, aquí tienes una tabla resumen con los tipos de tartrectomía:
| Tipo de Tartrectomía | Técnica | Procedimiento | Descripción |
|---|---|---|---|
| Manual | Instrumental | - | Uso de curetas, cinceles y otros instrumentos manuales para raspar y eliminar el sarro. |
| Ultrasónica | Mecánica | - | Utiliza ultrasonidos para romper los depósitos de sarro y luego se retiran mediante cavitación. |
| Supragingival | - | Raspado coronal | Retira los cálculos acumulados por encima de la línea de la encía. |
| Subgingival | - | Raspado radicular | Elimina los cálculos acumulados por debajo de la línea de las encías. |
tags: #limpieza #dental #supragingival