Un signo alarmante a priori, es el oscurecimiento de las encías. Si descubres manchas negras sobre tus encías puede que te alarmes y te inquietes. Puede que te asustes si al cepillar tus dientes notas que tienes manchas negras en las encías. Estos oscurecimientos no solo afectan la estética de la sonrisa, sino que también pueden indicar que algo no está bien con tu salud oral.
Las encías están compuestas de un tejido duro, fibroso y sensible. Las encías son un tejido blando y fibroso que rodea el cuello de las piezas dentarias. Protegen y recubren el hueso alveolar en la zona radicular de las piezas dentarias. Junto con el tejido óseo y el ligamento periodontal constituyen el periodonto.
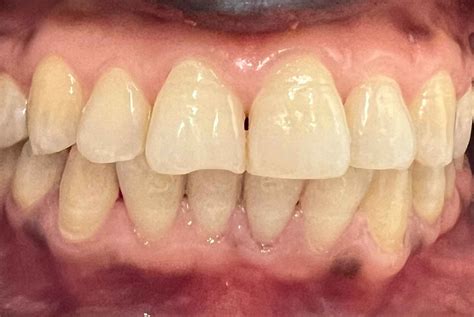
Es decir, forma parte de las estructuras encargadas de sostener y mantener a las piezas dentarias en su sitio. El tejido gingival que recubre los dientes suele observarse de color rosa pálido. Normalmente, cuando hay un cambio en la coloración de la encía, también aparecen otros síntomas, como inflamación, dolor, llagas y sensibilidad. Pero al igual que la piel, el cabello y las piezas dentarias, cada persona tiene una coloración propia.
Por lo que, si aparecen síntomas como estos, te sugerimos que te pongas en contacto con tu clínica dental de confianza para que evalúen tu caso y puedan determinar el mejor tratamiento para tu caso. Cuando las encías están sanas se observan de color rosa pálido, uniforme y con una textura puntillada similar a las cáscaras de naranja. Son firmes y sus bordes definidos rodean el cuello de los dientes. Pero como mencionábamos, esta coloración puede variar de una persona a otra.
Pues al igual que la piel, este tejido posee melanocitos, que son las células encargadas de la coloración de los epitelios. Algunas veces, la coloración del tejido gingival se ve alterado y es necesario prestarle atención. Pues estos cambios en el aspecto de las encías pueden indicar que hay algún problema de salud bucal que se debe resolver. En definitiva, las manchas negras en las encías suelen ser inofensivas, pero a veces pueden ser un signo de problemas de dentición en los niños o cáncer oral.
Las encías negras u oscuras pueden tener diferentes causas y orígenes. Antes de desarrollarlo, nos gustaría aclarar que en muchos casos, tener las encías oscuras es algo completamente normal, que no compromete la salud de bucodental, pero en otros, sí puede ser síntoma de que algo no va bien. Diagnosticar qué provoca el oscurecimiento y cómo ha sucedido, determinará el tratamiento adecuado, si es que fuese necesario. Para ello, nadie mejor que un especialista para valorarlo.
Como hemos mencionado al principio de este post, lo primero que debes saber es que tener las encías negras u oscuras no tiene por qué ser malo ni significar que exista un problema. Rosadas, rojas, grises, oscuras, inflamadas, rugosas, lisas… el color y la textura de tus encías nos dice mucho sobre la salud de tu boca. Las encías oscuras, como decimos, pueden estar provocadas por diferentes causas. Generalmente, se vuelven oscuras cuando hay un aumento de melanocitos, conocido en nuestro campo como melanosis gingival. La melanina de la piel, presente también en el pelo o los ojos, también lo está está presente en las encías y determina su color.
En ocasiones, se produce una acumulación anormal de melanina que puede darles ese aspecto oscuro. Por lo tanto, las encías oscuras, en algunos casos, pueden significar algo y, en muchos otros, ser algo completamente natural, por lo que, en principio, no debes preocuparte. Lo que sí recomendamos es, que si notas una alteración rápida o severa en el color de tus encías, no lo dejes pasar y acudas a tu dentista habitual. Si se nota una nueva mancha en las encías, es importante informar a su odontólogo.
Encías moradas: ¿Qué lo causa y cómo tratarlo? | #PBO Salud - Recomendaciones
Causas de las Manchas Negras en las Encías
Los motivos de que las encías se vuelvan negras pueden ser de diferente índole. Las manchas negras en las encías pueden aparecer como consecuencia de haber sufrido un trauma en la zona. Pues como cualquier otra parte del cuerpo, el tejido gingival se puede lesionar. Golpearse la boca, caer de cara, comer algo con bordes filosos o incluso hacer un cepillado dental muy violento o con mucha fuerza puede originar moretones en las encías.
Las encías pueden lesionarse como cualquier otra parte de su cuerpo. Caerse de bruces, comer algo con bordes afilados e incluso cepillarse los dientes o usar hilo dental con demasiada fuerza puede dañar las encías. Los hematomas se observan de color rojo oscuro o violeta, pero con el paso del tiempo se tornan marrón oscuro o negros. Si las manchas negras en las encías se deben a la presencia de un hematoma es posible que también se presente dolor leve en la zona y sangrado.
Estas lesiones suelen curarse por sí solas sin necesidad de tratamiento médico. En general, los hematomas se resuelven por sí mismos al cabo de unos días sin necesidad de ningún tratamiento médico. Aunque si el moretón persiste en el tiempo y no desaparece es recomendable consultarlo con el dentista. Asimismo, si aparecen muchos moretones en distintas partes del cuerpo sin una causa aparente, es oportuno consultar. Pues pueden ser un síntoma de algún problema en la sangre.
Cuando un diente está a punto de erupcionar, puede crear un quiste lleno de líquido. Cuando un elemento dentario está a punto de salir puede formarse un quiste lleno de líquido sobre la encía. Esto sucede porque la corona dental no logra romper la mucosa gingival y salir de manera adecuada. A veces el líquido acumulado posee sangre mezclada que le puede dar una coloración violeta o negra al tejido gingival. Cuando un quiste de erupción tiene contenido hemático se llama hematoma de erupción.
Ese quiste, a veces puede estar compuesto de sangre mezclada con líquido, lo que puede hacer que se vea morado oscuro o negro. Esto suele suceder si la tumoración se ha lesionado al sufrir un golpe o caída. Por lo general, desaparecen por sí solos después de que sale el diente. Este tipo de procesos es común en la niñez, durante la erupción de los dientes de leche y de los permanentes. Desaparecen por sí mismos una vez que el diente logra erupcionar.
Y en el caso de que su permanencia se prolongue y la pieza dentaria no logre salir por sus medios, el odontopediatra puede realizar una pequeña incisión sobre la encía, como un ojal, para facilitar el proceso. Como te contamos al hablar del aspecto de la encía normal, cada persona posee una coloración propia en este tejido. Y la herencia y la genética tienen mucho que ver en el aspecto de esta mucosa. Es así que algunos pacientes tienen sus encías de color marrón oscuro o negro.
Esto se debe a una mayor concentración de melanina sobre su tejido gingival. Esta situación recibe el nombre de melanoplaquia y se considera inofensiva y normal. Estas pigmentaciones se pueden presentar en cualquier zona de la encía y suelen ser bilaterales. Son asintomáticas y se notan más a medida que aumenta la edad. También es común observarlas sobre la mucosa de las mejillas y los labios. Su manifestación son más frecuente en ciertos grupos étnicos, por lo que antiguamente se las llamaba manchas raciales o pigmentación melánica racial.
Por otro lado, las máculas melanóticas son manchas inofensivas parecidas a las pecas. Se pueden presentar en distintas partes del cuerpo, incluidas las encías. Las máculas melanóticas son manchas solitarias de color marrón, azuladas o negras, asintomáticas. Son pequeñas, suelen tener entre 1 y 8 milímetros de diámetro y están bien circunscriptas. La causa de estas lesiones es desconocida y algunas personas nacen con ellas. No es necesario realizar ningún tratamiento.
Aunque al sospechar de alguna otra patología más grave puede que el odontólogo sugiera realizar una biopsia. Entre los hábitos dañinos para la salud bucal, el tabaquismo es uno de los más perjudiciales. Esta costumbre no solo mancha los dientes. El calor y las toxinas perjudican la mucosa oral, pudiendo causar patologías graves. Las personas que llevan varios años fumando suelen tener manchas negras en sus encías. La nicotina aumenta la producción de melanina en las células dando lugar a un tejido gingival oscuro. Es lo que se conoce como melanosis del fumador.
El oscurecimiento de las mucosas también puede apreciarse sobre los labios y las mejillas. Existe un vínculo entre la disminución de esta pigmentación oscura y el abandono del hábito. Otra causa que puede crear manchas negras en la encía, son los denominados tatuajes de amalgama. Las manchas negras en la encía por amalgama se producen luego de que al paciente le hayan colocado un empaste hecho con este material. Alguna partícula del arreglo se puede alojar alrededor del diente.
Al rellenar una cavidad con un empaste de amalgama de plata, es posible que quede un depósito de esta amalgama en las encías, creando una mancha oscura. La amalgama de plata es un material que se utiliza para obturar y rellenar cavidades en las piezas dentarias. Si llega al interior de la mucosa es capaz de impregnarla y colorearla. Esto puede suceder al realizar el empaste o al quitarlo con instrumental rotatorio para reemplazarlo con resinas. Las manchas suelen localizarse en cercanías al diente arreglado.
Y se observan de color azul oscuro o negro. Son asintomáticas y permanentes. No se quitan, pues no es necesario. Pero a pesar de que no tienen ninguna gravedad, pueden ser una molestia estética si su localización es muy visible. Para evitar este tipo de manchas negras en las encías es pertinente que el dentista utilice goma dique si va a colocar o retirar amalgamas. De esta manera, se aíslan los tejidos blandos.
La ingesta de ciertos medicamentos puede tener como efecto secundario el oscurecimiento de las encías. Los anticonceptivos orales de tipo combinados son el ejemplo más común. Algunos antibióticos, antipalúdicos, antipsicóticos y anticancerígenos también pueden generar manchas negras en las encías. Entre estos, la clorpromacina, la minociclina y la quinidina han presentado este tipo de efecto no deseado. La gingivitis y la periodontitis también pueden dar origen a manchas negras en las encías.
No es lo más habitual, pues la mayoría de las veces el tejido gingival se inflama y se ve rojo y sangrante. Pero cuando se acumula mucha placa bacteriana y esta se calcifica, se convierte en sarro. Estos cálculos se pueden ver de color oscuro y si se depositan en la zona subgingival (por dentro del borde libre de la encía) le dan un aspecto negro al tejido. También es posible que las encías se vean negras de manera temporal luego de haber recibido un tratamiento dental en la zona.
Tras la colocación de un injerto de encía para tratar la resección gingival, por ejemplo, el tejido se observará negro por unos días, ya que se genera una necrosis transitoria que desaparecerá a medida que la zona se recupere. Otro problema periodontal que puede ocasionar manchas negras en las encías es la gingivitis ulcerosa necrotizante aguda. Se trata de una infección poco común del tejido gingival que también se conoce como boca de trinchera.
Provoca fiebre, mal aliento y mucho dolor en las encías, cuyas papilas se necrosan y se observan de color gris o negro. Suele ser la evolución de una gingivitis previa en la que las bacterias proliferan muy rápido y el tejido muere. Está asociada a una mala higiene bucal, a una dieta poco saludable, a estrés, a falta de sueño o a problemas inmunitarios. Su tratamiento consiste en la limpieza e instrumentación periodontal y el uso de antibióticos.
La higiene bucodental y el uso de enjuagues bucales también favorecen la recuperación de los tejidos y evitan la recidiva. Un nevus azul es un lunar inofensivo que es redondo y plano o ligeramente elevado. El nevus azul es un lunar redondo y plano, o levemente elevado, de color negro o azulado localizado sobre la encía. Es como una peca sobre el tejido gingival. No es clara la etiología y suele desarrollarse durante la niñez o la adolescencia.
Son más frecuentes en las mujeres. Por lo general, no necesitan tratamiento, aunque es pertinente controlarlos. Si su tamaño, forma o color se modifica, el médico indicará una biopsia para detectar una posible transformación maligna. El melanoacantoma oral es una afección poco común que hace que se desarrollen manchas oscuras en diferentes partes de la boca, incluidas las encías. El melanoacantoma bucal es una alteración poco frecuente que ocasiona la aparición de manchas oscuras en distintas partes de la boca, entre ellas, las encías.
Son inofensivos y suelen aparecer en personas jóvenes. Se desconoce la causa del melanoacantoma oral, pero parece estar asociado con lesiones causadas por la masticación o la fricción en la boca. No requieren ningún tratamiento, aunque la semejanza con otras lesiones amerita una biopsia para descartar patologías más graves. El cáncer dentro de la boca también puede causar encías negras. El cáncer bucal también puede causar manchas negras en las encías.
Existen otros síntomas asociados con esta patología, como llagas abiertas que no curan, sangrado inusual, hinchazón, dolor de garganta crónico o cambios en la voz. Aunque también puede suceder que la mancha sea la única manifestación. Para determinar si una mancha negra es causada por cáncer, el médico deberá realizar una biopsia. Esto se puede complementar con diferentes técnicas de diagnóstico por imágenes, como una tomografía computarizada o una tomografía por emisión de positrones (PET).
Sobre todo para observar si el cáncer se ha propagado a otras partes del cuerpo. Si la mancha es cancerosa, se podrá extirpar quirúrgicamente si no se ha propagado. Si la mancha es maligna y el cáncer no se ha propagado, el médico puede extirparla quirúrgicamente. Si se ha diseminado, la quimioterapia y la radioterapia ayudarán a eliminar las células cancerosas. Algunas condiciones sistémicas también pueden ser las responsables de la aparición de manchas negras en las encías.
Determinar la presencia de estas patologías es imprescindible para realizar un tratamiento adecuado que actúe sobre la causa del problema. Un ejemplo es el síndrome de Peutz-Jeghers. Se trata de una condición hereditaria autosómica dominante que provoca pigmentaciones melánicas orales y periorales. Además, aumenta el riesgo de desarrollar pólipos intestinales y cáncer. Una prueba genética es necesaria. La enfermedad de Addison también puede dar origen a manchas negras en las encías y otras mucosas orales.
Se trata de una patología autoinmune que afecta las glándulas suprarrenales. Los pacientes con Addison suelen presentar cansancio, mucha sed, pérdida de peso, falta de apetito y debilidad muscular. Además, hay hiperpigmentación de labios, paladar, encías y parches oscuros en otras zonas del cuerpo.

Tabla Resumen de Causas y Tratamientos
| Causa | Descripción | Tratamiento |
|---|---|---|
| Traumatismo | Lesión en las encías que causa moretones. | Generalmente se resuelve solo. |
| Quiste de Erupción | Quiste lleno de líquido durante la erupción dental. | Desaparece al erupcionar el diente; incisión si es necesario. |
| Melanoplaquia | Pigmentación genética normal. | No requiere tratamiento. |
| Tabaquismo | Aumento de melanina por nicotina. | Dejar de fumar. |
| Tatuaje de Amalgama | Depósito de amalgama en las encías. | Evitar con aislamiento adecuado durante empastes. |
| Medicamentos | Efecto secundario de ciertos fármacos. | Consultar al médico para posibles alternativas. |
| Gingivitis/Periodontitis | Acumulación de sarro subgingival oscuro. | Limpieza periodontal. |
| Nevus Azul | Lunar en la encía. | Control periódico; biopsia si cambia. |
| Melanoacantoma Oral | Manchas oscuras benignas. | Biopsia para descartar otras patologías. |
| Cáncer Oral | Manchas negras que pueden ser malignas. | Biopsia; extirpación quirúrgica, quimioterapia, radioterapia. |
| Enfermedades Sistémicas | Condiciones como Addison o Peutz-Jeghers. | Tratamiento de la enfermedad subyacente. |
Tratamientos para las Manchas Negras en las Encías
Para tratar las manchas negras en las encías es necesario conocer su origen y actuar sobre la causa. Pero debes saber que existen algunos métodos con fines cosméticos que pueden mejorar la apariencia del tejido gingival cuando el oscurecimiento es benigno. A continuación mencionamos posibilidades para mejorar el aspecto de las encías oscuras:
- Microabrasión: se trata de la eliminación de las capas superficiales de la encía con un instrumental específico. Así se descarta el área pigmentada y se expone el tejido sano, color rosa pálido, que se encuentra debajo.
- Eliminación quirúrgica: consiste en eliminar las manchas de las encías cortándolas y retirándolas con un bisturí. Se trata de una técnica invasiva y con un posoperatorio más complicado. Pues se debe dar un proceso de cicatrización del tejido y los resultados no siempre son duraderos.
- Criocirugía: es un procedimiento en el que se congela el tejido gingival afectado.
- Injertos gingivales libres: este tratamiento consiste en extraer tejido no pigmentado del paladar y colocarlo en la zona de las encías para ocultar las pigmentaciones.
- Láser: se trata de la eliminación de las células productoras de melanina usando tecnología láser. Es una intervención poco invasiva, disminuye el sangrado y favorece la pronta recuperación del paciente.
De todos modos, debes saber que muchas de estas prácticas pueden lesionar la mucosa o las manchas pueden reaparecer. Es importante aclarar todos estos aspectos con el odontólogo antes de iniciar al tratamiento. ¿Qué solución tienen las encías negras? ¿Cómo funciona este tratamiento? El láser actúa en el exterior de la encía, en la última capa epitelial, que es donde se encuentra el exceso de melanocitos que producen la coloración, y consigue aclarar las encías en varios tonos.
En el caso de las encías oscuras por malos hábitos, como ocurre con otro tipo de deterioros, el mejor tratamiento será la prevención. El tratamiento periodontal actúa prestando especial atención al estado de los dientes y los huesos maxilares, que son los principales afectados por la periodontitis. Solo tratando este oscurecimiento desde el origen, conseguiremos aclarar las encías y evitar daños mayores. Aunque, también hemos de decir, que una de las consecuencias de la periodontitis es, precisamente, el oscurecimiento gingival.
El sarro negro es una sustancia compuesta por minerales que se acumula en diversas áreas de los dientes. Esta puede erradicarse fácilmente con un buen cepillado y mediante el uso complementario de hilo dental, enjuagues bucodentales, irrigadores y cualquier otro utensilio odontológico. El sarro negro es una sustancia que se forma a partir del sarro común, cuando se acaba endureciendo y adhiriendo a las piezas dentales; el color varía como consecuencia de una mala higiene, en función de la ubicación o a causa de unos hábitos inadecuados.
En la mayoría de los casos, al no eliminar bien la placa tras el cepillado, se acumula en el interior de las líneas de las encías, afectando a la salud de estas. Suele ser la más común y la fase de inicio menos riesgosa de las patologías bucodentales. Es la fase avanzada de la gingivitis. Este fenómeno dental se asocia a una infección bacteriana en las piezas dentales. La causa de su aparición es la falta de higiene en los dientes, provocando que los alimentos que se ingieren no logren ser extraídos ni erradicados por completo y se queden adheridos en la boca.
Ocurre a causa de ciertos problemas dentales como caries o patologías periodontales, pero, sobre todo, por una mala higiene bucal. La única manera de prevención en estas afecciones bucodentales es cumplir con una estricta limpieza de manera cotidiana. La utilización de hilo dental, enjuagues e irrigadores, entre otros, te ayudará a limpiar correctamente las áreas a las que, con un cepillado común, no puedes acceder: entre los dientes y bajo la línea gingival.