Si observas manchas oscuras en forma de guirnalda en tus dientes, que no desaparecen con el cepillado, es posible que se trate del fenómeno conocido como mancha negra. Esta decoloración dental es más común en niños y adolescentes, y aunque puede parecer alarmante, generalmente es inofensiva y no daña los dientes.

¿Qué es la mancha negra (Melanodoncia)?
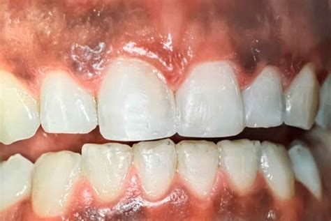
También conocida técnicamente como "melanodoncia", la mancha negra se manifiesta como una decoloración negra, verde o anaranjada en los dientes, especialmente en la infancia y adolescencia. Esta coloración, muy adherida, suele formar un borde alrededor del cuello del diente, cerca de las encías, y a menudo desaparece espontáneamente en la edad adulta.
Las manchas en los dientes están causadas por bacterias colorantes que se depositan en los dientes. La decoloración se debe entonces a una combinación de componentes de la saliva y productos metabólicos bacterianos. Lo interesante es que, aunque antiestética, esta condición protege contra la caries.
La mayoría de la gente piensa en una cosa cuando ve manchas oscuras en los dientes: mala higiene bucal. Sin embargo, no siempre es así; por ejemplo, en el caso de la mancha negra (técnicamente conocida como "melanodoncia").
La buena noticia es que las manchas no son perjudiciales para los dientes: no los atacan.
Caries vs. Decoloración por Mancha Negra
Muchos padres se preocupan al ver manchas negras en los dientes de sus hijos, asociándolas con caries. Sin embargo, la caries es diferente. Está causada por el sarro, una placa blanda que se forma en los dientes por una higiene bucal deficiente. Con el tiempo, esta placa se endurece y se convierte en sarro, que puede derivar en caries. A diferencia de la mancha negra, la caries no aparece como una decoloración en la línea de las encías en varios dientes, sino como una pequeña mancha negra o marrón en un solo diente.
Los dientes de leche son especialmente sensibles a las caries, ya que su esmalte es más delgado que el de los dientes permanentes.

Diagnóstico Profesional
Si sospechas que tu hijo tiene melanodoncia, es fundamental consultar a un dentista. Los expertos examinarán los dientes de tu hijo para confirmar si se trata de una mancha negra inofensiva o de otra enfermedad dental. En la mayoría de los casos, una inspección visual es suficiente, aunque a veces se utiliza luz ultravioleta para confirmar el diagnóstico.
Tratamiento de la Mancha Negra
En general, no hay una razón médica para tratar la mancha negra, ya que es inofensiva. Sin embargo, debido a preocupaciones estéticas, muchos optan por eliminarla. La solución más común es una limpieza dental profesional, que elimina la placa blanda y dura de las superficies dentales, los espacios interdentales y las bolsas de las encías.
Las limpiezas dentales profesionales regulares también pueden garantizar que la melanodoncia no se desarrolle en primer lugar.
Pero es importante saberlo: Incluso después de una limpieza dental profesional, la mancha negra eliminada puede volver a aparecer.
Puede ayudar a aclarar la decoloración causada por la mancha negra.
Prevención de la Mancha Negra
No es fácil prevenir la melanodoncia o evitarla por completo. Las personas que tienen esta predisposición difícilmente pueden contrarrestarla. Por eso el consejo de prestar más atención a la higiene bucal es bastante inapropiado y a menudo hiriente. Al fin y al cabo, las manchas negras no están causadas por una higiene bucal deficiente.
No obstante, es sumamente importante que los padres empiecen a practicar una higiene dental regular y exhaustiva con sus hijos a una edad temprana. De este modo, evitan que se formen caries en los sensibles dientes de leche - y sí, existe la esperanza de que esto evite que la mancha negra adquiera mayores proporciones.
Es importante empezar en cuanto sale el primer diente, lo que suele ocurrir en torno a los seis meses de edad. Puedes cepillar los dientes con un paño húmedo o utilizar un cepillo de dientes para bebés muy suave, como el cepillo de dientes para bebés de Curaprox. Las cerdas son tan suaves que no hay riesgo de dañar la mucosa bucal.
Si los niños aprenden a utilizar el cepillo de dientes jugando, es muy probable que cepillarse los dientes no les resulte una carga más adelante, y eso es importante.
¿Su hijo se esfuerza mucho al cepillarse los dientes y, a pesar de ello, se le siguen formando manchas negras? Esto puede ser muy frustrante y estresante.
Porque los dientes descoloridos también se asocian a la vergüenza de los niños. Ahora es importante dejar claro a tu hijo que no ha hecho nada malo y que las manchas negras en los dientes se habrían formado incluso con la mejor higiene bucal. Intenta también empoderar a tu hijo y quitarle la vergüenza. Acudan juntos al dentista y déjense aconsejar.
Encías Negras u Oscuras: Otras Causas
Las encías son una parte fundamental de nuestra sonrisa y salud bucal en general. Tener unas encías saludables es un indicativo de un buen estado de nuestra boca. Sin embargo, existen ciertos problemas estéticos que pueden afectar a nuestras encías, como la aparición de manchas o un oscurecimiento excesivo, conocido como encías negras o encías oscuras.
Aspecto Saludable de las Encías
Las encías sanas deben tener un color rosado claro y estar firmes alrededor de los dientes. Además, no deben presentar inflamación, sangrado o dolor al cepillarse los dientes o utilizar hilo dental.
Raspado Radicular: ¡Tu guía completa para mantener encías saludables! 👩⚕️✨
Causas de las Manchas Negras en las Encías
Existen diversas razones por las cuales pueden aparecer manchas negras en las encías:
- Melanosis Gingival: Pigmentación natural de las encías debido al aumento de la producción de melanina.
- Tabaquismo: Fumar o masticar tabaco puede provocar manchas oscuras.
- Cáncer Oral: Algunas formas de cáncer oral pueden manifestarse con manchas oscuras en las encías.
- Nevo: Lesión benigna que puede presentarse como una mancha negra.
- Hematomas por Dentición: Durante la dentición, pueden aparecer hematomas en las encías.
- Tatuaje por Amalgama: Después de un empaste con amalgama, puede quedar un tatuaje oscuro.
- Variaciones Naturales: Al igual que la piel, las encías pueden tener variaciones naturales en su coloración.
- Medicamentos: Algunos medicamentos pueden provocar cambios en la pigmentación de las encías.

Tratamientos para Encías Oscuras
Si las manchas negras en las encías te preocupan estéticamente, existen tratamientos disponibles para reducir su apariencia o incluso eliminarlas por completo. Uno de los métodos más utilizados es la despigmentación de encías.
La despigmentación de encías puede llevarse a cabo mediante diferentes técnicas, como el uso de láser, la cirugía o el raspado. En todos los casos, se busca eliminar la capa pigmentada de la encía y permitir que crezca una nueva capa de tejido sano y de coloración más clara.
Además de la despigmentación de encías, es fundamental abordar las causas subyacentes de las manchas negras. Si fumas, es importante considerar dejar de hacerlo para evitar que las manchas vuelvan a aparecer en el futuro y para mejorar tu salud en general.
La despigmentación de encías es un procedimiento eficaz que debe realizado por un profesional dental.
Melanosis Gingival: Un Problema Estético
La melanina que está presente en la piel y nos protege del sol en ocasiones está también presente en las encías y puede darles un aspecto oscuro. Aunque no supone un problema de salud, sí que lo es estético, pero tiene fácil solución.
Causas de la Aparición de Manchas Negras en las Encías
- Aumento de Secreción de Melanina: Conocido como melanoplaquia, a menudo de naturaleza hereditaria.
- Tabaquismo: El depósito de sustancias tóxicas del tabaco puede generar manchas negras.
- Amalgama: El contacto con restauraciones de amalgama puede causar melanosis gingival.
- Enfermedades Periodontales: Gingivitis y periodontitis pueden causar que la encía se vuelva oscura.
- Ciertos Medicamentos: Algunos anticonceptivos y antibióticos tienen como efecto secundario la melanosis gingival.
- Tratamientos Dentales: El postoperatorio de algunos tratamientos dentales puede generar necrosis y oscurecimiento de la encía.
Tratamientos para Eliminar las Manchas Negras en las Encías
Existe un gran abanico de opciones para eliminar una mancha negra en la encía, pero el principal es el tratamiento periodontal de microcirugía gingival, que se realiza con el láser de er-Yag. Se basa en eliminar el tejido oscurecido de la encía a través de la emisión de una luz a una longitud de onda de 2940 nanómetros que estimula la regeneración de la mucosa sin causarle el menor daño.
La microabrasión es otro tratamiento bucodental que se utiliza para pulir cuidadosamente cualquier tipo de mancha negra en la encía hasta borrarla. A través de esta técnica, el dentista es capaz de eliminar la melanosis gingival y devolver al paciente su color de encía natural.
Otro tratamiento muy útil para acabar con la preocupación que provoca la melanosis gingival es la despigmentación con bisturí. Esta técnica es una de las más efectivas para eliminar una mancha negra en la encía, pero es cierto que su cicatrización conlleva más tiempo al tratarse de un método quirúrgico.
Manchas Negras en los Dientes: Sarro, Caries y Más
Hay personas que presentan dientes con manchas negras que parecen cariados, pero no lo están. También hay quien acude a hacerse una limpieza para quitar esas manchas negras en los dientes y se lleva la desagradable sorpresa de que debajo hay una caries. Pero, ¿qué son esas manchas que a veces se muestran como una línea negra en los dientes, bajo la encía?
Una mancha negra en la superficie masticadora de una muela suele ser una caries o, al menos, una lesión en el esmalte que debe ser controlada. En algunas ocasiones, las manchas negras son tinciones causadas por el consumo de tabaco o café durante años, cuando no se realizan limpiezas periódicas.
De todas formas, el sarro puede llegar a dañar el esmalte y causar una caries, por no hablar de la cantidad de problemas periodontales que produce.
No hagas caso a los remedios caseros que explican cómo quitar manchas negras de los dientes con sustancias varias como el bicarbonato o la sal con jugo de limón porque pueden dañar tu esmalte de manera irreversible.
El tratamiento de las manchas negras de los dientes suele consistir en una limpieza bucal, con la que también se puede eliminar tinciones que afecten a la superficie visible de los dientes.
Sarro Negro: Composición y Prevención
El sarro, también conocido por “cálculo dental” u “odontolito”, es una sustancia mineralizada y dura que se acumula sobre los dientes cuando no se elimina la placa bacteriana.
El color del sarro depende de la edad y de dónde aparece en la boca. El sarro sobre la línea de las encías, también denominado cálculo supragingival, es amarillo o tostado. El cálculo subgingival es el sarro que aparece debajo de la línea de las encías, el cual puede ser marrón, negro o verde.
El sarro está compuesto de bacterias muertas mineralizadas y proteínas salivales. Se puede prevenir la acumulación de placa y sarro con una buena higiene dental, cepillándose dos veces al día con pasta de dientes y usando hilo dental.

El sarro negro se compone de las mismas sustancias que las variantes más claras, pero incluye otros materiales procedentes de los fluidos circundantes. Una buena higiene bucal diaria y visitas regulares al dentista, al menos cada 6 meses, para revisiones y limpiezas profesionales, previenen la formación del sarro negro.
Guía para Entender y Eliminar las Manchas Negras en los Dientes
Hola, soy Alicia Martín, odontóloga general en Cleardent: sé que ver puntos negros o pigmentaciones oscuras en el esmalte puede alarmarte. En esta guía te explicaré qué son estas manchas negras, por qué aparecen, cómo eliminarlas de forma segura y, sobre todo, cómo prevenirlas.
¿Qué son las manchas negras en los dientes?
Las manchas negras en los dientes son decoloraciones oscuras (marrón oscuro o negras) que se adhieren al esmalte dental. Visualmente pueden verse como líneas cercanas a la encía, puntitos negros en la superficie o zonas oscurecidas en alguna pieza dental.
Causas comunes de los dientes manchados de negro
- Pigmentos de tabaco y alimentos/bebidas: El tabaquismo y el consumo habitual de ciertas bebidas oscuras son de las causas más comunes de manchas.
- Abuso de enjuagues bucales con clorhexidina: Un uso prolongado o indiscriminado de la clorhexidina puede teñir los dientes.
- Suplementos de hierro: Tanto en niños como en adultos, el hierro en forma líquida puede causar manchas oscuras en los dientes.
- Desgaste o daños en el esmalte: Consumir alimentos muy ácidos con frecuencia o el bruxismo pueden dañar el esmalte.
- Caries dental incipiente: En etapas iniciales puede lucir como una mancha blanquecina opaca en el esmalte, pero conforme avanza suele oscurecerse.
- Acumulación de sarro (placa bacteriana calcificada): La placa bacteriana que no se elimina adecuadamente con la higiene diaria se endurece formando sarro.
- Bacterias cromógenas (manchas negras en niños): Estas bacterias producen compuestos de hierro y azufre que se depositan como una línea oscura alrededor del diente.
¿Mancha negra o caries?
Una pregunta frecuente de mis pacientes es: “¿Cómo saber si esta mancha negra es una caries?”. La confusión es normal, porque a simple vista pueden ser parecidas. Mi consejo: no esperes a estar seguro por tu cuenta; pide una revisión.
Localización: Las manchas extrínsecas por café/tabaco suelen aparecer como velos o líneas en varios dientes (por ejemplo, todos los frontales manchados cerca de la encía). En cambio, una caries suele afectar un diente en particular.
Textura: Si al pasar la uña la mancha no se quita pero la superficie se siente lisa, podría ser sarro muy adherido o mancha superficial. En una caries ya avanzada suele haber una cavidad rugosa o un pequeño hueco en el diente.
Síntomas: Una mancha por pigmento generalmente no duele ni causa molestias. Una caries en cambio puede dar sensibilidad al tomar algo frío, caliente o dulce, dolor espontáneo o mal aliento persistente.
Color: Aunque hablamos de “manchas negras”, las caries no siempre son negras intensas; algunas son marrones o blancas opacas. Sin embargo, cuando la lesión de caries avanza y pigmenta, sí puede verse oscura.
Tratamientos para eliminar las manchas negras
- Limpieza dental profesional: Remueve placa, sarro y manchas externas.
- Empaste dental (obturación): Limpiar la zona cariada y rellenarla con un material de resina compuesto del color del diente.
- Blanqueamiento dental profesional: Aplicar un gel de peróxido sobre el esmalte y activarlo con luz para aclarar varios tonos el color del diente.
- Carillas: Finas láminas de porcelana o composite que se pegan en la cara visible del diente para mejorar su apariencia.
- Endodoncia: Eliminar el nervio muerto y limpiar el interior del diente.
¿Cómo prevenir las manchas negras?
- Higiene oral estricta diaria: Cepíllate los dientes al menos dos veces al día.
- Limpieza dental profesional periódica: Agenda una limpieza con tu dentista cada 6-12 meses.
- Modera o evita los agentes que manchan: Reduce el consumo de tabaco y limita bebidas muy pigmentadas.
- Cuidado con los enjuagues y medicamentos: Los colutorios de clorhexidina solo úsalos el tiempo indicado por el dentista.
- Dieta equilibrada y protectora: Llevar una dieta baja en azúcares ayuda a prevenir caries.
Dientes Negros: Causas, Prevención y Tratamiento
Como odontólogo, a menudo veo pacientes preocupados porque un diente se les ha puesto negro o notan manchas oscuras en los dientes. Entiendo que ver dientes negros u oscurecidos puede ser alarmante. En este artículo te explicaré qué hay detrás de lo que muchos llaman la “enfermedad de los dientes que los pone negro”, cuáles son sus causas más comunes - desde caries avanzadas hasta necrosis pulpar - y, lo más importante, cómo prevenir y tratar este problema.
Causas de los Dientes Negros
Existen diversas razones por las que un diente puede oscurecerse hasta verse negro. En general, las causas se dividen en extrínsecas (manchas superficiales externas en el esmalte) e intrínsecas (problemas internos del diente que cambian su color desde dentro).
- Caries Dental Avanzada: Una caries dental (cavidad) es una infección causada por bacterias que destruyen el esmalte y la dentina del diente.
- Necrosis Pulpar: La necrosis pulpar ocurre cuando el tejido pulpar (el “nervio” del diente, que contiene nervios y vasos sanguíneos) muere.
- Traumatismo Dental: Un traumatismo dental (por ejemplo, al caer o recibir un impacto practicando deporte) puede dañar seriamente la pieza afectada.
- Sarro Dental: El sarro dental es placa bacteriana calcificada que se adhiere fuertemente a los dientes.
- Manchas Extrínsecas: Ciertos alimentos y bebidas con pigmentos intensos pueden teñir gradualmente los dientes si se consumen con frecuencia.
- Tratamientos Dentales Previos: Por ejemplo, los empastes de amalgama (aquellos empastes metálicos de color plata que se usaban mucho antiguamente) pueden con el tiempo pigmentar la estructura dental circundante de gris oscuro o negro.
- Fluorosis Dental: La fluorosis dental es una alteración en el esmalte causada por una ingesta excesiva de flúor durante la formación de los dientes.
- Medicamentos: Algunos medicamentos pueden causar coloraciones intrínsecas en los dientes en formación.
¿Cómo saber si un diente negro o manchado indica un problema serio?
- Cambio de color visible.
- Manchas negras puntuales.
- Oscurecimiento general de un diente entero.
- Agujero negro visible en el diente.
- Cambios en la textura o integridad.
- Dolor o sensibilidad.
- Encía inflamada o fístula.
Prevención de los Dientes Negros
- Higiene bucal rigurosa.
- Alimentación equilibrada y baja en azúcares.
- Evitar el tabaco.
- Modera alimentos y bebidas cromógenas.
- Visitas periódicas al dentista.
- Protección ante traumatismos.
Tipos de manchas en los dientes
En otras ocasiones estas tinciones dentales son consecuencia de una enfermedad bucal e incluso sistémica y es necesario tratar la causa cuanto antes.
- Manchas Blancas: Las manchas blancas son las más frecuentes y pueden deberse a causas muy dispares.
- Manchas Amarillas: Las manchas amarillas en los dientes son características del sarro, sobre todo cuando este no se ha tratado en fases iniciales y, como consecuencia, la placa bacteriana se calcifica.
- Manchas Marrones: Las manchas marrones en los dientes pueden aparecer cuando las caries progresan o la acumulación de placa bacteriana (sarro) es severa.
- Manchas Negras: La aparición de manchas negras entre la encía y el diente suele ser por caries o sarro en fases avanzadas.
- Manchas Rojas: Tener una mancha roja en el diente puede ocurrir si este ha sufrido un traumatismo, debido a la hemorragia que se produce en el interior.
- Manchas Azules: Las manchas azules en los dientes pueden aparecer por el consumo de ciertos antibióticos como la minociclina, el linezolid y la amoxicilina.
El Sarro Negro: Causas y Prevención
Laboratorios Viñas, departamento científico.
El sarro negro es una sustancia compuesta por minerales que se acumula en diversas áreas de los dientes. Esta puede erradicarse fácilmente con un buen cepillado y mediante el uso complementario de hilo dental, enjuagues bucodentales, irrigadores y cualquier otro utensilio odontológico.
El sarro negro es una sustancia que se forma a partir del sarro común, cuando se acaba endureciendo y adhiriendo a las piezas dentales; el color varía como consecuencia de una mala higiene, en función de la ubicación o a causa de unos hábitos inadecuados.
En la mayoría de los casos, al no eliminar bien la placa tras el cepillado, se acumula en el interior de las líneas de las encías, afectando a la salud de estas.
Ocurre a causa de ciertos problemas dentales como caries o patologías periodontales, pero, sobre todo, por una mala higiene bucal.
La única manera de prevención en estas afecciones bucodentales es cumplir con una estricta limpieza de manera cotidiana. La utilización de hilo dental, enjuagues e irrigadores, entre otros, te ayudará a limpiar correctamente las áreas a las que, con un cepillado común, no puedes acceder: entre los dientes y bajo la línea gingival.