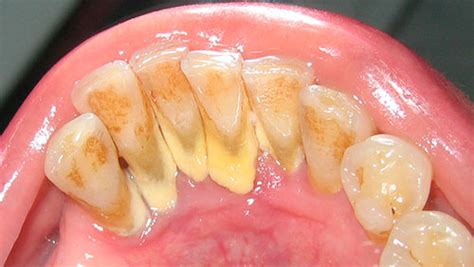
El sarro dental, también conocido como cálculo dental, es una placa bacteriana que se ha endurecido debido a los minerales presentes en la saliva. Se produce cuando la placa bacteriana se endurece sobre los dientes, en la línea de la encía. Si no se elimina correctamente, esta placa se mineraliza y se convierte en sarro, especialmente en zonas como detrás de los dientes inferiores.

El sarro dental es un problema común que se puede prevenir manteniendo una buena higiene bucodental y realizando visitas regulares al dentista. A continuación, te explicamos cómo prevenirlo y eliminarlo de manera efectiva.
¿Cómo saber si tienes sarro dental?
Para saber si tienes sarro dental, lo primero que puedes hacer es mirarte en el espejo. También puedes palpar alrededor de los dientes con la lengua. La forma más efectiva de detectar si tienes sarro dental es acudir a tu dentista para que te haga un examen profesional.
¿Por qué es importante eliminar el sarro de los dientes?
Es fundamental eliminar el sarro de los dientes para evitar:
- Halitosis: El sarro acumulado en los dientes puede provocar mal aliento. Esto se debe a que el sarro alberga bacterias que producen compuestos sulfurados volátiles, responsables del mal olor.
- Pigmentación de los dientes: El sarro, al acumularse en los dientes, puede provocar manchas y decoloración, lo que afecta negativamente la apariencia estética de la sonrisa.
- Inflamación de encías: El sarro puede acumularse debajo de las encías, lo que puede provocar inflamación y enrojecimiento de las mismas. A medida que el sarro se acumula, la inflamación puede agravarse y provocar gingivitis.
- Enfermedades periodontales: Si el sarro no se elimina a tiempo, puede producir enfermedades periodontales como la periodontitis, que puede llevar a la pérdida de los dientes. Esto se debe a que el sarro acumulado debajo de las encías puede destruir el hueso y el tejido conectivo que sostienen los dientes.

¿Cómo prevenir el sarro dental de forma natural?
Si te preguntas como evitar el sarro en los dientes de forma natural, ten en cuenta los siguientes puntos:
- Cepilla tres veces al día: Es importante cepillarse los dientes después de cada comida para prevenir la acumulación de placa y la formación de sarro. Cepillarse los dientes con una pasta de dientes con flúor durante dos minutos ayuda a eliminar la placa y las bacterias.
- Utiliza una pasta con flúor: El flúor ayuda a fortalecer el esmalte dental y prevenir la formación de caries. Las pastas de dientes con flúor también pueden ayudar a prevenir la acumulación de sarro en los dientes.
- Usa hilo dental: El hilo dental ayuda a eliminar la placa y los restos de comida que se acumulan entre los dientes, lo que ayuda a prevenir la acumulación de sarro.
- Emplea enjuague bucal: Los enjuagues bucales con agentes antibacterianos pueden ayudar a reducir la cantidad de bacterias en la boca, lo que puede prevenir la formación de sarro.
- Lleva una dieta equilibrada: Una dieta equilibrada, baja en azúcares y rica en frutas y verduras, puede ayudar a prevenir la formación de sarro. Además, es importante evitar el consumo excesivo de alimentos y bebidas ácidas, ya que pueden debilitar el esmalte dental.
- Evita el tabaco y el alcohol: Fumar y consumir alcohol en exceso pueden debilitar el esmalte dental y favorecer la acumulación de sarro. Es importante evitar estos hábitos para mantener una buena salud bucal y prevenir problemas como la caries y la enfermedad periodontal.
Remedios caseros para el sarro dental: ¿Son efectivos?
Así como deshacer el sarro de los dientes con remedio caseros:
- Bicarbonato de sodio: Mezcla una cucharadita de bicarbonato de sodio con agua y aplícala sobre tus dientes con un cepillo de dientes. Frota suavemente durante un par de minutos y enjuaga bien con agua.
- Zumo de limón: El zumo de medio limón con una taza de agua tibia y enjuaga tu boca con esta solución. El ácido cítrico del limón ayuda a disolver el sarro, pero debes tener cuidado de no exponer tus dientes al ácido durante mucho tiempo, ya que puede dañar el esmalte.
- Aceite de coco: Realiza enjuagues bucales con aceite de coco durante unos 15-20 minutos al día. El aceite de coco contiene ácido láurico que ayuda a reducir la acumulación de placa y sarro en los dientes.
Es importante tener en cuenta que la mayoría de estos remedios caseros tienen en común una cosa: aplicarlos puede implicar un severo daño en el esmalte dental. Además, ninguna de estas recomendaciones para eliminar el sarro será efectiva sin una higiene dental completa de forma regular.
Tratamientos profesionales para eliminar el sarro dental
Para limpiar sarro dientes tratamiento más común es una limpieza bucodental o un curetaje dental.
- Limpieza bucodental: La limpieza bucodental es un procedimiento que se realiza en la consulta del dentista y consiste en limpiar sarro dientes acumulado y encías mediante el uso de instrumentos específicos como curetas y ultrasonidos. Este proceso no es doloroso, aunque puede provocar cierta sensibilidad dental. El profesional también puede realizar un pulido dental para alisar la superficie dental y prevenir la acumulación de placa bacteriana.
- Curetaje dental: El curetaje dental es un tratamiento más invasivo que se realiza cuando el sarro se ha acumulado en zonas más profundas de las encías, llegando al hueso alveolar y provocando inflamación o infección. Se utiliza anestesia local para poder llegar a esas zonas y se procede a raspar el sarro con la ayuda de curetas y otros instrumentos.

Para eliminar el sarro que ha crecido más profundamente debajo de los tejidos blandos que sostienen los dientes, es necesario un tratamiento distinto, que recibe el nombre de raspado y alisado radicular, o curetaje, que sí necesita anestesia local.
El SARRO DENTAL le bajó las ENCÍAS - Así se TRATA esta RECESIÓN
El sarro negro: Causas y tratamiento
El sarro negro en los dientes es un problema dental común que puede afectar la salud bucal y la apariencia de la sonrisa. El sarro, también conocido como cálculo dental, es una acumulación endurecida de placa bacteriana que se adhiere a los dientes. Cuando la placa no se elimina adecuadamente mediante el cepillado y el uso del hilo dental, se mineraliza y se convierte en sarro.
Causas del sarro negro
- Mala higiene dental: La falta de cepillado y uso del hilo dental permite que la placa se acumule y se endurezca, formando sarro.
- Tabaco: Fumar o masticar tabaco es una de las principales causas del sarro negro.
- Enfermedad de las encías: El sarro que se acumula en la línea de las encías puede causar gingivitis, una forma leve de enfermedad de las encías.
Tratamiento para eliminar el sarro negro
Eliminar el sarro negro requiere una combinación de tratamientos profesionales y cuidados personales en el hogar.
- Limpieza dental profesional: La forma más efectiva de eliminar el sarro negro es mediante una limpieza dental profesional realizada por un dentista o higienista dental.
- Raspado y alisado radicular: En casos de sarro subgingival (debajo de la línea de las encías), se puede requerir un raspado y alisado radicular.
- Cepillado adecuado: Cepíllate los dientes al menos dos veces al día con una pasta dental fluorada.
- Dieta balanceada: Limita el consumo de alimentos y bebidas azucaradas y pigmentadas.
Prevención del sarro negro
La prevención es clave para evitar la acumulación de sarro negro.
- Visitas regulares al dentista: Programa limpiezas dentales profesionales y exámenes al menos dos veces al año.
Productos recomendados para la higiene bucal
Para mantener una buena higiene bucal y prevenir la acumulación de sarro, considera utilizar los siguientes productos:
- Cepillo de dientes eléctrico Oral-B: Elimina hasta un 100% más de placa que un cepillo manual.
- Cepillo de dientes manual Wild & Stone: Hecho de bambú, ideal para una limpieza profunda.
- Pasta de dientes Colgate con flúor: Fortalece los dientes y protege contra las caries.
- Aplicadores de hilo dental GUM EASY-FLOSSERS: Fáciles de usar y enriquecidos con flúor y vitamina E.
- Cepillos interdentales GUM: Eliminan la placa entre los dientes de forma segura.
- Enjuague bucal Listerine: Ofrece 6 beneficios en 1 para una higiene bucal completa.
- Colutorio Bexident Encías: Tratamiento para la gingivitis y periodontitis.
