El color de los dientes está determinado por el color de la dentina y por las coloraciones que se originan tanto de manera extrínseca como intrínseca. Existen diferentes fármacos que pueden alterar la estructura y el color del diente. Las tinciones intrínsecas son alteraciones que se producen en el interior del tejido de los dientes, por lo que su eliminación necesitará tratamientos más complejos. Principalmente se ve afectada la dentina, aunque, en el caso de la fluorosis se altera el esmalte. Existen diferentes fármacos o medicamentos que decoloran los dientes tanto extrínseca como intrínsecamente, y la principal consecuencia de las coloraciones intrínsecas es que producen una alteración de la estructura del diente y de la estética del paciente.

¿Qué Antibióticos Causan Manchas en los Dientes?
Si te preguntamos si alguna vez has tenido que tomar antibióticos, posiblemente la respuesta sea sí. Todos o casi todos en alguna ocasión hemos tenido que tomarlos. Las tetraciclinas son un grupo de antibióticos utilizados para tratar diversas infecciones bacterianas. Si bien son eficaces para combatir infecciones, uno de sus efectos secundarios más notables es la decoloración dental, especialmente cuando se administran a niños menores de ocho años o a mujeres embarazadas.
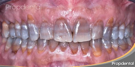
Uno de los principales efectos indeseados de las tetraciclinas es la tinción de los dientes. Se puede ver afectada tanto la dentición temporal como la permanente, dependiendo de cuándo se administre el antibiótico. Todavía sigue siendo muy común ver a personas nacidas en los años 60 y 70 con los dientes con cierto tono grisáceo. De hecho, si conoces a alguien es muy probable que te haya contado que de pequeño le suministraron un medicamento con tetraciclina que le manchó la sonrisa para siempre. Pero… ¿qué fármaco es este? ¿Tiene solución? Empezaremos conociendo algunos detalles sobre el fármaco.
La tetraciclina es un inhibidor de síntesis proteico, o lo que es lo mismo, un antibiótico de amplio espectro. Este se emplea para todo tipo de enfermedades microbianas, desde infecciones respiratorias o urinarias hasta acné. Este fármaco comenzó a emplearse en los años 40. En 1956 surgió la primera hipótesis que lo relacionaba con el oscurecimiento de los dientes en los niños. Y no fue hasta 1963 cuando la FDA (Administración de Medicamentos y Alimentos) advirtió de las posibles consecuencias en los dientes.
La principal causa de las manchas en dientes por tetraciclinas es la incorporación del antibiótico en la estructura del diente durante su formación. Esto suele ocurrir cuando las tetraciclinas se administran durante el segundo y tercer trimestre del embarazo o en los primeros años de vida, cuando los dientes aún se están desarrollando.
Según estudios relacionados, la tinción se origina durante el proceso de formación de la dentina. La tetraciclina tiende a unirse con el calcio, por lo que oscurece la composición que conforma los dientes, huesos y articulaciones. En consecuencia, no se trata de una mancha superficial, sino que es parte del material que conforma la propia pieza dental al formarse. Dicho de otra manera, el diente es grisáceo desde su interior.
Este fenómeno puede afectar, principalmente, a las personas que, con ocho años o menos, consumieron este antibiótico. Sin embargo, también son objeto de estudio todos aquellos que recibieron el medicamento a través de su madre, ya sea en la gestación o durante la lactancia. El tiempo y el momento determinan el número de piezas implicadas y el nivel de afección.

En función del grado de coloración se establecen cuatro categorías. Desde una leve variación cromática, que por lo general tiende a un color gris, hasta el nivel más extremo y poco común, que produce alteraciones en la textura dental y rallas horizontales que varían en cromatismo. Estudios recientes, llevados a cabo en gente adulta, han demostrado que altas dosis de esta composición pueden producir también este efecto en adultos, aunque se trata de un fenómeno más extraño.
Otros Medicamentos que Pueden Afectar la Salud Dental
Hay ciertos medicamentos que destruyen los dientes y los dañan de manera irreversible si no se adoptan las medidas adecuadas. Asimismo, existen algunos fármacos y remedios naturales que protegen estas piezas dentales y las mantienen saludables. En ciertas ocasiones, los tratamientos farmacológicos afectan a la salud dental. Si bien es cierto que pueden ser recomendables para algunas patologías, también entrañan una serie de riesgos o efectos secundarios. Por lo tanto, vamos a tratar el impacto negativo que tienen sobre nuestra dentadura.
Desafortunadamente, existen tratamientos que hacen daño a los dientes y encías, en general, a la salud bucal. Por este motivo, es necesaria la supervisión de un odontólogo para mitigar los efectos secundarios. Desde la coloración hasta posibles daños, como la pérdida del tejido óseo, pueden llegar a producirse.
- Opioides: Si el paciente toma opioides durante un largo período de tiempo, se podrían ocasionar daños ácidos en las caries e inflamación en las encías, por lo que, hay que dirigirse a una consulta especializada en periodoncia.
- Ansiolíticos: Estos fármacos para combatir la ansiedad también llegan a producir caries dental. En función de su composición, las probabilidades pueden ser más altas.
- Antibióticos: El uso de los antibióticos también se asocia a la pérdida progresiva de piezas dentales. Aunque se suelen emplear para tratar infecciones bacterianas, bloquean la producción de proteínas.
- Antihistamínicos: La toma de estos medicamentos en casos de alergias puede llegar a ocasionar la candidiasis bucal. Una buena higiene bucal es la mejor cura.
Tomar un medicamento o un fármaco de forma puntual no supone un problema grave, no obstante, si el uso es continuo o el paciente es muy sensible, hay que prestarle atención.
Soluciones para las Manchas en Dientes por Tetraciclinas
¿Cómo eliminar las manchas dentales de tetraciclina? | Club Dental
Una de las grandes preocupaciones de aquellas personas que lo padecen es si tienen solución las manchas grises en los dientes por tetraciclina. Existen varias soluciones para tratar las manchas en dientes por tetraciclinas, cada una con sus ventajas y limitaciones.
Blanqueamiento Dental Profesional
Los casos más leves se pueden solucionar mediante un blanqueamiento dental, que siempre será pautado por un odontólogo. Es probable que sea necesario realizar varias sesiones y, en algunos casos, complementar el tratamiento con blanqueamiento domiciliario. El blanqueamiento dental profesional es uno de los métodos más comunes y menos invasivos para tratar las manchas por tetraciclinas. Aquellos pacientes cuyas tinciones dentales no sean muy acusadas, primer y segundo grado de tinción por tetraciclinas, pueden recurrir a un tratamiento de blanqueamiento dental combinado.
Es un tratamiento destinado a aclarar el esmalte de los dientes, reduciendo la tonalidad del mismo con el fin de conseguir una sonrisa más estética. Es un procedimiento sencillo y muy cómodo para el paciente. Consiste en un tratamiento que combina dos partes: una en casa y otra en clínica. La parte ambulatoria consiste en llevar unas férulas hechas a medida de la boca del paciente, dentro de las cuales colocaremos el gel blanqueador. En la clínica, dos semanas después, realizamos una sesión con lámpara de luz fría que potencia la acción del gel blanqueador y asegura que los resultados se mantengan mucho tiempo.
Carillas Dentales
Sin embargo, para los niveles más altos, esta opción no suele ser suficiente, teniendo que recurrir a otro tipo de tratamientos de estética dental como las carillas dentales. Las carillas dentales son una solución popular para las manchas severas que no responden bien al blanqueamiento. Mediante unas finas láminas de cerámica o composite es posible modificar por completo el color o tamaño de las piezas dentales grisáceas.
Si las manchas por tetraciclinas son muy severas y el paciente quiere obtener un resultado aún más estético, la mejor opción es optar por las microcarillas dentales. Se trata de finas láminas que se adhieren a la superficie de los dientes. Por ello, es el tratamiento perfecto tras haber llevado a cabo un blanqueamiento dental combinado. Además, dado que las carillas son completamente personalizables, es posible mejorar no solo el color, sino también la forma de las piezas. Existen diferentes tipos de microcarillas, aunque las más estéticas son las confeccionadas en porcelana. Este material aporta un resultado muy natural e imita muy fielmente el tono de los dientes adyacentes.

Las carillas dentales son una especie de cobertura fabricada de porcelana o composite que se colocan en la superficie dental. Estas se aplican con una resina que les permite adherirse fuertemente a los dientes logrando así ocultar alguna imperfección estética. Este procedimiento sería el más efectivo para eliminar las tonalidades amarillentas o grises de los dientes.
Microabrasión Dental
La microabrasión dental es una técnica que elimina una fina capa de esmalte dental manchado.
Prevención de las Manchas por Tetraciclinas
Prevenir las manchas en dientes por tetraciclinas implica evitar el uso de este antibiótico en mujeres embarazadas y en niños pequeños, siempre que sea posible. Es importante que los profesionales de la salud sean conscientes de este riesgo y busquen alternativas cuando sea viable.
Medidas para Reducir el Impacto Negativo de Medicamentos en los Dientes
Sin embargo, para evitar el riesgo y este impacto negativo, se pueden adoptar medidas preventivas para mitigar estos posibles daños. En este listado, te explicamos cómo actuar para mayor tranquilidad y seguridad de nuestra salud.
- En primer lugar, hay que contar con un buen asesoramiento, por dicha razón, no dudes en consultar a tu dentista de confianza sobre la utilización de los fármacos.
- Si el paciente nota sensibilidad durante su toma, igualmente, debe ponerse en manos de un profesional para una revisión.
- Una buena higiene dental con un cepillado frecuente y una correcta hidratación serán muy favorables para reducir los riesgos.
- Por último, hay que evitar la automedicación y el uso de productos dañinos.
Manteniendo la Salud Dental Mientras se Toman Medicamentos
Sin duda alguna, se puede cuidar la salud dental durante la ingesta de estos medicamentos si se adoptan ciertos hábitos. En un principio, hay que prestar mayor atención a las pautas de higiene diaria, desde el consumo de ciertos alimentos, el cuidado dental y el consumo de algunos fármacos.
Por otra parte, la visita regular al dentista debe estar contemplada en nuestra agenda. Si se tienen que llevar a cabo ciertos tratamientos farmacológicos prolongados, lo mejor es consultar al especialista.
Por último, en el caso de tomar la medicación, lo más conveniente es hacerlo durante las comidas para proteger los dientes y las encías. Algunos de los químicos son muy dañinos y los alimentos funcionan como protectores.
Tabla Resumen de Tratamientos
| Tratamiento | Descripción | Indicación | Duración |
|---|---|---|---|
| Blanqueamiento Dental Profesional | Aclara el esmalte dental mediante geles blanqueadores. | Manchas leves a moderadas por tetraciclinas. | Varias sesiones, con mantenimiento domiciliario. |
| Carillas Dentales | Láminas de porcelana o composite que cubren la superficie del diente. | Manchas severas que no responden al blanqueamiento. | Colocación en una o dos visitas. |
| Microabrasión Dental | Elimina una fina capa de esmalte manchado. | Manchas superficiales. | Una sola sesión. |
Si te sientes identificado/a con esta situación y te gustaría acabar con el color grisáceo de tus dientes, te recomendamos visitar tu clínica dental más cercana, donde estudiaremos tu caso y te ofreceremos la mejor solución para que sonrías con total tranquilidad.
tags: #los #antibioticos #manchan #los #dientes