A día de hoy, una de las mayores preocupaciones de los pacientes es la estética y cómo lucirá su sonrisa durante el tratamiento. Si estás pensando en mejorar tu sonrisa con un tratamiento de ortodoncia, es probable que te hayas planteado recurrir a los brackets de zafiro, un tipo de brackets estéticos muy demandados hoy en día. Pero, ¿qué los hace especiales? En este artículo, exploraremos en detalle este tipo de brackets, sus ventajas y desventajas, y los compararemos con los brackets metálicos.

¿Qué son los Brackets de Zafiro?
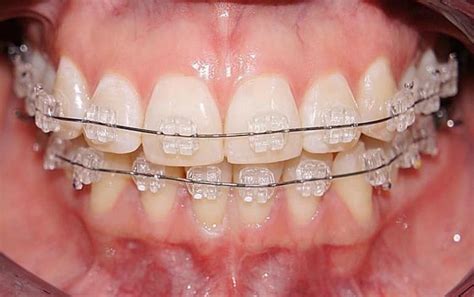
Los brackets de zafiro son un tipo de aparato dental que se utiliza para corregir la posición y la oclusión (mordida) de los dientes. La novedad que portan los brackets de zafiro es el material principal con los que están elaborados. Estos están hechos a partir de un zafiro sintético que tiene la misma estructura química y composición natural que el zafiro. Por ello son muy resistentes, ¡casi tanto como el diamante!
Los brackets de zafiro son transparentes, lo que los hace menos visibles que los brackets metálicos e, incluso, que algunos brackets de porcelana o cerámica. Los brackets de zafiro nacieron, fundamentalmente, con el propósito de reducir el impacto estético negativo que producía la ortodoncia metálica convencional.
Al igual que los brackets convencionales, los brackets de zafiro o blancos tienen como función enderezar la dentadura ejerciendo una ligera fuerza controlada en cada uno de los dientes del paciente. Los problemas bucodentales que solucionan los brackets en zafiro son la maloclusión, los dientes torcidos, los diastemas, la mordida abierta y la mordida cruzada, entre otros.
En Novasmile trabajamos con brackets estéticos para que los pacientes se vean mejor durante los meses del tratamiento de ortodoncia. En nuestras clínicas trabajamos con brackets estéticos cerámicos por su gran resistencia y efectividad a lo largo del tratamiento.
¿Cómo funcionan los brackets de zafiro?
El funcionamiento de los brackets de zafiro es similar al de otros tipos de brackets. La ortodoncia de zafiro funciona igual que el resto de aparatos basados en brackets.
La ortodoncia con brackets de zafiro está formada por piezas pequeñas que se fijan en cada diente mediante a un cemento dental, unidos por un arco metálico sujetos con un elástico en cada uno de los brackets.
- Brackets: Los brackets de zafiro se adhieren a la superficie frontal de los dientes mediante un adhesivo especial. Los brackets se adhieren al esmalte con un adhesivo especial.
- Arcos: Una vez que los brackets están adheridos a los dientes, se coloca un alambre metálico (arco) a través de todos ellos. Los arcos (uno por arcada) conectan todos los brackets entre sí y ejercen la fuerza necesaria para desplazar los dientes. El arco permite aplicar la fuerza a los brackets, para que puedan realizar los movimientos en los dientes. Esto se debe a que el arco se ajusta a lo largo del tratamiento para aplicar presión a los dientes.
- Ligaduras: Las ligaduras son unas gomas elásticas que sirven para conectar los brackets con el arco. Posteriormente, cada uno de estos brackets se une al arco con las ligaduras.
Esta presión provoca una reacción en los ligamentos periodontales y el hueso alrededor del diente, permitiendo que las piezas dentales se muevan hasta alcanzar la posición correcta.
Al igual que sucede con otros tratamientos de ortodoncia, los brackets de zafiro requieren revisiones periódicas (generalmente cada 4-6 semanas).
Si buscas una ortodoncia fija estética, tu mejor opción es elegir entre brackets de cerámica o zafiro. Los brackets de zafiro son transparentes, lo que hace que se mimeticen a la perfección con cualquier tonalidad dental.
Hoy en día, los brackets de zafiro se han convertido en uno de los tratamientos ortodóncicos más populares.
🔴Diferentes 𝗧𝗜𝗣𝗢𝗦 𝗗𝗘 𝗕𝗥𝗔𝗖𝗞𝗘𝗧𝗦 -¿Cual es mejor? (Metálicos, Autoligables, Esteticos y MUCHOS MAS)
Ventajas de los Brackets de Zafiro
Entre las ventajas de los brackets de zafiro, podemos encontrar:
- Estética: Su transparencia hace que sean mucho menos visibles que los brackets tradicionales. Una de las principales ventajas de los brackets blancos es que son completamente estéticos ya que, como hemos comentado, están elaborados a partir de un material químico con las mismas propiedades del zafiro natural, así que se aprecia un color transparente.
- Resistencia: Al contrario de lo que pueda parecer, el cristal de zafiro es un material muy resistente. El material del que están hechos (zafiro) es muy resistente y duradero, igualando casi su resistencia a las ortodoncias metálicas. Los brackets cerámicos están fabricados con porcelana en un tono marfil lo que hace que se mimeticen mejor con el color del esmalte dental natural.
- Comodidad: Aunque todos los brackets necesitan un pequeño periodo de adaptación, los de zafiro se caracterizan por ser especialmente cómodos. Además, el material sintético con el que están hechos tienen una superficie completamente lisa que evita las rozaduras durante todo el tratamiento, evitando incomodidades, pasando casi desapercibidos frente al mundo exterior.
- No se manchan: A diferencia de los brackets de cerámica o de plástico, que pueden teñirse con el paso del tiempo y con el consumo de ciertos alimentos o bebidas, los brackets de zafiro son altamente resistentes a las manchas. El zafiro es un material muy resistente, no solo en dureza sino también con su color. Este mineral no se tiñe con el tabaco, vino o café.
- Eficacia: Este tipo de tratamiento corrige todo tipo de malposiciones o problemas dentales. Además, los brackets de zafiro permiten corregir las mismas maloclusiones dentales que los metálicos: apiñamiento, mordida abierta, diastemas (dientes separados), sobremordida, mordida cruzada, etc.
- Adherencia: La adherencia o adhesión de este material al diente es muy alta.

Desventajas de los Brackets de Zafiro
Como ocurre con cualquier método de ortodoncia, la elección de los brackets de zafiro conlleva pros y contras. Y sobre las desventajas, podemos decir que con los brackets de zafiro encontramos un problema relacionado con el color, y es que si no se lleva una correcta higiene dental el color podría variar y coger un tono más amarillento, lo que haría que se notara más su presencia en la sonrisa.
- Precio más elevado: Esta es, probablemente, la principal desventaja de los brackets de zafiro. Debido a la calidad del material con que están elaborados, el precio es superior al de otro tipos de ortodoncia invisible. El precio es otro de los puntos en el que difieren estas dos soluciones, ya que los brackets de zafiro suelen ser algo más caros debido a su material y sus propiedades estéticas.
- No son 100% invisibles: Aunque los brackets de zafiro son muy discretos, no llegan a ser 100% invisibles. Aunque es muy discreta e, incluso, pasa desapercibida en distancias cortas, lo cierto es que hay otros tratamientos ortodóncicos aún más estéticos. Si el paciente desea un tratamiento de ortodoncia completamente invisible es necesario que se decante por los brackets linguales, que se colocan en la cara interna del diente.
- Ligaduras pueden teñirse: Aunque los brackets de zafiro no se tiñen, las ligaduras sí pueden mancharse con ciertos alimentos, bebidas o tabaco. Al ser transparentes, cualquier posible resto de comida llama más la atención, lo que hace que haya que prestar especial atención a las medidas de higiene.
- Mayor riesgo en actividades deportivas: En general, con cualquier tratamiento de ortodoncia fija (con brackets) resulta aconsejable utilizar protectores bucales al practicar deportes de contacto, por el riesgo de recibir un impacto y que los brackets se rompan o se claven en los tejidos blandos de la boca (labios, encías…). En cuanto a su uso diario, al igual que los otros tipos de ortodoncia fija, no es recomendado para personas que realizan actividades deportivas con regularidad porque pueden ocasionar mucho daño o romperse los brackets con impactos frecuentes con el equipo deportivo como pelotas, raquetas o bates. No son recomendables para pacientes que practiquen deportes de impacto.
- Tiempo de tratamiento: En algunos casos el tratamiento de ortodoncia con brackets de zafiro sugiere un periodo un poco más largo, ya que el alambre que se posiciona en las arcadas hace mayor fricción entre los dientes sugiriendo un movimiento más lento, a diferencia de otros tratamientos con brackets.
Brackets Cerámicos: Una Alternativa Estética
Sin embargo, los brackets cerámicos son una buena opción alternativa a los brackets de zafiro si estás buscando unos brackets estéticos. Los brackets cerámicos están fabricados con porcelana en un tono marfil lo que hace que se mimeticen mejor con el color del esmalte dental natural.
En Novasmile usamos brackets estéticos cuyo material posee una cerámica de generación avanzada, lo que hace que su adherencia al diente sea muy alta, además de la calidad y por tanto duración del bracket intacto y sin roturas.
El material de los brackets cerámicos es completamente recomendable ya que no dejan residuos y crean un sellado y ajuste perfecto en la unión diente-bracket, haciendo al diente menos propenso a caries e infiltraciones que puedan perjudicar tu salud bucal.
Con respecto al color del bracket, la ortodoncia de cerámica es más blanca y translúcida, por ello será ópticamente más similar al diente, además están diseñados para mimetizarse con esmaltes de color natural, perlado o blanco.
Con respecto a la tinción de los brackets cerámicos, resisten la coloración y las manchas a lo largo del tratamiento.
En cuanto al tamaño del bracket cerámico, presenta un diseño minimalista, con pequeñas dimensiones y un perfil bajo, minimizando esto el contacto con los tejidos blandos y reduciendo las molestias y llagas en tu boca.
Los brackets cerámicos son una buena opción tanto para niños como adultos. Con este tipo de brackets se busca una mayor estética y a su vez una calidad y confort de los materiales.
Brackets de Zafiro vs. Brackets de Porcelana
A simple vista, los brackets de porcelana y los de zafiro parecen similares, ya que ambos son muy discretos. Sin embargo, existen diferencias significativas:
- Resistencia: El cristal de zafiro es un material muy resistente y duradero, mientras que la porcelana es un material más frágil y que se adhiere peor al diente. Esto hace que los brackets se despeguen con mayor facilidad y que tengan más riesgo de romperse.
- Estética: Los brackets de zafiro son más transparentes que los de porcelana.
- Tinción: La porcelana es un material poroso que, con el paso de los meses, deja pasar la coloración de determinados alimentos y bebidas.
- Precio: Los brackets de zafiro suelen ser más caros que los de porcelana.
Brackets Metálicos vs. Brackets de Zafiro
La principal diferencia entre los brackets metálicos y de zafiro o blancos es que los metálicos, como su nombre indica, están hechos de metal, por lo que son menos resistentes a los golpes y menos discretos a la vista.
Llegados a este punto, no podemos decirte qué tipo de brackets son mejores: si los metálicos o los de zafiro. Los brackets metálicos pueden ser idóneos para una persona que esté buscando un aparato eficaz y económico.
- Estética: si priorizas la discreción, los brackets de zafiro pueden ser mejores.
- Comodidad: los brackets de zafiro son algo más cómodos que los metálicos, por lo que su proceso de adaptación también es más corto.
- Precio: los brackets metálicos son más asequibles.
Duración del Tratamiento y Precio
La duración de un tratamiento con brackets de zafiro varía según la complejidad de cada caso. Normalmente, los brackets se llevan entre 12 y 24 meses. Sin embargo, algunos factores como la severidad de la maloclusión y la edad del paciente pueden influir en la duración.
Al igual que sucede con el resto de aparatos, la duración de un tratamiento con brackets de zafiro depende del tipo de maloclusión y de su severidad. Por lo general, los pacientes suelen llevar los brackets de zafiro entre 12 y 18 meses.
El precio de la ortodoncia de zafiro varía en función de la duración del tratamiento. En general, el precio de los brackets de zafiro oscila en torno a los 3.000 y 5.000 euros en España.
A continuación, se presenta una tabla comparativa de los diferentes tipos de brackets:
| Tipo de Bracket | Estética | Resistencia | Precio | Duración del Tratamiento |
|---|---|---|---|---|
| Metálicos | Baja | Alta | Bajo | 12-24 meses |
| Cerámicos | Media | Media | Medio | 12-24 meses |
| Zafiro | Alta | Alta | Alto | 12-24 meses |
Cuidados y Mantenimiento de los Brackets de Zafiro
La ortodoncia con brackets de zafiro no requiere ningún cuidado especial más allá de los necesarios para cuidar cualquier ortodoncia.
- Higiene bucodental: Los brackets son unas piezas que favorecen la acumulación de comida a su alrededor. Es muy importante realizar una higiene rigurosa después de cada comida. cepillado de dientes, limpieza con cepillo interproximal, hilo dental y colutorio.
- Alimentación: Durante el tratamiento, el paciente puede continuar con su dieta habitual. Y es que, hay algunos alimentos que pueden provocar que el bracket se despegue o se caiga, al realizar un movimiento de palanca con los dientes.
- Revisiones ortodoncista: Cuando se lleva una ortodoncia hay que tener especial cuidado de no saltarse las visitas y revisiones al ortodoncista.