El blanqueamiento dental y las carillas figuran entre los tratamientos de odontología estética que están obteniendo unos resultados más interesantes para embellecer la sonrisa. Si deseas tener una sonrisa sana y estética debes cuidar tus dientes. Pero surge la pregunta: ¿es posible someterse a un blanqueamiento dental si ya llevas carillas dentales?
Veamos si es viable realizar un blanqueamiento dental con carillas y qué consideraciones debemos tener en cuenta.

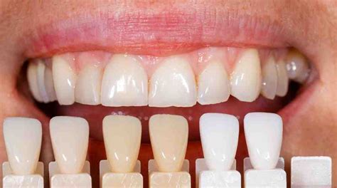
¿Qué son las carillas dentales?
Las carillas dentales son finas láminas de material, generalmente de porcelana o composite, que se adhieren a la parte frontal de los dientes. Su objetivo es mejorar la apariencia de la sonrisa corrigiendo problemas como decoloraciones, fracturas, espacios entre los dientes o malformaciones. Las carillas proporcionan resultados estéticos sorprendentes, transformando la sonrisa de manera rápida y efectiva.
Sirven para quitar las manchas y cerrar diastemas, esto es, la excesiva separación entre dos piezas dentales. Este tratamiento estético aporta un buen resultado gracias al uso de materiales como el composite y la porcelana.

Blanqueamiento dental y carillas: ¿Compatibles?
La respuesta a esta pregunta depende del tipo de carillas que tengas y de tus objetivos con respecto al blanqueamiento dental. Veamos dos escenarios comunes:
- Carillas de porcelana: Las carillas de porcelana son altamente resistentes a las manchas y mantienen su color original a lo largo del tiempo. Por lo tanto, si llevas carillas de porcelana, es importante tener en cuenta que estas no se verán afectadas por el blanqueamiento dental. El esmalte dental natural alrededor de las carillas podría blanquearse, pero el color de las carillas permanecerá constante.
- Carillas de composite: Las carillas de composite, aunque también son resistentes, pueden experimentar algún cambio de color con el tiempo debido a la exposición a ciertos alimentos, bebidas y hábitos como fumar. En este caso, es posible realizar un blanqueamiento dental para igualar el tono de los dientes naturales con el de las carillas de composite. Sin embargo, es importante tener en cuenta que las carillas no se blanquearán como lo haría el esmalte dental natural.
Como ves, si ya tienes manchas, decántate por el blanqueamiento dental o las carillas dentales que te ofrecemos en Vitaldent, pero siempre sin olvidar que la elección de uno u otro tratamiento te lo tiene que recomendar un profesional.
¿Qué factores causan manchas en las carillas?
Ciertos hábitos y algunos factores contribuyen a que las carillas pierdan su blancura con el pasar del tiempo. Conocer esos hábitos y factores te ayudará a tomar acciones para alargar la buena apariencia de las carillas.
- El consumo frecuente de bebidas como café, té, vino tinto, y alimentos como frutos rojos o salsas oscuras, puede manchar las carillas, especialmente si son de composite.
- El tabaquismo es otro factor significativo en la decoloración de las carillas. La nicotina y el alquitrán presentes en los productos de tabaco son conocidos por dejar manchas amarillentas en los dientes y carillas.
- Medicamentos, como los antibióticos tetraciclinas, pueden causar decoloración en los dientes y potencialmente afectar las carillas.
- Una higiene bucal deficiente puede causar la formación de placa en la superficie de las carillas, lo que puede darles un aspecto opaco.
- Con el pasar del tiempo, las carillas pueden sufrir desgaste, especialmente las de composite. Este desgaste puede hacer que la superficie de las carillas se vuelva más rugosa, lo que facilita la acumulación de manchas y la pérdida de brillo.
Las manchas o irregularidades en el color de los dientes son las principales razones por las que la mayoría de los pacientes opta por el blanqueamiento dental o las carillas para recuperar el blanco de su sonrisa.
¿Cómo mantener las carillas blancas y brillantes?
Mantener las carillas blancas y brillantes requiere de un cuidado adecuado y tener hábitos para prevenir la acumulación de manchas.
- Mantener una excelente higiene bucal. Esto incluye cepillarse los dientes al menos dos veces al día con una pasta dental no abrasiva y el uso de hilo dental.
- Usar productos diseñados específicamente para el cuidado de las carillas, como enjuagues bucales que ayudan a mantenerlas libres de manchas sin dañar su superficie y las pastas dentales formuladas para carillas que pueden ayudar a mantener su brillo sin causar abrasión.
- Visitar al odontólogo para controles regulares y limpiezas profesionales que mantengan las carillas en su mejor estado. Durante esos controles, el odontólogo podría realizar un pulido suave para eliminar manchas superficiales y restaurar el brillo de las carillas. Este procedimiento es especialmente útil para carillas de composite, que son más susceptibles a manchas.
Entre las ventajas de los blanqueamientos dentales profesionales que te hemos comentado figura una muy importante, y es que cuida tu salud bucodental. Antes de iniciar el tratamiento estético, el odontólogo realiza una evaluación para descartar la presencia de caries, enfermedades periodontales o cualquier otro tipo de problema oral.
COLOCACIÓN de CARILLAS de Porcelana👅#carillasdentales
Carillas de porcelana: Ventajas y desventajas
Las carillas de porcelana son uno de los tratamientos dentales estéticos más demandados en la actualidad. Entre otras cosas, debido a la mejora que aportan a la sonrisa, su resistencia y durabilidad a largo plazo.
Ventajas de las carillas de porcelana
- Estética natural: Están hechas de porcelana de alta calidad, que imita perfectamente el color, la translucidez y la textura del esmalte dental natural.
- Resistencia y durabilidad: Son muy resistentes y duraderas, pudiendo durar hasta 15 años o más con el cuidado adecuado.
- Procedimiento mínimamente invasivo: La colocación es un procedimiento mínimamente invasivo que no requiere de grandes tallados en el diente natural.
Desventajas de las carillas de porcelana
- Irreversibilidad: Una vez colocadas, las carillas de porcelana son irreversibles.
- Sensibilidad dental: Algunos pacientes pueden experimentar sensibilidad dental temporal después de la colocación de las carillas de porcelana.
- No son aptas para todos los casos: Las carillas de porcelana no son una solución para todos los problemas dentales.
Consideraciones importantes
- Consulta con tu dentista: Antes de decidirte por un blanqueamiento dental, es fundamental consultar con tu dentista. Un profesional evaluará el estado de tus carillas y te proporcionará recomendaciones personalizadas basadas en tu situación dental específica.
- Expectativas realistas: Es importante tener expectativas realistas sobre los resultados del blanqueamiento dental con carillas. Si llevas carillas de porcelana, es poco probable que experimentes un cambio significativo en el color de tu sonrisa. Por otro lado, si tienes carillas de composite, es posible que puedas igualar el tono de tus dientes naturales con el de las carillas.
Recuerda que debes tener en cuenta una serie de consideraciones para cuidarlas. A mis pacientes les aconsejo utilizar una férula de descarga para evitar excesivas tensiones sobre la porcelana.
En resumen, aunque las carillas dentales no se pueden blanquear de la misma forma que los dientes naturales, sí existen estrategias efectivas para mantenerlas con un aspecto brillante y saludable. La clave está en una buena higiene bucal, una dieta consciente y visitas regulares al dentista.
