¡Hola! Si estás leyendo esto, es probable que tú (o alguien cercano) tenga un diente partido por la mitad y estés preocupado. Como odontólogo con años de experiencia, sé lo alarmante que puede ser este momento. He visto muchos casos de dientes rotos, y la buena noticia es que casi siempre hay solución. En este artículo te explicaré de forma clara qué hacer si se te parte un diente, cuáles son las causas y consecuencias más comunes, y qué tratamientos existen para salvarlo (o reemplazarlo si no queda otra opción).
Tener un diente partido por la mitad es, básicamente, sufrir una fractura dental severa. Puede ocurrir en cualquier pieza (un incisivo frontal, un colmillo o una muela) y suele implicar que una parte notable del diente se ha quebrado o desprendido. A veces es una fisura visible que divide el diente en dos secciones; otras veces, el diente puede seguir en su sitio pero con una grieta que lo atraviesa verticalmente.
Un diente roto no atendido puede llegar a provocar problemas de salud bucal que se pueden evitar si se trata la fractura a tiempo. Para ello es aconsejable pedir una cita urgente con el dentista que sera el encargado de evaluar la profundidad de la fractura y ofrecer la solucion que mas se adapte a las necesidades del paciente.
Tipos de fracturas dentales
Existen diferentes grados de fracturas dentales y es necesario valorar en persona la gravedad del problema:
- Diente astillado o fisurado: Es la forma más leve. Solo una pequeña porción del esmalte se ha rajado o saltado. Podrías notar el borde del diente áspero o cortante, pero no ves un trozo grande separado.
- Fractura parcial de la corona: Aquí sí se ha caído un trozo del diente. Por ejemplo, se desprende una esquina o una parte de la cara visible. Notarás que “falta un pedazo” y podrías encontrar el fragmento. Sueles sentir sensibilidad al frío o calor porque la fractura puede exponer la dentina (la capa interna bajo el esmalte).
- Diente partido por la mitad (fractura grave): Es cuando al menos la mitad del diente se ha fracturado. Puede abarcar la corona entera e incluso extenderse hacia la raíz. A veces, el diente queda dividido en dos partes claramente separadas. Los síntomas típicos de un diente roto de esta magnitud incluyen dolor agudo (especialmente al morder), sensibilidad extrema si la fractura llega cerca del nervio, sangrado de encía alrededor del diente y a veces movilidad de la parte fracturada.
- Fractura radicular o “diente partido por dentro”: Aquí la grieta nace en la raíz debajo de la encía y sube hacia la corona. Es engañosa porque quizá no veas gran cosa externamente. Podrías tener dolor intermitente al masticar o sensibilidad, pero cuesta identificar cuál diente duele. Si la fractura de raíz alcanza la corona, en algún momento el diente puede partirse completamente.
- Avulsión (diente fuera de su sitio): Lo menciono por claridad. No es exactamente “partido por la mitad”, sino que el diente entero salió de su alveolo por el golpe. En estos casos, el diente ya no está en la boca.
En resumen, un diente fracturado puede ir desde una pequeña grieta hasta partirse en dos mitades. Cuanto más profunda y extensa la fractura, más grave es la situación. Pero incluso un diente partido en dos muchas veces se puede arreglar si actuamos a tiempo.
¿Cómo se produce la rotura de dientes?
La rotura de los dientes puede darse en cualquier edad, desde los mas mayores a los mas pequenos, debido a que son muchas las causas por las que se puede producir una rotura de una pieza dental.
Existen diferentes motivos por los cuales se pueden romper los dientes:
- Traumatismos o golpes: La razón número uno. Un accidente de coche, una caída, un balonazo jugando fútbol o básquet, o incluso una pelea, pueden causar un impacto directo en la boca. Los traumatismos deportivos son especialmente comunes; de hecho, el Consejo General de Dentistas de España advierte que muchos traumatismos dentales ocurren practicando deporte de contacto, y recomienda usar protector bucal. Un golpe fuerte puede fracturar el diente o incluso sacarlo completo.
- Morder objetos duros: ¿Te suena eso de partir nueces con los dientes? ¿O masticar hielo, huesos, caramelos muy duros o abrir cosas con la boca? Son hábitos muy arriesgados. Una presión excesiva al morder algo duro puede ocasionar desde un diente astillado hasta partirlo en dos. Tambien pueden darse debido a masticar algo duro y que al morder demasiado fuerte se pueda provocar una rotura del diente, por lo que es debes evitar el uso de los dientes para acciones como abrir botellas o masticar huesos, frutos secos, caramelos, etc.
- Caries profundas no tratadas: Una caries grande debilita la estructura del diente desde adentro. Cuando la caries destruye mucha dentina, el esmalte queda como una cáscara frágil. Un diente con una gran caries o infección podría fracturarse incluso con una mordida normal de algo blando, simplemente porque ya estaba muy débil. Por eso insisto tanto en prevenir y tratar las caries a tiempo (¡las caries no solo causan dolor de muela, también parten dientes si avanzan demasiado!). A su vez, los dientes con caries suelen ser mas debiles por lo que son mas propensos a romperse. Para evitarlo se aconseja prevenir con buenos habitos diarios y tener revisiones periodicas con el dentista para descartar caries.
- Bruxismo (rechinar o apretar los dientes): El hábito de rechinar los dientes por la noche o apretar la mandíbula constantemente desgasta y fisura las piezas dentales. Con el tiempo, el bruxismo genera pequeñas grietas en el esmalte y microfracturas. Si no se usa una férula de descarga y el hábito continúa, esas fisuras pueden propagarse. El bruxismo es otra de las causas por las que se puede llegar a fracturar un diente, la constante presion de los dientes asociada al bruxismo provocan desgaste en los dientes, lo que puede conllevar a la rotura de estos con mas facilidad.
- Empastes antiguos o endodoncias sin protector: Irónicamente, dientes que ya tuvieron tratamientos también pueden romperse más fácil. Si tienes una restauración muy grande (un empaste amplio) en una muela, esa pieza es más propensa a fracturarse por el tamaño de la cavidad. Lo mismo va para dientes endodonciados (con el nervio tratado): después de una endodoncia el diente queda más frágil y casi siempre recomendamos cubrirlo con una corona.
- Mordida desalineada (maloclusión): Cuando la mordida no encaja bien, ciertos dientes reciben más carga de la debida. Esa distribución desigual de fuerzas al masticar puede ir fisurando piezas puntualmente. No es la causa más común, pero influye.
- Desgaste y edad: Con los años, nuestros dientes pasan por mucho. El esmalte puede tener pequeñas grietas por cambios térmicos (tomar cosas muy calientes y luego muy frías) o por el simple desgaste diario. Por ultimo, la descalcificacion o falta de calcio produce que el esmalte dental y otras partes del diente esten mas debiles y por lo tanto tengan mas facilidad para romperse, en este caso se recomienda vigilar los nutrientes que se ingieren con analiticas de sangre de vez en cuando y tener buenos habitos alimenticios y de higiene dental.
En mi experiencia, la combinación de factores es común. Por ejemplo: una muela con un gran empaste y además el paciente aprieta los dientes - ese combo tarde o temprano puede acabar en fractura.
La buena noticia es que con buenos hábitos (protector bucal, evitar morder hielo, tratar caries) se pueden prevenir muchas fracturas.

COMO PEGARSE UN DIENTE ROTO O CORONA DENTAL 🚨 🚨 🚨 DESPEGADA COMO MEDIDA DE URGENCIA
¿Que debo hacer si se me rompe un diente?
Lo primero que te voy a pedir es calma. Sé que ver un diente roto asusta (¡y duele!), pero mantener la cabeza fría te ayudará a salvar esa pieza.
Si se te ha roto parcialmente un diente esto es lo que debes de hacer:
- Conserva cualquier fragmento del diente: Si se te ha caído un trozo, búscalo y recupéralo. Ese pedazo podría ser pegado de nuevo por el odontólogo si se maneja adecuadamente. ¿Cómo guardarlo? Lo ideal es mantenerlo húmedo para que las células no se sequen. Lo mejor es sumergir el fragmento en un vasito de leche fría (la leche entera preserva bien las células del diente). Si no tienes leche a mano, puedes mantenerlo en tu propia saliva: por ejemplo, coloca el fragmento dentro de tu boca, entre la mejilla y las encías (¡cuidado de no tragarlo!). Otra opción es usar suero fisiológico si tienes un botiquín cerca. Evita el agua del grifo como medio, úsala solo de último recurso - el cloro y otras sustancias del agua corriente pueden dañar el tejido dental. Guarda el trozo de diente roto en suero fisiologico o leche, es importante mantenerlo hidratado para que se pueda volver a adherir a tu diente.
- Enjuaga tu boca cuidadosamente: Enjuágate con agua tibia para limpiar la zona. Esto elimina restos de sangre, fragmentos sueltos o suciedad del accidente. Si puedes, haz un enjuague suave con agua salada (una cucharadita de sal en un vaso de agua tibia) para ayudar a desinfectar. No uses enjuagues fuertes con alcohol en este momento, podría irritar más. Enjuaga tu boca con suavidad para asi eliminar los restos de suciedad que se encuentren en la boca.
- Controla el sangrado (si lo hay): Es común que un diente roto sangre por la encía cercana. Toma una gasa estéril o un pañuelo limpio, colócalo sobre la zona que sangra y haz presión suave pero firme durante unos minutos. Eso suele detener el sangrado de encías menores.
- Aplica frío en la cara: Pon una compresa fría o bolsa de hielo envuelta en paño sobre la mejilla, justo afuera de la zona afectada. El frío reduce la inflamación y adormece un poco el área para disminuir el dolor. Una vez realizado este proceso, puedes calmar la hinchazon poniendo una compresa fria en la zona afectada y/o tomando un antiinflamatorio de prescripcion libre en farmacias para evitar la inflamacion en la zona afectada.
- Evita masticar o tocar el diente: Trata ese diente con mucha delicadeza. No lo toquetees con la lengua o los dedos, eso puede moverlo más si está inestable o causar más dolor. Por supuesto, no trates de “pegar” el trozo por tu cuenta con pegamentos caseros (he visto pacientes intentar pegar un diente con superglue - ¡por favor no hagas eso!).
- Si el nervio quedó expuesto, protégelo: A veces al partirse el diente, ves un puntito rojo en el centro de la cavidad: es la pulpa (el nervio) expuesto. Esto duele mucho y es una puerta abierta a infección. Si sospechas que la fractura dejó al nervio al aire (por el dolor intenso o porque lo ves), cúbrelo temporalmente hasta que te atienda el dentista. Puedes usar un material de obturación temporal que venden en farmacias (son unos cementos dentales provisionales) siguiendo las instrucciones. Si no consigues, coloca un poco de cera dental (por ejemplo, cera de ortodoncia) encima de la zona rota a modo de parche protector. Incluso mascar un chicle sin azúcar y pegar el chicle sobre el diente roto sirve de emergencia para tapar el agujero y proteger la pulpa unas horas.
- Toma un analgésico si el dolor es muy fuerte: Medicamentos de venta libre como ibuprofeno o paracetamol pueden ayudar a controlar el dolor y la inflamación ligera. Siempre que no tengas alergias y siguiendo las dosis recomendadas en el prospecto, un analgésico te dará alivio camino al dentista.
- Llama a tu dentista de inmediato (urgencia dental): No dejes pasar el tiempo. Contacta cuanto antes una clínica dental de urgencias y explícales lo ocurrido: “Se me partió un diente por la mitad, tengo el fragmento conmigo (o no lo tengo), fue por un golpe/hace X horas”. Este paso es crucial. Un diente fracturado no es algo que deba esperar días, porque existe riesgo de infección en la pulpa que puede extenderse a la encía y hueso. Idealmente, deberías ver al odontólogo en las primeras 24 horas (o inmediatamente si es posible). Cuanto más pronto llegues, mayores son las chances de salvar el diente y menor el dolor o complicación. Acude a tu dentista lo antes posible para valorar la gravedad de la fractura, recuerda llevar el trozo de diente para restaurar tu diente roto.
La actuación inmediata ante un diente roto marca la diferencia. Mantén la calma, rescata el fragmento, limpia y protege la zona, y acude al dentista lo antes posible. Estos primeros auxilios ayudarán a que el posterior tratamiento sea más sencillo y exitoso.
¿Que debo hacer si por un impacto fuerte ha ocurrido una avlusion dental?
Si por un impacto fuerte ha ocurrido una avlusion dental y el diente se ha salido por completo (se ve la raiz del diente) esto es lo que debes de hacer:
En estos casos mantener la calma es importante, lo mismo que actuar rapido.
- Lava el diente sin tocar la raiz con mucho cuidado de no frotar, pues en la raiz se encuentra tejido conectivo que puede ayudarnos a la supervivencia del diente al reimplantarlo, de aqui en adelante hay 2 opciones:
- Opcion 1: coloca el diente de nuevo en su lugar, inserta la raiz y coloca el diente ln la posicion en la que estaba antes del accidente, presiona suavemente con una gasa y acude de urgencia a un centro odontologico.
- Opcion 2: guarda el diente en leche desnatada, mantenerlo hidratado es vital, recuerda no tocar la raiz y acude en menos de 2 horas tu dentista para que lo pueda reinsertar en su sitio.
Opciones para reparar un diente roto
Gracias a la odontologia moderna, hay diferentes soluciones para reparar un diente roto, es necesario saber el grado de fractura que ha sufrido. De esta manera el dentista podra tratar mejor el problema al dar una solucion mas efectiva.
Cuando llegues al consultorio dental, lo primero que haré (o hará cualquier odontólogo) es evaluar la gravedad de la fractura con examen clínico y, normalmente, una radiografía. Esto nos permite ver si la raíz está afectada y hasta dónde llega la rotura. La meta principal será siempre salvar tu diente natural si existe posibilidad.
Tratamiento para fracturas leves
Si solo se ha astillado una parte del esmalte o se desprendió un fragmento pequeño, la solución suele ser sencilla y mínimamente invasiva. En estos casos no hace falta anestesia muchas veces.
- Adhesión del fragmento: Si todavía tienes el trozo de diente y está en buen estado, a veces podemos pegarlo de nuevo. Se limpia el fragmento y el diente, y con un material adhesivo especial (resinas compuestas) se adhiere el pedazo en su sitio original. Esto solo se logra si la fractura encaja perfectamente y el fragmento no está contaminado ni han pasado muchas horas; por eso insistimos en conservarlo en leche o saliva.
- Reconstrucción con composite: Si no se puede reinsertar el pedazo (porque se perdió, se astilló en micro pedazos, o simplemente la unión no “pega”), entonces reconstruimos la parte faltante con un material de resina composite. El composite es una especie de “empaste blanco” del color del diente que moldeo para reponer la forma original de la zona rota. Primero preparo la superficie, aplico un adhesivo, y luego voy colocando capas de resina hasta darle la anatomía correcta. Finalmente se pule para que quede liso.
- Limado y pulido: En algunos casos de fisuras muy finas en el esmalte sin pérdida de estructura, basta con un limado y pulido de la zona. Pasar una fresa para alisar el borde quebrado y quitar la grieta superficial. Esto elimina filos cortantes y previene que la fisura se profundice.
Este tipo de tratamiento es rápido. En una sola cita saldrás con tu diente reparado. No duele (o las molestias son mínimas) y la pieza recupera su estética y función casi al 100%.
Tratamiento para fracturas moderadas
Aquí hablamos de un diente que perdió una porción considerable, pero el nervio dental no quedó al descubierto. Puede doler por la cercanía a la pulpa y por la fractura en dentina, pero el pronóstico de salvar el diente es bueno.
- Adhesión del fragmento: Al igual que en las fracturas leves, si el paciente trae el pedazo de diente y encaja bien, la primera opción es intentar recolocar el fragmento con técnicas adhesivas. He logrado reponer mitades de dientes frontales con resultados sorprendentes, prácticamente como si no hubiera pasado nada, siempre que la unión esté limpia.
- Reconstrucción con composite: Si no hay fragmento disponible o no es viable pegarlo, entonces hacemos una reconstrucción directa. Con resina composite se restaura la zona faltante. En dientes anteriores, esto es similar a poner un empaste estético.
- Incrustación (inlay/onlay): Las incrustaciones son restauraciones a medida (de porcelana o composite hecho en laboratorio) que encajan en la parte faltante del diente. Piensa en ello como un “puzzle”: tomamos un molde o escaneo del diente roto y en laboratorio fabrican la pieza que falta. Luego la cementamos en tu diente. Es una solución intermedia entre un empaste y una corona. Se utiliza cuando la fractura es amplia pero queda suficiente diente sano alrededor. Las incrustaciones de porcelana/disilicato son muy resistentes y precisas, excelentes para muelas fracturadas donde no quieres cubrir todo el diente con una corona.
- Corona parcial o completa: Si la fractura abarca más de 1/2 de la corona, probablemente se necesite una corona dental. Una corona es una cubierta en forma de diente (puede ser de porcelana, cerámica, zirconio, metal-porcelana, etc.) que se coloca cubriendo lo que queda de tu diente natural, fortaleciéndolo. Para eso, primero reconstruimos cualquier base faltante y tallamos el diente, luego tomamos molde y en la siguiente cita cementamos la corona definitiva. Las coronas protegen contra futuras fracturas y devuelven la anatomía al 100%. Suelo indicarlas cuando la estructura remanente está débil o cuando un empaste grande no sería suficiente.
Un diente con fractura moderada sí tiene solución en prácticamente todos los casos mediante estos métodos. El diente queda funcional y estético. Es posible que necesites 1 o 2 visitas dependiendo si hacemos algo directo (una sola cita) o una corona/incrustación (dos citas normalmente). Lo importante: el nervio sigue vivo, así que si logramos sellar bien el diente y protegerlo, debería seguir sano.

Tratamiento para fracturas que alcanzan la pulpa dental
Si la línea de fractura alcanza la pulpa dental (es decir, el nervio del diente), el escenario cambia un poco. Sueles saber que este es el caso cuando el dolor es intenso y constante después del golpe, o si ves directamente el tejido rojizo del nervio en la fractura.
- Endodoncia: Consiste en remover la pulpa dañada del interior del diente. Es decir, limpiamos el espacio interno (los conductos radiculares) para eliminar el nervio que se expuso o se lesionó con la fractura. Se hace bajo anestesia local, así que no sentirás dolor durante el procedimiento. Con pequeñas limas y soluciones, se desinfectan bien los conductos y luego se sellan con un material de relleno. La Asociación Americana de Endodoncistas (AAE) explica que tratar un diente fracturado con un conducto radicular es similar a hacer un empaste profundo.
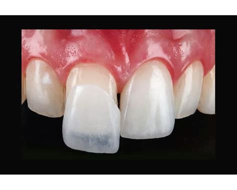
- Carilla dental: en este caso si la rotura es en un diente frontal, las carillas son una excelente opcion para restaurar la apariencia de un diente roto. Son hechas a medida de porcelana o composite (resina compuesta), y son una solucion estetica y restauradora bastante popular para devolver la apariencia natural a un diente. Se puede colocar una carilla estética.
- Implante dental: el implante dental en estos casos se utiliza cuando la fractura no tiene buen pronostico, es un proceso en el que el dentista extrae el diente roto y en su lugar colocan un implante, para posteriormente colocar una corona.
- Corona dental: pueden ser utiles para cubrir gran parte de un diente afectado, siendo una de las soluciones mas convenientes para los dientes rotos en la zona posterior de la boca. Las coronas son mas gruesas que las carillas y restauran la forma y apariencia del diente, suelen estar hechas de metal, porcelana y ceramica.
- Tratamiento de conducto o endodoncia: si se tiene un diente roto en el que la pulpa esta afectada por el grado de fractura, tu dentista podra valorar la necesidad de una endodoncia para evitar o tratar una infeccion en el diente. En este caso se debe realizar una endodoncia y posteriormente colocar sobre la pieza natural una funda de porcelana.
- Empaste u obturacion dental: son uno de los procedimientos dentales mas seguros que utilizan los dentistas para reparar dientes rotos.
Aun así, en caso de que ya hayamos desarrollado una caries, es importante no dejar de acudir al dentista para que la empaste a tiempo. De este modo, no solo se evitará el riesgo de rotura dental, sino que requiramos otros tratamientos más profundos, como una endodoncia.
Si necesitas nuestra ayuda, puedes llamar a las clínicas dentales para ser valorado y tratado por un odontólogo experimentado en tu caso. Contamos con clínicas en, prácticamente, toda España y horarios amplios e ininterrumpidos para tratar problemas dentales de manera urgente.