Tener los dientes torcidos es una preocupación estética y funcional que afecta a muchas personas, tanto niños como adultos. A pesar de que a todos nos gustaría tener una sonrisa perfecta, es muy habitual presentar los dientes torcidos.

Pero, ¿alguna vez te has preguntado por qué se tuercen los dientes? En este artículo, exploraremos las causas más comunes de los dientes torcidos y las soluciones disponibles para corregir este problema.
Causas de los Dientes Torcidos
1. Herencia Genética
Una de las razones más comunes es la herencia genética. La herencia genética influye en el desarrollo de los huesos de la cara y en la posición de los dientes. Si tus padres o abuelos tienen dientes apiñados o mal alineados, es probable que tú también desarrolles una sonrisa similar. Además, la genética puede influir también en el tamaño de la boca.
2. Falta de Espacio en el Maxilar
Para que la alineación de los dientes sea correcta, estos requieren de espacio para poder colocarse. En una boca pequeña los dientes no tienen suficiente espacio en el hueso maxilar para erupcionar correctamente. Podemos afirmar que la causa primordial es la falta de espacio.
3. Hábitos Infantiles Perjudiciales
Además de los genes, hábitos que se van adquiriendo desde el nacimiento también pueden llevar a alteraciones. Algunos hábitos orales en la primera infancia pueden afectar el desarrollo adecuado de los dientes y huesos. El uso de chupetes es uno de ellos, pero no es el único. Los hábitos que provocan una posición antinatural de la boca se pueden intentar eliminar pero no siempre es fácil. Chuparse el dedo pulgar, usar el chupete más allá de los 2-3 años, respirar habitualmente por la boca en lugar de la nariz o tener una deglución atípica (empujar los dientes con la lengua al tragar) son costumbres que pueden ejercer presiones anormales sobre la encía y los dientes en formación.
4. Pérdida o Retención de Dientes de Leche
El momento en que se caen los dientes de leche es crítico. Los dientes de leche cumplen una función importante: mantener el espacio necesario para la salida de los dientes permanentes. Si un diente de leche se cae o se extrae demasiado pronto, los dientes adyacentes pueden moverse y invadir ese espacio vacío; entonces, cuando quiera salir el definitivo, encontrará menos sitio y podría desviarse de su ruta. Por el contrario, si un diente de leche no se cae a tiempo y el permanente comienza a salir, pasa lo que mencioné antes: “diente de tiburón” o doble fila. El diente nuevo, al no poder ocupar su lugar, acaba saliendo por detrás o delante del de leche, dejando una sonrisa con piezas duplicadas.
5. Otros Factores
Aunque es posible que nunca lleguen a erupcionar, las muelas del juicio -también llamadas cordales- pueden provocar apiñamiento. Esto se debe a que salen a partir de los 18 años, aproximadamente, una edad en la que el resto de dientes han erupcionado por completo. En niños, también puede influir la existencia de dientes incluidos. También conocidos como dientes retenidos o impactados, son aquellos que no han llegado a erupcionar. Aunque cualquier diente puede quedarse incluido, lo más habitual es que este problema se produzca en las muelas del juicio (como hemos explicado en el punto anterior) y en los caninos (colmillos) superiores. En ocasiones, también puede ser que las caries, los traumatismos o las lesiones produzcan la caída de dientes. Cualquier tipo de trauma facial puede provocar el desplazamiento de los dientes.
Problemas Asociados con los Dientes Torcidos
Una dentadura torcida no es simplemente un inconveniente estético. Muchas veces, conlleva más problemas:
- Dolores en la cabeza o cuello: se producen a causa de tensiones innecesarias en el maxilar superior y la mandíbula.
- Alteraciones en el habla: es un problema habitual en los niños pequeños que están comenzando a desarrollar sus habilidades fonéticas.
- Dificultades en la masticación: los dientes torcidos producen una mala oclusión que, si es muy severa, puede impedir que la comida se mastique correctamente.
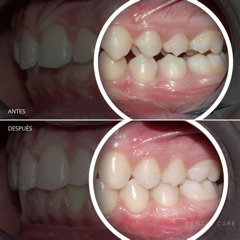
Soluciones para Corregir los Dientes Torcidos
Es importante visitar al ortodoncista para saber cuál es la mejor manera de corregir los dientes torcidos. Como hemos analizado anteriormente existen tratamientos que corrigen la posición de los dientes torcidos en los niños. Esto suele conllevar muchos cambios favorables para el desarrollo general ampliamente demostrados, a veces mejora en la alimentación, en la postura, en la masticación o en la respiración, que benefician altamente a la salud y el desarrollo general de los niños. El tratamiento de ortodoncia da resultados sorprendentes en cualquier tipo de maloclusión. Actualmente, el nivel de tecnología y medicina permite la corrección efectiva incluso de defectos muy grandes.

En la odontología encontraremos diferentes tratamientos que incluyen, a su vez, diferentes tipos de Brackets y aparatos tradicionales y hasta la ortodoncia invisible.
1. Ortodoncia con Brackets
Los brackets son una de las opciones más populares para corregir esta condición en niños y adolescentes (a partir de 11-12 años). Son aparatos fijos, que utiliza materiales como metal, circonio, cerámica o zafiro, y cuya función es ejercer presión y transmitir a los dientes la tensión necesaria para corregir su posición de forma gradual y controlada. Consisten en aparatos fijos que pueden ser de varios materiales como metal, cerámica o zafiro.
Como Funcionan los Brackets | Dr. Josué Mejía
2. Ortodoncia Invisible
A pesar de la amplia variedad de brackets que existen, también hay quien prefiere otros tratamientos. Así, muchos adultos optan por una ortodoncia invisible. La ortodoncia invisible, una de las opciones más populares sobre todo en adultos que quieren corregir los dientes torcidos, se lleva acabo mediante alineadores transparentes extraíbles que se sustituyen cada 15 días aproximadamente. Hoy día es posible llevar a cabo los tratamientos de los niños de una forma cómoda y sencilla con Alineadores transparentes, muy cómodos y fáciles de llevar para los niños. Se trata de unas férulas transparentes y removibles que se sustituyen cada dos semanas. Esta opción es mucho más estética gracias al material transparente con el que se hacen las férulas, que disimula por completo el aparato. Es una de las soluciones más demandadas por su estética y comodidad. Siguen siendo muy eficaces para corregir casos complejos.
3. Carillas Dentales
Las carillas también son una opción para aquellas personas que deseen enderezar los dientes torcidos sin necesidad de brackets. Se trata de una solución sin brackets a los dientes torcidos, pero siempre y cuando se trate de un caso leve. ¿Qué significa esto? Que se trate de piezas dentales ligeramente descolocadas, permitiendo que las carillas otorguen un aspecto homogéneo y alineado con el resto de dientes. Las carillas son unas finas láminas que se colocan solo en los dientes frontales, ya que son los más visibles al sonreír.
¿A Qué Edad se Pueden Corregir los Dientes?
Generalmente los dientes de leche han de presentarse muy espaciados, cuanto más mejor, ya que esto supone uno de los mecanismos que la naturaleza dispone para que luego nos quepan los dientes definitivos. Es habitual que los padres nos digan, “tenía los dientes de leche perfectos y los definitivos le están saliendo fatal”. Esto siempre va a ser así. A partir de los 5 o 6 años se empiezan a caer los dientes de leche y empiezan a salir los definitivos. Por tanto, una revisión de estos acontecimientos es muy aconsejable, ya que el Ortodoncista es capaz de detectar los primeros signos de mala oclusión o mal alineamiento, cuando los primeros dientes están erupcionando. Ya entre los 7 y 8 años se deben de haber caído varios dientes de leche y ser más evidentes para los padres, que los dientes no están erupcionando y encajando donde deben. Puede ser hora de actuar y corregir dientes torcidos en niños.
tags: #los #dientes #torcidos #son #hereditarios