¿Has notado una mancha negra en la encía de tu bebé? En Dental Care Barcelona, somos conscientes de que muchos padres pueden sentir preocupación por este tipo de cambios en la salud bucal de sus hijos. Una mancha negra en la encía es una zona de pigmentación oscura que puede aparecer en cualquier parte de la encía. Aunque puede ser alarmante descubrir una mancha negra en la boca de tu hijo, es importante entender que no siempre indica un problema grave de salud.
Algunas manchas son pequeñas y puntuales, mientras que otras pueden ser más grandes y abarcar una superficie mayor de la encía. También pueden tener diferentes formas, desde redondas hasta irregulares. En muchos casos, las manchas negras en las encías son simplemente áreas de pigmentación natural. Algunas personas tienen una mayor cantidad de melanina en ciertas partes de su encía, lo que puede causar estas manchas. A menudo, estas manchas son indoloras y no presentan otros síntomas como hinchazón o sangrado.
Sin embargo, la falta de dolor no debe ser un motivo para ignorar la mancha. Es crucial consultar con un dentista o un periodoncista para determinar la causa exacta y el tratamiento adecuado.
ENCÍAS INFLAMADAS en BEBÉS 😷👶🏻 ¡CUIDADO! ¿Cómo Tratar la Gingivitis en Niños?
Posibles Causas de las Manchas Negras en las Encías
Diversos factores pueden contribuir a la aparición de manchas negras en las encías. Las manchas negras en las encías pueden ser el resultado de diversas causas, incluyendo:

1. Melanosis Gingival
Una de las causas más comunes de manchas negras en la encía es la melanosis gingival. Esta condición benigna se caracteriza por un aumento de la producción de melanina en los tejidos de la encía, lo que provoca la aparición de manchas oscuras. Aunque puede ser más común en personas de piel oscura, puede afectar a personas de cualquier tono de piel.
2. Hiperpigmentación
Otra causa posible es la hiperpigmentación de la encía, que puede ser causada por varios factores, como la genética, el tabaquismo, la exposición al sol y ciertos medicamentos. Estas manchas oscuras pueden variar en tamaño y coloración y pueden aparecer en diferentes áreas de la encía.
3. Traumatismo
Los traumatismos o lesiones en la encía pueden causar la formación de manchas negras debido a la acumulación de sangre coagulada en el área afectada. Estas manchas suelen ser temporales y tienden a desaparecer a medida que la lesión sana.
4. Enfermedad Periodontal
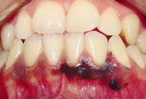
En casos menos comunes, las manchas negras en la encía pueden ser un signo de enfermedad periodontal, como la gingivitis o la periodontitis. Estas condiciones se caracterizan por la inflamación e infección de los tejidos de soporte de los dientes, lo que puede provocar la formación de manchas oscuras en la encía, junto con otros síntomas como sangrado, hinchazón y mal aliento.
5. Melanosis del fumador
La melanosis del fumador es una condición en la que la pigmentación de las encías aumenta debido al consumo de tabaco. Esta pigmentación es causada por el aumento de melanina en respuesta a la irritación continua del tabaco. Las manchas suelen ser de color marrón oscuro o negro y aparecen en áreas de las encías que están en contacto directo con el humo del tabaco.
6. Amalgama dental
La amalgama dental es un material utilizado en empastes que contiene mercurio, plata y otros metales. Durante los procedimientos dentales, pequeñas partículas de amalgama pueden incrustarse en las encías, provocando una decoloración conocida como «tatuaje de amalgama». Estas manchas son generalmente inofensivas y se presentan como puntos negros o grises cerca del sitio del empaste.
7. Medicamentos
Algunos medicamentos pueden inducir pigmentación en las encías como efecto secundario. Medicamentos como la minociclina (un antibiótico), ciertos antimaláricos, y medicamentos antirretrovirales pueden causar manchas oscuras en las encías. Esta pigmentación es generalmente benigna y puede ser reversible al suspender el medicamento, aunque siempre debe hacerse bajo la supervisión de un médico.
8. Nevus melanocítico
El nevus melanocítico, o lunar, es una acumulación de células productoras de pigmento (melanocitos) que puede aparecer en las encías. Estas manchas suelen ser de color marrón o negro, de forma redondeada o irregular, y pueden estar presentes desde el nacimiento o desarrollarse a lo largo del tiempo.
9. Melanoma oral
El melanoma oral es una forma rara pero grave de cáncer que puede manifestarse como una mancha negra en las encías. Este tipo de melanoma puede ser agresivo y requiere atención médica inmediata. Las manchas asociadas con el melanoma oral pueden cambiar de color, tamaño o forma, y pueden estar acompañadas de otros síntomas como dolor, sangrado o crecimiento rápido.
Manchas Negras en los Dientes de Bebés y Niños
Las manchas en los dientes de leche pueden deberse a causas internas o externas. El odontopediatra es el profesional que debe valorar el origen de las coloraciones y su tratamiento. En algunos casos, la aparición de manchas se puede prevenir, mientras que en otros se debe a alguna patología, lesión o un efecto adverso de algún fármaco.
Las manchas en los dientes de bebés y niños pequeños pueden adquirir diferentes tonalidades, desde manchas blancas hasta coloraciones amarillas, marrones, grisáceas y negras. Aunque se trata de casos poco frecuentes, también pueden observarse manchas verdes y de color rojo debido a ciertas patologías.
Causas Comunes de Manchas en los Dientes de los Niños
- Traumatismos: Una fractura o un golpe fuerte en el diente puede provocar cambios en la coloración de la pieza afectada. Estas pueden adquirir una tonalidad rosada, amarillenta, marrón grisáceo o incluso negra.
- Caries: Las manchas pueden ser un síntoma de caries infantil incipiente. Estas caries suelen manifestarse como ligeras coloraciones localizadas en el área del diente más próxima a la zona de la encía.
- Higiene Bucodental Inadecuada: Una higiene bucodental inadecuada en los primeros años de vida puede provocar la formación de placa bacteriana en la superficie dental y su mineralización en cálculo dental.
- Fluorosis: Si se ingiere flúor en grandes cantidades y por un tiempo prolongado durante el periodo de formación de los dientes puede dañar el esmalte de los dientes.
- Medicamentos: Al hablar de fármacos, el principal que suele provocar este efecto adverso es la tetraciclina.
- Enfermedades: Patologías como la atresia biliar pueden provocar manchas verdes o amarillas en los dientes de leche, mientras que la hepatitis neonatal puede ocasionar una coloración amarillenta o marrón.
Tratamientos para las Manchas Negras en las Encías
Una vez que hemos determinado la causa de la mancha negra en la encía, desarrollamos un plan de tratamiento personalizado para abordar el problema de raíz. El tratamiento para eliminar las manchas negras dependerá de la causa que las origina.

- Eliminación de tatuajes de amalgama: Para manchas causadas por partículas de amalgama, podemos realizar un procedimiento para eliminar estas partículas de las encías.
- Cirugía menor: En casos más graves, como un nevus melanocítico sospechoso o melanoma oral, podemos realizar una cirugía menor para extirpar la mancha y enviar una muestra para biopsia.
- Limpieza dental profesional: Para la mayoría de las manchas extrínsecas (pigmentos de tabaco, café, sarro superficial, manchas por suplementos), la solución inicial es una limpieza dental profesional.
- Empaste dental (obturación): Si determinamos que la mancha negra era una caries, entonces hay que tratar la caries cuanto antes.
- Blanqueamiento dental profesional: Cuando los dientes presentan manchas generalizadas o un tono amarillento/marrón oscuro debido a hábitos, un blanqueamiento dental profesional puede ser la solución ideal.
- Carillas: Las carillas son finas láminas de porcelana o composite que se pegan en la cara visible del diente para mejorar su apariencia.
- Endodoncia: Si el diente se ha oscurecido por dentro debido a un golpe o una infección del nervio, primero hay que realizar una endodoncia (tratamiento de conducto) para eliminar el nervio muerto y limpiar el interior del diente.
Prevención de las Manchas Negras en las Encías
La prevención es clave para mantener una buena salud bucal y evitar la aparición de manchas negras en las encías. Una higiene bucal adecuada es fundamental para prevenir una amplia gama de problemas dentales, incluidas las manchas negras en las encías.
Consejos para la Prevención
- Higiene oral estricta diaria: Cepíllate los dientes al menos dos veces al día (lo ideal, después de cada comida principal) usando una buena técnica. No olvides limpiar entre dientes con hilo dental o cepillos interdentales, ya que allí se acumula placa que luego forma sarro oscuro.
- Limpieza dental profesional periódica: Aunque tengas buena higiene en casa, siempre queda algo de sarro con el tiempo. Agenda una limpieza con tu dentista cada 6-12 meses.
- Modera o evita los agentes que manchan: Reduce el consumo de tabaco y limita bebidas muy pigmentadas.
- Cuidado con los enjuagues y medicamentos: Los colutorios de clorhexidina solo úsalos el tiempo indicado por el dentista (usualmente 1-2 semanas, no meses).
- Dieta equilibrada y protectora: Llevar una dieta baja en azúcares ayuda a prevenir caries.
Mantener las encías sanas implica seguir una buena rutina de higiene bucal que incluya cepillarse los dientes al menos dos veces al día durante dos minutos con un cepillo de cerdas suaves y pasta dental con flúor. Una visita regular al dentista para limpiezas profesionales y revisiones también es fundamental para detectar y tratar cualquier problema de las encías en etapas tempranas. Evitar el tabaquismo y mantener una dieta equilibrada y baja en azúcares también contribuye significativamente a la salud de las encías.
| Causa | Descripción | Tratamiento | Prevención |
|---|---|---|---|
| Melanosis Gingival | Aumento de la producción de melanina en las encías. | Despigmentación de encías (láser, cirugía). | No aplica (condición natural). |
| Hiperpigmentación | Pigmentación causada por factores genéticos, tabaquismo, etc. | Despigmentación de encías. | Evitar el tabaco, protegerse del sol. |
| Traumatismo | Acumulación de sangre coagulada debido a una lesión. | Generalmente desaparece solo. | Evitar lesiones en la boca. |
| Enfermedad Periodontal | Inflamación e infección de los tejidos de soporte de los dientes. | Tratamiento periodontal (limpieza profunda, antibióticos). | Higiene bucal rigurosa, visitas regulares al dentista. |
| Melanosis del fumador | Aumento de la pigmentación debido al consumo de tabaco. | Despigmentación de encías. | Dejar de fumar. |
| Tatuaje de amalgama | Partículas de amalgama incrustadas en las encías. | Eliminación de las partículas de amalgama. | Uso de materiales alternativos para empastes. |
| Medicamentos | Pigmentación inducida por ciertos medicamentos. | Considerar alternativas al medicamento (bajo supervisión médica). | Informar al médico sobre la pigmentación. |
| Nevus melanocítico | Acumulación de melanocitos (lunar). | Cirugía menor para extirpación y biopsia. | No aplica (condición natural). |
| Melanoma oral | Forma rara pero grave de cáncer. | Atención médica inmediata (cirugía, radioterapia, quimioterapia). | Revisiones dentales regulares para detección temprana. |