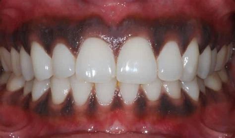
Si alguna vez has notado una mancha negra alrededor de tus encías, es posible que te hayas preocupado. Este problema, aunque no siempre es grave, puede ser indicativo de diversas condiciones orales. Exploraremos las causas de la encía negra alrededor del diente y cómo tratarla eficazmente.

¿Qué son las manchas negras en los dientes?
Las manchas negras en los dientes son decoloraciones oscuras (marrón oscuro o negras) que se adhieren al esmalte dental. Visualmente pueden verse como líneas cercanas a la encía, puntitos negros en la superficie o zonas oscurecidas en alguna pieza dental. Las manchas negras en los dientes no dejan de ser una señal de alerta.
Causas de las Manchas Negras en las Encías
Las manchas negras en las encías pueden ser causadas por una variedad de factores. Es importante comprender los orígenes de este problema para tomar las medidas adecuadas.
1. Enfermedad Periodontal
Una de las principales causas de manchas negras son las encías es la enfermedad periodontal. Esta condición comienza con la gingivitis (inflamación de las encías) y puede avanzar a periodontitis si no se trata.
2. Tabaquismo
El consumo de tabaco es otro factor que puede ocasionar encías negras. La nicotina y otras sustancias en los cigarrillos pueden causar una coloración oscura en las encías. La melanosis del fumador es una condición en la que la pigmentación de las encías aumenta debido al consumo de tabaco. Esta pigmentación es causada por el aumento de melanina en respuesta a la irritación continua del tabaco.

3. Medicamentos
Algunos medicamentos, como los que se usan para controlar la presión arterial o la epilepsia, pueden tener efectos secundarios que incluyen cambios en la coloración de las encías. Medicamentos como la minociclina (un antibiótico), ciertos antimaláricos, y medicamentos antirretrovirales pueden causar manchas oscuras en las encías.
4. Genética
En algunos casos, las manchas negras en las encías pueden ser hereditarias. La melanosis gingival de origen genético no compromete la salud de la boca, ya que solo implica que hay un mayor número de melanocitos que provocan este color de encías más oscuro.
5. Amalgama Dental
Durante los procedimientos dentales, pequeñas partículas de amalgama pueden incrustarse en las encías, provocando una decoloración conocida como "tatuaje de amalgama". Estas manchas son generalmente inofensivas y se presentan como puntos negros o grises cerca del sitio del empaste.
6. Aumento de secreción de melanina
Una mancha negra en la encía suele estar causada por un aumento de secreción de la melanina, conocido como melanoplaquia. Es común que esta afección sea de naturaleza hereditaria y no implique una enfermedad periodontal, pero no hay manera de prevenir su aparición.
7. Enfermedades periodontales
Las enfermedades periodontales (gingivitis y periodontitis) afectan directamente al tejido de las encías. Lo habitual es que estas se inflamen y enrojezcan, pero hay casos en los que la acumulación de sarro y placa bacteriana acaba causando que la encía se vuelva oscura.
8. Bacterias cromógenas (manchas negras en niños)
Es común que padres se asusten porque sus hijos pequeños presentan una línea negra en los dientes de leche, a pesar de cepillarlos bien. Estas manchas negras infantiles no se deben a mala higiene, sino a la acción de ciertas bacterias cromógenas en la boca. Estas bacterias producen compuestos de hierro y azufre que se depositan como una línea oscura alrededor del diente.
Tratamientos para las Manchas Negras en las Encías
Si notas una encía negra alrededor del diente, es importante abordar el problema lo antes posible.
1. Tratamiento Periodontal
Si las manchas negras son causadas por una enfermedad periodontal, el tratamiento principal será limpiar a fondo las encías para eliminar la placa y el sarro. Esto incluye procedimientos como el raspado y alisado radicular, que ayudan a reducir la inflamación y prevenir la pérdida de encía.
2. Despigmentación de Encías
En casos más graves de hiperpigmentación, los pacientes pueden optar por un tratamiento estético llamado despigmentación de encías. Este procedimiento implica la eliminación de la capa externa de tejido gingival que está causando la mancha, y se realiza mediante técnicas láser o quirúrgicas.
#BDJ #Dentista Despigmentación de las encías
3. Higiene Dental Rigurosa
Mantener una buena higiene dental es esencial para prevenir manchas y enfermedades. Asegúrate de cepillarte los dientes y encías al menos dos veces al día, usar hilo dental y realizar enjuagues bucales recomendados por tu dentista.
4. Productos Específicos
Si las manchas negras se deben al uso de ciertos medicamentos, tu dentista podría recomendarte productos específicos para blanquear o mejorar la salud de tus encías.

5. Tratamiento Preventivo
El tratamiento preventivo es clave para evitar que las manchas en las encías empeoren.
6. Microabrasión
Se trata de la eliminación de las capas superficiales de la encía con un instrumental específico. Así se descarta el área pigmentada y se expone el tejido sano, color rosa pálido, que se encuentra debajo.
7. Eliminación quirúrgica
Consiste en eliminar las manchas de las encías cortándolas y retirándolas con un bisturí. Se trata de una técnica invasiva y con un posoperatorio más complicado. Pues se debe dar un proceso de cicatrización del tejido y los resultados no siempre son duraderos.
8. Criocirugía
Es un procedimiento en el que se congela el tejido gingival afectado.
9. Injertos gingivales libres
Este tratamiento consiste en extraer tejido no pigmentado del paladar y colocarlo en la zona de las encías para ocultar las pigmentaciones.
10. Láser
Se trata de la eliminación de las células productoras de melanina usando tecnología láser. Es una intervención poco invasiva, disminuye el sangrado y favorece la pronta recuperación del paciente.
Tratamientos para las manchas negras en los dientes
Dependiendo del origen de las manchas negras en los dientes, así será su tratamiento. En nuestra clínica, siempre hacemos primero una evaluación para determinar el motivo: no es lo mismo tratar una mancha de café que una caries o un diente oscurecido por un golpe.
- Limpieza dental profesional: Para la mayoría de las manchas extrínsecas (pigmentos de tabaco, café, sarro superficial, manchas por suplementos), la solución inicial es una limpieza dental profesional. En la limpieza, el odontólogo o higienista utiliza ultrasonidos y pastas de pulido para remover placa, sarro y manchas externas.
- Empaste dental (obturación): Si determinamos que la mancha negra era una caries, entonces hay que tratar la caries cuanto antes. El tratamiento estándar es realizar un empaste dental (obturación). Consiste en limpiar cuidadosamente la zona cariada - eliminando la parte del diente infectada por bacterias - y luego rellenarla con un material de resina compuesto del color del diente.
- Blanqueamiento dental profesional: Cuando los dientes presentan manchas generalizadas o un tono amarillento/marrón oscuro debido a hábitos, un blanqueamiento dental profesional puede ser la solución ideal. El blanqueamiento es un tratamiento estético en el que aplicamos un gel de peróxido sobre el esmalte y lo activamos con luz para aclarar varios tonos el color del diente.
- Carillas dentales: Las carillas son finas láminas de porcelana o composite que se pegan en la cara visible del diente para mejorar su apariencia. No tratan la causa de la mancha, pero sí cubren la mancha de forma permanente dando al diente un aspecto blanco perfecto.
- Endodoncia: Cuando los dientes se han oscurecido por dentro y si ese es el caso (el diente cambió de color por una necrosis pulpar), el enfoque es diferente: primero hay que realizar una endodoncia (tratamiento de conducto) para eliminar el nervio muerto y limpiar el interior del diente. Después, para mejorar el color del diente tratado, existen técnicas de blanqueamiento interno o se puede optar por restauraciones estéticas (una carilla o una corona).
¿Cómo diferenciar una mancha superficial de una caries?
Una pregunta frecuente de mis pacientes es: “¿Cómo saber si esta mancha negra es una caries?”. La confusión es normal, porque a simple vista pueden ser parecidas. Mi consejo: no esperes a estar seguro por tu cuenta; pide una revisión.
- Localización: Las manchas extrínsecas por café/tabaco suelen aparecer como velos o líneas en varios dientes (por ejemplo, todos los frontales manchados cerca de la encía). En cambio, una caries suele afectar un diente en particular.
- Textura: Si al pasar la uña la mancha no se quita pero la superficie se siente lisa, podría ser sarro muy adherido o mancha superficial. En una caries ya avanzada suele haber una cavidad rugosa o un pequeño hueco en el diente.
- Síntomas: Una mancha por pigmento generalmente no duele ni causa molestias. Una caries en cambio puede dar sensibilidad al tomar algo frío, caliente o dulce, dolor espontáneo o mal aliento persistente.
- Color: Aunque hablamos de “manchas negras”, las caries no siempre son negras intensas; algunas son marrones o blancas opacas. Sin embargo, cuando la lesión de caries avanza y pigmenta, sí puede verse oscura.
Prevención
Como profesional, siempre digo que la prevención es el mejor tratamiento.
- Higiene oral estricta diaria: Cepíllate los dientes al menos dos veces al día (lo ideal, después de cada comida principal) usando una buena técnica. No olvides limpiar entre dientes con hilo dental o cepillos interdentales, ya que allí se acumula placa que luego forma sarro oscuro.
- Limpieza dental profesional periódica: Aunque tengas buena higiene en casa, siempre queda algo de sarro con el tiempo. Agenda una limpieza con tu dentista cada 6-12 meses. Esa “puesta a punto” eliminará pigmentos antes de que se oscurezcan más y mantendrá tu sonrisa brillante.
- Modera o evita los agentes que manchan: Reduce el consumo de tabaco (lo ideal es dejar de fumar, por tu salud en general) y limita bebidas muy pigmentadas. No es necesario que renuncies al café o té si te gustan, pero toma medidas: por ejemplo, enjuaga tu boca con agua después de tomarlos, o usa pajita para bebidas oscuras cuando se pueda, así haces menos contacto con los dientes.
- Cuidado con los enjuagues y medicamentos: Como vimos, los colutorios de clorhexidina solo úsalos el tiempo indicado por el dentista (usualmente 1-2 semanas, no meses).
- Dieta equilibrada y protectora: Llevar una dieta baja en azúcares ayuda a prevenir caries (menos riesgo de esas manchas negras).
Tabla Resumen de Causas y Tratamientos
| Causa | Descripción | Tratamiento |
|---|---|---|
| Enfermedad Periodontal | Inflamación y daño de las encías por placa y sarro. | Limpieza profunda, raspado y alisado radicular. |
| Tabaquismo | Aumento de melanina en las encías por la nicotina. | Dejar de fumar, despigmentación de encías. |
| Medicamentos | Efectos secundarios que cambian la pigmentación. | Productos específicos, consulta con el dentista. |
| Genética | Mayor concentración de melanina en las encías. | Despigmentación de encías (opcional). |
| Amalgama Dental | Partículas incrustadas en las encías. | Eliminación de partículas de amalgama. |
La encía negra alrededor del diente puede ser un signo de varios problemas bucales, desde enfermedades periodontales hasta el consumo de tabaco. Es fundamental acudir a un especialista para identificar la causa exacta y optar por el tratamiento adecuado. No es recomendable intentar eliminar las manchas negras sin la orientación de un profesional.