Las carillas dentales son una de las posibles soluciones para restaurar la estética de tu sonrisa, ya que están diseñadas para imitar la apariencia natural de tus dientes.
¿Has pensado, o te han recomendado ponértelas? Descubre qué son, los distintos tipos que existen y cómo se colocan.

¿Qué son las carillas dentales y para qué sirven?
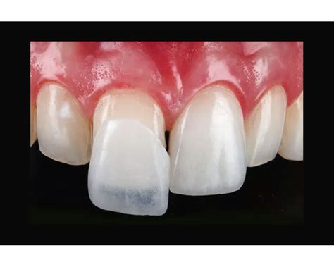
Las carillas dentales son finas láminas, generalmente de porcelana o resina compuesta, que se colocan sobre la superficie frontal de los dientes para mejorar su apariencia estética.
Se fabrican a medida para adaptarse a cada paciente y se adhieren al esmalte del diente.
Son una opción popular para quienes buscan hacer cambios superficiales en su sonrisa, como mejorar el tamaño, forma o color de sus dientes, ya que proporcionan una solución duradera y estética.
¿Cuándo es recomendable ponerse carillas?
Algunos casos comunes en los que es recomendable el uso de carillas dentales son:
- Desgaste dental: principalmente para dientes que han sufrido desgaste por bruxismo.
- Daño o roturas: para restaurar la apariencia de dientes que están astillados, fracturados o tienen imperfecciones menores.
- Desalineación leve y pequeños espacios: como alternativa a la ortodoncia en casos de desalineaciones leves o para cerrar pequeños huecos entre los dientes.
- Manchas o decoloración: ideal para dientes que han cambiado de color o tienen machas profundas y no responden bien a técnicas de blanqueamiento dental.
- Mejora estética general: para aquellos que desean tener una sonrisa más uniforme y atractiva.
En todos estos casos, es fundamental la evaluación por parte de un profesional dental, quien podrá determinar si las carillas son la opción más adecuada según las necesidades y condiciones específicas del paciente.
Carillas Dentales Vs Diseño de Sonrisa | Lo que tienes que saber antes de decidir
Tipos de carillas dentales
Existen diferentes tipos de carillas, cada una diseñada para satisfacer necesidades estéticas específicas y adaptarse a diferentes condiciones dentales.
Las más destacadas son:
Carillas de porcelana
Esta tipología es la opción más popular debido a su aspecto natural y a su resistencia a las manchas.
Aunque suelen tener un precio superior al de otras alternativas, destacan por su durabilidad y habilidad para corregir defectos como dientes astillados o desgastados.
Este tipo de carillas dentales puede requerir múltiples visitas al dentista para su colocación, debido a que previamente es posible que haya que realizar un tallado de los dientes.
La vida útil de las carillas de porcelana es de entre 10 a 15 años.
Carillas de resina compuesta o composite
Las carillas de composite son una opción efectiva y más económica que no compromete demasiado las piezas dentales.
Están hechas de un material de resina compuesta que se adapta al color natural del diente.
Son ideales para corregir pequeñas imperfecciones, como dientes ligeramente torcidos o manchados.
A diferencia de las carillas de porcelana, las de composite pueden aplicarse en una sola visita al dentista, ofreciendo una solución más rápida y menos invasiva, aunque requieren más mantenimiento.
La vida útil de las carillas dentales de composite es de entre 5 a 7 años.
Carillas de zirconio
Están fabricadas con óxido de zirconio, un material cerámico resistente y no poroso, que imita perfectamente el esmalte natural del diente y resiste la decoloración y las manchas.
Son ideales para quienes buscan resultados óptimos sin comprometer la funcionalidad de la sonrisa.
La vida útil de las carillas de zirconio es de entre 10 y 15 años.

¿Cómo se colocan las carillas dentales?
El proceso de colocación de las carillas comienza con una consulta inicial donde el dentista evalúa el caso del paciente.
Si se considera apto, los siguientes pasos suelen ser:
- Preparación del diente: para algunas carillas de porcelana esto puede incluir el tallado de una pequeña cantidad del diente para asegurar un ajuste adecuado.
- Escaneo intraoral 3D o toma de impresiones: este escáner realiza una captura detallada y rápida de los dientes del paciente, creando un modelo exacto que se envía a un laboratorio para la fabricación de las carillas.
- Aplicación: una vez que las carillas están listas, se adhieren a los dientes utilizando un adhesivo especial y se tratan con luz para solidificar el pegamento.
Carillas dentales: ventajas
Las ventajas de las carillas dentales son numerosas para aquellos que desean mejorar su sonrisa.
Algunas son:
- Mejora significativa en la apariencia de los dientes.
- Las carillas, especialmente las de porcelana y zirconio, destacan por su resistencia a las manchas y durabilidad, requiriendo poco mantenimiento más allá de una buena higiene bucal.
- Tratamiento de estética dental poco invasivo: su colocación es realmente sencilla y generalmente indolora.
Carillas dentales: desventajas
- Precio relativamente alto, especialmente para las de porcelana y zirconio.
- Proceso irreversible en algunos casos de carillas de porcelana que requieren tallado previo de los dientes.
- No son una solución para problemas dentales más complejos como dientes muy desalineados o problemas de maloclusión.
¿Cuánto cuestan las carillas dentales?
Los precios de las carillas dentales dependen principalmente del material del que están hechas, el caso específico del paciente o la clínica dental.
Algunos valores de referencia, teniendo en cuenta el precio de una carilla por diente, son:
- Carillas de porcelana: 400 - 1.000€
- Carillas composite: 150 - 400€
- Carillas zirconio: 500 - 1.000€
Es importante tener en cuenta que el seguro dental no suele cubrir el coste de las carillas dentales.
En España, el precio de un tratamiento con carillas dentales parte de unos 1.120 euros. Sin embargo, hay que tener en cuenta que el precio del tratamiento varía en función del número de carillas que se necesiten.
Normalmente, se ponen en los seis dientes delanteros superiores, que son los más visibles al sonreír: dos incisivos centrales, dos incisivos laterales y dos colmillos.
No obstante, en algunos casos se pueden llegar a colocar carillas en los premolares, por lo que habría que poner diez carillas en total en la arcada superior.
A continuación, puedes ver los precios de las carillas dentales:
6 carillas Pago único 1.107€ 1ª cita gratis Estudio de sonrisa sin compromiso Férula de descarga no incluida Pide tu cita gratis *Importe mínimo: 432 €. Ejemplo de financiación para un importe de 1.107.00 € en 36 meses. Comisión de formalización del 2,0%: 22,14 € a pagar en la primera cuota. Primera cuota de 56,55 €. 34 cuotas de 34,41 € y una última cuota de 34,35 €. TIN 7,45% TAE 9,18%.Total intereses: 131,70€. Coste total del crédito: 153,84€. Importe total adeudado y precio total a plazos: 1.260,84€. Precio de adquisición al contado: 1.107,00€. Sistema de amortización francés. Financiación ofrecida por Banco Cetelem S.A.U. válida hasta el 31/12/2025.
8 carillas Pago único 1.396€ 1ª cita gratis Estudio de sonrisa sin compromiso Férula de descarga no incluida Pide tu cita gratis *Importe mínimo: 576 €. Ejemplo de financiación para un importe de 1.396,00€ en 48 meses. Comisión de formalización del 2,00%: 27,92€ a pagar en la primera cuota. Importe financiado: 1.396,00€. Primera cuota de 61,64€. 46 cuotas de 33,72€ y una última cuota de 33,81€. TIN 7,45% TAE 8,83%. Total intereses: 222,65€. Coste total del crédito: 250,57€. Importe total adeudado y precio total a plazos: 1.646,57€. Precio de adquisición al contado: 1.396,00€. Sistema de amortización francés. Financiación ofrecida por Banco Cetelem S.A.U. válida hasta el 31/12/2025.
10 carillas Pago único 1.671€ 1ª cita gratis Estudio de sonrisa sin compromiso Férula de descarga no incluida Pide tu cita gratis *Importe mínimo: 720€. Ejemplo de financiación para un importe de 1.671,00€ en 60 meses. Comisión de formalización del 2,00%: 33,42€ a pagar en la primera cuota. Importe financiado: 1.671,00€. Primera cuota de 66,86€. 58 cuotas de 33,44€ y una última cuota de 33,73€. TIN 7,45% TAE 8,62%. Total intereses: 335,69€. Coste total del crédito: 369,11€. Importe total adeudado y precio total a plazos: 2.040,11€. Precio de adquisición al contado: 1.671,00€. Sistema de amortización francés. Financiación ofrecida por Banco Cetelem S.A.U. válida hasta el 31/12/2025.
Alternativas a las carillas dentales
Dependiendo del resultado que estemos buscando, o el tratamiento que necesitemos, existen algunas alternativas a las carillas:
- Empaste dental: útil para corregir imperfecciones. Es menos invasivo y más económico que las carillas.
- Coronas dentales: cubren el diente entero y se utilizan en casos de caries severas o daño considerable.
- Blanqueamiento dental: puede ser una solución efectiva para mejorar el color de los dientes sin intervenciones invasivas.
- Tratamientos de ortodoncia: incluye ortodoncia invisible o brackets para corregir casos estéticos más complejos, como apiñamientos dentales.
En DR SMILE podrás encontrar un Tratamiento de Ortodoncia Invisible con alineadores transparentes con el que algunos casos de apiñamiento dental y diastemas pueden ser corregidos con óptimos resultados.
Un equipo de expertos evaluará tu caso y definirá un Plan de Tratamiento personalizado, permitiéndote visualizar el resultado final de tu sonrisa antes de comenzar el Tratamiento.
Las carillas dentales se colocan en la superficie frontal de los dientes con la finalidad de mejorar su aspecto.
Las carillas dentales son unas láminas muy finas -generalmente inferiores a un milímetro de espesor- que se fijan sobre la parte visible de uno o varios dientes.
Su objetivo es corregir problemas estéticos (fracturas leves, cambios de color…) o patológicos (originados por caries).
Pueden estar hechas de diferentes materiales, pero suelen ser de porcelana o composite.
Su principal objetivo es mejorar el aspecto de los dientes, ya sea para modificar su tamaño, color, forma o posición. Por tanto, tienen una finalidad puramente estética.
La duración de las carillas dentales está determinada por diversos factores, como los cuidados que siga el paciente en cuanto a higiene oral, alimentación, tabaco, hábitos, revisiones con el dentista, etc.
Adicionalmente, la durabilidad del tratamiento también depende del material con el que están fabricadas las carillas y de la técnica de colocación (directa o indirecta).
Con unos cuidados y unos mantenimientos adecuados, son un tratamiento pensado para durar a largo plazo.