Las manchas en los dientes son un problema muy común en todas las edades y pueden ser una preocupación tanto desde el punto de vista de la salud como estético. Aunque generalmente no representan un riesgo grave para la salud, pueden tener consecuencias estéticas significativas. A simple vista, una alteración estética de la sonrisa no parece un gran problema, pero a largo plazo puede conllevar un empeoramiento de la autoestima y dificultades sociales.
Estas lesiones, que pueden llegar a ser muy dolorosas, se producen cuando se acumula una cantidad excesiva de calcio en una zona específica del esmalte dental. Por esta razón, es importante conocer sus causas, prevención y tratamientos disponibles.

¿Qué son las lesiones de mancha blanca en los dientes?
Las lesiones de mancha blanca son un tipo de desmineralización del esmalte dental, que pueden ser causadas por diversos factores, como el consumo excesivo de alimentos y bebidas ácidas y azucaradas, hábitos de higiene bucal inadecuados o enfermedades y trastornos sistémicos. Estas lesiones son fácilmente visibles, pues aparecen como manchas blancas en la superficie del diente y pueden aumentar de tamaño y profundidad si no se tratan adecuadamente. Para prevenir su progreso es importante buscar el tratamiento más oportuno.
Causas de las manchas en los dientes
Las manchas en los dientes pueden variar mucho de color (normalmente un blanco inusual), tamaño y apariencia, por lo que es complicado identificar la causa en casa con una inspección visual. Las manchas en los dientes pueden ser generalmente de tres tipos: blancas, amarillas o marrones. No solo se diferencian según el color, sino que también pueden originarse por diferentes causas:
- Hipomineralización del esmalte: Una de las causas más comunes de las manchas en los dientes es una deficiencia de mineralización en el esmalte. Ocurre durante el desarrollo dental cuando el esmalte no se mineraliza de forma natural lo suficiente. Esto deriva en un esmalte más poroso y con menos resistencia.
- Caries incipientes: A veces las manchas en los dientes indican la existencia de caries. Una de las consecuencias más tempranas y visibles de las caries pueden ser las manchas en los dientes, debido a que las caries “se comen” primero el esmalte dejando ver la capa de debajo.
- Exceso de flúor: Aunque no está contraindicado el uso de flúor durante la infancia, hay que tener en cuenta que el flúor no afecta igual a los dientes adultos que a los infantiles. La cantidad de flúor debe ser adecuada, si no puede llevar a una afección conocida como fluorosis dental.
- Deshidratación del esmalte: La deshidratación del esmalte facilita la proliferación de bacterias. Esto puede ocurrir cuando se usan brackets u otros tratamientos que dificultan la hidratación de los dientes.
- Consumo excesivo de bebidas y alimentos ricos en azúcares y ácidos: Puede aumentar la producción de ácido en la boca, desgastando así el esmalte y aumentando el riesgo de caries. Por ello es esencial limitar su uso.
- Hábitos de higiene bucal inadecuados: La falta de cepillado y enjuague bucal regular puede permitir que la placa bacteriana y los ácidos se acumulen, debilitando el esmalte y aumentando el riesgo de lesiones de mancha blanca.
- Enfermedades o trastornos sistémicos: Algunas de ellas, como la bulimia y el reflujo gastroesofágico, pueden causar vómitos frecuentes que aumenten la producción de ácido en la boca, debilitando el esmalte dental. También hay algunos trastornos médicos, como la enfermedad renal o hepática, que pueden afectar a la cantidad y calidad del flujo salival, aumentando el riesgo de desmineralización del esmalte. Es importante mencionar estos trastornos o enfermedades al dentista durante una consulta, ya que pueden ser indicativos de una mayor predisposición a desarrollar lesiones de mancha blanca y pueden requerir una atención dental adicional para prevenirlas.
Tipos de manchas según su color
- Manchas blancas: Se atribuye generalmente a la descalcificación de ciertas áreas del esmalte dental, pero también un exceso de flúor puede provocar su manifiesto. En otros casos se relaciona con un indicador de caries inicial.
- Manchas amarillas: El consumo excesivo de bebidas, como el café o el vino, y alimentos ácidos, como la naranja o el limón, propician la aparición de manchas en los dientes de color amarillo. Además, una higiene bucal deficiente es otra de las señales que apuntan a este problema dental.
- Manchas marrones: El consumo continuado de bebidas alcohólicas o de tabaco, a largo plazo contribuyen a la aparición de manchas de color oscuro, generalmente en tonos marrones.

Otras causas de manchas en los dientes
- Traumatismos dentales: Con la fractura de alguna pieza dental el nervio puede haberse visto perjudicado. De esta forma, aparecen manchas más oscuras que el color habitual.
- Consumo de tetraciclinas: Este medicamento puede generar manchas en tus dientes, con las que tu estética se vea empeorada.
- Alteraciones en la pigmentación: El cambio de color de los dientes que se produce a consecuencia de sustancias de la circulación sistemática durante el desarrollo dental se define como pigmentación endógena o intrínseca. Se trata de alteraciones congénitas en las que las tinciones suelen conllevar un tratamiento más complejo.
Consejos para la prevención
Cuidar el esmalte dental, cuya función es proteger al diente, es imprescindible para evitar la aparición de manchas blancas en los dientes. El esmalte es la capa más externa del diente y también la más dura, pero a pesar de su resistencia, puede debilitarse si no lo cuidamos bien.
Hay varios consejos útiles para prevenir las lesiones de mancha blanca en los dientes:
- Mejorar la higiene bucal: Es importante cepillarse los dientes al menos dos veces al día con un cepillo suave y un enjuague bucal fluorado para limpiar los residuos de alimentos y prevenir la acumulación de placa bacteriana.
- Evitar bebidas y alimentos ácidos y azucarados: Trata de limitar el consumo de bebidas y alimentos ácidos y azucarados, especialmente entre las comidas.
- Usar hilo dental regularmente: El hilo dental ayuda a remover los restos de alimentos y la placa bacteriana de los lugares difíciles de alcanzar por un cepillo de dientes.
- Consultar a tu dentista regularmente: Es importante programar una visita dental regular para detectar y tratar cualquier problema bucal temprano.
- Controla la cantidad de flúor en los niños: un exceso de flúor durante el desarrollo de los dientes puede provocar fluorosis, que se manifiesta con manchas blancas.
- Come de forma equilibrada: una alimentación rica en frutas, verduras y lácteos aporta los minerales que el esmalte necesita para mantenerse fuerte.
Tratamientos posibles para las manchas en los dientes
Como el problema, a no ser que se deje pasar durante mucho tiempo y termine agravándose (si la causa son las caries), no es demasiado grave, los tratamientos no suelen ser muy invasivos ni ocupan mucho tiempo ni tienen consecuencias graves en la vida diaria. Afortunadamente, existen varios consejos para prevenirlas y diversos tratamientos para ponerles solución. Tu dentista de confianza siempre te asesorará en la mejor solución.
Hay varios tratamientos disponibles para tratar las lesiones de mancha blanca en los dientes:
- La remineralización dental: es un proceso en el que se añaden minerales al esmalte dental debilitado para fortalecerlo y prevenir futuros daños. Este tratamiento puede ser realizado mediante la aplicación de soluciones especiales o geles en los dientes, o a través del uso de productos con ingredientes que estimulan la remineralización, como el flúor. Es importante consultar con un dentista para determinar si este tratamiento es una opción adecuada para ti.
- Blanqueamiento dental: es un procedimiento cosmético que busca aclarar el color de los dientes. Esto se logra a través de la aplicación de peróxido de carbamida o peróxido de hidrógeno, que penetra en el esmalte y la dentina, reduciendo los pigmentos que causan la descoloración. El blanqueamiento dental se suele recomendar para las manchas blancas causadas por fluorosis o para decoloraciones superficiales. Existe la posibilidad de hacerlo en clínica o con un kit de blanqueamiento en casa (bajo la supervisión del dentista, claro está).
- Carillas dentales: son un tratamiento dental cosmético que utiliza láminas de materiales resistentes como la porcelana o la resina compuesta. Estas carillas se ajustan a la forma de los dientes y se adhieren a su superficie para proteger la estructura, obteniendo como resultado una apariencia del diente muy natural.
- La microabrasión dental consiste en el utilizamiento de una pasta abrasiva para eliminar las capas del esmalte que contienen las manchas en los dientes. Este tratamiento se realiza en el consultorio dental y puede ser efectivo para eliminar manchas superficiales.
- Los selladores dentales son un tratamiento preventivo que se usa para evitar la formación de caries y manchas. Los selladores son una especie de barrera protectora, aplicada en las superficies de masticación de los dientes posteriores.
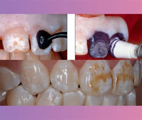
- Infiltración de resina: Este método ha aparecido en los últimos años y es una gran opción tanto para niños como para adultos. Este tratamiento permite que los dientes recuperen su color natural mediante la aplicación de un ácido suave y una resina invisible en la superficie dental. La infiltración de caries es considerada un tratamiento no invasivo.

Tratamientos específicos para manchas blancas
En ocasiones, las manchas blancas en los dientes desaparecen por sí solas, pero otras veces es necesario aplicar tratamientos de fluoruro o llevar a cabo una buena higiene bucal, sobretodo en personas que utilizan ortodoncias que les impiden realizar un cepillado en profundidad.
Tabla resumen de causas y tratamientos
| Causa | Tratamiento |
|---|---|
| Desmineralización del esmalte | Fluoruro tópico, buena higiene bucal |
| Fluorosis dental | Microabrasión dental, blanqueamiento dental |
| Caries incipientes | Selladores dentales, buena higiene bucal |
| Hipoplasia del esmalte | Aplicación de fluoruro, resina compuesta o composite |
Las manchas en los dientes pueden afectar la estética de nuestra sonrisa, pero existen soluciones efectivas para eliminarlas y recuperar una sonrisa blanca y radiante. Al mantener una buena higiene bucal y evitar hábitos que manchan los dientes, podemos prevenir la aparición de manchas. Consulta a tu dentista para conocer las opciones más adecuadas para ti y disfruta de una sonrisa deslumbrante y saludable.
Los tratamientos contra las manchas en los dientes se realizan en consulta y bajo supervisión médica.