Un problema común que muchos pacientes enfrentan es la aparición de manchas en los dientes debido al uso de tetraciclinas. En este artículo, exploraremos las causas de estas manchas, cómo se clasifican según su gravedad y los tratamientos disponibles para restaurar una sonrisa blanca y saludable.

¿Qué son las Tetraciclinas?
Cabe mencionar que las tetraciclinas son antibióticos de amplio espectro que se usaban para tratar diferentes patologías. Estos medicamentos son recetados para tratar infecciones bacterianas, acné y enfermedades de transmisión sexual, entre otros.
Sin embargo, las primeras noticias sobre sus efectos adversos llegaron en 1963 de la mano de la FDA (Foods and Drugs Administration). En España, las tetraciclinas se usaron en todos los grupos de población a lo largo de las décadas de los sesenta y setenta.
Causas de las Manchas por Tetraciclina
La principal causa de las manchas en dientes por tetraciclinas es la incorporación del antibiótico en la estructura del diente durante su formación. Ocurre debido a que estas sustancias se incorporan en la estructura del esmalte dental y la dentina durante su formación.
Los dientes en desarrollo son más susceptibles a estas tinciones, especialmente cuando se administran dosis altas de tetraciclinas en edades tempranas, generalmente antes de los 8 años. Además, se destaca que entre el cuarto mes de embarazo hasta los 8 años de edad, los dientes son más susceptibles de cambiar de color al tomar este tipo de medicamentos. Por esta razón, es recomendable evitar su uso.
Las tinciones resultan de la interacción que las tetraciclinas tienen con el calcio, resultando en la formación de un depósito de materiales en la matriz del esmalte. Cuando se toman durante los períodos de formación de los dientes (principalmente en el segundo trimestre del embarazo y hasta aproximadamente los ocho años de edad), las moléculas del antibiótico se incorporan en los cristales de hidroxiapatita del esmalte y la dentina.
La tetraciclina, cuando se administra durante la etapa de desarrollo de los dientes (embarazo y primera parte de la infancia) causa decoloraciones permanentes en los dientes. Estas tinciones son intrínsecas, lo que significa que están presentes en la estructura misma del diente y no se pueden eliminar mediante técnicas de blanqueamiento dental convencionales o limpiezas.
Es importante destacar que las manchas por tetraciclinas pueden variar significativamente en su apariencia, dependiendo de factores como la duración del tratamiento con antibióticos y la dosis recibida. Como ya hemos mencionado, el grado de tinción de los dientes debido a la tetraciclina depende, especialmente, de la cantidad de medicamento suministrado y de la duración del tratamiento.
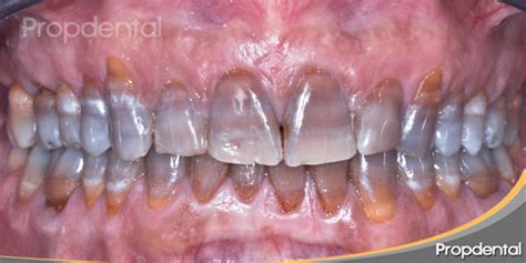
Generalmente, estas manchas se presentan en forma de bandas horizontales que pueden ser de diferentes tonalidades (amarillo, gris oscuro o marrón). Como hemos comentado anteriormente, su mayor característica es el cambio de color de los dientes, que tiende a pasar a un tono amarillento o grisáceo, generalmente con un aspecto bandeado o a líneas.
Aun así, no todas las personas tratadas con tetraciclina han desarrollado manchas amarillas o marrones en su dentadura. Advertir que éstas manchas únicamente afectan la dentadura de forma estética sin afectar la estructura de los dientes.
Clasificación de las Manchas por Tetraciclina
En función de su tonalidad, extensión e intensidad, las manchas en los dientes por tetraciclinas se pueden clasificar en diferentes grados:
- Grado I: Este tipo de manchas se caracterizan por ser leves y de color amarillo o gris claro.
- Grado II: En este caso, las manchas dentales por tetraciclinas son más evidentes.
- Grado III: Tinción de tercer grado: con manchas que oscilan entre tonos grises más oscuros y manchas azuladas.
- Grado IV: Este es el grado más severo de decoloración. Por eso, en estos casos, los dientes pueden tener una apariencia prácticamente negra.
Tal como hemos advertido previamente, este tipo de manchas son difíciles de eliminar y es importante tener en cuenta ante qué grado nos encontramos.
Tratamientos para las Manchas por Tetraciclina
Las manchas por tetraciclinas son irreversibles, siendo varios los grados de tinción en base a la profundidad de las tinciones. Aplicar un tratamiento en estos casos es todo un desafío, pero existen opciones que pueden ayudar a mejorar el aspecto estético de los dientes afectados. Para dar solución al problema de tinciones por tetraciclinas, es esencial consultar a un profesional de la odontología para recibir una evaluación precisa y recomendaciones personalizadas.
Manchas en los dientes por tetraciclinas: ¿cómo eliminarlas? - Explicación Dr. Jesús Peláez
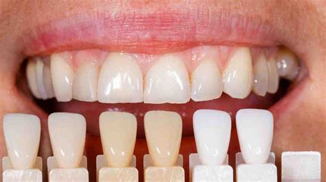
1. Blanqueamiento Dental
El blanqueamiento dental se utiliza en aquellos casos en que la tinción en los dientes es de primer o segundo grado. Aquellos pacientes cuyas tinciones dentales no sean muy acusadas, primer y segundo grado de tinción por tetraciclinas, pueden recurrir a un tratamiento de blanqueamiento dental combinado. Lo que se hace es aclarar el esmalte de los dientes, con la consecuente reducción de la tonalidad de la tinción.
Es un tratamiento destinado a aclarar el esmalte de los dientes, reduciendo la tonalidad del mismo con el fin de conseguir una sonrisa más estética. Es un procedimiento sencillo y muy cómodo para el paciente. En este punto, es necesario aclarar que el único tipo de blanqueamiento dental capaz de conseguir un resultado eficaz, con el debido tiempo de uso, es el blanqueamiento combinado.
Se trata de un tratamiento blanqueador que conlleva dos procedimientos, uno que lo realiza el paciente desde casa y otro que se realiza en la clínica. Es un tratamiento que combina dos partes: una en casa y otra en clínica. La parte ambulatoria consiste en llevar unas férulas hechas a medida de la boca del paciente, dentro de las cuales colocaremos el gel blanqueador.
Los nuevos estudios avalan que aplicando concentraciones de peróxido de carbamida a baja concentración (para no producir sensibilidad) durante un tiempo prolongado de unos 4 a 6 meses, se puede conseguir un blanqueamiento del diente porque el peróxido es capaz de romper los enlaces de unión de la tetraciclina a la estructura del diente. En la clínica, dos semanas después, realizamos una sesión con lámpara de luz fría que potencia la acción del gel blanqueador y asegura que los resultados se mantengan mucho tiempo.
2. Carillas Dentales
En los casos más graves, el tratamiento de elección para eliminar por completo la tinción será el tallado de los dientes y la colocación de carillas o coronas de recubrimiento total. Las carillas se utilizan en casos más severos, cuando el blanqueamiento por sí solo no es capaz de eliminar las manchas. Dicho esto, existen dos grandes tipos de carillas dentales: porcelana y composite.
Las carillas de porcelana son láminas delgadas que se adhieren a la parte frontal de los dientes. Estas carillas pueden cubrir las tinciones y proporcionar una apariencia natural y blanca. Si las manchas por tetraciclinas son muy severas y el paciente quiere obtener un resultado aún más estético, la mejor opción es optar por las microcarillas dentales. Se trata de finas láminas que se adhieren a la superficie de los dientes.
Optando por esta opción también recomendamos primero realizar un blanqueamiento combinado para aclarar el tono de base, ya que en tinciones de tetraciclinas muy marcadas, no se consigue tapar el color de base aun poniendo una carilla, ya que es un material fino y se intenta quitar lo menos posible de tejido sano al diente. Por ello, es el tratamiento perfecto tras haber llevado a cabo un blanqueamiento dental combinado.

Además, dado que las carillas son completamente personalizables, es posible mejorar no solo el color, sino también la forma de las piezas. Existen diferentes tipos de microcarillas, aunque las más estéticas son las confeccionadas en porcelana. Este material aporta un resultado muy natural e imita muy fielmente el tono de los dientes adyacentes.
3. Coronas Dentales
Fundas que se colocan sobre los dientes afectados. Estas cubren completamente el diente y pueden mejorar su apariencia, además de proporcionar protección adicional.
4. Microabrasión Dental
Para manchas más superficiales, la microabrasión dental puede ser una opción viable. Este procedimiento consiste en la eliminación de una pequeña capa del esmalte dental afectado, utilizando una mezcla de ácido y material abrasivo.
Mantenimiento Post-Tratamiento
Es fundamental tener en cuenta que, después de cualquier tratamiento para las tinciones por tetraciclinas, es fundamental mantener una buena higiene oral y realizar visitas regulares al dentista. El cepillado y el uso del hilo dental diariamente son esenciales para prevenir la acumulación de placa dental y mantener la salud bucal.
Prevención
Prevenir las manchas en dientes por tetraciclinas implica evitar el uso de este antibiótico en mujeres embarazadas y en niños pequeños, siempre que sea posible. Es importante que los profesionales de la salud sean conscientes de este riesgo y busquen alternativas cuando sea viable.
Como ves, resulta posible disimular o blanquear los dientes afectados por las tetraciclinas. Como ves, siempre hay solución para volver a lucir una sonrisa blanca y brillante.
tags: #manchas #dentales #por #tetraciclina