¿Estás buscando tratamientos para esas manchas en los dientes que no sabes de dónde han salido ni cómo eliminar? ¿Quieres volver a tener una sonrisa blanca, bonita y saludable? No te preocupes: a continuación repasamos contigo las causas de las manchas en los dientes y sus posibles tratamientos.

Tipos de Manchas en los Dientes
Todos hablamos de manchas en los dientes, en general, pero, ¿sabías que hay diferentes tipos y causas? Es importante que las conozcas porque, según qué tipo de manchas tengas, el tratamiento será uno u otro. Así pues, en primer lugar vamos a clasificarlas.
Podemos encontrar dos tipos de manchas diferentes según la zona a la que afectan:
- Superficiales o extrínsecas: Se llaman así porque aparecen sobre el diente, en el esmalte, o bien entre dos piezas dentales. Son de color marrón y no suelen implicar riesgos. Más bien son un problema estético o, en algunos casos, una indicación de que debemos mejorar la higiene. Se pueden solucionar con un blanqueamiento y mejorando nuestros hábitos.
- Intrínsecas: De color blanco o gris, en forma de líneas, afectan también a la dentina o parte interna del diente. Se relacionan con medicamentos o deficiencias de nacimiento, entre otras causas. En estos casos se puede mejorar la estética tus dientes gracias a las carillas dentales.
Ahora que ya conoces los tipos de manchas dentales, ¿estás evaluando tus dientes en el espejo? Sigue leyendo para saber cuáles son las posibles causas. Eso te dará una idea más aproximada de por qué aparecen.
Manchas en los Dientes: Causas Comunes
Las causas de las manchas en los dientes son muchas y variadas, de lo más comunes en nuestro día a día. Por este motivo, a medida que pasan los años, la mayoría de sonrisas se van oscureciendo. Sin embargo, algunas de estas causas se pueden evitar si te pones en manos de un odontólogo especialista. De este modo tendremos otra oportunidad para lucir unos dientes blancos y prevenir su oscurecimiento.
En las siguientes líneas repasamos todas las posibles causas que pueden manchar nuestros dientes. Seguro que ya conoces algunas, pero es probable que otras te sorprendan.
Alimentos o Sustancias Ácidas
Empezamos por una de las causas más frecuentes que provocan el amarilleamiento progresivo de los dientes. Está relacionada con un deterioro del esmalte por el consumo de alimentos o sustancias ácidas, como por ejemplo frutas cítricas, tomate o vinagre. ¿Te ha sucedido que, al consumir determinados alimentos, o bien cuando estos están muy fríos o calientes, notas más sensibilidad o incluso dolor en algún diente? Porque eso es lo que sucede en estos casos. Los ácidos van desgastando la capa externa del esmalte y dejan al descubierto la dentina, que es de color amarillento.
Hay otro caso en el que también hablamos de manchas por acidez, pero que no se relaciona con alimentos sino con el reflujo gastroesofágico. Si a menudo sufres este problema, el exceso de ácidos del estómago que llega a la boca también pueden ocasionar manchas amarillentas. En ese caso, no dejes de consultar los tratamientos que te proponemos más adelante para blanquear los dientes. Y, por supuesto, no te olvides de reducir el consumo de ácidos o de mezclarlos bien con otros alimentos que contrarresten sus efectos. Por último, espera al menos 30 minutos antes de cepillarte los dientes después de comerlos.
Alimentos que Tiñen
Por otra parte, hay otro tipo de alimentos que favorece las manchas; no por su acidez, sino por sus pigmentos. Podemos decir que tiñen los dientes de manera progresiva por la intensidad de sus colorantes naturales. ¿Y cuáles son estos alimentos? Por ejemplo, los frutos rojos (frambuesas, moras, arándanos), la remolacha, la cúrcuma o la salsa de tomate… Que, además, ¡es ácida! Los pigmentos que tienen son los que les dan también un alto poder antioxidante. Es decir, que son muy saludables pero también muy resistentes. Por ello, no olvides cepillarte bien los dientes después de consumirlos.
Manchas por Café, Tabaco o Alcohol
Una de las causas más habituales de las manchas marrones en dientes es el consumo de café, té negro, tabaco o alcohol, o incluso de bebidas carbonatadas. Estos hábitos, en exceso, no solamente dañan la salud sino que también ensucian nuestra sonrisa. Por ejemplo, el café o el vino tinto contienen una gran cantidad de cromógenos (bacterias que producen color), por lo que son las peores opciones si queremos unos dientes blancos. En este sentido sería preferible elegir un té verde o un vino blanco… Aunque también es una bebida ácida. En general estas bebidas, así como la nicotina del tabaco, no solo tiñen sino que alteran el pH de la flora bacteriana de la boca. Esto favorece, además, la aparición del sarro, la caries y, a la larga, enfermedades periodontales.
Bruxismo
¿Te rechinan los dientes por la noche mientras duermes? ¿Te despiertas con dolor de mandíbula? ¿Lo haces también durante el día cuando estás nervioso? Es lo que se conoce como bruxismo, y es otra causa del amarilleamiento de los dientes. Si solemos apretar los dientes también vamos a acelerar el deterioro del esmalte. La consecuencia será la aparición de manchas, entre otros problemas como dolores de cabeza.
Este hábito suele ser inconsciente y a menudo está relacionado con el estrés. En este caso, además de la revisión con el odontólogo, también deberías tratar la causa emocional con una atención psicológica. Por otra parte, el origen puede ser también una maloclusión o mala mordida; si esa es la razón, se requiere un tratamiento odontológico completo para corregir la alineación dental.
En ambos casos, es muy importante usar una férula de descarga durante la noche. Este aparato, hecho a medida, amortigua la presión de los dientes y evita la sobrecarga muscular y el desgaste del esmalte.
Descalcificación
¿Las manchas que tienes en los dientes no son oscuras sino blancas? Una de las posibles causas es una descalcificación. Y es que la pérdida de calcio en nuestro cuerpo tiene muchas consecuencias en los huesos, pero también en los dientes. Estos se van debilitando y reblandeciendo, y, como consecuencia, aparecen las manchas. Estas zonas blancas, por la pérdida del mineral, son también más porosas y de textura rugosa. Esto las hace más vulnerables a las bacterias y, por lo tanto, a la caries.
Aunque cualquier persona puede tener problemas de descalcificación, hay algunos grupos de población que son más proclives a este déficit: los niños, las personas mayores o las mujeres embarazadas. Cuando el problema de las manchas se debe a un deterioro del esmalte, el tratamiento más adecuado son las carillas dentales. Estas se fabrican a medida, no requieren anestesia y ofrecen una apariencia muy natural.

Hipoplasia
Algunos niños tienen manchas blancas o marrones en los dientes como consecuencia de un problema del desarrollo de los dientes definitivos. El esmalte no se forma de manera correcta, lo que puede conllevar problemas para niños y adultos si no se trata. Aunque al principio puede parecer solamente una cuestión estética, esta anomalía hace que los dientes sean más vulnerables. Por eso, igual que en el caso de la descalcificación, las carillas son la mejor solución.
Cepillado Agresivo o Deficiente
Quizás te sorprenda, pero un cepillado demasiado agresivo también puede perjudicar tus dientes y ocasionar manchas a largo plazo. Este mal hábito provoca una abrasión progresiva tanto en los dientes como en las encías. Ten presente que para cepillarse los dientes de manera correcta no hay que hacerlo con demasiada intensidad; solo es necesaria una limpieza exhaustiva y con un poco de paciencia para llegar bien a todos los espacios de la boca.
Elige un cepillo con la dureza adecuada para tus dientes, ni muy suave ni muy rígido. Vigila también el uso de palillos o cepillos interdentales. Por último, ten en cuenta que algunos productos que se venden como blanqueantes dentales contienen químicos que pueden dañar el esmalte. A la larga, aunque parezca contradictorio, estos ocasionan manchas y otros problemas en los dientes. Y recuerda: la manera correcta de blanquear los dientes es acudir a tu odontólogo.
Higiene Oral Incorrecta con Ortodoncia
¿Has llevado ortodoncia y después te has sorprendido al ver la placa bacteriana acumulada y manchas en tus dientes? No siempre es fácil mantener una buena higiene oral cuando se usan brackets o aparatos fijos, y esta puede ser la causa del problema. Aunque no es grave, es importante realizar una limpieza profesional en estos casos. De lo contrario, estas manchas podrían convertirse en caries.
Además, después de usar ortodoncia, ¿quién no querría tener dientes blancos y alineados? Tan importante es elegir bien la ortodoncia adecuada como un blanqueamiento posterior de calidad.
Tratamientos Médicos que Pueden Provocarlas
Algunos medicamentos también están relacionados con la aparición de manchas y otros problemas en los dientes. Estos son algunos de los más frecuentes:
- Quimioterapia: Aumentan la sequedad de la boca y la inflamación en general.
- Tetraciclina y Doxiciclina: Cuando estos antibióticos se recetan en la infancia, los dientes definitivos pueden aparecer con manchas grises en forma de capas. Hoy en día, los antibióticos para niños menores de 8 años no contienen estos componentes.
- Clorhexidina: Agente antimicrobiano que puede causar manchas si se usa de manera prolongada.
- Antidepresivos: Aumentan la sequedad de la boca. Al disminuir la saliva, que tiene una función protectora, promueven la aparición de manchas y caries.
- Antihistamínicos: También reducen la saliva y aumentan el riesgo de padecer enfermedades de las encías.
- Antihipertensivos: Se relacionan con la aparición de manchas y una inflamación y sobrecrecimiento de las encías.
- Aspirina: Por su acidez puede dañar el esmalte si no se toma de la manera adecuada. Hay que tragarla y evitar el contacto con dientes y encías.
Fluorosis
¿Es el flúor bueno o malo para los dientes? Este mineral ha causado controversia porque, por un lado, fortalece los dientes y previene la caries; sin embargo, un exceso durante la infancia puede dar pie a manchas blancas o decoloradas en los dientes permanentes. Es lo que se conoce como fluorosis.
Hay que tener en cuenta que los niños a menudo se tragan parte de la pasta de dientes durante el cepillado. Por eso es importante usar poca cantidad de esta y ayudarles cuando se lavan los dientes. Hasta los 3 años, los niños deben usar muy poca pasta dental y solamente dos veces al día. Pero, ¿sabías que hay otras fuentes de flúor? Por ejemplo, algunos suplementos de fluoruro, o incluso el agua potable de determinadas zonas y los alimentos procesados con esa misma agua.
Este tipo de manchas aparecen en la infancia y son permanentes. Por eso, es importante consultar con el odontólogo ante cualquier duda respecto a la higiene bucodental de nuestros hijos.
Traumatismos
Por último, no podemos olvidarnos de los traumatismos como posible causa de manchas en los dientes. La explicación es que, a consecuencia del impacto, puede morir el nervio. Esto hará que vaya cambiando el color de los dientes afectados. Así pues, como son manchas intrínsecas, el odontólogo podrá asesorar sobre el uso de carillas. En estos casos una evaluación personalizada será imprescindible, y más si también hay rotura del diente.
| Causa de la Mancha | Tipo de Mancha | Tratamiento Común |
|---|---|---|
| Alimentos Ácidos | Extrínseca (Amarillenta) | Blanqueamiento dental |
| Café, Tabaco, Alcohol | Extrínseca (Marrón) | Limpieza profesional, blanqueamiento |
| Bruxismo | Extrínseca (Amarillenta) | Férula de descarga, blanqueamiento |
| Descalcificación | Intrínseca (Blanca) | Carillas dentales |
| Fluorosis | Intrínseca (Blanca/Marrón) | Carillas dentales |
| Traumatismos | Intrínseca (Grisácea/Oscura) | Carillas dentales, tratamiento de conducto |
Tratamientos para las Manchas en los Dientes
Ahora conocemos todas las posibles causas y tenemos una idea general de las soluciones odontológicas para conseguir una sonrisa más blanca y libre de manchas. ¿Quieres aprender más sobre los tratamientos de estética dental para lograrlo?
Cuál es el MEJOR BLANQUEADOR DENTAL en 2023 🦷✌️
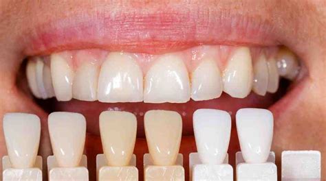
Blanqueamiento Dental
El blanqueamiento dental es el tratamiento más conocido para conseguir una limpieza profunda del esmalte dental. Es probable que ya te hayas hecho alguno. Sin embargo, esta técnica ha evolucionado mucho en los últimos años para poder ofrecer diferentes para cada necesidad. ¿Sabías que hay un tipo de blanqueamiento que puedes hacerte sin salir de casa? Consiste en la aplicación de un gel de blanqueamiento sobre una férula transparente, hecha a medida. Este tratamiento se lleva a cabo a lo largo de tres semanas, aplicándotelo por la noche y dejándolo actuar mientras duermes.
Por otro lado, si prefieres una alternativa rápida en la clínica, puedes optar por dos sesiones de 45 minutos. El profesional usa para ello un gel de alta concentración que proporciona un muy buen resultado. ¿Te gustan las dos opciones y quieres conseguir un blanqueamiento rápido y duradero? Puedes combinar una sesión en la clínica con un tratamiento en casa de 10 días. Por último, hay una técnica de blanqueamiento, llamada blanqueamiento interno, en la que trabajamos sobre el interior de las piezas dentales, que también se puede oscurecer. Está enfocado a manchas que aparecen por endodoncias o traumatismos.
Ahora bien: ¿cuándo llevar a cabo el blanqueamiento dental? Esto es algo que depende mucho de la persona en cuestión y de sus hábitos diarios. En general, los profesionales recomiendan hacerlo cada dos o tres años. Sin embargo, puedes realizar un «refuerzo» cada 6 meses sin ningún riesgo. Recuerda que el blanqueamiento es ideal para las manchas superficiales, como las que causan los alimentos ácidos, con pigmentos, el café, el alcohol… No obstante, para las manchas intrínsecas es mejor optar por las siguientes alternativas.
Carillas Dentales
¿Las manchas que tienes en los dientes tienen que ver con un desgaste del esmalte o la dentina? ¿Se han ido oscureciendo y tienen una textura porosa o rugosa? Entonces, tu mejor elección son las carillas dentales. Estas láminas, hechas de composite o porcelana, se colocan sobre los dientes para mejorar su color y su forma. De este modo no solo dejarán de verse las manchas, sino que podrás mejorar cualquier irregularidad o desgaste con un efecto muy natural.
Para que el resultado sea óptimo, confeccionamos las carillas a medida con las técnicas más modernas. A diferencia de los modelos antiguos, estas mantienen la estructura del diente sin necesidad de tallado previo.