La búsqueda de la perfección estética ha llevado a muchas celebridades a someterse a diversos tratamientos, y la sonrisa no es una excepción. Observamos cambios notables en figuras públicas como Paula Echevarría y María Aguilar, quienes han transformado sus sonrisas a través de procedimientos dentales.

El Caso de Paula Echevarría
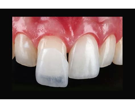
La evolución de Paula Echevarría ha sido objeto de interés público. Más allá de sus rutinas de belleza y ejercicios, su sonrisa ha experimentado una notable transformación. Inicialmente, optó por un blanqueamiento dental con geles y láser. Sin embargo, el proceso continuó con la aplicación de carillas para lograr una sonrisa perfectamente alineada.
Tras varios tratamientos de blanqueamiento adicionales, Echevarría transformó su boca en un elemento "absolutamente artificial", con un blanco Hollywood que no resulta del todo natural. Todos estos tratamientos fueron realizados en la Clínica Dental Rosales, bajo la supervisión de la doctora Doris.

María Aguilar y sus Carillas Dentales
María Aguilar, conocida por su participación en ‘La isla de las tentaciones’, también ha abordado el tema de sus carillas dentales. Tras recibir críticas sobre el tamaño de sus dientes, Aguilar reveló el motivo de salud que la llevó a tomar esta decisión. La influencer explicó que se vio obligada a ponerse carillas debido a un problema que sufrió en sus dientes hace algunos años. Después de rumores de infidelidad, Aguilar decidió someterse a este retoque, ya que era "algo que tenía que cambiar".
Aguilar también ha aclarado si se arrepiente de su decisión, especialmente tras los comentarios negativos que ha recibido. A través de su canal de mtmad, María Aguilar ha explicado la historia detrás de sus carillas, abordando las críticas y compartiendo su verdad con sus seguidores.
Otros Retoques Estéticos de Paula Echevarría
Además de su sonrisa, Paula Echevarría ha cuidado otros aspectos de su imagen:
- Escote: Aumento de pecho en varias etapas para "tener más personalidad".
- Piel: Tratamientos faciales mensuales en Tacha Beauty, masajes remodeladores e Indiba.
- Cuerpo: Entrenamiento personalizado en casa con un 'personal trainer'.
- Maquillaje: Asesoramiento de maquilladores profesionales como Miguel Angel Álvarez y Sonia Marina.
- Vestuario: Colaboraciones con marcas y diseñadores como Tous, Jorge Vázquez y Dolores Promesas.

La Influencia de la Imagen Pública
La imagen pública juega un papel crucial en las decisiones estéticas de las celebridades. Paula Echevarría, por ejemplo, dejó de asistir a gimnasios públicos para evitar ser fotografiada "sudada, despeinada y desarreglada". En su lugar, optó por entrenar en casa con un entrenador personal.
¿Qué tipo de carillas dentales es mejor para ti: porcelana o composite? - Clínica Ruiz de Gopegui
El Impacto Económico del Autocuidado
El autocuidado de la salud y el bienestar se ha convertido en un ideal cada vez más extendido. La Asociación Nacional de Especialidades Farmacéuticas Publicitarias (anefp) prevé un crecimiento del 4% anual en el sector, alcanzando un valor total de 7.000 millones de euros. Factores como la mejora de la economía, el aumento del consumo y la disminución del desempleo contribuyen a esta expansión.
El Papel de los Profesionales de la Salud
La labor del médico, las recetas electrónicas, el enfermero y la publicidad responsable son fundamentales en el ámbito del autocuidado. La elaboración de guías y códigos deontológicos, así como el aval de sellos que aseguran información veraz, son esenciales para garantizar la calidad de los productos y servicios ofrecidos.
En resumen, la transformación de la sonrisa, ya sea a través de carillas dentales o blanqueamientos, es solo una parte de un proceso más amplio de cuidado personal y búsqueda de la perfección estética. Celebridades como Paula Echevarría y María Aguilar han compartido sus experiencias, ofreciendo una visión de los desafíos y los resultados de estos procedimientos.