Unos dientes más blancos reflejan un aspecto más saludable y limpio, siendo el tono del esmalte una de las preocupaciones más habituales en la estética dental. El esmalte, una capa dura que protege nuestras piezas dentales, puede cambiar de color con el tiempo debido a diversos factores como la edad, hábitos alimenticios, tabaco o el uso de ciertos fármacos. El blanqueamiento dental es un procedimiento dentro de la odontología estética que aclara el color de los dientes.

¿Qué es el Blanqueamiento Dental?
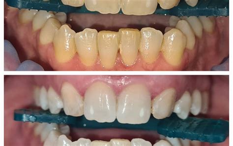
El blanqueamiento dental es un proceso cosmético que utiliza agentes blanqueadores para aclarar y eliminar manchas de los dientes. Nuestro tratamiento de blanqueamiento dental combinado inicia con una revisión y una limpieza dental profunda. Para finalizar, el experto hace una valoración de los resultados.
- ✔ 1ª Visita, Revisión y Limpieza Gratuita.
- ✔ Financiación sin Intereses.
En Arturo Lozano Clínica Dental, ofrecemos precios competitivos y transparentes para nuestro tratamiento de blanqueamiento dental.
¿Es Seguro el Blanqueamiento Dental?
Sí, el blanqueamiento dental es seguro cuando es supervisado por un profesional dental. La mayoría de los adultos pueden beneficiarse del blanqueamiento dental, pero no es recomendado para niños menores de 16 años, mujeres embarazadas o lactantes.
Duración de los Resultados
Los resultados pueden variar, pero generalmente el blanqueamiento dental puede durar de 6 meses a 2 años. No, el blanqueamiento dental no es permanente. Los resultados pueden durar varios meses o hasta tres años, pero esto varía de persona a persona. El tratamiento de blanqueamiento dental no es definitivo y puede requerir mantenimientos periódicos.

Efectos Secundarios del Blanqueamiento Dental
Algunas personas pueden experimentar sensibilidad temporal en los dientes o irritación de las encías durante o después del tratamiento de blanqueamiento. No hay efectos secundarios a largo plazo conocidos del blanqueamiento dental cuando se realiza correctamente bajo la supervisión de un dentista.
Sensibilidad Dental
Uno de los efectos secundarios más comunes del blanqueamiento dental es la sensibilidad temporal de los dientes. Puede ocurrir sensibilidad al frío, al calor o incluso al aire.
Irritación de Encías
El blanqueamiento dental puede causar irritación temporal en las encías, especialmente si el agente blanqueador entra en contacto directo con el tejido gingival. Lo materiales de blanqueamiento pueden quemar el tejido de la encía e incluso derivar en la muerte del diente si alcanza la parte interior.
Consideraciones Importantes
Los materiales usados en empastes, coronas o carillas no responden a los tratamientos de blanqueamiento como lo hacen los dientes naturales. Después de un tratamiento de blanqueamiento, se recomienda evitar alimentos y bebidas con pigmentos fuertes, como café, té, vino tinto y salsas oscuras, por al menos 48 horas.
La elección del método de blanqueamiento adecuado depende de varios factores, incluyendo la gravedad de las manchas dentales, el presupuesto, y la preferencia personal. El costo del blanqueamiento dental puede variar considerablemente dependiendo del método elegido.

Opciones de Blanqueamiento Dental
Sí, hay productos de blanqueamiento dental de venta libre, como tiras blanqueadoras y geles, que puedes usar en casa. El blanqueamiento dental casero puede ser efectivo y proporcionar buenos resultados, pero generalmente toma más tiempo y puede ser menos potente que los tratamientos realizados en la clínica.
Tipos de Blanqueamiento Dental
- Blanqueamiento dental con férulas y gel en casa: Este método implica el uso de férulas bucales personalizadas que se llenan con un gel blanqueador. Las férulas se usan durante un período de tiempo específico cada día, generalmente durante varias semanas.
- Blanqueamiento dental con tiras o bandejas prellenadas: Estos productos, disponibles sin receta o bajo la guía de un dentista, incluyen tiras adhesivas prellenadas o bandejas moldeables que contienen agentes blanqueadores.
- Blanqueamiento dental con pasta dental y enjuagues: Algunas pastas dentales y enjuagues contienen agentes blanqueadores en bajas concentraciones.
El Dióxido de Titanio en Productos Dentales
En los últimos años el Dióxido de Titanio (Titanium dioxyde o CI 77891) se encuentra en el punto de mira, siendo objeto de críticas por su toxicidad. Se emplea principalmente como colorante, conservante o filtro solar. Puedes reconocerlo en la etiqueta INCI de los productos cosméticos con la denominación “Titanium dioxyde” o CI77891 (si se emplea como un colorante).
Las nanopartículas de Dióxido de Titanio son, desde hace años, sospechosas de provocar ciertas alergias respiratorias, asma, bronquitis, rinitis, disturbios cardiovasculares o incluso cánceres. El personal que manipula, durante la fabricación de productos, polvo de Dióxido de Titanio está directamente expuesto a estos riesgos por vía respiratoria.
Según otros estudios realizados por los fabricantes de cosméticos BIO, las nanopartículas de Dióxido de Titanio se quedarían en la capa superficial de la epidermis (2 a 4 micrómetros de grosor) que se renueva todos los días. Según el resultado de estos análisis, las partículas minerales se eliminarían con las células muertas.
Medidas de Precaución
- Garantizar fórmulas sin nanopartículas, con un diámetro de partículas superior a 100 nm.
- Optar por la encapsulación.
Desde el mes de julio 2013, la normativa Europea sobre los nanomateriales en los cosméticos obliga a los fabricantes a indicar la presencia de nanomateriales en la lista de los ingredientes del INCI. En nuestra tienda online, todos los protectores solares naturales y bio se fabrican sin nanopartículas.
Provenza Clínica Dental - Blanqueamiento Dental, Todo lo que necesitas saber sobre este tratamiento
Opiniones de Usuarios y Expertos sobre Blanqueadores Dentales
Muchos de los compradores que, tras una experiencia no muy buena, se han encargado de dejarlo por escrito en la red hacen que otros como nosotros no caigamos en la trampa. No son pastas de dientes blanqueadoras. Son mucho más. Es el caso de Dial a Smile Professional, uno de los blanqueadores dentales más populares de Instagram.
Cuando lo buscamos en Amazon, una de las plataformas online que lo vende (versión americana), nos dimos cuenta que del 100% de las opiniones, tan sólo un 21% parecía estar tan satisfecha como esas usuarias pero casi un 50% mostraban su descontento otorgando una solitaria estrella.
Miguel López Andrade, vocal del comité ejecutivo del Consejo General de Dentistas de España aseguró a Infosalus que "el blanqueamiento dental no es un tratamiento sencillo y la legislación europea y nacional exige que el peróxido de hidrógeno, del que derivan los productos blanqueadores, por encima del 0,1% de concentración sea sólo aplicado con la supervisión y control de un dentista, ya que no toda persona puede pasar por una actuación dental de este tipo".
Acero nos recuerda la importancia de "hacer compras de productos validados por la normativa vigente aquí, huyendo de caer en la tentación de comprar productos por sus campañas, si no nos los recomienda un especialista, pues o bien no hacen efecto alguno, o pueden tener agentes abrasivos que nos perjudiquen o produzcan una sensibilidad dental espantosa".
Cómo Conseguir Dientes Más Blancos de Forma Segura
La mejor solución: la prevención. "Lo mejor para evitar una coloración es evitar o minimizar el consumo de alimentos y bebidas que los tiñan, tales como tés, cafés, vino tinto y tabaco" nos explica Belén Acero. A lo que añade: "Es muy importante huir también de métodos alternativos que se pueden encontrar especialmente en la red porque pueden tener consecuencias muy peligrosas no solo pata la estética sino para la salud. Existen en las farmacias opciones más seguras como pastas dentales blanqueadoras con peróxido de carbamida, cuyo efecto es más lento pero más seguro. Lo mejor: consultar a un especialista dentista” concluye.
Así que, en el caso de querer lanzarte de lleno a la piscina con estos productos, como advierten los expertos, asegúrate de que en el etiquetado se especifica la concentración de este producto blanqueador y que esté vinculado a la legislación vigente.
Mantenimiento Post-Blanqueamiento Dental
Desde la clínica dental Dr. Cristo Bacallado explican que es crucial hacer un buen mantenimiento y evitar ciertos alimentos para mantener la tonalidad del esmalte dental:
- Evita bebidas de fuerte pigmentación: Minimizar el consumo de café, té, jugo de naranja y vino tinto o rosado te ayudará a mantener el color blanco de tu dentadura.
- No comas frutas y verduras de colores intensos: Algunos ejemplos de frutas que pueden alterar la pigmentación de los dientes son las cerezas, arándanos, moras, frambuesas y la remolacha.
- Limita los alimentos cítricos y ácidos: La acidez puede debilitar el esmalte dental, por lo que será mejor evitarla.
- No fumes: Aparte ser un hábito perjudicial para la salud en muchos aspectos, fumar cambia el pigmento de los dientes.
- Mantén una higiene bucal adecuada: Cepillarse los dientes después de cada comida es imprescindible para mantener el color blanco de los dientes.
Tabla Comparativa de Métodos de Blanqueamiento Dental
| Método | Eficacia | Duración | Riesgos | Costo |
|---|---|---|---|---|
| Blanqueamiento en Consultorio | Alta | 6 meses - 2 años | Sensibilidad, irritación | Alto |
| Blanqueamiento Casero (Férulas) | Media | 3 meses - 1 año | Sensibilidad, irritación | Medio |
| Tiras Blanqueadoras | Baja | 1-6 meses | Sensibilidad | Bajo |
| Pastas Blanqueadoras | Muy Baja | Variable | Erosión del esmalte | Muy Bajo |
tags: #maquillaje #dental #blanco