En el mundo de la odontología, una sonrisa presentable es esencial para la vida cotidiana. La sonrisa forma parte de nuestra imagen y personalidad, influyendo en las relaciones interpersonales e incluso en el ámbito laboral.
La Dra. Margarita Balboa es una destacada dentista que se dedica a mejorar la estética dental mediante el uso de coronas y puentes de porcelana. Su enfoque se centra en crear sonrisas armoniosas y saludables que mejoren la autoestima y la calidad de vida de sus pacientes.

Poder sonreír sin complejos mejora nuestra autoestima y abre más nuestra comunicación gesticular con los demás. No desviar la mirada o no taparse la boca al reír con ganas, nos hace más felices que lo contrario.
Mejorando la Sonrisa: Técnicas y Procedimientos
Para mejorar nuestra sonrisa, se recurre a diversas técnicas y procedimientos:
- Cirugía Ortognática o maxilar: Para modificar la posición dento-maxilar de huesos y dientes.
- Ortodoncia: Para mejorar la alineación tridimensional del arco dental y su posición de cierre dentario al morder.
- Prótesis sobre implantes o prótesis fijas convencionales: Para reponer dientes ausentes.
- Coronas de Porcelana: Para mejorar o reconstruir una pieza independiente.
¿Qué son las Prótesis?

Cualquier dispositivo creado artificialmente por el hombre, para reemplazar total o parcialmente un órgano perdido, devolviendo la función con mayor o menor éxito. En este caso, incluye el aspecto estético, que influye en la salud psicológica y en las relaciones sociales.
Coronas de Porcelana: Una Solución Estética y Funcional
Una corona es una prótesis que reemplaza totalmente la estructura coronal externa de una pieza dental dañada en su integridad o en su aspecto. En este caso la pieza no puede ser restaurada con garantías de éxito mediante un sencillo empaste.
La pieza debe conservar su raíz. Solo se elimina el esmalte y parte de su dentina y se crea un muñón. La pieza es forrada con un esmalte nuevo, conservando su estructura interna.
También puede colocarse una corona sobre un muñón artificial, anclado (Perno-muñón) dentro de una raíz dental, previamente endodonciada.

El diente es rebajado en volumen, y su estructura reemplazada por éstas fundas. Las coronas deben estar bien ajustadas. Luego se cementan con un cemento que pega, sella y retiene.
Puente Fijo Convencional
Prótesis fija cementada a piezas vecinas para reponer una o varias piezas ausentes.
Un puente está formado por dos pilares que lo soportan y retienen y un tramo entre pilares, formado por las piezas artificiales que repone a las faltantes. Los pilares son tallados y se preparan como para hacer una Corona. Soldado a las dos Coronas va unido el tramo. Dos piezas sujetan a una, dos, tres y hasta cuatro piezas faltantes en algunos casos.

La estructura se prueba en boca. Si va bien, se le pone la porcelana y se vuelve a probar y ajustar.
El Equipo Detrás de la Sonrisa Perfecta
En el teatro de la Prótesis dental hacen falta como mínimo tres personajes fundamentales: Un paciente, un dentista y un técnico de laboratorio dental.
- El Paciente: Debe ser bien asesorado, informado e instruido por el Dentista. El Dentista debe conseguir la plena confianza y poder de actuación por parte del Paciente. Sin confianza no hay relación Paciente-Profesional.
- El Dentista: Es el responsable ante el Paciente. Ante nadie más. El paciente confía en el dentista, que él libremente ha decidido elegir. Es su Dentista de confianza, y no se debe defraudar la confianza.
- El Protésico Dental: Fabrica los dientes de porcelana según las indicaciones y gustos del Dentista. Pero es el Protésico dental el artista que domina el arte de crear dientes bonitos.
CORONAS DENTALES 🦷 *[ Aprende Todo lo que Necesitas SABER ] *
Casos de Éxito
La Dra. Balboa ha transformado numerosas sonrisas a lo largo de su carrera. A continuación, se presentan algunos casos de éxito:
- Dientes fracturados y erosionados por ácidos del estómago: Solución con Coronas de porcelana sobre Zirconio.
- Dientes rotos y empastes caídos: Solución con cuatro coronas de Zirconio.

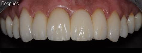
Las coronas dan la sensación de que «nacen» de la encía.
La Dra. Margarita Balboa, a través de su dedicación y experiencia, continúa mejorando la calidad de vida de sus pacientes, ofreciéndoles sonrisas hermosas y funcionales.