Los dientes son nuestra tarjeta de presentación ante la sociedad. Por ello queremos lucir una dentadura radiante y con la mejor apariencia posible, pero con un procedimiento sencillo. Las carillas dentales se han convertido en la solución estrella para conseguirla.
En este artículo, te brindaremos una guía completa sobre los diferentes tipos y materiales de carillas dentales, para que puedas elegir la opción adecuada según tus necesidades y preferencias. En Dental Care Barcelona, tu clínica dental de confianza, sabemos que una sonrisa saludable es fundamental para tu bienestar y confianza. Entendemos que los problemas estéticos en los dientes, como manchas, fracturas, espacios o desgaste, pueden afectar la apariencia de tu sonrisa y tu autoestima.
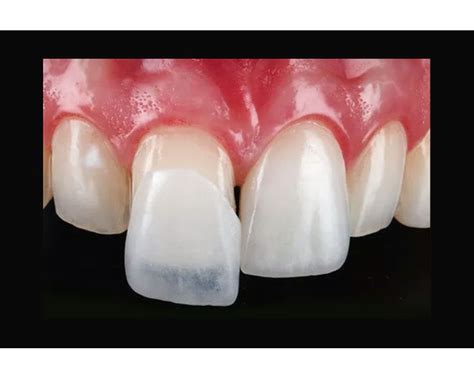
Las carillas dentales son láminas delgadas y personalizadas que se adhieren a la parte frontal de los dientes para mejorar su apariencia estética. Estas láminas están diseñadas para cubrir imperfecciones y crear una sonrisa más brillante y atractiva.

¿Qué son las Carillas Dentales?
Antes de explicar las características y materiales de este tratamiento dental, queremos contarte qué son las carillas dentales. Son láminas delgadas de diferentes materiales que se adhieren a la parte frontal del diente para mejorar su aspecto de manera considerable.
Las carillas dentales se utilizan, normalmente, para resolver ciertos problemas dentales, como:
- Desgaste dental: Con el tiempo, el desgaste dental puede hacer que los dientes se vean desiguales o desgastados.
- Manchas
- Fracturas
- Espacios
Tipos de Carillas Dentales
Existen distintos tipos de carillas dentales disponibles, para que puedas elegir la opción adecuada según tus necesidades y preferencias. A la hora de elegir un tipo de carillas u otro es necesario acudir a la clínica dental y que sea el odontólogo quien aconseje el tipo de carilla más conveniente, en función de las necesidades de cada paciente.
Fabricadas en distintos materiales, cada tipo de carilla tiene unas características particulares que la hacen diferente.
Carillas de Composite
Las carillas de composite están fabricadas en una resina sintética denominada composite, como cita su nombre. Para darnos una idea de su alta resistencia, basta con saber que es un material utilizado en la industria aeronáutica y espacial. Los especialistas prefieren utilizar este material para realizar correcciones sencillas o para realizar modificaciones para personas jóvenes, ya que el tratamiento con porcelana se recomienda utilizar una vez que el crecimiento se ha completado.
Una ventaja de las carillas de composite es que sólo se necesita una sesión para colocarlas. Por lo general, estas últimas suelen confeccionarse en la propia clínica dental con un material fotocurable, igual que el que se usa para hacer los empastes. Estas carillas sí requieren la preparación del diente, por lo que son permanentes.
Las carillas de composite están fabricadas con una resina similar a la que utilizamos para los empastes estéticos modernos. El proceso de colocación es relativamente sencillo. Tras una preparación mínima del diente, el especialista aplica la resina capa por capa, dándole forma y puliendo hasta conseguir el resultado deseado.
Una de las ventajas de las carillas de composite es que se realiza en una única sesión en la consulta odontológica. Además, no suele ser necesario desgastar apenas el esmalte dental, por lo que es un tratamiento muy conservador. En cambio, las propiedades estéticas y la durabilidad de este material son inferiores a la porcelana. Este tipo de carillas se desgastan más fácilmente y son más propensas a mancharse, por lo que es conveniente pulirlas o reemplazarlas cada cierto tiempo. Su sustitución es sencilla y tienen la ventaja de que son más económicas que las carillas de porcelana.
Se confeccionan en una sola sesión por el odontólogo, y por ello son rápidas y económicas. No obstante, a medio plazo pierden brillo, cambian de color, se desgastan y se fracturan.
¿Cuánto Dura un Diseño de SONRISA con RESINA? - Te explico las Ventajas y Desventajas (La VERDAD👇)
Carillas de Porcelana
Las carillas que más se utilizan son las de cerámica o porcelana. Aunque su costo puede ser mayor, en comparación con las de composite, su durabilidad y calidad son mayores. Esta variación de carillas se recomienda para utilizar en casos más graves, como pueden ser dientes astillados, decoloración, separación excesiva de los dientes frontales, etc.
Reconocidas por su apariencia natural y durabilidad excepcional. Fabricadas a medida en un laboratorio dental, estas carillas se adhieren permanentemente a la superficie dental. La porcelana imita la apariencia de los dientes naturales y ofrece una resistencia superior a las manchas. Como característica de las carillas de porcelana es que proporcionan una altísima durabilidad y resistencia. Ofrecen unos resultados muy naturales y apenas son perceptibles, algo que nuestros pacientes aprecian considerablemente.
Con las carillas de porcelana conseguimos más estética. Con este material logramos resultados muy similares al diente natural. Hace años, para realizar carillas de porcelana era necesario realizar un tallado mayor de la pieza dental que para la colocación de carillas de composite. Sin embargo, en la actualidad, gracias a los nuevos materiales que han ido surgiendo, no es prácticamente necesario desgastar el esmalte dental.
Otra ventaja de este tratamiento es que poseer una duración mayor que las de composite, ya que la porcelana presenta una gran resistencia a la masticación. Además, su superficie lisa, poco porosa y brillante dificulta el cambio de color con el paso de los años. Por lo tanto, a pesar de que las carillas de porcelana son más caras económicamente, perduran más en el tiempo que las de resina o composite.
Las carillas de porcelana representan el estándar dorado en estética dental. El proceso de colocación requiere varias visitas. En la primera cita, se realiza un tallado mínimo del diente para crear espacio para la carilla. Posteriormente, se toman impresiones precisas que se envían al laboratorio, donde técnicos especializados crearán tus carillas a medida.
Las carillas cerámicas dentales son una opción más duradera que las carillas de resina, porque no cambian de color, no pierden brillo y no se desgastan. Sin embargo, al ser fabricadas por un técnico de laboratorio, su coste es mayor que el de las carillas de resina.

Carillas Ultrafinas
También conocidas como carillas de lente de contacto dental, son ultrafinas y se adhieren directamente a la superficie de los dientes existentes sin la necesidad de tallar o reducir el esmalte dental. Son las carillas de mayor calidad y que dejan una mejor apariencia. Para la elaboración de este material se utiliza porcelana inyectada, lo que genera mayor resistencia. Las más destacadas y las más utilizadas en el mundo de la odontología son las carillas de marca Lumineers.
Se llaman así porque son carillas de porcelana muy finas, por lo cual no es necesario realizar ningún tallado dental (odontología mínimamente invasiva), únicamente un ligero contorneado o pulido para posteriormente adherir dichas carillas al esmalte. Generalmente se utilizan dos clases de porcelana para realizar este tipo de carillas: disilicato de litio o porcelana feldespática. A pesar del poco grosor que presentan, poseen mucha resistencia.
La ventaja que tienen estos materiales es que son muy translucidos, reflejan la luz, por lo que conseguimos un resultado muy similar al propio diente. La colocación de carillas de porcelana ultrafinas no requiere del tallado de un diente, por lo que es ideal para personas con mayor sensibilidad.
Carillas de Zirconio
Opción de alta gama para aquellos que buscan la máxima estética y resistencia. El zirconio es un material cerámico extremadamente duradero y translúcido, que imita la apariencia de los dientes naturales de manera excepcional. Estas carillas son altamente resistentes a las manchas y ofrecen resultados duraderos.
Con un mayor grosor y resistencia, en paridad con las carillas ultrafinas. Las carillas de zirconio ofrecen una mayor resistencia, pero solo se utilizan en casos muy específicos. Tu dentista deberá valorar si es necesario utilizar este material para tu tratamiento. El zirconio es un elemento muy usado en la odontología, ya que tiene una ventaja sobre otros materiales: su transparencia.
La naturalidad que brinda este elemento es único; por ello, resulta ideal para intervenciones estéticas. Aunque es un material muy resistente, su grosor es mayor y son más opacas que las anteriores. Por estas características, sólo se utilizan cuando necesitamos modificar notablemente el color dental. Este material se utiliza más para realizar coronas que para carillas dentales.
Carillas de Disilicato de Litio
El disilicato de litio es un material que resulta de la combinación de vidrio y cerámica. Es utilizado para realizar prótesis dentales, puentes, coronas y carillas. Su durabilidad ha demostrado ser 3 veces mayor que la de otros materiales. Su fácil manejo y alta resistencia convierten a este material una muy buena alternativa.
¿Cuál es la Mejor Opción?
La respuesta honesta es que no existe una opción universalmente superior. Lo importante es descubrir qué es mejor para tu caso particular. Si buscas una solución rápida y económica para mejoras menores, las carillas de composite pueden ser tu aliada perfecta.
No hay una opción universalmente «mejor». La elección ideal depende de factores personales como tu presupuesto, expectativas estéticas, el estado actual de tus dientes, tus hábitos (consumo de café, tabaco) y la durabilidad que deseas. La clave está en una evaluación profesional personalizada.
Tanto las carillas de composite como las de porcelana tienen su lugar en la odontología estética moderna. Las primeras ofrecen una solución accesible y rápida, mientras que las segundas proporcionan resultados de máxima calidad y durabilidad.
Es importante señalar que las carillas dentales no sustituyen la realización de otro tipo de tratamientos como la ortodoncia y se deben realizar cuando la boca está saneada, es decir, sin caries ni inflamación de encías. Si los dientes tienen un color oscuro, seguramente será recomendable hacer un tratamiento de blanqueamiento previo a la colocación de las carillas. Además, el odontólogo elegirá el tipo de carilla según el color de las piezas dentales y la tonalidad final que se quiera conseguir.
También dependiendo de la posición que tengan las piezas dentales en la arcada, puede ser necesario realizar un tratamiento de ortodoncia o, en su lugar, elegir el tipo de carilla que mejor se adapte a tus necesidades.
Los objetivos principales de una carilla dental es que tú te sientas cómodo con ella y que la función de tus dientes sea óptima.
En nuestra clínica, nuestros especialistas en estética dental te ayudarán a descubrir qué tipo de carillas son perfectas para conseguir la sonrisa que siempre has deseado. Analizaremos tu caso específico, escucharemos tus expectativas y te ofreceremos un plan completamente personalizado. ¿Estás listo para dar el primer paso hacia tu nueva sonrisa?
Tabla comparativa de materiales para carillas dentales
| Material | Ventajas | Desventajas | Durabilidad | Precio |
|---|---|---|---|---|
| Composite | Rápido, económico, fácil de reparar, tallado mínimo | Menos estético, menos duradero, propenso a manchas | 5-7 años | Bajo |
| Porcelana | Excelente estética, duradero, resistente a manchas, biocompatible | Más caro, requiere varias visitas, puede requerir tallado | 10-20 años | Alto |
| Zirconio | Máxima resistencia, alta estética | Mayor grosor, más opaco, casos específicos | 15-25 años | Muy Alto |
| Disilicato de Litio | Muy duradero, alta resistencia, fácil de manejar | Costo puede ser elevado | 15-20 años | Alto |