La hipoplasia maxilar o subdesarrollo del maxilar superior es una condición que afecta a muchas personas, causando problemas tanto estéticos como funcionales. En este artículo, exploraremos qué es exactamente la hipoplasia maxilar, cuáles son sus causas, los tratamientos disponibles y cómo puedes mejorar tu calidad de vida si padeces esta condición. Si buscas soluciones efectivas, sigue leyendo.

¿Qué es la hipoplasia maxilar?
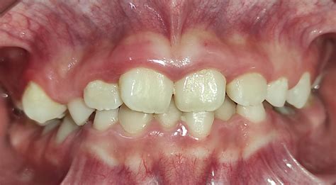
La hipoplasia maxilar es una condición que se caracteriza por un subdesarrollo del hueso maxilar superior, lo que puede causar problemas tanto de alineación dental como de apariencia facial. Este problema no solo afecta la estética facial, sino que también puede tener un impacto funcional en la vida diaria. Las personas con esta afección suelen presentar:
- Una mandíbula que sobresale en comparación con la parte superior del rostro.
- Problemas para masticar o hablar adecuadamente.
- Mordida cruzada o problemas de alineación dental.
Causas de la hipoplasia maxilar
Existen varias causas posibles, entre las que se incluyen:
- Factores genéticos: La herencia juega un papel importante en el desarrollo de esta condición.
- Malformaciones congénitas: Algunas personas nacen con esta anomalía debido a problemas durante el desarrollo embrionario.
- Traumatismos faciales: Los golpes o lesiones graves en la cara durante la infancia pueden causar un mal desarrollo del maxilar superior.
- Problemas respiratorios: Condiciones como la respiración bucal crónica o el uso prolongado del chupete pueden influir negativamente en el crecimiento del maxilar superior.
¿Cómo saber si sufres de hipoplasia maxilar?
Detectar esta condición es crucial para tomar las medidas adecuadas a tiempo. Algunos de los signos más evidentes de la hipoplasia maxilar incluyen:
- Apariencia facial desproporcionada: Mandíbula inferior más prominente que la superior.
- Mordida cruzada o abierta: La alineación de los dientes no es correcta.
- Problemas respiratorios: Dificultades para respirar por la nariz.
- Dolor en la articulación temporomandibular (ATM): Dolor al masticar o al mover la mandíbula.
Si sospechas que puedes tener hipoplasia maxilar, es importante que consultes con un especialista. Un diagnóstico temprano puede facilitar el tratamiento.
Diagnóstico de la hipoplasia maxilar
El diagnóstico de esta afección suele realizarse a través de:
- Examen clínico: El especialista revisará tu estructura facial y dental.
- Radiografías o escáneres 3D: Para obtener una imagen más precisa del maxilar superior.
- Modelos de estudio: En algunos casos, se crean modelos de la boca para estudiar la mordida y la alineación dental.
Tratamientos para la hipoplasia maxilar
Afortunadamente, existen diferentes opciones de tratamiento para la hipoplasia maxilar, adaptadas a las necesidades específicas de cada paciente. Las más comunes incluyen:
- Ortodoncia: En casos leves, el uso de aparatos ortodónticos puede corregir la posición de los dientes y mejorar la alineación de la mandíbula.
- Cirugía ortognática: En situaciones más complejas, puede ser necesaria una cirugía para reposicionar el maxilar superior. Cuando la alteración afecta la estructura ósea, la cirugía ortognática es la encargada de reconstruir o adecuar el hueso de la mandíbula o el maxilar a una posición equilibrada y funcional. Este procedimiento busca adelantar la mandíbula inferior para lograr una relación equilibrada con el maxilar superior. La cirugía mejorará todas las funcionalidades alteradas o imposibilitadas debido a la anomalía, así como la apariencia externa y la armonía estructural de la cara.
- Rellenos faciales o injertos óseos: Estos tratamientos estéticos pueden mejorar la apariencia facial y corregir desproporciones sin la necesidad de cirugía ortognática. Los injertos óseos son una de las soluciones más tradicionales para tratar la atrofia maxilar.
- Expansión maxilar: Para algunos pacientes jóvenes, se puede realizar una expansión del maxilar superior con dispositivos ortopédicos, evitando así una cirugía en el futuro. Este es el tratamiento más habitual en niños, donde se coloca un expansor en el paladar para ampliar el tamaño de la arcada.
En pacientes con una mordida adecuada pero con un mentón retraído, se puede realizar una mentoplastia. Cualquiera de estos tratamientos tiene como objetivo corregir la mandíbula retraída y mejorar la calidad de vida del paciente.
Cirugía ortognática - Qué pacientes necesitan la cirugía ortognática
Beneficios de tratar la hipoplasia maxilar
Al corregirla, los pacientes experimentan mejoras notables en:
- Estética facial: La corrección de las proporciones faciales puede tener un impacto positivo en la autoestima.
- Función masticatoria: Mejoras en la mordida y la capacidad de masticar de forma adecuada.
- Calidad de vida: La corrección de la respiración y la alineación dental mejora la salud general.
El momento ideal para tratar un problema de desarrollo maxilar
El tratamiento para la hipoplasia maxilar puede realizarse a cualquier edad, aunque existen momentos clave en el desarrollo donde puede ser más efectivo:
- Infancia y adolescencia: Durante el crecimiento, los tratamientos ortopédicos son más efectivos, ya que el hueso maxilar está en desarrollo. Esta es una etapa en la que la mordida cruzada es más sencilla de corregir.
- Edad adulta: Aunque es más complicado corregir la hipoplasia en adultos, existen opciones quirúrgicas efectivas que pueden mejorar tanto la funcionalidad como la estética facial. En los adultos, el crecimiento de los huesos ya ha finalizado, por lo que muchas veces hace falta recurrir a una cirugía para poder encajar correctamente las arcadas superior e inferior.
Independientemente de la edad, es esencial acudir a una consulta con un especialista para evaluar las opciones de tratamiento disponibles.
Otras Consideraciones y Tratamientos Adicionales
Además de los tratamientos mencionados, existen otras consideraciones y opciones para abordar la hipoplasia maxilar:
Implantes Cigomáticos y Pterigoideos
En casos de atrofia severa del maxilar superior, especialmente cuando no es posible realizar un injerto óseo, los implantes cigomáticos son una alternativa ideal. Los implantes pterigoideos son una buena opción en casos de atrofia severa en la parte posterior del maxilar superior.
Implantes Subperiósticos
Estos implantes son adecuados para pacientes que tienen una atrofia ósea extrema y no son candidatos para otras soluciones, como injertos óseos o implantes convencionales.
Implantes Angulados
Los implantes angulados son una solución innovadora para pacientes con una cantidad limitada de hueso. Esta solución es ideal para pacientes que han perdido todos los dientes y presentan una atrofia ósea moderada, ya que permite restaurar la función y la estética de la boca sin la necesidad de realizar injertos óseos.
Tratamiento de la Apnea del Sueño
Una parte de la cirugía para tratar la apnea del sueño se realiza mediante cirugía ortognática.
Colaboración Ortodoncia-Cirugía Maxilofacial
La cirugía ortognática está estrechamente relacionada con la ortodoncia. Por lo tanto, corregir las deformidades dento-craneo-maxilofaciales siempre implica trabajo en equipo entre el ortodoncista y el cirujano maxilofacial. En el esquema de tratamiento convencional, ortodoncia-cirugía ortognática-ortodoncia, el objetivo de la ortodoncia preoperatoria es eliminar cualquier compensación dental existente y proporcionar al cirujano una estructura estable y adecuada entre los arcos superior e inferior para poder llevar a cabo los movimientos esqueléticos planificados.

tags: #maxilar #superior #poco #desarrollado