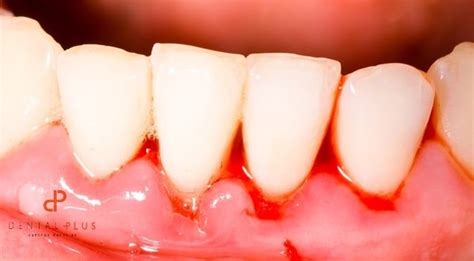
¿Te sangran las encías sin razón alguna? ¿O tal vez sangran cuando utilizas hilo dental o te cepillas los dientes? Aunque es normal que aparezca un poco de sangre de manera ocasional tras el cepillado, utilizar hilo dental o incluso morder alimentos, un sangrado persistente de encías no lo es tanto. Si notas que te sangran las encías con frecuencia, puede que sufras enfermedad de las encías, que es una de las causas más comunes del sangrado de encías.
La enfermedad de las encías es una enfermedad que hace que tus encías sangren y se irriten, inflamen o infecten. La etapa temprana de la enfermedad de las encías se conoce como gingivitis y si no se trata, puede convertirse en una infección de etapa posterior llamada periodontitis, que puede causar daños permanentes en tus dientes y encías.
👉 PERIODONTITIS o PIORREA: Tratamiento eficaz para CURAR tus ENCÍAS 👄
Causas de las Encías Sangrantes
Aunque la enfermedad de las encías es una de las causas más comunes del sangrado, otras enfermedades subyacentes pueden causar dolor y sangrado de encías:
- Diabetes: Las personas que sufren diabetes presentan un riesgo mayor de desarrollar la enfermedad de las encías, eso se debe a que los niveles altos de glucosa sanguínea dañan los vasos sanguíneos y pueden reducir el flujo de sangre y nutrientes a las encías y hueso. Esto incrementa las probabilidades de infecciones como la enfermedad de las encías.
- Hemofilia: La hemofilia es una enfermedad sanguínea poco común que afecta a la capacidad de coagular de la sangre. Si tienes esta enfermedad es más probable que sufras sangrado de encías y deberías tener revisiones dentales periódicas.
- Deficiencia de vitaminas: Las encías sangrantes también pueden estar causadas por deficiencia de vitaminas. Una falta de vitamina C, también conocida como escorbuto, causa la inflamación de las encías y, si no se trata, puede conducir a la pérdida del diente. Una falta de vitamina K también puede causar problemas dentales graves. La vitamina K es necesaria en el proceso de coagulación sanguínea, si tu dieta carece de esta vitamina, uno de los signos principales podría ser el sangrado de encías.
- Medicamentos anticoagulantes: Si tomas medicamentos anticoagulantes como la aspirina, puedes correr el riesgo de que te sangren las encías. Tu dentista puede sugerir tratamientos para utilizar en casa como enjuagues antisépticos, para ayudar con el sangrado de encías.
- Embarazo: Los cambios hormonales en las mujeres embarazadas pueden causar encías sangrantes sin razón aparente. Esto es bastante común y generalmente remite a medida que avanza el embarazo o tras el parto. Las hormonas del embarazo hacen que tus encías sean más sensibles a las bacterias en la placa, algo que puede hacer inflamar las encías.
- Dentaduras mal ajustadas: Si utilizas dentadura y sufres sangrado de encías frecuente, acude a tu dentista. El sangrado se puede producir cuando la dentadura está demasiado ajustada. Tu dentista puede realinearla para que la dentadura se ajuste mejor.
- Utilizar hilo dental o cepillar con demasiada fuerza: Una de las razones del sangrado de encías puede ser tu técnica con el hilo dental o de cepillado. Utilizar un cepillo demasiado duro o utilizar el hilo dental con demasiada fuerza puede causar que las encías sangren.

Tratamiento de las Encías Sangrantes
Si te preocupa el sangrado de tus encías, consulta siempre a tu dentista, ya que podrá recomendarte el mejor tratamiento. Visita regularmente a tu profesional dental para ayudar a prevenir el dolor o sangrado de encías controlando tu acumulación de placa y sarro. Los higienistas dentales recomiendan una cita para limpieza de dientes como mínimo dos veces al año.
Utilizar hilo dental y cepillarte los dientes correctamente también puede ayudar a evitar las encías sangrantes: cambiar a cepillos eléctricos te permite limpiarte los dientes minuciosamente sin maltratar tus encías. Como alternativa, utiliza cepillos más suaves que sean delicados con tus encías sensibles o inflamadas. Tu profesional dental también puede recomendar que utilices enjuagues bucales antibacterianos para ayudar a minimizar la placa, o un sencillo tratamiento casero con agua salada caliente que puede ayudar a aliviar las encías inflamadas.
Para el tratamiento de la periodontitis o para la gingivitis es necesario acudir a una clínica dental especializada en este tipo de dolencia. Una infección de encías como la periodontitis o la gingivitis podría tratarse con un tratamiento con antibióticos, aunque no es aconsejable utilizarlo como tratamiento único. En la gran mayoría de los casos, la infección dental puede controlarse únicamente con la desinfección profunda de la placa bacteriana, no siendo necesario el uso de antibióticos.
Los antibióticos se utilizan solo cuando la infección se ha extendido más allá de las encías o hay abscesos dentales. En caso de alergia a la penicilina, el dentista puede recetar alternativas como clindamicina o azitromicina. Una buena higiene con cepillado suave, uso de hilo dental y enjuague con clorhexidina puede ayudar a reducir la inflamación leve.
Los colutorios para encías inflamadas, especialmente aquellos que contienen clorhexidina, son una excelente herramienta de apoyo a corto plazo. Sin embargo, es fundamental que comprendas que representan solo una parte de la solución. La única forma de curar verdaderamente la gingivitis y prevenir su evolución hacia una periodontitis es mediante la eliminación mecánica del sarro en una limpieza profesional.
Cuando la enfermedad ha progresado y nos encontramos ante una periodontitis, el tratamiento se vuelve más complejo. El curetaje o raspado y alisado radicular es un procedimiento más profundo que elimina el sarro adherido a la raíz dental y alisa la superficie radicular para eliminar las endotoxinas bacterianas.
Actualmente en la clínica dental es posible tomar muestras de la placa bacteriana del paciente y enviarlas para realizar un estudio microbiológico mediante cultivo, PCR y antibiograma y así identificar de forma precisa las bacterias presentes e indicar de forma individualizada y personalizada la mejor antibioticoterapia para el paciente.
En caso de no realizar antibiograma, la bibliografía indica como antibioticoterapia de elección para periodontitis agresivas o severas la toma de AMOXICILINA 500MG y METRONIDAZOL 500MG cada 8h durante 10 días, y siempre realizando de forma concominante un tratamiento local que elimine el sarro supra y subgingival del paciente. Así combatimos de forma sistémica y localizada la infección.
Tratamientos Adicionales Ofrecidos en Clínicas Dentales:
- Evaluación Dental Completa: Un examen exhaustivo es el primer paso para identificar la causa del sangrado.
- Limpiezas Dentales Profesionales: Si el sangrado es causado por la acumulación de placa y sarro, se recomendará una limpieza dental profunda.
- Tratamientos Antiinflamatorios: Para reducir la inflamación y el dolor en las encías, podemos prescribir enjuagues antibacterianos o medicamentos antiinflamatorios.
- Terapia con Láser: Utilizamos tecnología láser para tratar áreas infligidas por enfermedad periodontal.
- Instrucciones sobre Higiene Bucal: Es fundamental educar a los pacientes sobre técnicas adecuadas de cepillado y uso del hilo dental.
Prevención de las Encías Sangrantes
Las encías sangrantes se suele prevenir manteniendo una buena higiene oral. Cepillarse los dientes y usar hilo dental utilizando el cepillo, el hilo y las técnicas adecuados puede ayudar a prevenir las encías sangrantes y la enfermedad de las encías. Utilizar pastas dentífricas recomendadas por los dentistas como las diseñadas específicamente para ayudar a combatir los problemas de encías puede ayudar a prevenir las encías sangrantes, así como enfermedades posteriores más graves.
Una limpieza profesional cada seis meses también ayuda a prevenir el dolor o sangrado de encías al eliminar la acumulación de placa y sarro. Mantener una dieta sana también ayuda a prevenir las encías sangrantes. Aunque hoy en día las deficiencia de vitaminas son menos comunes, si tu dieta carece de los nutrientes clave, puede que desarrolles complicaciones que pueden causar encías sangrantes.
La mejor manera de prevenir el sangrado de las encías sería practicar una excelente higiene bucal. Cepillarse los dientes con un cepillo de cerdas suaves con pasta con flúor y utilizar el hilo dental una vez al día ayudará a prevenir el sangrado de las encías y a mantener una buena salud bucal.
Además, puede cambiar su dieta para incluir alimentos ricos en vitamina E y vitamina C. Los alimentos ricos en vitamina C incluyen: frutas y jugos cítricos, brócoli, fresas, tomates, papas, pimientos.
Como hemos mencionado en el párrafo anterior, nuestra dieta también influye en la salud bucodental y en el sangrado de los dientes. Consumir verduras, frutas, semillas y frutos secos. Incluir en la dieta legumbres, lentejas, alubias y tofu. Consumir productos lácteos como la mantequilla, el queso y el yogur, que son ricos en calcio y proteínas.
Una visita al dentista te ayudará a obtener un diagnóstico preciso y a recomendar el tratamiento más adecuado. Nuestros dentistas también pueden recomendar una limpieza profunda, también conocida como raspado. El raspado es el proceso de eliminar la placa y el sarro de los dientes mediante una herramienta especial llamada raspador.

Preguntas Frecuentes
¿Cómo detener el sangrado de encías?
Para detener el sangrado de encías, asegúrate de cepillarte los dientes y utilizar hilo dental, y de visitar a tu higienista dental para hacer una limpieza de dientes al menos dos veces al año. Sigue una buena rutina de cuidado en casa que incluye hilo dental diario, cepillado con una pasta dentífrica antibacteriana dos veces al día durante 2 minutos y utilizar un enjuague antibacteriano.
¿Por qué me sangran las encías?
Las causas más comunes de las encías sangrantes son utilizar el hilo dental o cepillarse los dientes con demasiada fuerza, una higiene bucal deficiente, fumar cigarrillos ya que seca tu boca causando una proliferación de las bacterias, el embarazo, utilizar medicamentos anticoagulantes y sufrir enfermedades subyacentes.
¿De qué es síntoma las encías sangrantes?
Las encías sangrantes pueden ser un signo de la enfermedad de las encías en su fase inicial, llamada gingivitis, o de la periodontitis en su fase final. Otras enfermedades subyacentes como diabetes, hemofilia, leucemia y deficiencia de vitaminas también pueden causar el sangrado de encías.
¿En qué momento debería preocuparme por las encías sangrantes?
Un poco de sangrado de encías es normal, pero si sufres un sangrado de encías frecuente deberías contactar con tu dentista o médico porque puede estar causado por una enfermedad subyacente. Las encías sangrantes son un signo de inflamación en las encías, conocido como gingivitis.
Recuerda que la primera cita en nuestra clínica es gratuita. La enfermedad periodontal es la infección de las encías, huesos maxilares y de los tejidos que sirven de apoyo para conectar los dientes con las encías.
El sangrado de las encías es un signo de enfermedad de las encías que puede tratarse fácilmente si se actúa con rapidez. Si te sangran las encías, debes cepillarte los dientes y usar el hilo dental dos veces al día y visitar a tu dentista para que te haga limpiezas periódicas. Realiza enjuagues bucales de agua tibia con sal ya que ayuda a aliviar inflamación de las encías que sangran fácilmente.
| Causa | Tratamiento | Prevención |
|---|---|---|
| Gingivitis | Limpieza dental profesional, enjuagues bucales antibacterianos | Higiene bucal adecuada, uso de hilo dental |
| Periodontitis | Curetaje, antibióticos, terapia con láser | Control de placa y sarro, visitas regulares al dentista |
| Deficiencia de vitaminas | Suplementos vitamínicos, dieta rica en vitaminas C y K | Dieta equilibrada |
| Medicamentos anticoagulantes | Consulta con el médico para ajustar la dosis, enjuagues antisépticos | Informar al dentista sobre los medicamentos |
tags: #medicamento #para #las #encias #sangrantes