Las carillas dentales se han convertido en uno de los tratamientos de estética dental más demandados para mejorar la sonrisa de forma rápida y duradera. Permiten solucionar las pequeñas imperfecciones que afectan al color, la forma, el tamaño y la posición de tus dientes, ofreciendo una sonrisa más saludable, juvenil y armónica. Estas finas láminas se colocan en la parte frontal del diente para corregir color, forma, tamaño o pequeñas fracturas, ofreciendo un resultado natural y armonioso.
Las carillas dentales son láminas extremadamente finas que se adhieren a la parte frontal de los dientes para mejorar su apariencia. Se utilizan en odontología estética para corregir diversos problemas, como el color, la forma, el tamaño de los dientes, los espacios entre ellos y fracturas menores.

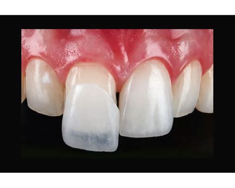
¿Qué son las Carillas Dentales?
Las carillas dentales son unas finas láminas que se adhieren a la superficie frontal (visible) de los dientes con el objetivo de mejorar su apariencia. Estas láminas pueden estar hechas de diferentes materiales, como la porcelana, el composite o el disilicato de litio, y se diseñan a medida de cada paciente.
¿Para qué sirven las carillas dentales?
Las carillas dentales sirven para corregir pequeños defectos que afectan al color, el tamaño, la forma o la posición de los dientes. Entre las imperfecciones que pueden solucionar podemos destacar las siguientes:
- Dientes amarillos o con manchas.
- Desgastes en el esmalte.
- Diastemas (espacios entre los dientes).
- Leves malposiciones dentales.
- Fisuras o fracturas.
En cualquiera de los casos anteriores es necesario que el odontólogo realice una valoración del paciente para determinar si las alteraciones de sus dientes pueden ser corregidas con carillas.
¿Cuándo es recomendable ponerse carillas en los dientes?
A continuación, te detallamos los casos concretos en los que puede resultar recomendable ponerse carillas para mejorar la apariencia de la sonrisa:
- Dientes amarillos o con manchas: las carillas se pueden utilizar en pacientes que presentan dientes amarillos, decolorados o con manchas. Esto puede deberse a distintas circunstancias (alimentación, tabaco, envejecimiento, fluorosis, consumo de tetraciclinas…).
- Resistencia al blanqueamiento dental: las carillas son un excelente complemento al blanqueamiento. Cuando las tinciones son muy severas, el blanqueamiento puede no ser capaz de eliminarlas por completo. Por tanto, en muchos casos resulta recomendable ponerse carillas en los dientes después del blanqueamiento.
- Dientes desalineados: las carillas también pueden ofrecer un buen resultado estético a los pacientes que tienen ligeras malposiciones dentales, ya que en ocasiones permiten disimularlas. Eso sí, hay que tener en cuenta que para corregir la mayoría de las maloclusiones dentales es necesario recurrir a la ortodoncia. Dientes ligeramente desalineados: en este punto, conviene tener presente que las carillas de porcelana no están indicadas para corregir cualquier defecto relacionado con el alineamiento de los dientes, sino únicamente ligeras malposiciones.
- Dientes con formas o tamaños irregulares: las carillas se utilizan para corregir pequeños defectos que afectan a la forma de los dientes. Por ejemplo: unos caninos (colmillos) demasiado puntiagudos, un diente más pequeño de lo normal, etc.
- Diastemas: las carillas también están recomendadas para disimular los diastemas o espacios entre los dientes.
- Dientes desgastados: las carillas se pueden colocar en dientes que presentan desgastes en el esmalte. Esto puede tener su origen en una mordida inadecuada o en el bruxismo. Sin embargo, en estos casos suele ser necesario utilizar ortodoncia o colocar una férula de descarga previamente, dependiendo del caso. De no hacerlo, los desgastes volverán a aparecer.
- Dientes fisurados o fracturados: las carillas también pueden estar indicadas en determinados casos de fisuras o fracturas leves en los dientes. Para corregir dientes fracturados, manchados, desalineados, desgastados o con una separación anormal, normalmente recurrimos a las carillas dentales estéticas.

Tipos de Carillas Dentales
Existen diferentes tipos de carillas dentales en función del material y la técnica empleados en su confección. Cada una de ellas tiene sus ventajas, y la elección dependerá del caso concreto y las necesidades del paciente. Los dos tipos principales son las carillas de composite y las carillas de porcelana. En las clínicas Smysecret contamos con dos tipos de carillas dentales:
Carillas de Porcelana
Las carillas de porcelana representan el estándar dorado en estética dental. Son láminas ultrafinas de cerámica que se fabrican a medida en laboratorio. La colocación de carillas de porcelana requiere varias visitas. Primero se realiza un tallado mínimo del diente, se toman impresiones y se envían a un laboratorio para fabricar las carillas a medida. En una segunda visita, se adhieren definitivamente.
Las carillas feldespáticas son, por lo general, las que mejor resultado estético ofrecen, ya que destacan por su alta translucidez y naturalidad.
Ventajas de las carillas de porcelana:
- Estética excelente.
- Gran durabilidad (10-20 años).
- Resistencia a las manchas y al desgaste.
- Biocompatibles.
- Ofrecen unos resultados muy naturales y apenas son perceptibles, algo que nuestros pacientes aprecian considerablemente.
Desventajas de las carillas de porcelana:
- Precio más elevado que las de composite. Esta diferencia de precio se hace especialmente patente cuando el paciente necesita un número alto de carillas.
- Proceso irreversible: en algunos casos, resulta necesario tallar el diente antes de colocar una carilla de porcelana.
- No se pueden reparar: las carillas de porcelana suelen durar muchos años. Sin embargo, también pueden experimentar alguna fractura, especialmente si el paciente no sigue los cuidados de alimentación recomendados (evitar los alimentos muy duros, no comer bocadillos o manzanas a mordiscos…). Ante una rotura, es necesario retirar la carilla y que el laboratorio fabrique una nueva.
- Por un lado, las carillas feldespáticas son ligeramente más vulnerables que otras ante golpes o fracturas. Esto hace que sea especialmente importante seguir unos buenos hábitos de cuidado.
Carillas de Composite
Las carillas de composite están fabricadas con una resina similar a la que utilizamos para los empastes estéticos modernos. Se aplican directamente sobre el diente en clínica, esculpiendo la forma deseada con resina compuesta. Las carillas de composite se aplican directamente sobre el diente en capas en una sola visita. El dentista las esculpe y les da forma.
Ventajas de las carillas de composite:
- Precio más accesible.
- Rapidez en el tratamiento.
- Facilidad de reparación.
- Tallado mínimo o nulo del diente natural.
- Proceso de colocación sencillo, que no requieren tallar los dientes.
- Proceso rápido: el tiempo de colocación de las carillas de resina es más corto, ya que no requiere el uso de moldes o impresiones dentales.
Desventajas de las carillas de composite:
- Menor durabilidad en comparación con la porcelana.
Carillas mínimamente invasivas (Disilicato de Litio)
Estas carillas están fabricadas con disilicato de litio, un material que se caracteriza por su alta calidad, resistencia y naturalidad. El principal beneficio de las carillas de mínima invasión es que su proceso de planificación, diseño y fabricación es guiado y 100% digital.
Este protocolo disminuye el tiempo total de tratamiento, reduce el margen de error humano y permite que el tallado del esmalte sea mínimo (similar al grosor de un cabello). Por tanto, las carillas mínimamente invasivas requieren muy poca o ninguna preparación del diente antes de su colocación. Esto significa que el esmalte dental no se altera significativamente, lo que las convierte en una opción menos agresiva para el diente. Esto contrasta con el protocolo seguido en las tradicionales carillas de porcelana, que requieren un tallado mayor del diente.
¿Conoces los TIPOS de CARILLAS DENTALES? ✨ El mejor tratamiento ESTÉTICO para tu sonrisa👄
Durabilidad de las Carillas Dentales
La durabilidad es una diferencia clave. La durabilidad de las carillas de porcelana depende, fundamentalmente, de los cuidados que siga el paciente. Este tipo de carillas pueden durar entre uno y diez años. Dicho plazo tan amplio se debe a que la duración de las carillas está estrechamente relacionada con los cuidados mantenidos por el paciente (higiene, alimentación, uso de férula nocturna, revisiones con el odontólogo…). Depende del material y del cuidado. Las carillas de porcelana suelen tener una duración de entre 10 y 15 años, mientras que las de composite entre 5 y 7 años. Las carillas de composite son más económicas y requieren una sola sesión de tratamiento.

Procedimiento para Colocar las Carillas Dentales
Dado que existen distintos tipos de carillas dentales, cada una de ellas sigue un protocolo de colocación específico. Sin embargo, todas comparten los principales pasos del proceso.
- Estudio bucodental completo: consta de una exploración oral y la realización de radiografías (panorámicas y periapicales) y fotografías (intraorales y extraorales). Asimismo, el odontólogo trata con el paciente sus expectativas respecto al tratamiento (defectos que pretende corregir, resultados que desea conseguir…).
- Preparación de los dientes: con algunas carillas hay que realizar una mínima reducción del esmalte dental. Este paso suele ser necesario en las carillas de porcelana, pero no en las de composite. En la siguiente visita, el dentista prepara los dientes para la posterior colocación de las carillas de porcelana.
- Toma de impresiones: tras preparar los dientes, en el caso de que haya que hacerlo, se toman medidas de los mismos para confeccionar las carillas de manera personalizada. Posteriormente, se toman impresiones precisas que se envían al laboratorio, donde técnicos especializados crearán tus carillas a medida. Normalmente, el laboratorio dental tarda entre una y dos semanas en confeccionar las carillas.
- Fabricación de las carillas: la confección puede realizarse directamente en la clínica dental (en el caso de las de composite) o encargarse al laboratorio (en el caso de las de disilicato de litio). Una vez que las carillas de porcelana han sido fabricadas, el paciente acude de nuevo a la consulta para que el odontólogo proceda a su colocación.
- Colocación de las carillas: en función del proceso de confección, la técnica de colocación también varía. Las carillas de composite se crean directamente sobre el diente, en una sesión en la clínica dental. En cambio, las carillas mínimamente invasivas (disilicato de litio) se fabrican en el laboratorio y posteriormente se colocan en la clínica dental. En general, el proceso completo de colocación de las carillas de porcelana dura varias semanas y requiere entre tres y cuatro visitas al dentista.
¿En qué casos no están recomendadas las carillas dentales?
A pesar de que las carillas están recomendadas en una gran cantidad de situaciones, lo cierto es que también presentan alguna contraindicación. Las más relevantes son las siguientes:
- Mordida borde a borde: en este tipo de mordida, los dientes superiores chocan directamente contra los inferiores cuando la persona cierra la boca. Es decir, los dientes superiores no quedan por delante de los inferiores, como ocurre en una oclusión correcta. La mordida borde a borde, por tanto, provoca que las carillas se rompan y se caigan. En estas situaciones, al igual que en otros casos de maloclusión, será necesario recurrir a la ortodoncia antes de colocar las carillas.
- Bruxismo que no recibe tratamiento: algo parecido sucede con el hábito de apretar y/o rechinar los dientes. Los pacientes con bruxismo tienden a presentar grandes desgastes en sus piezas dentales, lo que las debilita y hace más propensas a fracturas. Por ello, una persona que padece bruxismo debe llevar una férula de descarga por las noches. Si existe enfermedad de las encías (periodontitis) es necesario controlarla antes de ponerse carillas ya que podría poner en riesgo la correcta adhesión de las carillas e incluso podría agravar la inflamación en las encías.
- Cuando el esmalte está muy dañado debido a caries, fracturas o erosión, las carillas pueden no tener una buena superficie de adhesión y ser más propensas a romperse o desprenderse. Ortodoncia previa: Es posible que haya que realizar un tratamiento de ortodoncia previo. En algunos casos, el dentista puede recomendar un tratamiento de ortodoncia invisible previo a la colocación de carillas.
Riesgos y Cuidados de las Carillas Dentales
- Si una carilla se rompe o se despega, debes acudir al dentista cuanto antes. Dependiendo del daño, se puede volver a cementar o habrá que fabricar una nueva.
- Como se trabaja directamente sobre el esmalte, puede haber sensibilidad al frío o al calor, especialmente los primeros días.
- Las carillas no son reversibles si se ha tratado el esmalte dental. Quitar una carilla sin reemplazarla dejaría el diente expuesto y estéticamente comprometido.
- El bruxismo puede dañar o fracturar las carillas. Por un lado, las personas bruxistas deben llevar una férula de descarga por las noches.
- Si están bien colocadas, no causan inflamación, sangrado o recesión gingival. Pero si están mal adaptadas, pueden causar inflamación, sangrado o recesión gingival.
Precios de las Carillas Dentales
¿Quieres saber cuánto cuestan las carillas dentales? El precio de las carillas puede variar en función del material, la cantidad de dientes tratados y la complejidad del caso. Además, contamos con planes de financiación para facilitar el acceso a los tratamientos. A continuación, puedes ver los precios de las carillas dentales:
| Número de Carillas | Pago Único | Financiación |
|---|---|---|
| 6 carillas | 1.107€ | Ejemplo de financiación para un importe de 1.107.00 € en 36 meses. Comisión de formalización del 2,0%: 22,14 € a pagar en la primera cuota. Primera cuota de 56,55 €. 34 cuotas de 34,41 € y una última cuota de 34,35 €. TIN 7,45% TAE 9,18%.Total intereses: 131,70€. Coste total del crédito: 153,84€. Importe total adeudado y precio total a plazos: 1.260,84€. Precio de adquisición al contado: 1.107,00€. Sistema de amortización francés. Financiación ofrecida por Banco Cetelem S.A.U. válida hasta el 31/12/2025. |
| 8 carillas | 1.396€ | Ejemplo de financiación para un importe de 1.396,00€ en 48 meses. Comisión de formalización del 2,00%: 27,92€ a pagar en la primera cuota. Importe financiado: 1.396,00€. Primera cuota de 61,64€. 46 cuotas de 33,72€ y una última cuota de 33,81€. TIN 7,45% TAE 8,83%. Total intereses: 222,65€. Coste total del crédito: 250,57€. Importe total adeudado y precio total a plazos: 1.646,57€. Precio de adquisición al contado: 1.396,00€. Sistema de amortización francés. Financiación ofrecida por Banco Cetelem S.A.U. válida hasta el 31/12/2025. |
| 10 carillas | 1.671€ | Ejemplo de financiación para un importe de 1.671,00€ en 60 meses. Comisión de formalización del 2,00%: 33,42€ a pagar en la primera cuota. Importe financiado: 1.671,00€. Primera cuota de 66,86€. 58 cuotas de 33,44€ y una última cuota de 33,73€. TIN 7,45% TAE 8,62%. Total intereses: 335,69€. Coste total del crédito: 369,11€. Importe total adeudado y precio total a plazos: 2.040,11€. Precio de adquisición al contado: 1.671,00€. Sistema de amortización francés. Financiación ofrecida por Banco Cetelem S.A.U. válida hasta el 31/12/2025. |