La melanosis gingival, caracterizada por encías oscuras o pigmentadas, es una preocupación común entre muchos pacientes. Aunque no representa un problema de salud en sí mismo, puede afectar significativamente la estética de la sonrisa. Afortunadamente, existen soluciones efectivas para este problema.

¿Qué es la Melanosis Gingival?
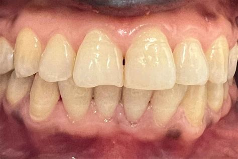
La melanosis gingival o encías negras es un trastorno de pigmentación que afecta la estética de la sonrisa, a pesar de no traer consigo patologías graves para la salud de quien lo sufre. Se produce por un acúmulo excesivo de melanocitos en las encías. La melanina que está presente en la piel y nos protege del sol en ocasiones está también presente en las encías y puede darles un aspecto oscuro.
En condiciones de salud gingival, una encía debe ser de color rosa pálido, aunque hay una variación del tono de rosa dependiendo de cada paciente. El aspecto de la encía debe ser de un color rosa pálido y de una textura gelatinosa. Su función es cubrir las raíces de los dientes y protegerlos.
Si detectas que ese rosa se ha oscurecido o está acompañado de manchas negras es importante que un profesional estudie qué puede estar ocurriendo. Pese a afectar solo a factores estéticos, es aconsejable acudir a la consulta de un profesional periodoncista en el momento que aparece una mancha negra en la encía o esta se oscurece.
Causas de la Melanosis Gingival
Los motivos por los que puede surgir una mancha negra en la encía pueden ser varios, como por ejemplo un consumo reiterado de ciertos medicamentos que afecten al sistema endocrino del paciente. La pigmentación de las encías se llama melanosis gingival y se produce por un acúmulo excesivo de melanocitos en las encías.
Algunas de las causas por las que podría aparecer una mancha negra en la encía, son las siguientes:
- Aumento de secreción de melanina: Una mancha negra en la encía suele estar causada por un aumento de secreción de la melanina, conocido como melanoplaquia. Es común que esta afección sea de naturaleza hereditaria y no implique una enfermedad periodontal, pero no hay manera de prevenir su aparición.
- Tabaquismo: Otra causa de la melanosis gingival es el depósito de sustancias tóxicas del tabaco. La nicotina puede ser responsable de generar alguna mancha negra en la encía con ausencia de brillo.
- Amalgama: Asimismo, una mancha negra en la encía también puede estar causada por el contacto con restauraciones de amalgama. Estas están fabricadas con metal y al entrar en continua fricción con la encía pueden generar la melanosis gingival.
- Enfermedades periodontales: Las enfermedades periodontales (gingivitis y periodontitis) afectan directamente al tejido de las encías. Lo habitual es que estas se inflamen y enrojezcan, pero hay casos en los que la acumulación de sarro y placa bacteriana acaba causando que la encía se vuelva oscura.
- Ciertos medicamentos: Algunos medicamentos como los anticonceptivos y algunos antibióticos presentan en sus efectos secundarios la melanosis gingival. Pueden hacer modificaciones en la mucosa oral, causando manchas negras en las encías.
- Tratamientos dentales: Durante el postoperatorio de algunos tratamientos dentales como el injerto de encía puede generarse una necrosis en la zona. Esto consiste en que la cantidad de sangre que fluye por ese tejido es mínima.
Las tinciones oscuras en las encías comúnmente están relacionadas con enfermedades bucodentales por lo que es importante descartar cualquier posible enfermedad periodontal. Aunque no es lo habitual, la melanosis gingival puede ser también un signo de lesión periodontal o incluso de algunas enfermedades más graves como el cáncer oral.
Diagnóstico de la Melanosis Gingival
Para poder solucionar el problema, lo primero es buscar la causa y realizar un diagnóstico preciso. En Clínica dental Loscos contamos con un equipo de expertos en periodoncia que harán una exploración previa de tu caso para diagnosticar qué está causando que la encía se oscurezca. El especialista que debe tratar la melanosis gingival es el periodoncista.
Tratamientos para Eliminar la Melanosis Gingival
Existen diferentes tratamientos que pueden solucionar el problema de las encías necrosadas o con manchas oscuras. Una vez que un profesional ha determinado que la encía hiperpigmentada tiene su origen en una melanosis gingival, se puede tratar. Para ello, es necesario realizar un diagnóstico previo para hallar la causa y, a continuación, eliminarla mediante despigmentación melánica, es decir, mediante diferentes técnicas de cirugía plástica periodontal que reducen y eliminan la encía pigmentada.

El tratamiento consiste en eliminar la capa más superficial de la encía. Es decir, el tejido que se presenta negro o manchado. Será el dentista quien determine cuál es la más adecuada para cada paciente. Existe un gran abanico de opciones para eliminar una mancha negra en la encía.
Algunas de las técnicas más habituales son:
- Láser: Es un procedimiento rutinario que acaba con los excesos de melanina de la encía mediante abrasión superficial por láser. El principal es el tratamiento periodontal de microcirugía gingival, que se realiza con el láser de er-Yag. Se basa en eliminar el tejido oscurecido de la encía a través de la emisión de una luz a una longitud de onda de 2940 nanómetros que estimula la regeneración de la mucosa sin causarle el menor daño. Este tratamiento mínimamente invasivo es la solución más cómoda, indolora, eficaz y segura para el paciente, consiguiendo grandes resultados.
- Microabrasión: Es otro tratamiento bucodental que se utiliza para pulir cuidadosamente cualquier tipo de mancha negra en la encía hasta borrarla. A través de esta técnica, el dentista es capaz de eliminar la melanosis gingival y devolver al paciente su color de encía natural.
- Mucoabrasión: Se realiza mediante abrasión de la zona, hasta que se elimina o deja de visualizar la pigmentación de la encía.
- Gingivectomía: Se emplea esta técnica, que es más invasiva, sobre todo cuando las manchas están muy delimitadas. La técnica realizada con el bisturí es específica para manchas bien delimitadas. Es una técnica más invasiva que las dos primeras y con un postoperatorio más molesto.
- Criocirugía: .
- Despigmentación con bisturí: Otro tratamiento muy útil para acabar con la preocupación que provoca la melanosis gingival es la despigmentación con bisturí. Esta técnica es una de las más efectivas para eliminar una mancha negra en la encía, pero es cierto que su cicatrización conlleva más tiempo al tratarse de un método quirúrgico.
Antes de decidir un tratamiento se deberá proceder a realizarte una exploración buco-dental y asimismo, se deberá determinar la causa que ha provocado el color de tus encías. De este modo se eliminará esta coloración anti-estética dejando a la vista una encía con un aspecto más natural y rosada. El tratamiento mediante láser es menos invasivo que el uso del bisturí y además se reducirá el sangrado durante el mismo.
Las encías negras pueden ser una preocupación estética y de salud, y afectan a muchas personas. Si tienes una mancha negra en la encía que te preocupa, en Clínica Loscos podemos ayudarte a eliminar la melanosis gingival. Recuerda que para mantener una correcta salud de tu boca es importante que acudas a revisiones periódicas en el dentista.
Descubre el PEELING Gingival para Quitar Manchas de Melanosis ✨
El Color de las Encías y su Significado
¿Alguna vez te has parado a pensar en qué dicen tus encías sobre tu estado de salud bucodental? La pigmentación gingival, en función de su aspecto, indicarán si tus encías están saludables o no. También hay que tener en cuenta que el color de las encías varía en cada persona.
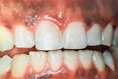
El color normal de las encías varía con el de la piel, y puede ser rosado o más bien marrón. Sin embargo, en algunos casos aparecen manchas más oscuras, grises o negras, que se deben a la melamina acumulada en este tejido. La apariencia natural debe ser de un rosa pálido, esto indica que hay una buena circulación y que tu salud bucal es correcta.
Las encías que se encuentran en buen estado, presentan un color rosado. Por ello, si tus encías están de este color, no debes preocuparte, puesto que significa que en principio no existe ningún problema. Cuando las encías presentan un color blanquecino o rosa pálido, quiere decir que algo no va del todo bien. Las encías enrojecidas también son una señal de alerta. En la mayoría de los casos suelen indicar problemas periodontales ocasionados por la acumulación de placa y sarro. Si además del enrojecimiento, vienen acompañadas de sangrado o hinchazón, es probable que exista un problema de gingivitis o incluso periodontitis.
La coloración de manchas negras en las encías puede ser una preocupación importante para muchos, ya que puede ser el resultado de una infección crónica o una respuesta al uso de medicamentos, y estos son dos cosas muy diferentes. Si descubres que tienes esta mancha en tus encías, entonces es importante acudir a tu dentista. Si hay una infección profunda, entonces el dentista puede recomendar tratamientos como el lavado de boca o la extracción del diente afectado.
Y te preguntarás, ¿qué relación tiene el aspecto de las encías con la melanosis gingival? Pues tiene que ver y mucho, ya que se trata de una alteración que hace referencia al aspecto oscurecido de las encías. Al igual que ocurre en la piel, en las encías tenemos melanina. Esta hiperpigmentación de esta parte del tejido blando puede tender a tonos morados, marrones o negros, y generalmente está asociada a factores étnicos. También puede relacionarse con el tabaquismo o el consumo de determinados medicamentos. Aunque a priori no supone ningún tipo de problema para la salud bucodental, sí puede llegar a alterar la estética de la sonrisa.
En conclusión, las encías negras son generalmente inofensivas. Sin embargo, lo más conveniente es que un odontólogo realice una revisión profunda.