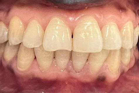
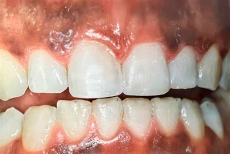
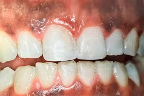
La melanosis gingival se refiere al oscurecimiento de las encías, que cuando están sanas presentan un tono rosado, coral. En condiciones de salud gingival una encía debe ser de color rosa pálido, aunque hay una variación del tono de rosa dependiendo de cada paciente.

La pigmentación gingival, en función de su aspecto, indicará si tus encías están saludables o no. Al igual que sucede con el color de los dientes, no todas las personas tienen el mismo tono en el color de las encías. También hay que tener en cuenta que el color de las encías varía en cada persona. Las encías que se encuentran en buen estado, presentan un color rosado.
¿Qué es la Melanosis Gingival?
La melanosis gingival es una alteración caracterizada por un cambio de coloración de la encía, en la que la encía toma una tinción más oscura provocada por una acumulación de melanina. La pigmentación de las encías se llama melanosis gingival y se produce por un acúmulo excesivo de melanocitos en las encías. En la piel, en los ojos, en el pelo y en las encías tenemos de forma normal melanina.
Esta hiperpigmentación de esta parte del tejido blando puede tender a tonos morados, marrones o negros, y generalmente está asociada a factores étnicos. En algunos pacientes la hiper-pigmentación más que un problema de salud lo que provoca es un problema estético, particularmente si se ocasiona en la zona facial de la encía y resulta visible durante la sonrisa y habla del paciente.
Tipos de Melanosis
Existen diferentes tipos de melanosis y cada uno tiene sus características propias. Las más frecuentes son:
- Melanosis fisiológica: Es un tipo común de pigmentación gingival que no causa ningún problema de salud. Suele presentarse en personas de piel oscura y se considera una variación normal del color de las encías.
- Melanosis racial: Se observa con mayor frecuencia en personas de ascendencia africana, asiática u oriental. Es similar a la melanosis fisiológica y no tiene consecuencias en la salud.
- Melanosis medicamentosa: Algunos fármacos, como los anticonceptivos orales, pueden causar melanosis gingival. Los cambios de color en este caso son reversibles y suelen desaparecer después de suspender el uso del medicamento.
- Melanosis postinflamatoria: Puede ocurrir como resultado de la inflamación crónica de las encías, como la gingivitis o la periodontitis.
Causas de la Melanosis Gingival
La aparición de esas manchas u oscurecimiento, no supone ningún problema para la salud, aunque sí que afecta a la estética de nuestra sonrisa. Y, ¿cómo es una encía normal o sana? Sin embargo hay muchas causas por las que la encía adquiere puede presentar qué significa cada uno de ellos.
Las causas de la melanosis gingival o encías negras puede deberse a alguno de los siguientes factores:
- Tabaquismo, a causa de la nicotina. El tabaco no solo puede provocar el oscurecimiento de tus dientes sino que asimismo puede oscurecer el color de tus encías por las toxinas que contiene.
- Cúmulos de melanina, que es el pigmento de la coloración oscura de la piel. Lo llamamos melanoplaquia y depende de la raza y el tipo de piel (en personas morenas es muy común). La genética, el factor hereditario, a menudo en la cavidad oral, es frecuente. Una melanoplaquia es una mancha por una acumulación de melanina. Sería como un lunar y puede tener, como te hemos comentado ya, un cierto carácter hereditario.
- Tatuajes por amalgamas, que se dan sobre todo en zonas muy concretas como consecuencia del contacto prolongado de una amalgama de plata con la mucosa, generalmente en reconstrucciones por debajo de la encía. Hasta hace unos años los empastes o reconstrucciones dentales, tratamientos ante la caries dental, se realizaban mediante la colocación de amalgamas. En la actualidad se han sustituido estas por composites o resinas que ofrecen una mayor estética dental. Las amalgamas sub-gingivales podrían provocar tatuajes en las encías, es decir, manchas grises u oscuras en estas. Cuando una obturación antigua de amalgama de plata entra en contacto con la encía se produce unas manchas negras y plomizas y se denomina tatuaje metálico.
- Las implicaciones hormonales, relacionadas con tratamientos con antidepresivos y toma de anticonceptivos. Algunos fármacos pueden provocar el oscurecimiento de tus encías. Un ejemplo pueden ser las píldoras o pastillas anticonceptivas.
- Enfermedades periodontales, como la gingivitis, periodontitis o piorrea en las que es normal la inflamación de las encías también pueden provocar oscurecimiento en las encías. La enfermedad periodontal produce inflamación y sangrado de las encías. Éstas se vuelven rojas y en ocasiones se oscurecen.
- Después de una cirugía dental o de un injerto de encía, ésta se oscurece y es necesario dejar pasar el período de cicatrización. Un tratamiento dental como puede ser una intervención dental o un injerto muco-gingival también puede provocar un oscurecimiento de la encía. Este oscurecimiento desaparecerá con el paso del tiempo y el color de la encía volverá a su tono rosado normal.

Diagnóstico de la Melanosis Gingival
Para poder solucionar el problema, lo primero es buscar la causa y realizar un diagnóstico preciso. En Clínicas Propdental contamos con excelentes especialistas en periodoncia. El especialista que debe tratar la melanosis gingival es el periodoncista.
Para realizar un diagnóstico, es necesario llevar a cabo un examen clínico completo de la cavidad bucal. Con ello, el odontólogo o periodoncista especializado en este tipo de afecciones busca signos de pigmentación anormal en las encías y evalúa la densidad y distribución del color.
Un aspecto fundamental en el diagnóstico es la diferenciación de otras afecciones similares como el melanoma oral o la melanoniquia oral. Para ello, se pueden realizar pruebas adicionales, como una biopsia de la encía afectada, que consiste en tomar una pequeña muestra de tejido para su análisis en laboratorio. El resultado permite determinar si la pigmentación es benigna o maligna. En caso de tratarse de melanoma oral u otro tipo de cáncer, se procede a un tratamiento más agresivo.
Tratamientos para la Melanosis Gingival
Una vez que un profesional ha determinado que la encía hiperpigmentada tiene su origen en una melanosis gingival, se puede tratar. Para ello, es necesario realizar un diagnóstico previo para hallar la causa y, a continuación, eliminarla mediante despigmentación melánica, es decir, mediante diferentes técnicas de cirugía plástica periodontal que reducen y eliminan la encía pigmentada. Será el dentista quien determine cuál es la más adecuada para cada paciente.
🔴#UNMSM Fac. de Odontología: Se aplica el primer tratamiento láser a paciente con melanosis gingival
El tratamiento consiste en eliminar la capa más superficial de la encía. Es decir, el tejido que se presenta negro o manchado. De este modo se eliminará esta coloración anti-estética dejando a la vista una encía con un aspecto más natural y rosada.

Tratamientos Profesionales
Los principales tratamientos de la melanosis gingival realizados por dentistas incluyen:
- Láser: Es un procedimiento rutinario que acaba con los excesos de melanina de la encía mediante abrasión superficial por láser. El tratamiento mediante láser es menos invasivo que el uso del bisturí y además se reducirá el sangrado durante el mismo. La técnica realizada con el bisturí es específica para manchas bien delimitadas. Es una técnica más invasiva que las dos primeras y con un postoperatorio más molesto.
- Mucoabrasión: Se realiza mediante abrasión de la zona, hasta que se elimina o deja de visualizar la pigmentación de la encía. Microabrasión: Es un tratamiento bucodental utilizado para eliminar cualquier tipo de mancha en la encía. Microabrasión: Es un tratamiento bucodental utilizado para pulir cuidadosamente cualquier tipo de mancha negra en la encía hasta borrarla. A través de esta técnica, el dentista es capaz de eliminar la melanosis gingival y devolver al paciente su color de encía natural.
- Gingivectomía: Se emplea esta técnica, que es más invasiva, sobre todo cuando las manchas están muy delimitadas. Otro tratamiento muy útil para acabar con la preocupación que provoca la melanosis gingival es la despigmentación con bisturí. Esta técnica es una de las más efectivas para eliminar una mancha negra en la encía, pero es cierto que su cicatrización conlleva más tiempo al tratarse de un método quirúrgico.
- Criocirugía: En algunos casos, los dentistas pueden recomendar injertos de encía para cubrir áreas oscuras. Este procedimiento implica la colocación de tejido sano sobre las zonas afectadas, logrando un color más uniforme y natural en las encías. La terapia láser es otra opción para aclarar las encías. El láser permite eliminar las células pigmentadas sin dañar el tejido circundante. Además, este procedimiento es mínimamente invasivo, por lo que el tiempo de recuperación suele ser corto.
Tratamientos Caseros
Algunos de los tratamientos caseros para las encías negras son:
- Cepillado y uso de hilo dental: Un buen cuidado bucal, que incluya cepillarse tres veces al día y usar hilo dental regularmente, puede ayudar a reducir la pigmentación de las encías.
- Enjuague bucal con agua oxigenada: Se mezcla una pequeña cantidad de agua oxigenada con agua tibia y se realizan enjuagues bucales regulares. Sin embargo, es importante no abusar de este tratamiento, ya que el uso excesivo de agua oxigenada puede irritar las encías.
Antes de decidir un tratamiento ser deberá proceder a realizarte una exploración buco-dental y asimismo, se deberá determinar la causa que ha provocado el color de tus encías. No lo dudes, seguro que se puede mejorar la estética de tu sonrisa. En Clínicas Propdental quedamos a tu disposición en nuestras clínicas dentales de Madrid; Barcelona y Badalona.