¿Conoces el sarro dental? El sarro dental, también conocido como cálculo, es un depósito duro de color amarillento o marrón que se forma en los dientes. Está formado por partículas de comida, bacterias y otros microbios que se quedan atascados en nuestra boca y acaban calcificándose (endureciéndose).

El sarro dental puede provocar la acumulación de placa y la enfermedad de las encías si no se trata. Pero no te preocupes: ¡es relativamente fácil de eliminar! Todo lo que necesitas es cepillarte los dientes y utilizar hilo dental correctamente, además de limpiezas profesionales periódicas en el dentista.
¿Acumulas mucho sarro dental? Evítalo así. Te lo explico rápido y fácil.
Tipos de Sarro Dental
El sarro es un depósito mineral duro en los dientes que puede provocar enfermedades de las encías y caries si no se trata. Se presenta en dos formas: el sarro supragingival, que se forma por encima de la línea de las encías, y el sarro subgingival, que reside por debajo de la línea de las encías. Ambos deben ser eliminados cuidadosamente con herramientas de limpieza profesionales por un dentista o higienista cualificado.

Así que, a pesar de su título poco glamuroso, el sarro dental requiere atención, así que no olvides pedir tu próxima cita con el dentista.
¿Qué Causa el Sarro en los Dientes?
La razón principal de la acumulación de sarro dental es una mala higiene bucal. Cuando las partículas de comida se quedan en los dientes después de comer, pueden quedar atrapadas entre ellos y, segundos después, se convierten en un material endurecido y calcificado. El sarro dental está formado por minerales como el fósforo, el calcio y el magnesio que provienen de tu saliva y de otras fuentes.
Cuando la saliva entra en contacto con las partículas de comida de los dientes, ayuda a convertirlas en sarro. La genética también puede desempeñar un papel en la formación del sarro dental. Si tienes antecedentes familiares de acumulación de sarro, puedes ser más propenso a contraerlo tú mismo. Además, algunos medicamentos pueden provocar sequedad en la boca, lo que puede conducir a una mayor acumulación de sarro.
Algunas personas también tienen tendencia a generar sarro dental más fácilmente que otras. Además de la higiene, tiene que ver con el pH de la saliva. Cuando las personas tienen altos niveles de acidez, son propensas a las caries. Y si la saliva tiene un pH más bajo, es más probable que desarrolle sarro. Otros alimentos que hacen que se forme más placa y se oscurezcan son el vino, el café y el té negro.
¿Cómo Saber si Uno Tiene Sarro Dental?
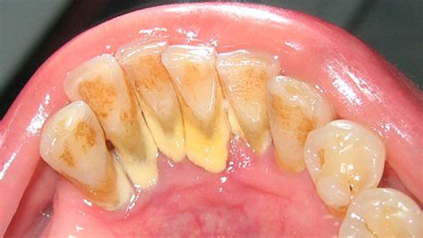
Lo primero es lo primero: mírate en el espejo. Si ves manchas descoloridas en tus dientes delanteros que no parecen desaparecer con el cepillado, puede ser un signo de sarro dental. El sarro dental tiene el aspecto de manchas amarillentas o vetas de color marrón oscuro a lo largo de la línea de las encías o en cualquier zona donde se acumulen partículas de comida.
Otra forma de saber si tienes sarro dental es palpar alrededor de los dientes con la lengua. El sarro dental se sentirá áspero y abrasivo, a diferencia de una superficie lisa cuando no tienes sarro. La tercera forma de detectar el sarro dental es acudir a tu dentista para que te haga un examen profesional. El sarro dental puede ser difícil de ver, pero los dentistas tienen herramientas especiales que les permiten detectarlo fácilmente.
El sarro dental nunca debe ignorarse, así que si crees que puedes tenerlo, no dudes en visitar a tu dentista.
¿Cómo Eliminar Sarro Dental?
La primera forma de eliminar el sarro es mediante buenos hábitos de higiene bucal, como cepillarse los dientes y usar el hilo dental con regularidad. Cepillarse los dientes dos veces al día durante dos minutos cada vez debería ayudar a aflojar la acumulación de placa para que no se convierta en depósitos más duros de sarro. Usar el hilo dental al menos una vez al día ayuda a eliminar las partículas de comida y la placa de entre los dientes, que puede convertirse en sarro si no se limpia.

Si el cepillado regular y el uso del hilo dental no parecen funcionar, hay otras formas de eliminar el sarro dental. Las limpiezas profesionales dos veces al año con tu dentista o higienista pueden reducir significativamente la acumulación de sarro. Durante estas visitas, tu profesional dental utilizará instrumentos especiales para eliminar el sarro que haya por encima y por debajo de la línea de las encías y que puedas haber pasado por alto durante el cuidado en casa.
Raspado y Alisado Radicular
En algunos casos, tu dentista puede recomendar también un procedimiento llamado raspado y alisado radicular. Durante este proceso, se elimina el sarro de la superficie de los dientes y de debajo de la línea de las encías. Este tratamiento ayuda a reducir la inflamación y puede contribuir a mejorar la salud de las encías en las personas con una grave acumulación de placa o sarro.
En el caso de depósitos de sarro persistentes que no desaparecen con la limpieza habitual, tu dentista puede utilizar la tecnología láser para eliminarlos. Los láseres son muy precisos, por lo que pueden dirigirse sólo a la zona afectada sin dañar ninguna de las estructuras dentales sanas.
Independientemente del tipo de eliminación de sarro que elijas, es importante mantener unos buenos hábitos de higiene bucal para evitar que se formen nuevos depósitos en los dientes. Además, los eliminadores de sarro de venta libre, como los enjuagues bucales y los dentífricos, pueden ayudar a mantener a raya los depósitos duros de sarro.
Remedios Caseros para Tratar el Sarro Dental
Hay algunos remedios caseros de eficacia probada que seguramente te ayudarán a eliminar el molesto sarro dental en poco tiempo.
- Pasta de bicarbonato de sodio: Uno de los tratamientos más comunes para el sarro dental es la pasta de bicarbonato de sodio, que disuelve los depósitos en los dientes y ayuda a eliminarlos sin tener que utilizar ningún producto químico fuerte. Para hacer esta pasta, sólo tienes que mezclar una cucharadita de bicarbonato de sodio con agua caliente hasta formar una pasta espesa. A continuación, cepíllate los dientes con la mezcla durante dos minutos antes de enjuagarte bien la boca con la mezcla.
- Vinagre de sidra de manzana: Si la pasta de bicarbonato de sodio no es suficiente, entonces puedes probar a utilizar vinagre de sidra de manzana. Este remedio natural es ácido y puede ayudar a romper los depósitos de los dientes, ayudando a eliminarlos fácilmente. Sólo tienes que mezclar partes iguales de vinagre de sidra de manzana y agua en una taza, y luego utilizarlo como enjuague bucal durante dos minutos cada día, más o menos. Recuerda que no debes tragar esta mezcla.
- Oil pulling con aceite de coco: Por último, si todo lo demás falla, siempre puedes probar el oil pulling con aceite de coco. Para este remedio casero, basta con hacer buches con aceite de coco en la boca durante unos 15-20 minutos por sesión. El aceite ayuda a eliminar las bacterias y la placa que quedan en los dientes y las encías, a la vez que los fortalece en el.
Sea cual sea el remedio que decidas probar, es importante recordar que ninguno sustituye a una higiene dental adecuada y a las revisiones periódicas con tu dentista. Así que asegúrate de cepillarte los dientes dos veces al día y de usar el hilo dental a diario, además de utilizar cualquiera de estos remedios caseros para el sarro dental.
Consecuencias de No Tratar el Sarro Dental
Si eres una de las muchas personas que piensan que el sarro dental no es más que una molestia, piénsalo bien. El sarro dental puede causar multitud de problemas si no se trata, y es importante saber cómo puede afectar a tu salud bucal el hecho de ignorarlo.
En primer lugar, cuanto más tiempo dejes que el sarro dental permanezca en tu boca, más bacterias se acumularán a su alrededor. Estas bacterias pueden causar diversas enfermedades de las encías, como la gingivitis y la periodontitis, que son afecciones graves que pueden provocar dolor o incluso la pérdida de los dientes. No sólo eso, sino que los estudios también han relacionado el sarro dental no tratado con otros problemas sistémicos, como las enfermedades cardíacas y la diabetes.
Además, cuando la placa (la sustancia que acaba por endurecerse y convertirse en sarro) se deja en los dientes, puede empezar a corroer el esmalte. Esto provoca la decoloración de los dientes e incluso caries. El sarro dental también atrapa partículas de comida entre los dientes, lo que provoca mal aliento y un sabor desagradable en la boca.
¿Qué es el Sarro Dental Negro?
Puede que hayas oído hablar de la frase "diente de negro", pero ¿sabías que en realidad puede estar causada por el sarro dental negro? El sarro dental es una forma de placa endurecida que se acumula en los dientes y puede causar decoloración. Suele ser de color marrón o amarillo, pero en algunos casos puede volverse negro debido a ciertos factores, como tener una alta concentración de hierro en la saliva.
El hierro presente en la saliva se une a ciertas bacterias que producen la pigmentación oscura. Este tipo de acumulación de placa puede aparecer en otras partes de los dientes, pero suele afectar a las muelas y afortunadamente, el sarro dental negro puede tratarse con una higiene bucal adecuada y una limpieza profesional por parte de un dentista. El cepillado regular y el uso del hilo dental son esenciales para eliminar la acumulación de placa en los dientes.
Además, utilizar un enjuague bucal antiséptico o una pasta de dientes como parte de tu rutina diaria puede ayudar a prevenir la aparición de este problema. Tu dentista también puede recomendar el raspado y el alisado radicular, que es un procedimiento utilizado para eliminar los depósitos endurecidos de la superficie de los dientes. El raspado consiste en eliminar la placa con instrumentos especiales, mientras que el alisado radicular alisa las zonas ásperas de la superficie de la raíz que son propensas a acumular bacterias. Esto ayuda a detener la propagación de las bacterias y previene una mayor decoloración.
Técnicas Adicionales para Prevenir el Sarro en Casa
Además de los consejos mencionados, existen otras técnicas caseras que puedes adoptar para prevenir la formación de sarro:
- Mezcla de bicarbonato y sal: Mezcla una cucharadita de bicarbonato de sodio con media cucharadita de sal. Unta el cepillo de dientes con esta solución para debilitar la placa.
- Enjuague con vinagre de manzana: Lávate los dientes con vinagre de manzana disuelto en agua, al menos una vez a la semana, para retrasar la formación de sarro.
- Enjuague con agua oxigenada: Con los dientes limpios, enjuágate la boca con agua tibia mezclada con un poco de agua oxigenada.
Es importante recordar que ninguna de estas recomendaciones será efectiva sin una higiene dental completa y regular. Ante cualquier duda, consulta con tu dentista de confianza.
Tabla de Remedios Caseros para el Sarro Dental
| Remedio Casero | Ingredientes | Instrucciones | Precauciones |
|---|---|---|---|
| Pasta de Bicarbonato | 1 cucharadita de bicarbonato de sodio, agua | Mezclar hasta formar una pasta y cepillar los dientes durante 2 minutos. | El uso excesivo puede dañar el esmalte. |
| Enjuague de Vinagre de Sidra de Manzana | Partes iguales de vinagre de sidra de manzana y agua | Usar como enjuague bucal durante 2 minutos. | No tragar la mezcla. |
| Oil Pulling | Aceite de coco | Hacer buches con aceite de coco durante 15-20 minutos. | Asegurarse de no tragar el aceite. |
| Enjuague de Té Verde | Té verde preparado | Usar como enjuague bucal diario. | Ninguna conocida. |